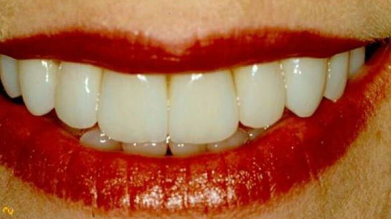
Les dentistes traitent des cas difficiles, tout le temps, et certains sont plus extrêmes que d'autres, de par la planification compliquée du traitement. Les patients, parfois, ne veulent pas investir du temps et de l'argent pour ce que les dentistes ont à l'esprit comme plan de traitement. Prenez, par exemple, cette étude de cas (Fig. 1).
Nous avons un patient qui a les centrales en rotation et qui chevauchent les latérales; il a les latérales derrière les canines et les encombrements des canines a causé rotations et chevauchements dans les latérales. Le dentiste aurait très probablement pu aviser le patient que, pour la conservation de la structure de la dent, il devrait envisager l'orthodontie pour une période prolongée, le temps de redresser les centrales en bonne position, tout en réglant les encombrements. Ceci, bien sûr, pour faire court.
L'orthodontie nécessiterait une longue période de temps avant que les progrès et les résultats ne se montrent. De façon réaliste, si vous ou moi avions le choix entre ce long processus de traitement avant de voir les résultats ou, d'une autre façon, d'avoir les résultats instantanément, nous aurions probablement choisir cette dernière comme plan de traitement.
Danny Materdomini, MDT (NdT : Maître Prothésiste Dentaire), enseigne la technique Insta-Ortho aux dentistes depuis des années, dans ses séminaires et démonstrations pratiques sur modèles d'étude dupliqués.
La méthode que Materdomini enseigne exige une augmentation et la préparation des dents pour des facettes. Il fournit au patient des résultats instantanés, moins de visites et moins de patience nécessaire pour voir le résultat et, plus probable qu'improbable, le dentiste fait accepter ce traitement.
Nous allons découvrir quelques-uns des principaux points de la présentation de Materdomini sur l'Insta-Ortho, avec une étude de cas qui lui est fourni par le Dr Steven Donia.
La clé du succès, pour un cas extrême comme celui-ci, est la planification. Le dentiste devra planifier quels outils vont être nécessaires pour obtenir l'acceptation du traitement, ainsi que des outils de communication entre le dentiste, le patient, et le laboratoire dentaire. Quels matériaux vont être nécessaires pour commencer et finir le cas ? Quels sont les choix de restauration pour ce cas, pour le meilleur résultat possible, dans l'esthétique ?
Un wax-up est fortement recommandé, de votre laboratoire dentaire, pour être utilisé à trois fins : l'utiliser comme un outil de communication pour montrer quelles modifications seront apportées aux dents du patient, l'utiliser comme outil de l'acceptation de cas, et enfin pour une clé en putty, pour les temporaires. Vous aurez également besoin d'un bon guide du sourire pour bien comprendre, dès le début, ce que le patient veut dans la métamorphose de son sourire.
Nous recommandons fortement le "Smile StyleGuide", Bibliothèque Lorin, par le Dr. Lorin Berland et le Dr. David Traub. Le guide du sourire sera également essentiel pour communiquer à votre laboratoire dentaire à quoi la restauration finale devra ressembler. Une fois que le patient a accepté le traitement, le dentiste va utiliser le Nombre d'Or pour établir la largeur et la longueur des dents.
Materdomini explique que le dentiste aura besoin d'outils physiques pour faire le travail correctement. Un bon kit de préparation de facettes est important ; da Vinci ou Nixon Porcelain Veneer Préparation Kit est, de loin, un des meilleurs kits complets sur le marché. Renamel Nano, de Cosmedent, est une grande lumière à polymériser les matériaux composites hybrides qui seront nécessaires pour terminer l'augmentation. Deux disques sont nécessaires, un disque ultra-mince double face, diamanté et un disque simple face, diamanté par Brasseler pour augmenter et ouvrir les contacts proximaux.
Materdomini enseigne que le dentiste va créer un point de départ sur la ligne médiane. Avec l'utilisation d'un marqueur et d'un compas, le dentiste va marquer les dents avant de commencer toute préparation ou à faire d'augmentation (Fig. 2).
Ensuite, en commençant par le disque diamanté, double face, ultra mince, le dentiste va établir une ligne médiane entre les centrales (Fig. 3). Après que la ligne médiane soit établie, le dentiste va commencer à ouvrir les contacts où le plus de sur-contours et sous-contours sont présents. Le dentiste devra alors ouvrir les contacts distaux des centrales, ouvrir les contacts distaux et mésiaux des latérales, puis ouvrir les contacts distaux et mésiaux des incisives, avec un disque diamanté sur un seul côté (Fig. 4).
