Search Dental Tribune

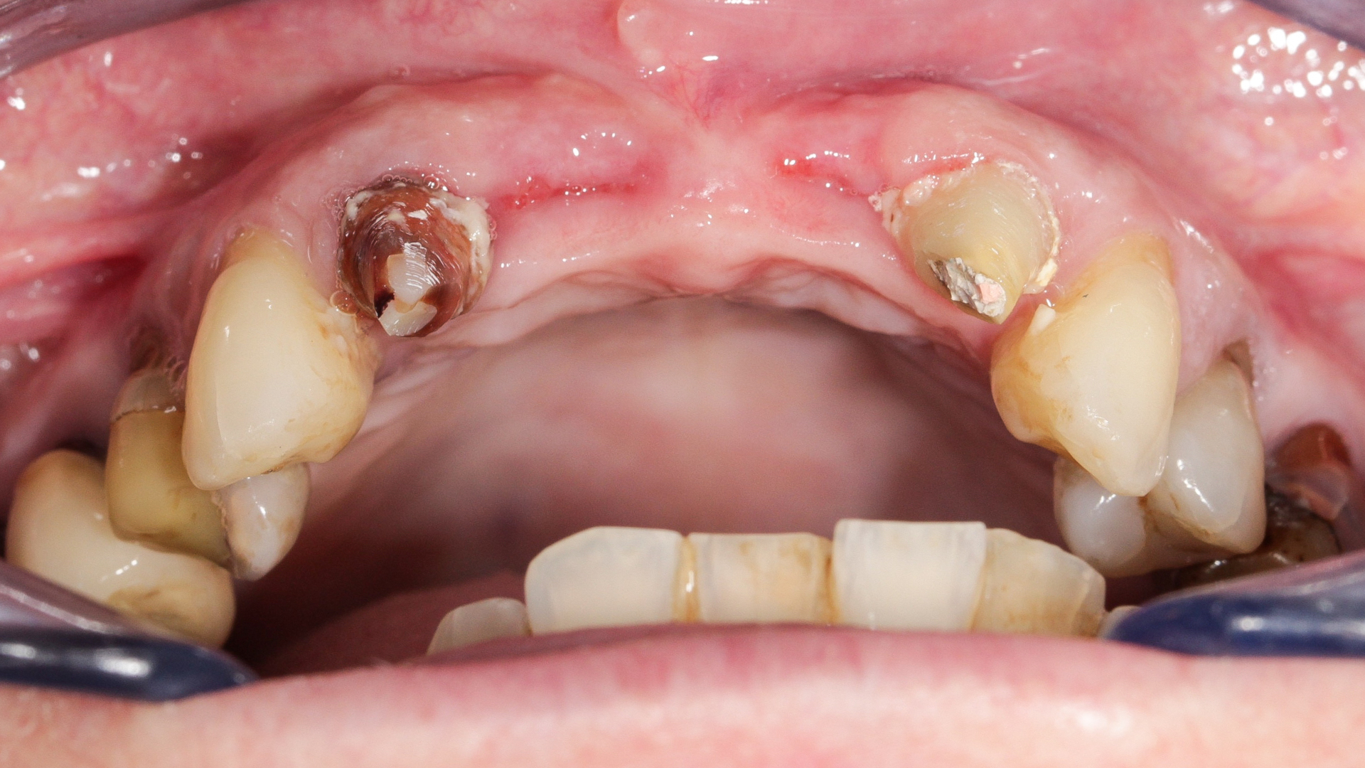
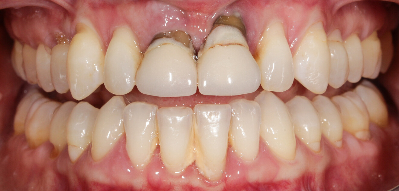
À l’examen, on observe une mobilité des quatre incisives maxillaires, une insuffisance osseuse verticale et horizontale, la présence de plaque, de tartre et d’inflammation gingivale. (Image: Dr Renaud Girieud, France)

ven. 14 novembre 2025

Enregistrer

Le traitement des insuffisances osseuses est un défi quotidien pour tous les praticiens en implantologie ; notamment quand cela concerne la zone antérieure maxillaire. En effet, celles-ci peuvent compromettre la mise en place d’un implant, sa pérennité sur le long terme ou encore le résultat esthétique attendu. Ce dernier point prend une importance particulière dans l’arbre décisionnel quand il s’agit de traitements du maxillaire antérieur. Synthétiquement, en présence d’un défaut osseux, deux grandes familles de techniques s’offrent à nous :

