Rapport d’utilisateur : Une lampe à photopolymériser est une nécessité dans chaque cabinet dentaire. La lampe D-Light Pro de GC est un dispositif LED de photopolymérisation à double longueur d’onde, qui peut durcir efficacement tous les composites modernes, indépendamment des photo-initiateurs qu’ils contiennent. Mais elle fait encore mieux : en mode détection, les propriétés optiques de la lumière fluorescente peuvent fournir de nombreuses informations, susceptibles de s’avérer utiles à vos diagnostics et de vous aider dans des solutions auxquelles vous n’auriez même jamais songé auparavant.
La fluorescence est une forme de luminescence où la substance absorbe la lumière et la réémet spontanément à une plus grande longueur d’onde de plus faible énergie.
Les dents humaines émettent une autofluorescence dont l’intensité est plus forte dans la dentine que dans l’émail.1
En général, la fluorescence d’une substance est très sensible aux petites différences existant dans une structure ou une composition. Par conséquent, un examen approfondi de la fluorescence de l’émail et de la dentine peut révéler des détails structuraux que d’autres techniques ne montrent pas. Par exemple, on observe une diminution de la fluorescence sur une carie débutante et les taches blanches de l’émail.2 D’autre part, les métabolites bactériens appelés porphyrines, présents dans le biofilm dentaire, émettent une fluorescence caractéristique de couleur rouge-orangée qui est associée aux lésions carieuses actives.3 La technique d’excavation des caries par fluorescence (ou technique FACE, de l’anglais Fluorescense Aided Caries Excavation ) repose sur ce phénomène d’autofluorescence sous la lumière violette. Plusieurs études ont démontré qu’elle représente un outil diagnostique efficace en faveur du concept d’intervention minimalement invasive car elle permet d’éliminer la dentine infectée, sans accroître inutilement la taille de la cavité.4
Fig. 1 : Molaire avec une ancienne restauration à l’amalgame défectueuse.
Fig. 2 : Après l’élimination de l’amalgame, on pouvait observer une fissure dans la partie mésio-linguale de la dent. Cette dent est fortement colorée par des produits résultant de la corrosion.
Fig. 3 : Même dent, nettoyée par air-abrasion.
Figs. 4–5 : On peut observer une fissure très fine dont l’aspect est légèrement sombre ; aucune activité bactérienne n’est visible.
Figs. 4–5 : On peut observer une fissure très fine dont l’aspect est légèrement sombre ; aucune activité bactérienne n’est visible.
Figs. 6–7 : Fissure dans la boîte proximale, devenue plus apparente après l’élimination de la boue dentinaire.
Figs. 6–7 : Fissure dans la boîte proximale, devenue plus apparente après l’élimination de la boue dentinaire.
Fig. 8 : La fluorescence est sensible aux modifications structurales. La couleur violet foncée indique la partie la plus profonde de la fissure. La dentine peut être clairement délimitée grâce à la fluorescence légèrement verte.
Fig. 9 : La préparation laisse un bord lisse et sain.
Fig. 10 : D-Light Pro en mode détection permet de confirmer que les limites marginales de la préparation sont toutes positionnées dans l’émail sain. Il ne reste qu’une fissure extrêmement fine, limitée à l’émail.
Figs. 11–12 : Bridge adhésif détaché. La fluorescence rouge émise par les porphyrines, les produits métaboliques des bactéries buccales, démontre la présence d’un biofilm mature.
Figs. 11–12 : Bridge adhésif détaché. La fluorescence rouge émise par les porphyrines, les produits métaboliques des bactéries buccales, démontre la présence d’un biofilm mature.
Fig. 13 : Fluorescence rouge émise par le biofilm proche du rebord gingival, ce qui indique un risque d’inflammation parodontale.
Fig. 14 : Restauration émettant une hyperfluorescence dans le proche-UV. Cette caractéristique facilite la vérification des limites marginales et l’élimination des anciennes restaurations défectueuses selon le concept d’intervention minimalement invasive.
Fig: 15 : Vue rapprochée d’une limite marginale de la restauration. Un petit espace est visible sous forme d’une ligne violette, adjacente à la restauration fluorescente bleuâtre.
Fig. 16 : Pose d’un onlay en disilicate de lithium ; l’excès de résine composite (G-ænial Anterior, teinte A2) qui doit être éliminé est aisément visible.
