_La manière conventionnelle de traiter les dents immatures avec des abcès péri-radiculaires, est de recourir à la méthode d’apexification, avec laquelle l’hydroxyde de calcium est employé comme médicament intracanalaire, après instrumentation des fines parois canalaires.
L’hydroxyde de calcium s’est avéré être un médicament efficace intracanalairement, car il crée un environnement propice à la formation d’un pont de tissu dur à l’apex. Cependant, il a un inconvénient majeur, dû à son pH élevé : il digérera des tissus en contact immédiat avec lui, et détruira de ce fait, des tissus avec le potentiel de se différencier en une nouvelle pulpe, ce qui a comme conséquence, des dents avec des racines minces et fragiles qui sont susceptibles de se casser.
La régénération du tissu pulpaire a été identifiée comme étant une nouvelle méthode de traitement pour la pulpe irritée, enflammée ou nécrotique. Son principal avantage se situe dans la possibilité de développement ultérieur de la racine et du renforcement des parois canalaires par un dépôt du tissu dur, renforçant la racine contre la fracture.
Cette méthode dépend principalement de la néoformation pulpaire au-dessus de la pulpe résiduelle. Elle est basée sur la présence de cellules mésenchymateuses indifférenciées dans la pulpe et dans la dentine, qui deviendront des cellules souches et se différencieront en odontoblastes qui seront plus tard, responsables de la formation des ponts de dentine. La nouveauté du cas clinique présenté ici, est qu’il est un des rares cas publiés jusqu’ici, démontrant l’utilisation d’une technologie duelle de pâte antibiotique et d’instrumentation du tissu pour l’apexification.
embedImagecenter("Imagecenter_1_1377",1377, "large");
_Cas clinique
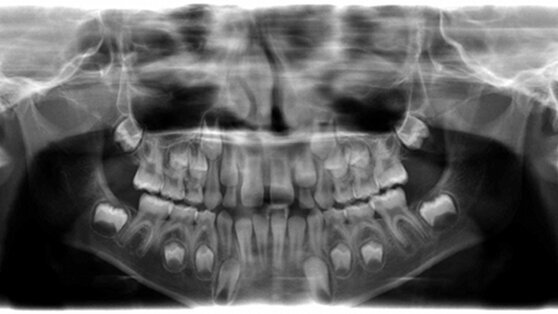
Une jeune patiente a été adressée au cabinet, souffrant d’une molaire inférieure. La radio a indiqué une lésion sur les deux racines, avec les canaux mésiaux pas encore pleinement formés, en ce qui concerne la longueur et le diamètre (Fig. 1).
Après discussion du cas avec les parents et l’explication de la nouvelle technique, j’ai ouvert la molaire en conditions très aseptiques. La racine distale a montré des signes de léger saignement, donc la pulpe était relativement vitale. Les racines mésiales n’ont pas montré de signes de saignement, mais la pulpe résiduelle était clairement visible au microscope. Après irrigation copieuse à la chlorhexidine dans les racines mésiales et distales, une solution de SmearClear (SybronEndo) a été instillée, et une activation passive avec une lime K N°10 a été exécutée dans les canaux mésiaux, avec juste un peu de saignement. De l’eau distillée a été employée pour rincer tous les produits chimiques et une pâte antibiotique duelle a été placée. Ensuite, un ionomère de verre a été placé en technique sandwich, sous un composite (Fig. 2). La patiente ne s’est plainte d’aucune douleur, juste un léger inconfort.
J’ai contacté les parents de la patiente, à plusieurs reprises, pour leur proposer un contrôle mais malheureusement, ils n’ont pas répondu. Après 18 mois, j’ai reçu un appel d’eux, me disant que la patiente ressentait un certain désagrément. Je lui ai immédiatement donné un rendez-vous et je fus étonné de voir à la radio, une formation complète des racines mésiales et la fermeture de la racine distale (Fig. 3). La raison de la gêne était une fente coronale avec une perte d’une partie du composite. La fuite coronale était donc le problème principal. Les racines étaient alors complètement matures et j’ai donc effectué un traitement de canal radiculaire conventionnel, en utilisant les TF (Twisted Files : limes torsadées) pour un traitement crown-down, et un agrandissement apical jusqu’à la taille 45 en mésial, et 50 en distal, avec des limes K3, de conicité .04. Les canaux radiculaires ont été scellés en utilisant le RealSeal (SybronEndo ; Fig. 4). La patiente a été envoyée chez son dentiste pour la restauration molaire.