La Régénération osseuse guidée (ROG) d’une part, association d’une membrane et d’un biomatériau (plusieurs variantes en fonction du type de membrane,1 des matériaux utilisés) et l’os autogène, d’autre part, sous forme de bloc ou de copeaux utilisés en apposition ou en coffrage, selon la technique du Pr Khoury.2

Ces différentes techniques, en fonction de l’habileté et de l’expérience de l’opérateur qui les met en oeuvre, nécessiteront plusieurs temps opératoires et de nombreux mois s’écouleront avant la mise en place d’une dent sur l’arcade.

Il s’agit dans cet article, de proposer une troisième voie pour traiter les insuffisances osseuses, basée sur le principe de l’ankylose et de la résorption radiculaire. Nous proposons de greffer en bloc les racines des dents du patient. Il s’agit en fait d’une ankylose dirigée. Nous appellerons les fragments de racines utilisés « greffons radiculaires ».

Fig. 1

Fig. 1

Fig. 2

Fig. 2

Fig. 3

Fig. 3

Fig. 4

Fig. 4

« Notre philosophie au cabinet est de tout mettre en oeuvre afin de réduire le temps d’édentement de nos patients ; par temps d’édentement, nous entendons le temps pendant lequel il n’y a pas de dent fixe sur l’arcade. »

Cette technique a initialement été décrite par l’équipe du Pr Franck Schwartz qui proposait en 2016 de greffer des racines dentaires en chirurgie pré-implantaire.3 Nous évoquerons, au travers de deux cas cliniques, les champs d’applications des greffons radiculaires tels que nous les utilisons dans notre activité quotidienne au cabinet dentaire, notamment pour simplifier le traitement des cas antérieurs complexes, ainsi que ses évolutions par rapport à la technique décrite par l’équipe du Pr Schwartz.Notre philosophie au cabinet est de tout mettre en oeuvre afin de réduire le temps d’édentement de nos patients ; par temps d’édentement, nous entendons le temps pendant lequel il n’y a pas de dent fixe sur l’arcade.

Fig. 5

Fig. 6

Nous réduisons le temps de traitement, et d’inconfort en « comprimant » le parcours chirurgical d’un patient, lorsque cela est possible, nous réalisons les extractions, la reconstruction osseuse, la pose des implants et la mise en esthétique, en un seul temps opératoire.

Les greffons radiculaires, par leurs caractéristiques biologiques nous permettent de proposer des solutions sûres, simples et rapides pour traiter certains cas antérieurs complexes qui sans eux, auraient nécessités de nombreux mois de temporisation avec une prothèse amovible partielle.

Méthodologie utilisée

Tout d’abord, il est nécessaire d’extraire la racine : notre futur greffon radiculaire (Fig. 1). Elle est ensuite préparée avec un surfaçage doux, pour la nettoyer et lever les dépôts de tartre. La partie coronaire ainsi que toutes les éventuelles parties molles ou cariées sont supprimées.3 La racine est séparée en deux à l’aide d’un disque. Avec une fraise diamantée, les canaux sont nettoyés, les débris de matériaux d’obturation sont éliminés3 (Figs. 2 et 3). Si nécessaire, elle est recoupée pour l’adapter au défaut, et percée de trous pour les vis d’ostéosynthèse3 (Fig. 4).

Le greffon est fixé et immobilisé sur le site receveur au moyen de vis d’ostéosynthèse, avec sa face dentinaire au contact de la crête osseuse et sa face cémentaire en contact avec les tissus mous.3 En effet, les greffons radiculaires sont polarisés ; la partie dentinaire doit être en contact avec la crête osseuse pour permettre l’ankylose, tandis que la partie cémentaire en contact avec les tissus mous joue un rôle de barrière, empêchant la résorption des greffons par ces derniers (Fig. 5).