Fig. 17 : Même onlay que sur la Fig. 16, après polymérisation. Seule une très fine ligne correspondant au scellement est visible ; l’absence d’un surplomb est confirmée.
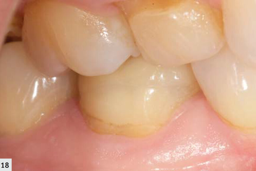
Fig. 18 : Suivi de l’onlay en disilicate de lithium, trois ans après sa mise en place.
Fig. 19 : Même dent que sur la Fig. 18. La fine ligne du scellement (G-ænial Antérior, teinte A2) est visible grâce à l’utilisation de D-Light Pro en mode détection. Les limites marginales présentent une excellente adaptation et sont exemptes de caries.
Critère d’évaluation de la préparation
Les deux cas présentés par la suite illustrent comment le mode détection se révèle utile dans le cadre de votre pratique quotidienne. Un patient s’est présenté avec une ancienne restauration à l’amalgame défectueuse (Fig. 1). Après l’élimination de l’amalgame, des produits résultant de la corrosion et une fissure présente jusque dans la dentine ont été détectés dans la zone mésio-linguale ; l’aspect de la dentine environnante était légèrement plus sombre (Figs. 2–3). Sous le rayonnement proche-UV du mode détection, elle est apparue sous la forme d’une très fine ligne violette, due à la diffraction de la lumière au niveau de la fissure ; toutefois, la dentine environnante s’est révélée saine et sans métabolites bactériens, dans la mesure où aucune fluorescence rouge-orangée n’était observée (Figs. 4–5). Les cuspides ont été réduites afin de minimiser le risque d’une propagation de la fissure, mais aucune préparation supplémentaire n’a été nécessaire.
Une autre dent présentait une profonde fissure au niveau de la limite proximale (Fig. 6). Après le nettoyage (Fig. 7), la structure était mieux visible grâce à la lampe D-Light Pro en mode détection. La structure des tissus dentaires est devenue plus apparente, la dentine émettant davantage de fluorescence dans une couleur verte bien distincte. À ce moment, on pouvait clairement observer la propagation de la fissure dans les couches plus profondes de l’émail, ainsi que dans la dentine (Fig. 8). La fissure a été mieux nettoyée puis préparée à l’aide du dispositif AquaCare Twin (Velopex) chargé avec une fine poudre de coupe d’oxyde d’aluminium, sous pression d’air et refroidissement par eau (Fig. 9). En mode détection, il est possible de confirmer en un coup d’oeil que les limites marginales de la préparation sont toutes positionnées dans l’émail sain (Fig. 10). La fissure extrêmement fine que l’on peut observer est superficielle et limitée à l’émail.
Activité métabolique bactérienne
Une fluorescence rouge du biofilm est généralement attribuée à la présence d’un biofilm mature et elle trouve son origine dans les porphyrines, indiquant une activité métabolique.5 Les figures 11 et 12 présentent un bridge adhésif détaché. Sur la figure 13, on peut observer le biofilm adjacent au rebord gingival.
Une fluorescence rose orangée peut être observée, principalement au niveau des surfaces plus rugueuses, ce qui indique clairement les sites d’accumulation de la plaque. Ces sites sont liés au risque carieux et à l’inflammation parodontale, et ils peuvent être détectés en un coup d’oeil grâce à ces caractéristiques.
Maîtrise parfaite des limites marginales
La majorité des résines composites émettent une hyperfluorescence sous le rayonnement proche-UV.6, 7 Les autres restaurations, minimes, peuvent facilement être observées en mode détection (Fig. 14). De cette façon, il est possible de déceler la présence d’un surplomb et de définir plus aisément les espaces marginaux (Fig. 15). L’élimination des restaurations défectueuses devient ainsi beaucoup plus facile et s’effectue sans retrait inutile de tissu dentaire sain. De plus, ce mode représente un outil très utile au cours des techniques de scellement ; les excès de ciment résine sont immédiatement détectés et peuvent donc être éliminés (Fig. 16) sans polymérisation simultanée ; après le nettoyage, le même dispositif peut être utilisé pour polymériser les limites marginales (Fig. 17). Au cours du suivi, les restaurations sont mieux visualisées (Figs. 18–19) et il est possible d’examiner rapidement et complètement leurs limites marginales.
