Cet article a pour but d’éclairer les lecteurs sur un sujet dont on parle très rarement dans les revues dentaires : le reflet de la position des dents et des lésions de chacune d’elles sur le bien-être et la santé. En 2000, J’ai lu un livre rédigé par le Dr Michèle Caffin, chirurgien-dentiste française, et intitulé Quand les dents se mettent à parler. J’avais été si étonné par les découvertes de ma consœur française que j’ai entrepris mes propres observations.
J’ai commencé à les documenter et à encourager mes patients à me parler de leurs troubles et problèmes qui ne semblaient pas manifestement dentaires. C’est ainsi que la médecine psychosomatique, s’est imperceptiblement insinuée dans ma méthode de traitement. Elle vient en aide aux patients dont les bilans biochimiques, radiologiques et autres dénotent un état sain mais qui pourtant continuent à souffrir de problèmes dentaires.Pour éviter de me plonger constamment dans mes dossiers, j’ai conçu des schémas pratiques qui tiennent en une page et modélisent la signification de chaque dent. Les couleurs correspondent aux méridiens d’acupuncture4 dont je décrirai le lien avec les différents groupes de dents dans la seconde partie de cet article. En ce qui concerne cette première partie, mon objectif est de mettre à profit mes dix années d’expérience, et plus, pour esquisser un tableau inhabituel où les dents sont telles un miroir du bien-être et de la santé des patients.
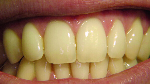
Si l’on considère les mâchoires sous cet angle insolite, le maxillaire solidement attaché au crâne est l’image de nos désirs (Fig. 1). En particulier, sa largeur et les dents alignées régulièrement dans l’arcade indiquent que le patient ou la patiente est capable d’exprimer ses souhaits, et la communication avec cette personne ne posera donc aucune difficulté (Fig. 2).
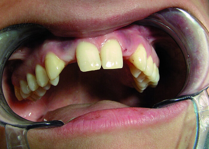
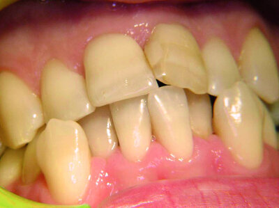
Par contre, un maxillaire étroit, où les incisives et les canines s’articulent en occlusion inversée antérieure, reflète une personne passive avec qui les échanges seront moins aisés. De telles difficultés à exprimer les désirs et les sentiments dans la vie sont signalées chez les porteurs d’une prothèse maxillaire complète, par exemple (Fig. 3).
La mandibule, mobile et fixée au crâne par l’articulation temporo-mandibulaire, témoigne de nos actes. Le menton surtout est un emblème d’énergie et de volonté. Dans les romans, les héros et héroïnes des romans n’ont jamais un profil d’oiseau. Le quadrant droit se rapporte principalement au futur et le gauche au passé. Les composantes positives et négatives de chaque quadrant sont illustrées dans la Figure 4.
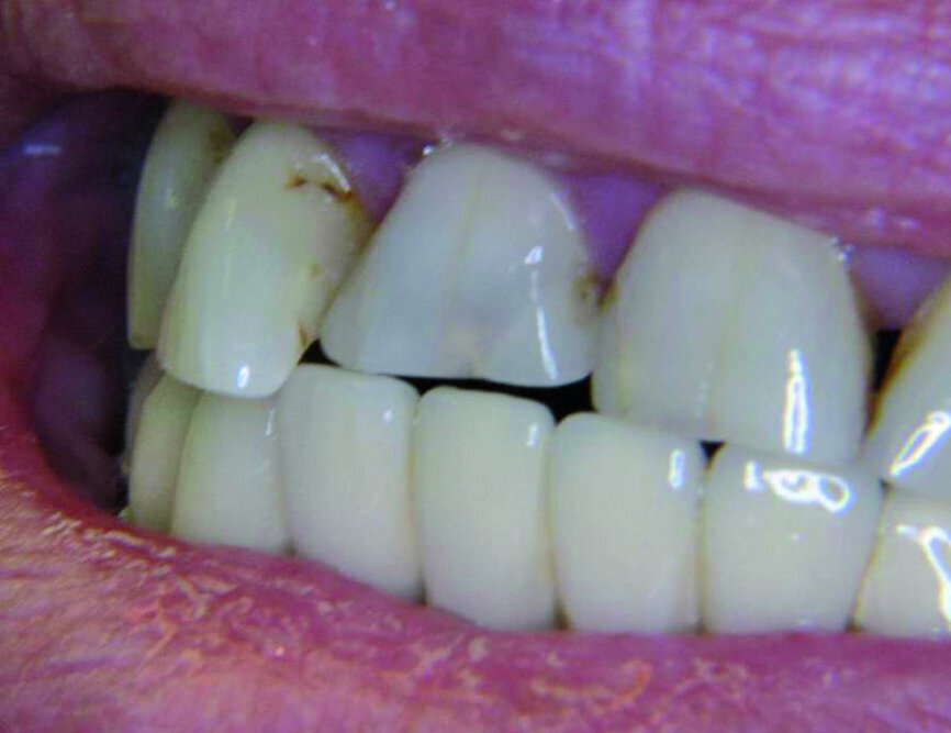
Au regard des dents individuelles, l’élément fondamental dont il faut tenir compte est la position dans l’arcade. Si la dent se situe en vestibulaire par rapport à l’arcade, les particularités sont prépondérantes. Si la dent se situe en lingual ou en palatin, est décalée par rapport aux dents adjacentes, s’articule en occlusion inversée antérieure ou est absente, les particularités sont secondaires. Des surfaces importantes touchées par des caries, des obturations et des dents dépulpées sont sur un pied d’égalité quant à la négativité de l’évaluation.