Materdomini précise aux dentistes qu'ils doivent terminer toute augmentation des dents avant d'utiliser le composite hybride pour rétablir les points de contact des dents et de créer une forme d'arcade équilibrée, de la partie antéro-supérieure. Appliquer le composite hybride aux zones mésiales et distales où les contacts ont été ouverts et polymériser tous les composites en même temps (Fig. 5). La prochaine étape est d'utiliser un diamant en forme de football pour créer une surface linguale symétrique avant de commencer la préparation des facettes. Préparation des dents, comme le dentiste le souhaite pour les facettes (Fig. 6a et 6b).
Une fois la préparation des facettes faite et l'empreinte finale prise, nous revenons à la cire pour créer une clé en putty, pour les temporaires. Le laboratoire dentaire sera informé de la conception du sourire que le patient a choisi dans le guide sourire et de là, le laboratoire dentaire créera les facettes.
Materdomini opte pour la porcelaine feldspathique Noritake, parce qu'elle offre toujours les meilleurs résultats, quand il s'agit de l'effet polychrome, ainsi que l'esthétique. Il utilise la technique du papier d'aluminium pour la méthode réfractaire pour les facettes, car c'est la meilleure méthode pour créer un meilleur ajustement marginal ainsi que l'ajustement global. Il a réussi avec cette méthode, depuis plus de 27 ans.
Nous pouvons voir que le résultat final du cas et l'esthétique sont beaux (Fig. 7). La traduction depuis la cire et le guide du sourire sont au point. Nous avons une nouvelle forme équilibrée d'arcade supérieure (fig. 8). Les largeurs et hauteurs correspondant à l'aspect global du patient (Fig. 9).
Conclusion
Insta-Ortho offre une alternative de traitement dentaire pour le patient. Le patient n'a pas besoin d'attendre les résultats comme il le ferait avec l'orthodontie.
L'orthodontie reste encore la norme de plan de traitement car elle est conservatrice, quand il s'agit de structure dentaire, mais la plupart des patients ne veulent pas attendre des mois, voire des années pour voir des résultats. Pour certains cas d'orthodontie, il faudra encore préparer des facettes, plus tard. Insta-Ortho fournit un plan de traitement nouveau qui générera également des revenus nouveaux pour le dentiste et donne aux patients les résultats instantanés qu'ils recherchent. Communiquer et planifier, avec les patients et le laboratoire dentaire, pour un cas comme celui-ci, est toujours la clé du succès.
embedImagecenter("Imagecenter119",119);
À propos de l'auteur
Daniel Materdomini a reçu sa formation en céramique et son graduat, à New York, en 1960. Depuis 30 ans, il a est le propriétaire des Studios Dentaires da Vinci, situés à West Hills, Californie.
Le Dr Kristina Baumgarten, dentiste à Siegen en Allemagne, est une adepte du flux de travail numérique. Bien qu’elle ne soit pas orthodontiste, elle ...
CHARLOTTE, États-Unis : CEREC sur DS Core simplifie les flux de travail au fauteuil pour les équipes qui débutent en dentisterie numérique. ...
ZURICH, Suisse : Patent Symbionic Teeth s’imposent comme la nouvelle référence en matière de remplacement dentaire. Inspirées des dents naturelles, ...
La restauration de classe II reste l’une des opérations les plus courantes et les plus exigeantes sur le plan technique en dentisterie. Chaque jour, les ...
Interview du Dr Ellenberg, Paris 14e
Bonjour, Dr Ellenberg, pouvez –vous nous présenter votre cabinet et votre activité ?
Bonjour,...
COPENHAGUE, Danemark : Pour simplifier le flux de travail, le rendre plus efficace et plus rapide, 3Shape a récemment annoncé une nouvelle collaboration ...
Nous avons profité du dernier congrès de l'IDS à Cologne à l'occasion de la présentation de la Survey 2017 fait par la ...
Président de l'association professionnelle dentaire tchèque Czechdent et directeur général de Dentamed (République ...
A smile est un gel visqueux pour l’éclaircissement des dents vitales à l’aide d’une gouttière thermoformée personnalisée. Voici un cas clinique ...
Le numérique peut rapprocher prothésistes et dentistes. Optimiser les nouvelles opportunités dans une équipe interprofessionnelle est le sujet de ...
Webinaire en direct
jeu. le 7 mai 2026
à 2h00 (CET) Paris
Ms. Ellen Karlin, Dr. Sara Karlin
Webinaire en direct
jeu. le 7 mai 2026
à 17h00 (CET) Paris
Webinaire en direct
jeu. le 7 mai 2026
à 18h00 (CET) Paris
Webinaire en direct
jeu. le 7 mai 2026
à 18h00 (CET) Paris
Dra. Maria Carolina Erhardt, Dra. Thais Tomé Feldens
Webinaire en direct
jeu. le 7 mai 2026
à 20h30 (CET) Paris
Webinaire en direct
lun. le 11 mai 2026
à 18h00 (CET) Paris
Webinaire en direct
lun. le 11 mai 2026
à 19h00 (CET) Paris
To post a reply please login or register