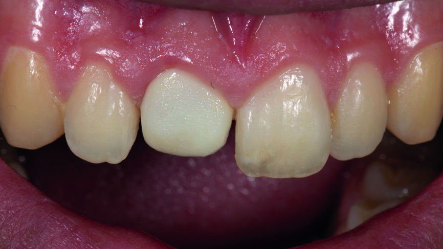
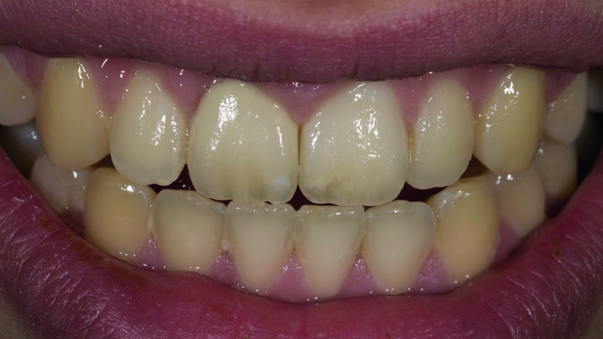
L’incisive centrale supérieure droite (dent 11) de la patiente avait été fracturée à la suite d’un accident. Après un traitement provisoire avec des composites, son dentiste avait décidé de résoudre le problème avec une couronne partielle. À l’origine de cette décision, le changement de couleur de la dent qui s’assombrissait, et la patiente voulait retrouver la teinte de l’autre incisive, la dent 21 (Fig. 1)
Intégrer la teinte d’une incisive centrale unitaire du premier coup.
Cet article démontre comme il est facile et prédictible de réussir l’intégration de teinte d’une incisive centrale unitaire avec Initial LiSi de GC. En cela, le logiciel Matisse joue un rôle important (Fig. 2). Matisse est basé sur une technologie d’intelligence artificielle qui propose des solutions chromatiques précises, notamment le choix et le mélange des types de poudre dentine, et l’utilisation du type de sous structure. Après avoir mis les formules en application, le prothésiste dentaire peut obtenir une parfaite concordance de teinte.
La préparation du cas
Le patient se rend au laboratoire dentaire ou au cabinet du praticien pour la prise de photos et un enregistrement de la teinte. Pour obtenir les formules précises, il est nécessaire de disposer de trois images des dents (Fig. 2) :
1 – Image de la situation initiale en polarisation croisée.
2 – Situation initiale sans filtres polarisants.
3 – Image de la préparation en polarisation croisée
Étapes dans le logiciel Matisse
Photos dentaires
Après l’importation des images dans le logiciel, nous sélectionnons le réglage « Grey Card » (carte des gris), dans ce cas L*79 (Fig. 2). Matisse est également compatible avec le teintier Vita 3D Master lorsque le réglage « Whibal Card » (carte de balance des blancs), L*76 est sélectionné. Un clic sur le bouton « Calibrate Photo » (étalonnage photo) permet de choisir un point sur la carte des gris et la photo est automatique[1]ment étalonnée (Fig. 2).
Marques de céramique
Dans le cas de cette patiente, le choix s’est porté sur Initial LiSi de GC. Indications L’onglet Crown (couronne) est sélectionné comme indication du cas. Mais il existe d’autres options : facette sur matériau réfractaire, couronne sur implant, bridge Maryland, couronne monolithique de re[1]couvrement total et facette sur disilicate de lithium (Fig. 2). Sous-structure Pour ce cas, nous choisissons le disilicate de lithium car nous avons besoin d’une sous-structure très opaque, afin de masquer la préparation, mais aussi suffisamment lu[1]mineuse pour parvenir à obtenir une luminosité similaire (Fig. 3).
Espace total disponible
L’espace entre la préparation et l’épaisseur finale de la couronne est mesuré ; cette mesure est très facile lorsque la couronne a été conçue numériquement (Fig. 2).
Stratification de la couronne
Pour commencer, la sous-structure est teintée avec les colorants et glazures universels : ici, Initial Spectrum Stains SPS2 pour la région cervicale et Initial Spectrum Stains SPS2/SPS13 pour la région incisive. Elle est ensuite saupoudrée de céramique Initial FD91, puis soumise à une cuisson de connexion (Fig. 4)
L’anatomie histologique de la dent est analysée et une cartographie des teintes est créée. Les formules sont mélangées au moyen d’un échantillonneur-doseur universel ou de l’échantillonneur-doseur du fabricant Smile Line.
Fig. 1 : Vue intra-orale, montrant la préparation dyschromique.
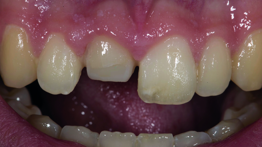
Fig. 2 : Vue intra-orale, montrant la préparation dyschromique
Fig. 3 : Les formules de poudres céramiques.