Le greffon est utilisé comme membrane biologique et destiné à réaliser un coffrage, on comble l’espace entre le greffon et la crête avec un matériau de comblement ou de l’os autogène collecté localement (Fig. 6). Au cabinet nous utilisons un matériau synthétique le Collapat II (SYMATESE) association d’une matrice de collagène et d’hydroxyapatite.

Il est entendu que les deux patients présentant des problématiques parodontales sévères, bénéficient entre la première consultation et la date d’intervention d’une thérapeutique parodontale (prophylaxie, détartrage et surfaçage radiculaire), ainsi que d’une période de suivi pour veiller à la bonne observance des mesures d’hygiène bucco-dentaire prescrites, s’étalant sur 3 mois. Nous assurons la veille parodontale pendant toute la période d’ostéointégration (6 mois), et un protocole strict de contrôle a été mis en place avec les praticiens dans leurs cabinets respectifs. Nous revoyons les patients annuellement au cabinet.

Cas cliniques

Cas 1

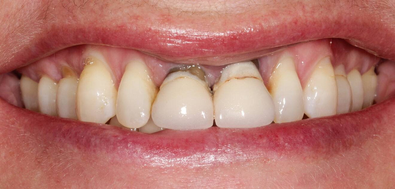
Il s’agit d’une patiente de 48 ans adressée en 2020 par l’un de nos confrères. Ancienne fumeuse, sans problèmes médicaux particuliers, cette patiente présente un long historique parodontal qui, associé à des lésions endodontiques sur 11 et 21, aboutissent à la perte de ses deux incisives centrales (Fig. 7). Cette patiente, active, ne s’est pas fait traiter plus tôt par crainte d’une longue période de temporisation avec une prothèse amovible.

À l’examen la patiente présente en vestibulaire, au niveau de 11 et 21, des pertes de substances importantes (osseuses et gingivales), particulièrement en 21 avec la destruction de l’intégralité de la paroi vestibulaire de la crète, et une perte totale d’ancrage de la racine, ainsi qu’un frein labial inséré haut sur la crête. On conserve néanmoins l’architecture des tissus mous avec la présence de papilles interdentaires et un volume osseux apical suffisant pour permettre l’ancrage des implants (Figs. 8–10). L’enjeux du traitement est de réaliser les extractions, de poser les implants, de reconstruire la crête osseuse, et de mettre en place des provisoires fixes sur les implants, en conservant l’architecture des tissus mous.

Fig. 7

Fig. 7

Fig. 8

Fig. 8

Fig. 9

Fig. 9

Fig. 10

Fig. 10

“L’enjeux du traitement est de réaliser les extractions, de poser les implants, de reconstruire la crête osseuse, et de mettre en place des provisoires fixes sur les implants, en conservant l’architecture des tissus mous.”

,

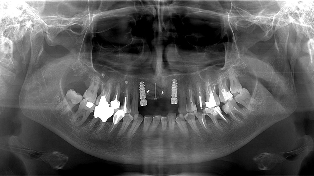
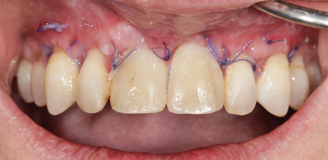
Pour se faire il a été décidé d’exploiter les racines extraites (11 et 21) pour reconstruire la paroi vestibulaire des alvéoles. Nous réalisons un lambeau avec une incision sulculaire de 13 à 23, en prenant soin de préserver les papilles interdentaires, ainsi que deux décharges verticales en distal des canines. Nous réalisons un décollement de pleine épaisseur (Fig. 11). Les dents sont facilement extraites et les alvéoles curetées avec soins. Deux implants (4*10) sont positionnés dans la paroi palatine des alvéoles, il subsiste une déhiscence vestibulaire (Fig. 12). La racine de 11 est séparée dans le sens de la longueur en deux fragments. Les racines préparées comme indiqué ci-dessus, sont vissées en vestibulaire de la crête au moyen de deux vis d’ostéosynthèse (diamètre 0,9 mm) afin de reconstruire la paroi vestibulaire (Figs. 13 et 14). L’espace entre l’implant et le greffon est comblé avec un matériau synthétique (Collapat II, SYMATESE). Le lambeau est tracté, suturé coronairement avec un fil tressé synthétique 5.0 (Fig. 15). Une empreinte est prise à la fin de l’intervention, le provisoire, préparé dans la journée par notre laboratoire de prothèse est vissé le soir même (Fig. 16). L’implant 21 ayant un couple de serrage insuffisant pour être mis en fonction, il s’agit d’un provisoire cantilever, direct implant, vissé sur l’implant 11 (Fig. 17).