Le mode diagnostic de la lampe D-Light-Pro est un outil exceptionnel pour voir au-delà de ce qui est visible à l’oeil, nu et faciliter la prise de décision clinique. La structure dentaire, l’activité bactérienne et les matériaux de restauration peuvent être observés et distingués en un coup d’oeil. De cette façon, la D-Light Pro favorise également l’approche minimalement invasive, chaque fois qu’il est possible d’y avoir recours. Plus vous l’utiliserez, plus elle deviendra un outil indispensable dans votre cabinet dentaire !
Note de la rédaction : L'article est paru dans le journal Dental Tribune France, volume 11, numéro 6-7/2019.
Références :
1 Winter R. Visualising the natural dentition. J Esthet Dent. 1993;5(3):102-117.
2 Gomez J. Detection and diagnosis of the early caries lesion. BMC Oral Health. 2015;15(S1):S3. doi:10.1186/1472-6831-15-S1-S3.
3 Gomez G, Eckert G, Ferreira Zandona A. Orange/ Red fluorescence of active caries by retrospective QLF image analyses. Caries Res. 2016;50(3):295-302. doi:10.1007/128.
4 Zhang X, Tu R, Yin W, Zhou X, Li X, Hu D. Micro-computerized tomography assessment of fluorescence aided caries excavation (FACE) technology: Comparison with three other caries removal techniques. Aust Dent J. 2013;58(4):461-467. doi:10.1111/adj.12106.
5 Van Der Veen MH, Volgenant CMC, Keijser B, Ten Cate JM, Crielaard W. Dynamics of red fluorescent dental plaque during experimental gingivitis - A cohort study. J Dent. 2016;48:71- 76. doi:10.1016/j. jdent.2016.02.010.
Mots-clés:
LEIPZIG, Allemagne: les patients porteurs d'amalgames dentaires sont plus susceptibles de souffrir de démence sénile de type Alzheimer. Dans ...
La première partie de cet article décrivait la symbolique des dents, surtout celle des canines, en termes de bien-être et de santé. Dans la seconde ...
Cet article a pour but d’éclairer les lecteurs sur un sujet dont on parle très rarement dans les revues dentaires : le reflet de la position des dents ...
Dans un environnement de soins de santé en évolution rapide, l’intégration des soins médicaux et dentaires suscite une attention croissante. Le ...
L’European Aligner Society (EAS) récemment tenu son sixième congrès sur l’île de Rhodes, en Grèce, proposant un programme riche en enseignements et...
Précurseur dans la décontamination de l’eau des units depuis 35 ans et reconnu mondialement pour son savoir-faire français, Airel-Quetin a pour ...
Pour le Dr Michel Pompignoli, président du Congrès ADF 2018, le thème du prochain Congrès reflète l’engagement scientifique, sociétal et politique ...
Soyons honnête : il y a des fois où votre prothésiste ne livre pas ce que vous aviez prévu, si clairement, dans votre esprit. Un ...
Le Dr Mitra Derakhshan travaille avec Align Technology depuis 2000 et occupe le poste de vice-présidente de Global Clinical. Elle est experte clinique dans...
Les nouveaux cartons de rendez-vous de l’Aide Odontologique Internationale (AOI) vous permettent de planifier agréablement les rendez-vous avec vos ...
Webinaire en direct
jeu. le 14 mai 2026
à 18h00 (CET) Paris
Webinaire en direct
jeu. le 14 mai 2026
à 20h00 (CET) Paris
Prof. Hani Ounsi DDS PhD FICD
Webinaire en direct
mar. le 19 mai 2026
à 17h00 (CET) Paris
Webinaire en direct
mar. le 19 mai 2026
à 19h00 (CET) Paris
Prof. Dr. med. dent. Ivo Krejci
Webinaire en direct
mer. le 20 mai 2026
à 13h00 (CET) Paris
Dr. Graham Carmichael BDSc (Hons), DClinDent (Pros), FRACDS, Dr. Robert Gottlander DDS
Webinaire en direct
mer. le 20 mai 2026
à 15h00 (CET) Paris
Webinaire en direct
mer. le 20 mai 2026
à 19h00 (CET) Paris
Prof. Dr. med. dent. Tim Joda PhD, MSc, eMBA