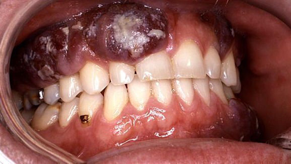
CLEVELAND, États-Unis : Les agents pathogènes parodontaux tels que Porphyromonas gingivalis et Fusobacterium nucleatum produisent cinq acides gras à chaîne courte différents, comme sous-produits métaboliques. Des chercheurs de l'université Case Western Reserve, aux États-Unis, ont montré que ces acides peuvent déclencher la croissance des lésions et des tumeurs dans la bouche.
Les résultats peuvent avoir des implications importantes pour les patients VIH-positifs et le sida en particulier, car environ 20 pour cent des patients atteints du VIH développent le sarcome de Kaposi (SK), lésion de la cavité buccale qui peut se développer en tumeurs malignes.
Bien que l'on ne sache pas quel rôle joue le microenvironnement oral dans le développement tumoral du SK, l'étude a démontré que les acides gras à chaîne courte de P. gingivalis et F. nucleatum promeuvent la réplication du virus de l'herpès associé au SK (VHSK), l'agent étiologique associé au SK, a expliqué le chercheur principal, le Dr Fenghun Ye.
Dans l'étude, les chercheurs ont évalué la santé gingivale de 21 patients et étudié leurs échantillons de salive. Onze patients (âge moyen de 50 ans) ont été diagnostiqués avec une maladie chronique grave des gencives et dix participants (âge moyen de 26 ans) avaient des gencives saines. Dans l'ensemble, les chercheurs ont détecté des niveaux significativement plus élevés d'acides gras à chaîne courte dans la salive de patients souffrant de maladies parodontales sévères et ont observé que les acides gras avaient aidé le VHSK à se multiplier. Ils ont également constaté que ce processus avait empêché les molécules du système immunitaire d’arrêter la croissance du virus.
Les chercheurs pensent que cette découverte pourrait conduire à des tests précoces de la salive, pour détecter les bactéries et permettre le traitement précoce et la surveillance des symptômes cancéreux chez les patients à risque.
Selon les chercheurs, le SK touche aussi les patients qui ne sont pas VIH positifs mais ont un système immunitaire compromis, tels que les patients qui prennent des médicaments pour supprimer le rejet de greffes, les patients cancéreux sous chimiothérapie et les personnes âgées.
L'étude, intitulée « Short Chain Fatty Acids From Periodontal Pathogens Suppress HDACs, EZH2, and SUV39H1 to Promote Kaposi's Sarcoma-Associated Herpesvirus Replication », a été publiée en ligne le 5 février dans le Journal of Virology.
LONDRES, Royaume-Uni : Les bactéries normales qui vivent dans notre bouche fournissent le catalyseur pour le développement de la maladie ...
ATLANTA, États-Unis : Des chercheurs aux États-Unis ont suggéré que l'utilisation de l'acide valproïque (VPA), un ...
BRÊME, Allemagne : De nombreuses études ont établi un lien entre le tabagisme et la consommation excessive d’alcool, et le ...
NEW YORK, États-Unis : Une étude publiée en juin 2014, a suggéré que l'évaluation des changements dans la ...
DETROIT, États-Unis : Des chercheurs américains ont lié le nombre croissant d'adultes de moins de 45 ans atteints de cancers ...
LONDRES, Angleterre : Le traitement du cancer de la tête et du cou est notoirement complexe, et peu de progrès ont été réalisés au cours des 20 ...
NEW YORK, États-unis : Les tumeurs buccales peuvent provoquer des douleurs atroces et nuire considérablement à la qualité de vie des patients. Des ...
BELFAST, UK : Les conclusions d'une nouvelle étude suggèrent que l'utilisation régulière d'aspirine pourrait réduire de ...
HELSINKI, Finlande : Des chercheurs en Finlande ont étudié le rôle d'une bactérie fortement associée à la parodontite dans le développement de ...
PORTLAND, États-Unis : Des chercheurs américains ont montré que certaines souches de bactéries associées aux caries ...
Webinaire en direct
jeu. le 14 mai 2026
à 18h00 (CET) Paris
Webinaire en direct
jeu. le 14 mai 2026
à 20h00 (CET) Paris
Prof. Hani Ounsi DDS PhD FICD
Webinaire en direct
mar. le 19 mai 2026
à 17h00 (CET) Paris
Webinaire en direct
mar. le 19 mai 2026
à 19h00 (CET) Paris
Prof. Dr. med. dent. Ivo Krejci
Webinaire en direct
mer. le 20 mai 2026
à 13h00 (CET) Paris
Dr. Graham Carmichael BDSc (Hons), DClinDent (Pros), FRACDS, Dr. Robert Gottlander DDS
Webinaire en direct
mer. le 20 mai 2026
à 15h00 (CET) Paris
Webinaire en direct
mer. le 20 mai 2026
à 19h00 (CET) Paris
Prof. Dr. med. dent. Tim Joda PhD, MSc, eMBA
To post a reply please login or register