Fig. 11

Fig. 11

Fig. 12

Fig. 12

Fig. 13

Fig. 13

Fig. 14

Fig. 14

Fig. 15

Fig. 15

Fig. 16

Fig. 16

Fig. 17

Fig. 17

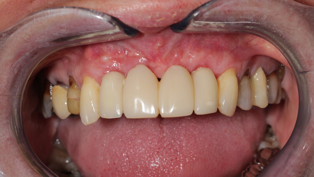
Les sutures sont retirées à 15 jours. Un contrôle de la bonne ostéointégration des implants est réalisé à 2 mois postopératoire (Figs. 18 et 19). La prothèse d’usage réalisée par notre correspondant est mise en place à 9 mois postopératoire (Figs. 20 et 21).

La patiente est suivie annuellement (cliniquement et radiologiquement), afin de contrôler l’évolution de l’ankylose des greffons radiculaires, leur résorption ainsi que le bon maintien du volume greffé (recul 48 mois postopératoire [Fig. 22]).

Cas 2

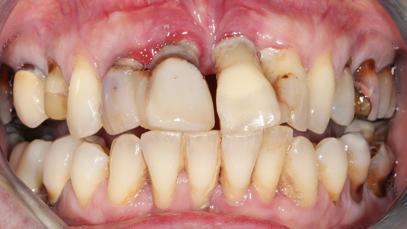
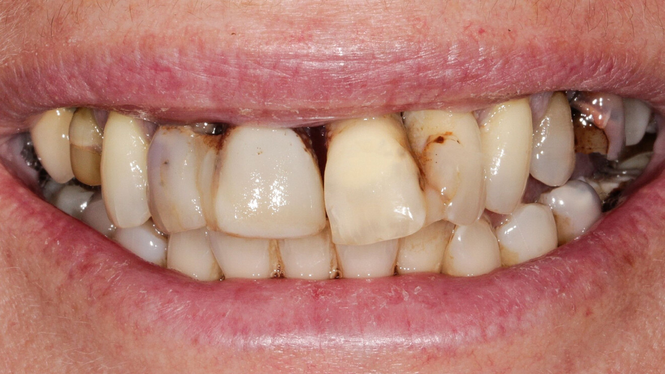
Une patiente de 49 ans nous a été adressée par l’un de nos confrères pour le remplacement de ses quatre incisives maxillaires (Fig. 23). Dans un contexte parodontal avancé, ses incisives centrales présentent une mobilité terminale (classe IV) elle n’ose plus les brosser de peur de les perdre lors de la manoeuvre. La patiente ne présente pas de problèmes de santé particuliers.