Fig. 4 : La sous-structure conseillée selon le calcul HO1 0,3 mm.
Fig. 5 : Ébauche amélaire avec la teinte E59.
Fig. 6 : Application de la formule de caractérisation interne pour tenir lieu de dentine sur la région incisive.
Fig. 7 : Application de la formule correspondant à la dentine cervicale.
Fig. 8 : Application de la formule correspondant à la dentine du tiers coronaire.
Fig. 9 : Création des effets internes avec EOP – Opal booster, TM-02, EOP-2 et CT23.
Fig. 10 : Essayage après la première cuisson.
Fig. 11 : Résultat final sur le modèle.
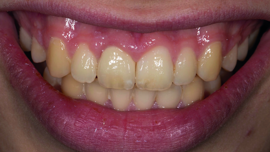
Fig. 12 : Résultat final en bouche.
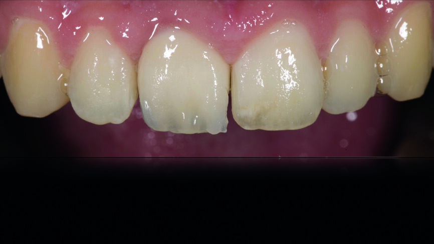
Fig. 13 : Ímage en gros plan du résultat final.
Fig. 14 : Image en polarisation croisée du résultat final.
Fig. 15 : Image traitée par le programme d’édition de photo, afin de visualiser les effets internes.
Fig. 16 : Vérification de la luminosité du résultat final.
Fig. 17 : Vérification ultime du résultat final sur image inversée (négatif).
Première couche : Anatomie histologique de la dentine
Pour créer une transition naturelle et opalescente entre la dentine et l’émail, il est conseillé de commencer par réaliser une ébauche amélaire (Fig. 5). L’ébauche utilisée correspond à l’indication calculée par le logiciel Matisse pour l’émail (E59). Une couche correspondant à la formule déterminée par le réglage « Internal characterization » (caractérisation interne) (Fig. 3), reproduisant l’anatomie histologique exacte de la dentine du bord incisif (Fig. 6), est dé[1]posée sur l’émail. La meilleure façon de cerner l’anatomie dentinaire est de jouer avec la lumière sur une image de l’élément usiné ; il est conseillé d’utiliser un programme d’édition photo pour augmenter la clarté et corriger le voile présent sur l’image. La dentine située entre la région cervicale et le tiers coronaire est d’abord stratifiée (Fig. 7), puis la formule correspondant au tiers coronaire est appliquée immédiatement après (Fig. 3)
Lors de la stratification du tiers coronaire de la dent, il importe de veiller à la précision du volume (Fig. 8). Pour obtenir le même degré d’opacité et de luminosité, il est important de réduire l’épaisseur de l’émail/des céramiques transparentes et d’accroître l’épaisseur de la dentine.
Deuxième couche : effets internes
Région incisive
Pour obtenir un degré plus élevé d’intégration optique, il est important de déposer une fine couche de matériau opalescent, en partant du tiers incisif. Dans ce cas, EOP Booster. Ensuite les lobes sont créés avec la teinte IN 41. Une fine couche de teinte CT 23 est déposée sur les lobes pour conférer un effet de chaleur au bord incisif. EOP 3 est utilisé au niveau des lignes de transition des surfaces dentaires pour obtenir un aspect bleuté (Fig. 9)
Région du tiers coronaire
Les teintes EOP 2 et TM02 sont utilisées pour créer une surface brillante sur le tiers coronaire de la dent.
Région cervicale
La teinte CT 23 est appliquée sur la zone cervicale pour obtenir une transition harmonieuse avec la gencive.
Essayage après la première cuisson
Après la première cuisson, le résultat est très précis et aucune adaptation de la teinte n’est nécessaire. Il est maintenant possible d’appliquer l’émail superficiel et de procéder à la finition du cas. La plupart des cas sont réalisés en deux cuissons avec des résultats très prédictibles (Fig. 10).