_Discussion
Les tentatives de régénérer le tissu pulpaire dans des conditions inflammatoires ou de nécrose pulpaire, se sont avérées être infructueuses. En présence d’une infection, les cellules souches de la pulpe semblent être incapables à la minéralisation et au dépôt du pont tertiaire en dentine. Il est donc nécessaire de désinfecter le canal radiculaire, d’une façon qui n’empêche pas la guérison et l’intégration de la pulpe instrumentée avec les parois radiculaires.
La désinfection du système radiculaire est réalisée par l’irrigation abondante, suivie d’application d’un mélange d’antibiotiques pendant plusieurs semaines. La pâte antibiotique doit être remplacée seulement quand les signes cliniques montrent douleur ou gêne, ce qui se produit généralement quelques semaines après le traitement.
Afin de préserver le tissu conjonctif pulpaire, qui semble agir en tant qu’échafaudage pour le développement ultérieur des cellules souches, le gluconate de chlorhexidine est employé pour l’irrigation intracanalaire au lieu du NaOCl, parce que ce dernier est bien connu pour sa dissolution des tissus mous. L’élimination de la boue dentinaire est essentielle pour le contact intime entre les cellules souches et les nutriments venant de l’échafaudage.
La mise en place d’antibiotiques est nécessaire après un traitement particulier, et dans le cas présent, un mélange de deux antibiotiques (Augmentin, amoxicilline liée à de l’acide clavulanique, et métronidazole) a été employé. L’amoxicilline est un antibiotique à large spectre, avec une fonction bactéricide et qui est capable d’empêcher la synthèse de la membrane cellulaire bactérienne pendant sa phase de croissance, due à l’inhibition concurrentielle de la transpeptidase. L’acide clavulanique a une activité antibactérienne faible, mais il se lie, irréversiblement, à la bêta-lactamase, empêchant la décomposition de l’amoxicilline. La dent est scellée hermétiquement avec une restauration composite en technique sandwich, avec un ionomère en verre._
Note de la rédaction : cet article est paru dans le magazine DT Study Club, Vol.2, numéro 3, septembre 2014.
La manière conventionnelle de traiter les dents immatures avec des abcès péri-radiculaires est de recourir à la méthode ...
Près de 10 ans après son dernier colloque, la fondation des gueules cassées réunira à nouveau les plus grands experts français des traumatismes ...
LONDRES, Royaume-Uni : Les bactéries normales qui vivent dans notre bouche fournissent le catalyseur pour le développement de la maladie ...
PARIS, France : C’est lors du premier comité d’organisation du Congrès 2014, qu´est née l’idée ...
PARIS, France : Fort d’un héritage de plus de 150 ans, Dentsply Sirona réaffirme son engagement à faire progresser l’endodontie en s’appuyant sur ...
Rencontre avec le professeur Ervin I. Weiss, chef du service de prothèse dentaire à l’université hébraïque, ...
DUBLIN, Irlande : La réhabilitation dentaire avec implants a connu des avancées significatives durant la dernière décennie. Les ...
Nous allons aborder la place de la phytothérapie dans le traitement des lésions buccales, dont notamment les aphtes, les mycoses buccales, l’herpès. Le...
NEW YORK, États-Unis : Une étude publiée en juin 2014, a suggéré que l'évaluation des changements dans la ...
PARIS, France : Avec son spectrophotomètre Cobra et ses nouvelles fonctionnalités logicielles présentées lors de congrès de l’ADF 2025 dédiées à...
À la demande
webinaire en ligne
Webinaire en direct
jeu. le 14 mai 2026
à 20h00 (CET) Paris
Prof. Hani Ounsi DDS PhD FICD
Webinaire en direct
mar. le 19 mai 2026
à 17h00 (CET) Paris
Webinaire en direct
mar. le 19 mai 2026
à 19h00 (CET) Paris
Prof. Dr. med. dent. Ivo Krejci
Webinaire en direct
mer. le 20 mai 2026
à 13h00 (CET) Paris
Dr. Graham Carmichael BDSc (Hons), DClinDent (Pros), FRACDS, Dr. Robert Gottlander DDS
Webinaire en direct
mer. le 20 mai 2026
à 15h00 (CET) Paris
Webinaire en direct
mer. le 20 mai 2026
à 19h00 (CET) Paris
Prof. Dr. med. dent. Tim Joda PhD, MSc, eMBA
To post a reply please login or register