Les incisives centrales symbolisent les caractéristiques masculines et féminines : l’incisive centrale supérieure droite est le père ; l’incisive centrale supérieure gauche est la mère (Fig. 5). Les personnes dont l’incisive centrale supérieure gauche est proéminente (cette dent chevauche souvent la droite) ont subi une plus forte influence de la mère que du père au cours de leur vie, et conservent encore fréquemment cette influence à l’âge adulte (Fig. 6).
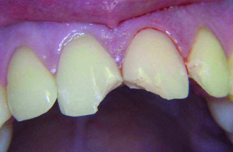
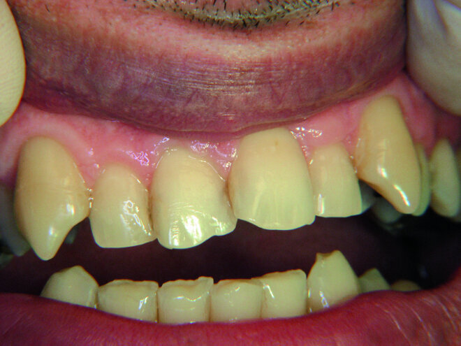
Si l’on a bien conscience de ce fait, on s’aperçoit qu’on le rencontre très couramment. L’inverse (une influence plus forte du père) touche une minorité de gens (Fig. 7). Un alignement parfait des deux incisives témoigne d’une influence équilibrée des deux parents. Un exemple de situation réelle : la Figure 8 montre deux incisives centrales fracturées (dents 11 et 21) dont la gauche a finalement été extraite en raison d’une fracture radiculaire. Les parents de la patiente avaient divorcé. Le juge l’avait placée sous la garde du père et avait confié l’autre enfant à la mère. La patiente avait ainsi perdu sa mère et symboliquement sa dent 21.
J’observe habituellement des diastèmes (Fig. 9) chez des patients dont les parents semblent vivre ensemble mais finalement mènent chacun leur vie. Les patients présentant des diastèmes connaissent généralement des relations difficiles avec un partenaire. Bien sûr, ce ne sont généralement pas les personnes concernées qui vous fournissent de telles informations. Ces recoins secrets des ménages, on les découvre si l’on est le dentiste de famille depuis de nombreuses années.
Les incisives centrales inférieures (Fig. 10) témoignent de l’importance des parents dans la vie quotidienne du patient. La valeur informative des incisives supérieures est toutefois encore plus importante selon mes observations.
Les incisives latérales symbolisent le tempérament de la personne et ses réactions à l’égard des archétypes ( attitude vis-à-vis des parents ; Fig. 11). Une incisive latérale supérieure droite (dent 12) en vestibuloversion signifie que la personne est capable de défendre sa liberté au sein de la famille, mais elle est généralement en conflit avec le père (Fig. 12). Une position similaire de l’incisive latérale supérieure gauche (dent 22) indique une opposition à la mère (Fig. 13), comme j’en ai eu la confirmation chez les deux patients présentés dans les figures. Si les dents 12 et 22 sont toutes deux en vestibuloversion et chevauchent partiellement les incisives centrales, le patient tend à dominer ses parents.
Par contre, une palatoversion, une microdontie ou une anodontie totale (Fig. 14a) de ces dents est une indication de subordination, souvent dans la famille mais aussi dans la société. Par exemple, la réponse aux questions que je posais à l’enfant de la Figure 14b, chez qui l’on peut observer une occlusion inversée antérieure touchant les incisives latérales temporaires, venait toujours de la mère, sans que l’enfant ne prononce un mot. Par conséquent, un traitement orthodontique, prothétique ou implantaire peut donner à ces patients un bien meilleur départ dans la vie sociétale actuelle (Figs. 15a et b) ainsi qu’une position stable au sein de la famille.
