Les radiographies intraorales et panoramiques ne sont pas des images tridimensionnelles (3D) et les cliniciens ne peuvent en obtenir que des mesures imprécises, en raison des modifications du grossissement dues au positionnement. En outre, elles sont inefficaces pour déceler certaines pathologies. C’est à la suite de ces limitations que les technologies d’imagerie 3D, telles que la tomodensitométrie volumique à faisceau conique (CBCT), ont été développées. La CBCT 3D capture un volume de données et par un processus de reconstruction, elle produit des images exemptes de grossissement, distorsion et/ou superpositions anatomiques.
Au cours des dernières années, la CBCT 3D a réalisé des avancées notables dans chaque discipline de notre profession dentaire, et élargi les horizons des cliniques dentaires par l’ajout d’une troisième dimension au plan de traitement craniofacial. La CBCT fait intervenir une technologie 3D de pointe qui permet d’obtenir les données anatomiques les plus complètes sur les zones buccales, faciales et maxillaires du patient, et améliore le plan du traitement et la prévisibilité des résultats de traitement.
embedImagecenter("Imagecenter_1_1009",1009, "large");
Avant tout, nous assistons là à un changement de paradigme, où les mesures et les rapports anatomiques sont précis et procurent aux cliniciens une parfaite connaissance de l’anatomie de leurs patients. Selon l’opinion des praticiens dentaires, cette technologie les aide à réaliser un traitement plus efficace
Au regard de l’implantologie orale, l’institut d’étude de marché Kalorama, estime que le développement des produits de reconstitution dentaire implanto-portée, devancera tous les autres domaines de la médecine dentaire.1 La méthode traditionnelle de remplacement d’une dent par un bridge dentaire s’est révélée problématique, et il existe vraiment un besoin urgent de solutions plus permanentes.
Avec l’amélioration rapide de l’espérance de vie dans le monde développé, et la nécessité inéluctable des restaurations dentaires qui en résulte, un grand nombre de sociétés ont compris l’intérêt d’adopter ces techniques dentaires sophistiquées. En effet, comme certains l’avaient prédit, le nombre des interventions implantaires s’est accru considérablement au cours des dernières années.
En toute logique, le nombre de praticiens qui se sont tournés vers la pose d’implants s’est aussi rapidement accru, qu’ils soient spécialistes ou généralistes, avec des niveaux divers de compétence. Parallèlement, certaines complications peu communes liées aux procédures implantaires sont également apparues.
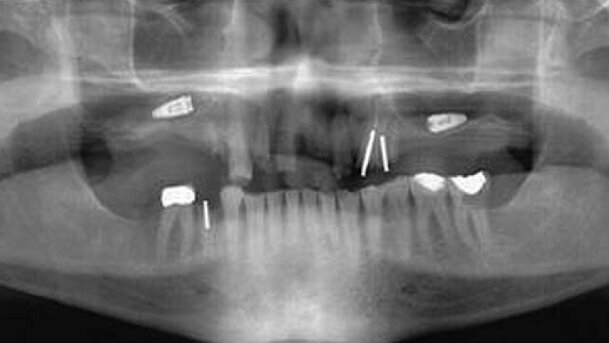
Une recherche dans la littérature et sur Internet, a fait ressortir plusieurs publications concernant ces complications, et notamment des fractures d’implants (Fig. 1), des empiètements sur les dents adjacentes (Fig. 2), des perforations de la corticale linguale (Fig. 3), des perforations des cavités sinusales (Fig. 4) et des migrations d’implants dans les sinus maxillaire (Fig. 5).
La prise en charge clinique associée à certaines de ces complications est parfois difficile et considérée comme très invasive. Par conséquent, bien que l’on n’ait pas déterminé le rapport quantitatif entre les résultats très positifs du traitement implantaire dentaire et l’imagerie dentaire CBCT, et que l’on soit en attente des conclusions de vastes essais cliniques prospectifs, je crois fortement que l’utilisation de l’imagerie dentaire 3D et CBCT se présente comme une technique fiable du point de vue du principe de précaution, si l’on en juge par toute une série d’études cliniques préliminaires et d’études de cas menées récemment.
Je suis aussi convaincu que la prise d’images 3D et CBCT avant une pose d’implants dentaires, peut permettre de contourner les complications susmentionnées.
Note de la rédaction : Cet article est paru dans la version française de CAD/CAM, Vol. 2 , juin 2013. la conférence du Dr. Almog « Introduction to Cone Beam CT (CBCT), especially as it pertains to Prevention of Failures in Oral Implantology », concernant l’utilisation de la CBCT pour prévenir les échecs en implantologie buccale, présentée lors du symposium du Dental Tribune Study Club, pendant le congrès dentaire international Greater New York Dental meeting 2010, est disponible en ligne sur www.dtstudyclub.com.
_Référence 1. Kalorama Information, "Implant-based dental reconstruction: The worldwide implant and bone graft market", 2007 www.kaloramainformation.com/pub/ 1099235.html, publié le 6 juin 2011.
En juin dernier, la ministre des Solidarités et de la Santé et le ministre de l’Action et des comptes publics ont confié à l’Union française pour ...
De quelle manière le laser peut, de par son utilisation chirurgicale, représenter une réelle alternative au manque de volume osseux et ...
Lorsqu’il est question des dernières innovations en implantologie dentaire, l’un des sujets les plus fréquemment abordés, concerne les technologies ...
Engagée dans la promotion de la santé orale auprès de tous les Français depuis bientôt 60 ans, l’Union française pour la santé bucco-dentaire ...
WASHINGTON, États-Unis : Les composés naturels continuent d’attirer l’attention en tant qu’alternatives potentielles aux agents synthétiques dans ...
Comment le laser peut de par son utilisation chirurgicale représenter une réelle alternative au manque de volume osseux et aux greffes qui en ...
La péri-implantite et non intégration des implants sont les grands challenges de l’implantologie, même si la péri-implantite reste exceptionnelle ...
En mai prochain, le premier annuaire professionnel recensant tous les spécialistes (implanto, ortho, pédo…) sera envoyé à...
À un moment où la recherche d’économies monopolise l’esprit des décideurs notamment dans le domaine des ...
BRUXELLES, Belgique : La Fédération européenne de parodontologie (EFP) a annoncé une nouvelle directive visant à aider les professionnels de la santé ...
Webinaire en direct
jeu. le 14 mai 2026
à 18h00 (CET) Paris
Webinaire en direct
jeu. le 14 mai 2026
à 20h00 (CET) Paris
Prof. Hani Ounsi DDS PhD FICD
Webinaire en direct
mar. le 19 mai 2026
à 17h00 (CET) Paris
Webinaire en direct
mar. le 19 mai 2026
à 19h00 (CET) Paris
Prof. Dr. med. dent. Ivo Krejci
Webinaire en direct
mer. le 20 mai 2026
à 13h00 (CET) Paris
Dr. Graham Carmichael BDSc (Hons), DClinDent (Pros), FRACDS, Dr. Robert Gottlander DDS
Webinaire en direct
mer. le 20 mai 2026
à 15h00 (CET) Paris
Webinaire en direct
mer. le 20 mai 2026
à 19h00 (CET) Paris
Prof. Dr. med. dent. Tim Joda PhD, MSc, eMBA
To post a reply please login or register