Search Dental Tribune

Symbionic Teeth : le remplacement dentaire avec barrière protectrice muqueuse

Patent Symbionic Teeth incarnent la nouvelle génération du remplacement dentaire. Grâce à la formation d’une barrière muqueuse protectrice, elles restaurent la fonction défensive naturelle des tissus mous d’une dent saine. Les études cliniques à long terme démontrent que cette avancée médicale contribue à la pérennité de tissus sains et à la stabilité esthétique des restaurations dentaires fixes. (Photo : Patent Medical)
Patent Medical

Patent Medical

mar. 10 mars 2026

Enregistrer

ZURICH, Suisse : Patent Symbionic Teeth s’imposent comme la nouvelle référence en matière de remplacement dentaire. Inspirées des dents naturelles, elles génèrent la formation d’une barrière muqueuse protectrice qui préserve les tissus environnants en limitant la migration de la plaque et l’infiltration bactérienne. Les études à long terme démontrent que ce concept unique permet de réduire significativement — voire de prévenir — des complications telles que la mucosite et la péri-implantite.¹˒² Cet atout clé permet de garantir des résultats esthétiques durables en remplacement dentaire.

Les dents naturelles disposent, au niveau des tissus mous, d’une barrière protectrice biologique qui empêche la pénétration de la plaque et des bactéries dans les tissus sous-jacents, limitant ainsi le risque d’inflammation. Lorsqu’une dent est perdue, cette barrière protectrice est détruite. À ce jour, aucun implant dentaire conventionnel ne permet de restaurer pleinement cette fonction essentielle.

Fig. 1 : Micrographie électronique à balayage illustrant l’interface entre Patent Symbionic Teeth et les tissus mous environnants, mettant en évidence l’intégration et la continuité structurale au niveau de la jonction tissulaire. (Photo : Dr Roland Glauser)

Fig. 1 : Micrographie électronique à balayage illustrant l’interface entre Patent Symbionic Teeth et les tissus mous environnants, mettant en évidence l’intégration et la continuité structurale au niveau de la jonction tissulaire. (Photo : Dr Roland Glauser)

Une barrière protectrice muqueuse

Avec Patent Symbionic Teeth, la reconstitution d’une telle barrière devient possible pour la première fois. Patent Symbionic Teeth sont la première solution de remplacement dentaire capable de reconstituer une barrière muqueuse, offrant une protection des tissus comparable à celle observée autour des dents naturelles. Cette innovation marque une évolution logique des implants conventionnels, en intégrant une dimension biologique jusqu’ici insuffisamment reproduite. Seules Patent Symbionic Teeth ont permis de démontrer scientifiquement, pour la première fois, ce processus biologique inédit (Fig. 1).

Un nouveau niveau de possibilités cliniques

La barrière muqueuse autour des Patent Symbionic Teeth protège efficacement les tissus contre la migration de la plaque et l’infiltration de pathogènes buccaux, notamment les bactéries (Fig. 2). Elle permet ainsi aux spécialistes du remplacement dentaire de préserver durablement la santé tissulaire de leurs patients et de réduire de manière significative — voire d’éliminer — les complications fréquemment associées aux implants dentaires (43 % de mucosite et 22 % de péri-implantite).¹³ Cette avancée constitue dès lors un levier essentiel pour assurer des résultats esthétiques stables et pérennes en remplacement dentaire.¹

Fig. 2 : Coupe histologique illustrant l’adhésion de l’épithélium jonctionnel (JE) à la surface Patent, formant une barrière biologique efficace qui limite la migration de la plaque bactérienne et du tartre (CAC) vers les tissus. (Photo : Dr Peter Schüpbach)

Fig. 2 : Coupe histologique illustrant l’adhésion de l’épithélium jonctionnel (JE) à la surface Patent, formant une barrière biologique efficace qui limite la migration de la plaque bactérienne et du tartre (CAC) vers les tissus. (Photo : Dr Peter Schüpbach)