Troisième couche : émail superficiel
Chaque cas demande une approche différente quant au choix de l’émail superficiel. Parfois, un seul type d’émail est suffisant, parfois il est nécessaire d’appliquer un type d’émail différent sur chaque section, et très rarement, une couche très fine de matériau transparent est requise sur la surface de l’émail, pour obtenir une concordance par[1]faite et une meilleure intégration optique. Pour ce cas, de l’émail pur (E58) a été utilisé sur le tiers coronaire et les teintes E59/ EOP – Opal booster et CLF ont été mélangées dans un même rapport, puis appliquées sur les autres régions. Il est conseillé de toujours terminer la deuxième cuisson en créant un effet de halo. Pour ce cas, la teinte IN 41 a été utilisée. De très légères adaptations, telles que de petites taches brunes et blanches, ont été réalisées avec la cuisson de glaçage (Fig. 11)
Résultat final
Le résultat final de l’essayage au laboratoire est illustré sur les figures 12 à 14. Pour vérifier objectivement si l’anatomie histologique de la couronne a bien été reproduite, il est recommandé d’importer l’image dans le programme Adobe Photoshop, et de jouer de nouveau avec la lumière. La clarté et la correction du voile de la photo sont accrues pour vérifier l’intensité de la teinte (Fig. 15). La fonction de l’échelle des gris a été utilisée pour contrôler la luminosité (Fig. 16). Le test ultime consiste à inverser les teintes de l’image (négatif [Fig. 17] ). Sur une image inversée, la transition entre opacité et transparence est clairement visible. Il est conseil[1]lé d’effectuer ce test pour chaque cas, afin de visualiser les erreurs et de comprendre ce qu’il y aura lieu d’améliorer dans le cas suivant
Conclusion
Le but idéal pour chaque prothésiste den[1]taire est de reproduire la nature, de créer une restauration en céramique que l’on peut à peine distinguer de la dent naturelle. Généralement, cette tâche requiert de nombreuses corrections de la teinte, des reprises chronophages associées à une frustration, et malgré tout, le risque de ne jamais atteindre l’objectif. Cette fois, grâce au logiciel Matisse, l’intégration de la teinte de ce cas difficile a été excellente du premier coup. Le résultat final est prédictible, précis et réalisé selon le processus habituel de stratification. Avec Matisse, les rêves du prothésiste den[1]taire deviennent réalité en moins de temps et d’efforts
Remerciements :
Ce cas a été réalisé au cours d’une formation Matisse « Incisive centrale de patient en direct ». L’auteur tient à remercier M. de Beer, MSc., pour le travail clinique.
Note de la rédaction : Article paru dans le numéro 16 de GC get connected de 2020. Autorisé à la reproduction avec l’aimable autorisation de GC.Cet article a également été publié dans le journal Dental Tribune France volume 12, numéro 12/2020
Mots-clés:
Avec plus de 40 ans d'évidence clinique, les implants endo-osseux, en titane, sont devenus une forme (basée sur l'évidence) acceptable ...
Philadelphie, Pennsylvanie, USA : De nouvelles découvertes de chercheurs américains ont montré que la parodontite chronique peut ...
Les professeurs Mario Luis Zuolo et Arthur de Siqueira Zuolo présentent la détection clinique, le diagnostic et le traitement d’une ...
La restauration d’une dent unitaire est devenue l’une des interventions les plus couramment pratiquées en implantologie.1 Dans la ...
PARIS, France : Avec son spectrophotomètre Cobra et ses nouvelles fonctionnalités logicielles présentées lors de congrès de l’ADF 2025 dédiées à...
La restauration esthétique de dents antérieures par traitement implantaire est une technique délicate, surtout en présence de défauts des tissus osseux...
JENA, Allemagne / HELSINKI, Finlande: Des chercheurs ont mis au point un nouveau dispositif pour détecter la présence de la matrice ...
MILAN, Italie: Au cours de sa 31e réunion printannière, tenue récemment à Milan, l'Académie européenne d'esthétique dentaire (European Academy of ...
PARIS, France : La santé bucco-dentaire est un levier clé du maintien de l’autonomie. Face au vieillissement de la population, l’Union française pour...
En tant que conseiller technique, je vois beaucoup d'extrêmes. Cas compliqués de reconstruction de toute la bouche avec un très grand ...
Webinaire en direct
jeu. le 14 mai 2026
à 18h00 (CET) Paris
Webinaire en direct
jeu. le 14 mai 2026
à 20h00 (CET) Paris
Prof. Hani Ounsi DDS PhD FICD
Webinaire en direct
mar. le 19 mai 2026
à 17h00 (CET) Paris
Webinaire en direct
mar. le 19 mai 2026
à 19h00 (CET) Paris
Prof. Dr. med. dent. Ivo Krejci
Webinaire en direct
mer. le 20 mai 2026
à 13h00 (CET) Paris
Dr. Graham Carmichael BDSc (Hons), DClinDent (Pros), FRACDS, Dr. Robert Gottlander DDS
Webinaire en direct
mer. le 20 mai 2026
à 15h00 (CET) Paris
Webinaire en direct
mer. le 20 mai 2026
à 19h00 (CET) Paris
Prof. Dr. med. dent. Tim Joda PhD, MSc, eMBA
To post a reply please login or register