Les canines reflètent les changements par lesquels une personne est passée. Leur éruption a lieu dans une période de forte croissance et au début de l’adolescence (Fig. 16). La canine supérieure droite symbolise la manière dont on veut exprimer sa personnalité au monde extérieur. La canine supérieure gauche témoigne de l’attitude que l’on prend vis-à-vis des transformations
(Fig. 17). La canine inférieure droite est l’expression de ce que l’on souhaite accomplir extérieurement. La canine inférieure gauche est le reflet des transformations intérieures (Fig. 18). Les canines sont généralement perçues par les autres comme un symbole de vitalité et de supériorité. Une canine courte ou une canine forte proéminente est fréquemment remplacée par un implant ou restaurée de manière à reconstruire la dent. Les canines, tout comme les incisives latérales, m’ont également permis d’observer l’effet rétroactif d’un repositionnement dentaire qui se concrétisait par le changement de comportement psychique des patients. Par exemple, un traitement orthodontique a transformé une jeune fille timide dont la canine supérieure droite était en retrait en une personne pleinement épanouie et sûre d’elle. À tel point que, devant l’enfant totalement différente avec laquelle ils vivaient subitement, les parents ressentaient de l’anxiété. Le traitement ne fut probablement pas la seule cause du changement mais, dans mon cabinet dentaire, j’ai souvent vécu des cas comparables de l’effet rétroactif d’un alignement des dents.
L’alignement des dents d’un patient au moyen d’un traitement orthodontique mène à la perte des informations initiales (Fig. 19). Cependant, le problème sous-jacent (par exemple, une fille reste sous la domination de sa mère car elle n’a pas réussi à prendre son envol dans le monde - la dent 21 chevauche la dent 11 - ou, inversement, cette fille refuse inconsciemment de grandir et devenir une femme car elle se complaît dans son rôle d’enfant sage) doit avoir été résolu. Si ce n’est pas le cas, et si ce patient arrête le port d’un appareil de rétention amovible, ou ne porte pas de contention fixe, nécessaire au maintien de la position des dents après la dépose de l’appareil orthodontique, les dents reprendront rapidement leur alignement original sans cause apparente.
Note de la rédaction : cette publication est la première partie d’un article qui en compte deux. Une liste complète des références est disponible auprès de l’éditeur. Cet article est paru dans le cosmetic dentistry 2/2015 et dans le journal Dental Tribune France n°9/2017
Mots-clés:
La première partie de cet article décrivait la symbolique des dents, surtout celle des canines, en termes de bien-être et de santé. Dans la seconde ...
DT Entretien en ligne avec le Professeur Thimios Mitsiadis, Directeur de l'Institut de Biologie Buccale à l'Université de Zürich, au ...
Précurseur dans la décontamination de l’eau des units depuis 35 ans et reconnu mondialement pour son savoir-faire français, Airel-Quetin a pour ...
LEIPZIG, Allemagne : Alors que la course au développement d'un vaccin contre le coronavirus se poursuit, certaines questions méritent des ...
L’European Aligner Society (EAS) récemment tenu son sixième congrès sur l’île de Rhodes, en Grèce, proposant un programme riche en enseignements et...
Pierre Dana est surnommé le « luthier des instrumentistes » ! Pourquoi ? C’est ce que nous allons découvrir ou comment un ...
Pierre Dana est surnommé le « luthier des instrumentistes » ! Pourquoi ? C’est ce que nous allons découvrir ou comment un chirurgien dentiste est ...
NICE, France : Le 4e congrès Euro Implanto s’est déroulé les 26 et 27 Avril à Nice. Organisé dans le magnifique cadre du Palais de la Méditerranée,...
NEW YORK, NY, États-Unis : Une étude récente de l'Université de Harvard a révélé que la consommation ...
Nous savons tous que travailler en vision indirecte nous éviterait de nous pencher en avant pour voir les dents maxillaires. Nous savons aussi que ...
Webinaire en direct
ven. le 16 janvier 2026
à 18h00 (CET) Paris
Webinaire en direct
lun. le 19 janvier 2026
à 19h00 (CET) Paris
Philipp Kopp, Michael Seeber
Webinaire en direct
jeu. le 22 janvier 2026
à 15h00 (CET) Paris
Prof. Judith Jones D.D.S; M.P.H., Prof. Kakuhiro Fukai D.D.S., Ph.D, Dr. Bathsheba (Bethy) Turton
Webinaire en direct
jeu. le 22 janvier 2026
à 20h00 (CET) Paris
Dr. Nicola M. Grande DDS, PhD
Webinaire en direct
mer. le 28 janvier 2026
à 14h00 (CET) Paris
Webinaire en direct
mer. le 28 janvier 2026
à 17h00 (CET) Paris
Prof. Dr. Jan-Frederik Güth
Webinaire en direct
mer. le 28 janvier 2026
à 17h00 (CET) Paris
Dr. Algimante Lošytė – Jančė
To post a reply please login or register