Bénéfices cliniques

  • La barrière muqueuse limite la migration de la plaque le long de la surface Patent et sa diffusion dans les tissus profonds (Fig. 2).
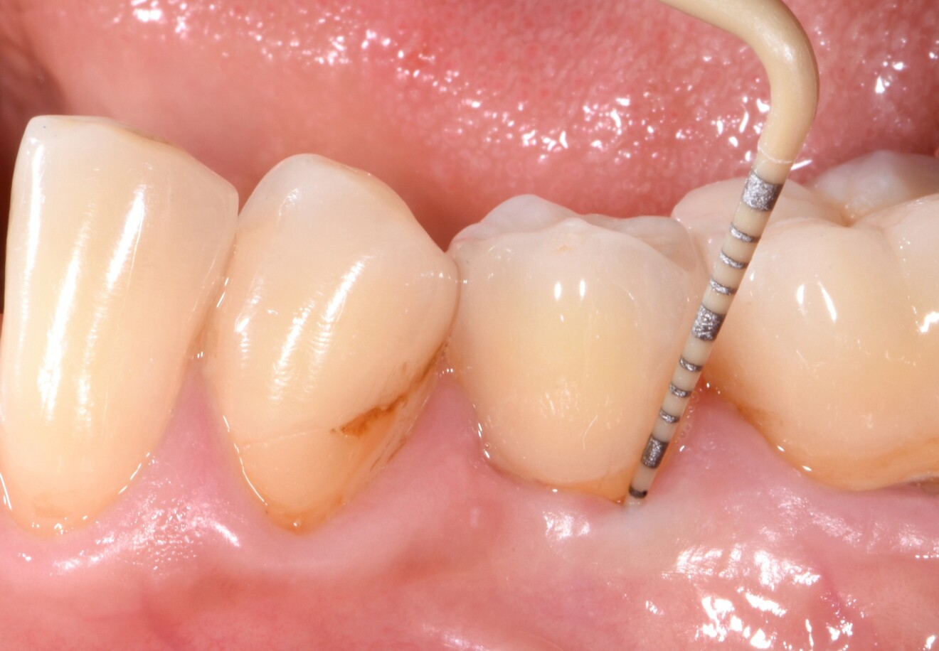
  • À neuf ans de suivi, Patent Symbionic Teeth présentent une profondeur de sondage moyenne de 3 mm, conforme aux valeurs de référence d’une dent naturelle saine (Fig 3).¹
  • À neuf ans de suivi, la récession gingivale moyenne observée autour des Patent Symbionic Teeth est limitée à 0,1 mm, gage d’une stabilité tissulaire à long terme.¹
  • Les études à long terme mettent en évidence une faible incidence de mucosite et aucune péri-implantite, y compris chez les patients présentant des facteurs de risque.1,2

La dernière génération de remplacement dentaire

Patent Symbionic Teeth représentent la dernière génération de solutions de remplacement dentaire, en induisant la formation d’une barrière muqueuse protectrice, préservant les tissus environnants contre la migration de la plaque et l’infiltration bactérienne. Cette avancée médicale permet ainsi des solutions de remplacement dentaire se rapprochant davantage des caractéristiques biologiques et esthétiques d’une dent naturelle.

Pour plus d’informations, rendez-vous sur www.mypatent.com.

Fig. 3 : Après 4,5 ans de mise en fonction, Patent Symbionic Tooth affiche une profondeur de sondage maximale de 3 mm, valeur comparable à l’état physiologique d’une dent naturelle saine, témoignant de la stabilité des tissus environnants. (Photo : Dr Roland Glauser)

Fig. 3 : Après 4,5 ans de mise en fonction, Patent Symbionic Tooth affiche une profondeur de sondage maximale de 3 mm, valeur comparable à l’état physiologique d’une dent naturelle saine, témoignant de la stabilité des tissus environnants. (Photo : Dr Roland Glauser)

Note éditoriale:

Références

  1. Brunello G, Rauch N, Becker K, Hakimi AR, Schwarz F, Becker J. Two-piece zirconia implants in the posterior mandible and maxilla: a cohort study with a follow-up period of 9 years. Clin Oral Implants Res. 2022 Dec;33(12):1233–44. doi: 10.1111/clr.14005.
  2. Karapataki S, Vegh D, Payer M, Fahrenholz H, Antonoglou GN. Clinical performance of two-piece zirconia dental implants after 5 and up to 12 years. Int J Oral Maxillofac Implants. 2023 Dec 12;38(6):1105–14. doi: 10.11607/jomi.10284. PMID: 38085741.
  3. Derks J, Tomasi C. Peri-implant health and disease. A systematic review of current epidemiology. J Clin Periodontol. 2015 Apr;42 Suppl 16:S158–71. doi: 10.1111/jcpe.12334. PMID: 25495683.
Mots-clés:
To post a reply please login or register
advertisement
advertisement