Avec plus de 40 ans d'évidence clinique, les implants endo-osseux, en titane, sont devenus une forme (basée sur l'évidence) acceptable de traitement pour remplacer les dents naturelles, et devraient être considérés comme l'alternative au dentier partiel ou au bridge. L'implantation immédiate avec mise en charge immédiate, s'était accélérée pendant ces dernières années, et peut être une méthode très prévisible, en fournissant un traitement implantaire aux patients.
Il y a eu diverses périodes, pour la définition de l'implantation immédiate. Hammerle et al. (2004) ont suggéré que l'implantation immédiate était, quand un implant était placé, après extraction de la dent, et en tant qu'élément du même processus chirurgical.
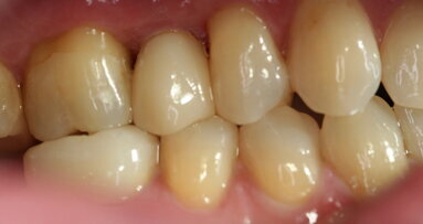
embedImagecenter("Imagecenter_2_52",52,"small");
Remplacement immédiat de dent unitaire, provisionalisation
Dans le même article, les rapports consensuels indiquent que "des implants ne devraient pas être placés au moment de l'extraction de dent, si la morphologie dentaire résiduelle exclut l'accomplissement de la stabilité primaire."
Elle déclare également que, "si l'intégrité buccale est compromise, le placement d'implant n'est pas recommandé lors de l'extraction de la dent. En revanche, une thérapie d'augmentation est effectuée."
L'implant est alors placé après cicatrisation, cet qui prend de 12 à 16 semaines, voire plus longtemps que 16 semaines.
On a également signalé que l'infection compromet le placement immédiat d'implant (Rosenquist et Grenthe 1996 ; Grunder et al. 1999) et est une contre-indication pour l'implantation immédiate, dans une alvéole d'extraction.
Concept de traitement prévisible.
L'implantation et la mise en charge immédiates sont un concept prévisible de traitement (De Rouck et al, 2008). Le taux de réussite est, au moins, comparable aux données retenues pour le remplacement d'une dent unitaire par implant, en employant les protocoles standards dans les sites guéris.
Ceci se produit en effectuant sélection appropriée et rigoureuse du patient et que le chirurgien soit au courant des techniques qui diffèrent du protocole standard, en deux étapes, pour l'implantation.
Pour le patient, l'avantage principal de l'implantation immédiate et de la provisionalisation est le peu de visites chirurgicales, comme l'obtention de l'esthétique immédiate, qui est pratiquement indistinguable de la dent originale. Parfois, si la dent remplacée était due à une discoloration, suite à une nécrose, l'esthétique gagnera une amélioration immédiate.
Pour le clinicien, le remplacement immédiat tient compte de la rupture minimale du tissu mou, fournissant l'appui péri-implantaire immédiat, et par la fabrication soigneuse et la conception de la restauration temporaire. Ceci aide à maintenir la stabilité des tissus marginaux gingivaux, ce qui est nécessaire pour des résultats esthétiques réussis.
Échec d'obturation radiculaire
Ce qui suit est une étude de cas d'une patiente, âgée de 50 ans, avec un historique d'un manque d'obturation radiculaire, sur une incisive centrale supérieure gauche.
L'obturation de la racine avait été présente pendant, approximativement, 25 années et une résection apicale a été pratiquée, approximativement 13 mois avant que la dent ne soit devenue problématique (fig. 1).
La patiente n'a pas voulu d'autre résection apicale et demandé que la dent soit extraite. Les diverses options pour des restaurations ont été envisagées, car l'incisive centrale voisine étant une racine obturée et reconstituée avec une couronne à pivot, l'incisive latérale étant reconstituée avec une facette, à cause d'une microdontie, un bridge n'était pas une option viable. La patiente était décidée à ne pas vouloir d'un dentier partiel.
