Search Dental Tribune

Articles

Filtrer

Airel Quetin au congrès de l’ADF : l’excellence française au service des praticiens

CHAMPIGNY-SUR-MAME, France : Depuis plus d’un siècle, Airel Quetin, unique fabricant français de fauteuils et d’units dentaires, accompagne les ...

Enregistrer

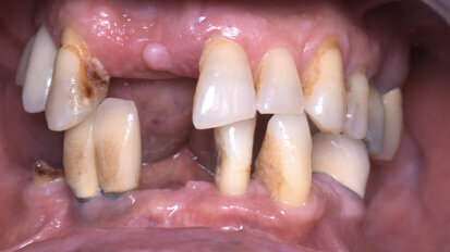
Retrouver l’accès aux canaux lors d’un retraitement

La réussite en endodontie commence par un diagnostic précis de la dent (dont des évaluations de la situation endodontique et parodontale, ainsi que du ...

Enregistrer

Une étude suggère que le biofilm dentaire pourrait être directement lié à l’infarctus du myocarde

TAMPERE, Finlande : La relation de longue date entre les bactéries buccales et les maladies systémiques prend une nouvelle importance à la lumière des ...

Enregistrer

Un composé d'origine végétale pourrait offrir une alternative non antibiotique en adjuvant au traitement parodontal

SÃO PAULO, Brésil : Les thérapies d’origine végétale suscitent un intérêt croissant en dentisterie. Une étude récente a évalué la morine, un ...

Enregistrer

Éclaircissement des dents avec A smile – Cas clinique

A smile est un gel visqueux pour l’éclaircissement des dents vitales à l’aide d’une gouttière thermoformée personnalisée. Voici un cas clinique ...

Enregistrer

La santé bucco-dentaire reconnue lors de la réunion de haut niveau des Nations Unies

NEW YORK, États-Unis : La quatrième réunion de haut niveau de l’Assemblée générale des Nations Unies (AGNU) sur la prévention et la maîtrise des ...

Enregistrer
advertisement

Le programme Practice Pink 2025 de Henry Schein rassemble les professionnels de santé autour de la sensibilisation au cancer

MELVILLE, États-Unis / ALFORTVILLE, France : Henry Schein a donné le coup d’envoi de son programme Practice Pink 2025, une initiative internationale ...

Enregistrer

Une édition ADF placée sous le signe de l’innovation pour W&H France

PARIS, France : Du 26 au 29 novembre, W&H France sera présente au Palais des congrès de Paris à l’occasion du salon de l’ADF, le grand ...

Enregistrer

Le coût est le principal facteur des besoins non satisfaits en soins dentaires dans l’Union européenne

LUXEMBOURG : Un nombre élevé de dentistes en exercice n’a pas suffi à éliminer les disparités en matière de soins bucco-dentaires dans l’Union ...

Enregistrer

Dentifrice à base de kératine issue des cheveux : une révolution naturelle pour la réparation de l’émail

LONDRES, Angleterre : Une étude novatrice du King’s College London a révélé que la kératine — extraite de cheveux humains ou de laine — peut ...

Enregistrer

« La santé bucco-dentaire doit être présentée comme une composante intégrante de la vie quotidienne, et non comme une problématique distincte »

Le Dr Dympna Kavanagh est directrice des services dentaires au ministère de la Santé en Irlande et préside la Platform for Better Oral Health in Europe. ...

Enregistrer

Dentsply Sirona annonce le retour de l’Implant Solutions World Summit en 2026

CHARLOTTE, États-Unis : Après le succès des éditions d’Athènes, en Grèce, en 2023 et de Miami, aux États-Unis, en 2024, le Implant Solutions World ...

Enregistrer
advertisement

Réunion conjointe EAO–SFPIO : ouverture à Monaco

MONACO: Le 32e congrès scientifique annuel de l’Association européenne d’ostéointégration (EAO) s’est ouvert aujourd’hui au Grimaldi Forum de ...

Enregistrer

XXVIe colloque de santé publique : le rôle de la santé bucco-dentaire dans le bien vieillir

PARIS, France : Chaque année, l’Union française pour la santé bucco-dentaire (UFSBD) organise un colloque destiné à mettre en avant la place de la ...

