GÖTEBORG, Suède : En utilisant des radiographies dentaires, le risque de fractures peut désormais être prédit bien avant qu'une fracture se produise réellement, selon des chercheurs suédois de la Sahlgrenska Academy de l'Université de Göteborg.
Dans une précédente étude, des chercheurs de l'Académie et de la fonction publique dentaire du Comté de Västra Götaland avaient démontré qu’une structure osseuse raréfiée dans l'os trabéculaire de la mandibule est liée à une plus grande probabilité d'avoir déjà eu des fractures dans d'autres parties du corps.
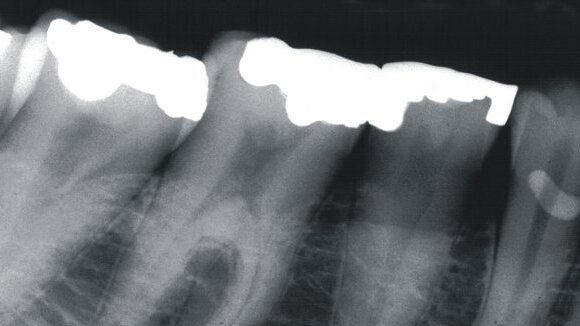
Les chercheurs de Göteborg ont poursuivi cette recherche avec une nouvelle étude qui démontre qu'il est possible d'utiliser des radiographies dentaires pour enquêter sur la structure osseuse de la mâchoire inférieure, qui permet aux médecins de prévoir le risque de fractures dans l'avenir.
"Nous avons découvert qu’une structure osseuse raréfiée dans la mâchoire inférieure à la mi-vie est directement liée au risque de fractures dans d'autres parties du corps plus tard dans la vie", a déclaré le professeur Lauren Lissner, chercheur à l'Institut de médecine de la Sahlgrenska Academy.
embedImagecenter("Imagecenter_1_442",442, "large");
L'étude s'appuie sur les données de "L'étude prospective de la population des femmes à Göteborg", qui a été commencée en 1968. "Étant donné que cette étude existe depuis maintenant plus de 40 ans, le matériau est unique au monde", a indiqué l'Académie. L'étude en cours inclut 731 femmes, qui ont été examinées à plusieurs reprises depuis 1968, quand elles étaient âgées de 38 à 60 ans. Les images aux rayons X des os de leur mâchoire ont été analysées en 1968 et 1980 et les résultats liés à l'incidence de fractures ultérieures. "La plus jeune cohorte est maintenant âgée de plus de 80 ans. Beaucoup de cohortes, qui étaient nées plus tôt, ont trouvé la mort. Nous vérifions régulièrement l'état des cohortes en surveillant la mortalité et les registres hospitaliers", a dit Lissner à Dental Tribune Online.
Selon l'Académie, pour les 12 premières années, les fractures ont été auto-déclarées au cours des examens de suivi. Ce n'est que depuis les années 1980 qu'il a été possible d'utiliser les registres médicaux pour identifier les fractures. Au total, 222 fractures ont été identifiées pendant toute la période d'observation.
L'étude a constaté que la structure osseuse de la mâchoire était raréfiée pour environ 20 pour cent des participantes âgées de 38 à 54 ans lorsque le premier examen a été effectué, et que ces participantes ont été exposées à un risque significativement plus élevé de fractures.
Les chercheurs ont également conclu que plus la personne était âgée, plus le lien était important entre une structure osseuse raréfiée dans la mâchoire et des fractures dans d'autres parties du corps.
Bien que l'étude ait été réalisée sur des femmes, les chercheurs croient que les résultats pourraient être généralisés aux hommes.
"Les radiographies dentaires contiennent de nombreuses informations sur la structure osseuse", a déclaré Grethe Jonasson, chercheur au Centre de recherche de la fonction publique dentaire en Västra Götaland, qui a initié l'étude des fractures. "En analysant ces images, les dentistes peuvent identifier les personnes qui ont le plus de risque de fractures, bien avant la première fracture."
L'étude "Une étude prospective de l'os trabéculaire mandibulaire pour prédire l'incidence des fractures chez les femmes" a été publiée dans le numéro d'octobre de la revue Bone.
Hamilton, Ontario, Canada : les dents humaines conservent des informations vitales sur la carence en vitamine D, et des anthropologues canadiens ont à ...
CHICAGO, États-unis : Un groupe d’experts du conseil des affaires scientifiques de l’Association dentaire américaine (ADA) a publié de nouvelles ...
SAINT-DENIS, France: La déclaration d’un effet indésirable lié à un médicament, effectuée directement par le...
La semaine dernière, le comité technique dentaire de l'Organisation internationale de normalisation a tenu sa 50e réunion en Allemagne,...
Quel que soit le degré de propreté et de stérilité de votre cabinet dentaire, il est quasiment illusoire d'espérer échapper à la contamination lors ...
MELBOURNE, Australie : La valeur des bains de bouche dans le cadre de l’hygiène bucco-dentaire de routine a souvent été remise en question dans la ...
NEW YORK, USA : Dans une étude publiée en Juillet 2011 dans le magazine Journal of Dental Research, des chercheurs de ...
PORTLAND, États-Unis : Des chercheurs américains ont montré que certaines souches de bactéries associées aux caries ...
On a estimé, qu'environ 90 millions de personnes, en Amérique du Nord, souffrent de troubles du
sommeil, dont l'insomnie, le ronflement et ...
Webinaire en direct
jeu. le 14 mai 2026
à 18h00 (CET) Paris
Webinaire en direct
jeu. le 14 mai 2026
à 20h00 (CET) Paris
Prof. Hani Ounsi DDS PhD FICD
Webinaire en direct
mar. le 19 mai 2026
à 17h00 (CET) Paris
Webinaire en direct
mar. le 19 mai 2026
à 19h00 (CET) Paris
Prof. Dr. med. dent. Ivo Krejci
Webinaire en direct
mer. le 20 mai 2026
à 13h00 (CET) Paris
Dr. Graham Carmichael BDSc (Hons), DClinDent (Pros), FRACDS, Dr. Robert Gottlander DDS
Webinaire en direct
mer. le 20 mai 2026
à 15h00 (CET) Paris
Webinaire en direct
mer. le 20 mai 2026
à 19h00 (CET) Paris
Prof. Dr. med. dent. Tim Joda PhD, MSc, eMBA
To post a reply please login or register