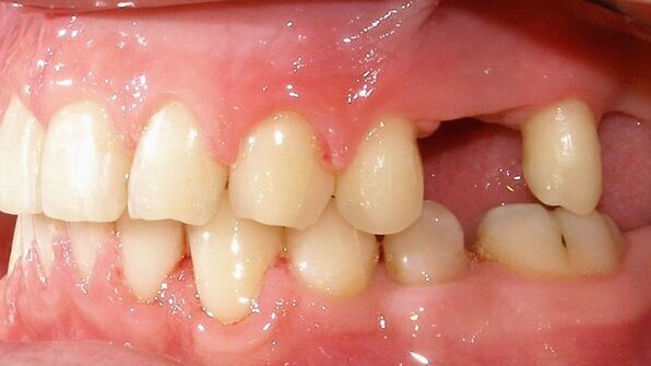
GÖTEBORG, Suède: Les chercheurs de la Sahlgrenska Academy de l'Université de Göteborg ont trouvé un moyen de remplacer les dents perdues sans reconstruire la mâchoire artificiellement.
Avec la méthode des chercheurs, les dents existantes sont déplacées dans la zone édentée en utilisant une attelle, ce qui offre aux cliniciens une option moins complexe et douloureuse pour restituer aux patients leurs dents perdues.
Quand nous perdons nos dents, à cause de maladie ou de blessure, la mâchoire dans la région édentée diminue également en volume. Cette réduction fait qu'il est difficile de réaliser des implants dentaires, ne laissant souvent qu'une seule option pour remplacer les dents perdues : la reconstruction de la mâchoire avec une greffe osseuse.
Dans une étude expérimentale sur des chiens, des chercheurs suédois ont réussi à utiliser un appareil pour déplacer les dents existantes dans une zone sans dents, avec un volume osseux limité, sans aucune réduction de l'attachement naturel de la dent à la mâchoire.
Dans une étude clinique subséquente, le chirurgien-dentiste consultant Birgitta Lindskog Stokland et ses collègues ont également réussi à démontrer que la même procédure chez l'homme ne causait que de petits changements dans le tissu autour de la dent.
Les « rayons X ont montré quelques dommages à la racine, connus sous le nom de résorption radiculaire, mais cela n'a pas semblé poser de problème durable », a indiqué Stokland. « Et qui plus est, nos suivis un an après ont prouvé que les dommages avaient diminué ».
Le site original de la dent déplacée subit une réduction de la masse osseuse et du volume des tissus dentaires, mais pas au même degré que lorsque les dents sont perdues pour d'autres raisons. Cela signifie que ce domaine est bien adapté aux implants ou autre prothèses, sans qu'il soit besoin de greffes osseuses.
« En d'autres termes, beaucoup de patients peuvent recevoir plus de dents, plus facilement », a indiqué Stokland.
La deuxième prémolaire a été déplacée orthodontiquement dans une zone édentée de dimension réduite. La restauration finale a été un implant dans la région de la position originale de la deuxième prémolaire.
TAMPERE, Finlande : La relation de longue date entre les bactéries buccales et les maladies systémiques prend une nouvelle importance à la lumière des ...
GÖTEBORG, Suède: Des chercheurs de l'Université de Göteborg, en Suède, ont mis au point une méthode qui pourrait ...
SÃO PAULO, Brésil : Les thérapies d’origine végétale suscitent un intérêt croissant en dentisterie. Une étude récente a évalué la morine, un ...
LIVERPOOL, Royaume-Uni : Des chercheurs de l'Université de Liverpool sont en train de tester une nouvelle procédure pour traiter la pulpe ...
CHICAGO, États-Unis : Des récentes recherches suggèrent qu'il y a un lien direct entre l'obésité et le ...
MADRID, Espagne : Des chercheurs de l'université du roi Juan Carlos (URJC) et de l'hôpital Alcorcón à Madrid, ont comparé ...
TORONTO, Canada : Un nouveau rapport publié par le Millennium Research Group au Canada, a prédit des changements importants au sein du ...
SHEFFIELD, Royaume-Uni / HOUSTON, États-Unis : Des chercheurs de l'Université britannique de Sheffield, et de l'Université Rice ...
LOS ANGELES, États-Unis : Des chercheurs ont découvert que les nanodiamants, un sous-produit de l'exploitation minière et des ...
NEWARK, New Jersey, États-Unis : En raison de la forte action antalgique de ces substances, l’épidémie de surdosage d’opioïdes persiste aux ...
Webinaire en direct
jeu. le 14 mai 2026
à 18h00 (CET) Paris
Webinaire en direct
jeu. le 14 mai 2026
à 20h00 (CET) Paris
Prof. Hani Ounsi DDS PhD FICD
Webinaire en direct
mar. le 19 mai 2026
à 17h00 (CET) Paris
Webinaire en direct
mar. le 19 mai 2026
à 19h00 (CET) Paris
Prof. Dr. med. dent. Ivo Krejci
Webinaire en direct
mer. le 20 mai 2026
à 13h00 (CET) Paris
Dr. Graham Carmichael BDSc (Hons), DClinDent (Pros), FRACDS, Dr. Robert Gottlander DDS
Webinaire en direct
mer. le 20 mai 2026
à 15h00 (CET) Paris
Webinaire en direct
mer. le 20 mai 2026
à 19h00 (CET) Paris
Prof. Dr. med. dent. Tim Joda PhD, MSc, eMBA
To post a reply please login or register