Enregistrer

Ensemble pour la Vision 2030 de la FDI

Vision 2030: Offrir une santé bucco-dentaire optimale pour tous est au cœur de la stratégie de plaidoyer de la FDI. Depuis son lancement en 2021, cette ...

Enregistrer

Le congrès mondial dentaire de la FDI fait son retour en Chine

SHANGHAI, Chine : Après près de deux décennies, le congrès mondial dentaire de la FDI (FDIWDC) revient cette semaine en Chine continentale. Coorganisé ...

Enregistrer
advertisement

Les microplastiques en dentisterie : une menace invisible pour les patients et les praticiens

WASHINGTON, États-Unis : Des obturations en composite aux embouts d’aspiration jetables, le plastique est présent dans tous les aspects des soins ...

Enregistrer

Les polyphénols d’érable montrent un potentiel prometteur dans la prévention des biofilms dentaires

WASHINGTON, États-Unis : Les composés naturels continuent d’attirer l’attention en tant qu’alternatives potentielles aux agents synthétiques dans ...

Enregistrer

Smile Design Summit, un sommet scientifique au cœur de Paris

PARIS, France : Deux jours pour repenser l’esthétique dentaire à l’ère numérique. Les 9 et 10 octobre 2025, Paris accueillera le Smile Design ...

Enregistrer

« Le FDIWDC25 promet d’être l’un des plus grands et des plus dynamiques rassemblements dentaires à ce jour. »

Alors que la communauté dentaire mondiale se prépare à se réunir à Shanghai pour le congrès mondial de la Fédération dentaire internationale 2025 ...

Enregistrer
advertisement

Une étude révèle que ChatGPT est limité dans ses réponses aux questions complexes sur la santé bucco-dentaire

AMMAN, Jordanie : Alors que l’intelligence artificielle continue d’étendre son rôle dans le domaine de la santé, les modèles de langage tels que ...

Enregistrer

Une étude explore l’impact des médicaments antipsychotiques sur la santé bucco-dentaire

BILBAO, Espagne : Bien que les répercussions systémiques des troubles neuropsychiatriques soient largement reconnues, leur lien avec une mauvaise santé ...

Enregistrer
advertisement

Le biais peut influencer le jugement, la prise de décision et le comportement — même chez des professionnels dentaires bien intentionnés

Le préjugé est un aspect intrinsèque de la cognition humaine, et les professionnels de santé — y compris ceux du secteur dentaire — n’en sont pas ...

Enregistrer

Une université suédoise bénéficie d’un soutien financier renforcé pour élargir ses recherches en santé dentaire holistique

MALMÖ, Suède : Un centre de recherche transdisciplinaire et novateur en santé bucco-dentaire de l’université de Malmö, a reçu un financement ...

Enregistrer

L’hypnose, un outil complémentaire au service des professionnels de la santé orale

MONTRÉAL, Canada: L’hypnose, longtemps associée aux spectacles de scène et au divertissement, attire désormais l’attention pour ses applications ...

Enregistrer

Un régime imitant le jeûne pourrait réduire l’inflammation chez les patients souffrant de parodontite sévère

LONDON, Royaume-Uni : Le traitement parodontal est connu pour provoquer une réponse inflammatoire systémique à court terme, et les effets systémiques de...

Enregistrer
advertisement

Dentisterie intelligente : comment l’IA redéfinit le flux de travail numérique dentaire

Alors que la technologie CAD/CAM a longtemps été au cœur de la dentisterie numérique, l’émergence de l’intelligence artificielle (IA) redéfinit ce...

Enregistrer

Une étude marque des avancées dans la culture de dents en laboratoire

LONDON, Royaume-Uni : Des recherches antérieures ont montré que la combinaison de cellules épithéliales et mésenchymateuses dentaires pouvait donner ...

Enregistrer

Une nouvelle étude met en lumière le regard des patients sur l’intelligence artificielle dans le diagnostic dentaire

AARHUS, Danemark: Alors que l’intégration de l’intelligence artificielle (IA) dans le secteur dentaire continue de s’accélérer, un consensus semble...

Enregistrer

Un protocole d’essai innovant explore les options thérapeutiques des lésions de furcation de grade III

LONDRES, Royaume-Uni : Les lésions de furcation de grade III représentent l’un des défis les plus complexes en parodontologie, et les données ...

Enregistrer
advertisement
advertisement