Comme la dent n'était pas été infectée et l'investigation avait prouvé que la base vestibulaire était encore intacte, on a décidé que la dent pourrait être extraite et immédiatement remplacée par une prothèse sur implant. On devait utiliser pour un pilier provisoire immédiat Nobel Biocare et une couronne temporaire.
Ce que le traitement a impliqué
Sous l'anesthésie locale, une incision créviculaire a été pratiquée, sans élévation de lambeau. L'incisive centrale supérieure gauche a été extraite en employant une technique atraumatique, très soigneuse, avec un périotome, pour préserver le capital osseux, et une manipulation très soigneuse des tissus gingivaux.
Une fois la dent enlevée, les parois alvéolaires sont curetées, pour enlever tous les restes des fibres ou du tissu de granulation parodontaux. L'alvéole a été inspectée pour s'assurer que la paroi vestibulaire était encore intacte (fig. 3).
Employant le protocole standard, l'os a été préparé une première fois, en pénétrant la paroi palatine, au tiers apical. Un grand soin doit être appliqué pour l'ostéotomie car la paroi palatine de l'alvéole d'extraction est généralement très dense et difficile à préparer, ce qui peut causer une détérioration du bout du foret.
Pour réaliser la perforation initiale, le foret est tenu sous un angle, d'approximativement 45 degrés, avec la paroi palatine. Une fois que le foret a pénétré la paroi palatine, l'angle est changé pour une trajectoire plus-ou-moins parallèle à l'angle de la paroi vestibulaire.
Au maxillaire supérieur antérieur, le placement de l'implant est, classiquement, vers la paroi palatine de l'alvéole. Idéalement, il devrait y avoir un espace de 0.5 millimètre à 1 millimètre entre la face vestibulaire et la surface antérieure de l'implant. L'emplacement a, ensuite, été préparé en employant l'ordre standard des forets.
Un implant Nobel Speedy Replace, regular platform (4 millimètres X 15 millimètres) a été alors mis en place, et s'est arrêté à un couple de 35 Ncm. On recommande que, si une valeur de serrage de 35 Ncm. ne peut pas être atteinte, l'implant ne devrait pas être mis en charge immédiate.
Si une vis de couverture devrait être utilisée et l'implant enfoui, un autre type de provisoire, tel le bridge Maryland, devrait être utilisé. En ces conditions, la racine peut même être sectionnée de la dent extraite et la couronne collée sur la dent adjacente.
La stabilité primaire est très importante, dans ce processus, car le support osseux doit être assez fort pour soutenir le montage et pour empêcher les micromouvements de dépasser le seuil au-dessus duquel, l'encapsulation fibreuse prédomine l'ostéointégration (Szmukler-Moncler et al, 1998).
Un pilier temporaire immédiat (IPA) (fig. 4) a été adapté à l'implant et vissé, à moins de 20 Ncm. Le pilier est non-rétentif, vissé et inséré en employant un pilote de piliers.
Le pilier a une profondeur de 1.5 millimètre d'épaulement et se présente avec une chape en plastique, qui peut être utilisée avec les matériaux acryliques temporaires. Je trouve, cependant, qu'en employant les matières composites il vaut mieux jeter cette chape et cimenter le composite à l'IPA.
Une couronne composite temporaire était pré-manufacturée par le laboratoire. Un peu de composite flow Tetric (n'importe quel composite fluide convient) a été placé dans la couronne temporaire. Une quantité suffisante a été employée pour s'unir au métal de l'IPA, mais sans déborder et toucher les tissus. Le tout a été photopolymérisé, tandis que la temporaire était maintenue en position correcte.
La temporaire a été enlevée et placée sur un autre IPA, relié à un analogue de protection. Les vides ont été alors remplis avec plus de Tetric flow.
Les bords ont été alors formés et polis pour assurer une limite lisse, sans rebords ou manques par rapport à l'IPA (figs. 5, 6). La couronne temporaire a été alors cimentée à l'IPA, avec très peu de Tempbond, s'assurant qu'aucun ciment se soit répandu dans les tissus.
Ajuster la couronne provisoire
Il est important, à ce stade, de s'assurer que la couronne temporaire est ajustée pour s'assurer qu'il n'y ait aucun contact avec les dents inférieures, en occlusion centrique (fig. 7) et aucun contact dans tous mouvements de protrusion ou de diduction (par exemple, pas de charge immédiate).
Il a été conseillé, à la patiente, d'essayer d'éviter la couronne temporaire et de n'appliquer aucune force, en mangeant, pendant les quatre premières semaines.
La couronne temporaire a été laissée in situ pendant six mois (on recommande, qu'absolument trois mois, au minimum, devraient être accordé pour l'ostéointégration avant de toucher à l'implant à mise en place immédiate). La couronne temporaire a été enlevée et une empreinte du transfert de l'implant a été prise.
La couronne adjacente, à pivot, (incisive centrale droite supérieure) a été également préparée pour qu'une nouvelle couronne assure une bonne symétrie aux deux incisives centrales.
Un pilier en zirconium Procera a été relié au montage (fig. 8). La vis du pilier a été fixée, au couple recommandé, de 35 Ncm. Des couronnes Procera ont été adaptées aux deux incisives centrales (fig. 9).
La couronne implanto-portée a été cimentée avec du Tempbond. On recommande que les restaurations définitives sur implants devraient être cimentées avec du ciment provisoire, ce qui permet l'accès à l'implant, au besoin.
L'implantation immédiate se développe. Les cliniciens devraient se rendre compte, cependant, que c'est un procédé à haut risque et devraient seulement être tentés par des chirurgiens, avec de l'expérience de la chirurgie implantaire, en particulier dans le traitement la zone esthétique.
La restauration esthétique de dents antérieures par traitement implantaire est une technique délicate, surtout en présence de défauts des tissus osseux...
Un homme, de 37 ans, médicalement et parodontalement stable, présente une fracture coronale, de la dent 21, ayant eu un passé ...
MADRID, Espagne : Une équipe de recherche espagnole a séquencé pour la première fois, le génome complet d'un ...
L’incisive centrale supérieure droite (dent 11) de la patiente avait été fracturée à la suite d’un accident. Après un traitement provisoire avec ...
HONG KONG : Même avec l’aide de la technologie moderne de CAO/FAO, la création d’une prothèse dentaire est encore assez longue, ce qui entraîne un ...
La restauration d’une dent unitaire est devenue l’une des interventions les plus couramment pratiquées en implantologie.1 Dans la ...
Le remplacement fonctionnel, sûr et esthétique des dents a longtemps tenu du défi. Les implants en titane ont mené à la ...
ZURICH, Suisse : Patent Symbionic Teeth s’imposent comme la nouvelle référence en matière de remplacement dentaire. Inspirées des dents naturelles, ...
ZURICH, Suisse : Des chercheurs de l'ETH Zurich (l'Institut fédéral suisse de technologie) ont développé une nouvelle ...
Les thérapies innovatrices de restauration immédiate de bredent medical ont fortement prouvé leur efficacité aux odontologistes ...
Webinaire en direct
jeu. le 30 avril 2026
à 1h00 (CET) Paris
Dr. Renato Leonardo D.M.D.
Webinaire en direct
jeu. le 30 avril 2026
à 19h00 (CET) Paris
Webinaire en direct
dim. le 3 mai 2026
à 18h00 (CET) Paris
Dr. Rickard Brånemark MSc, MD, PhD, Dr. Robert Gottlander DDS
Webinaire en direct
lun. le 4 mai 2026
à 2h00 (CET) Paris
Webinaire en direct
mar. le 5 mai 2026
à 16h00 (CET) Paris
Webinaire en direct
mar. le 5 mai 2026
à 18h00 (CET) Paris
Webinaire en direct
mar. le 5 mai 2026
à 19h00 (CET) Paris
Dr. Maximilian Dobbertin M.Sc
To post a reply please login or register