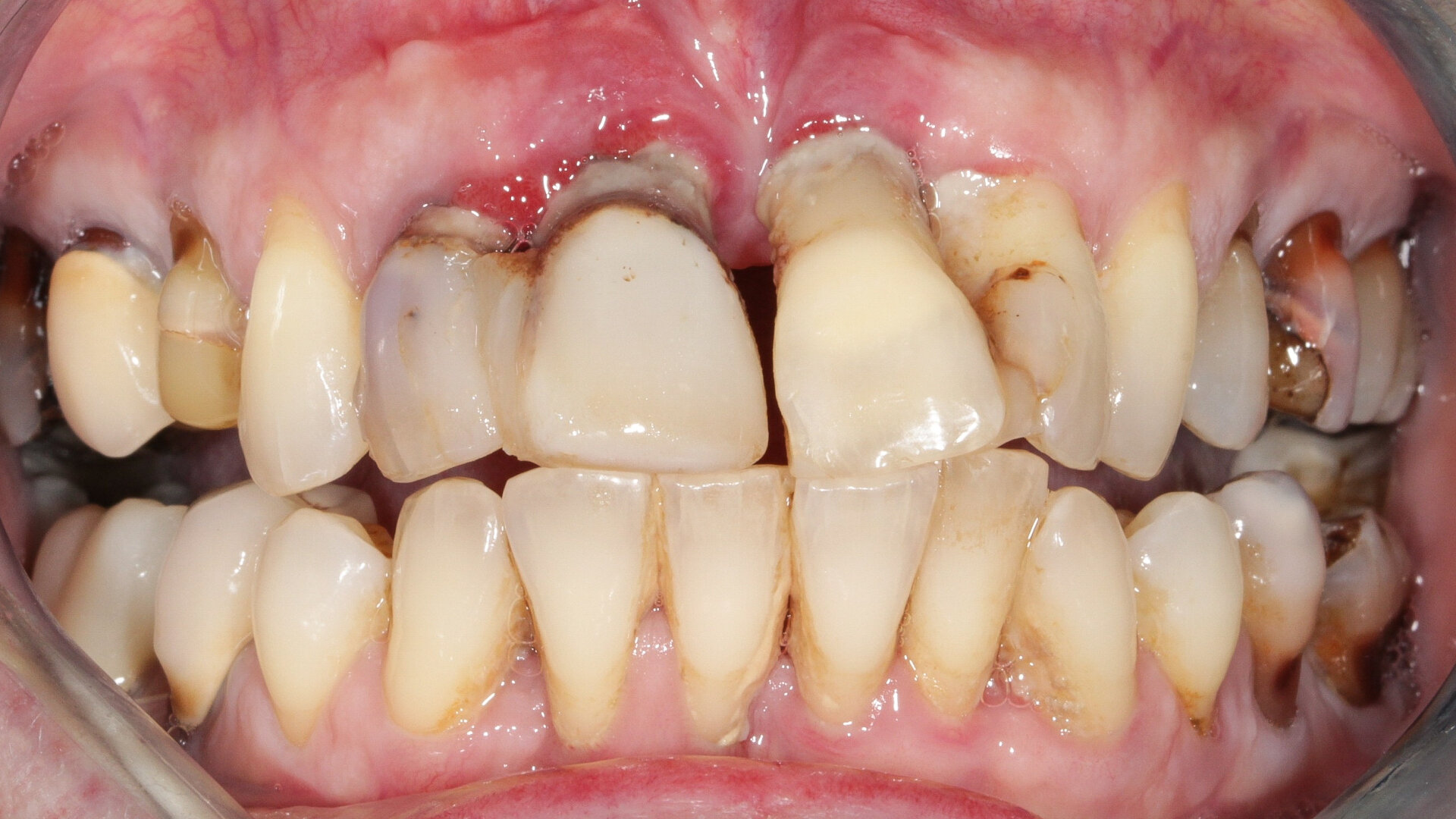
À l’examen, on observe une mobilité des quatre incisives maxillaires, une insuffisance osseuse verticale et horizontale, associées notamment au niveau de 11 et 21, la présence de plaque, de tartre et d’inflammation gingivale, surtout au niveau du bloc antérieur maxillaire. On note également la présence d’une dent de sagesse (dent 18) perdue (Figs. 24–26).

Le but du traitement est le remplacement des quatre incisives par un bridge implanto-porté de 12 à 22. Le plan de traitement mis en place est le suivant : extraction des deux incisives centrales et réalisation d’un bridge provisoire dento-porté fixe de 12 à 22 ; trois mois de temporisation permettant la cicatrisation des tissus mous, ainsi que la mise en oeuvre de la thérapeutique parodontale (Fig. 27) ; extraction de 12, 22 et 18, mise en place des implants, reconstruction de la crête (avec les racines extraites), mise en place d’un bridge provisoire fixe de 12 à 22, transvissé sur les deux implants.

Fig. 27

Fig. 28

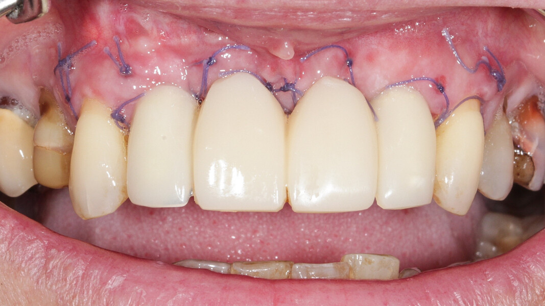
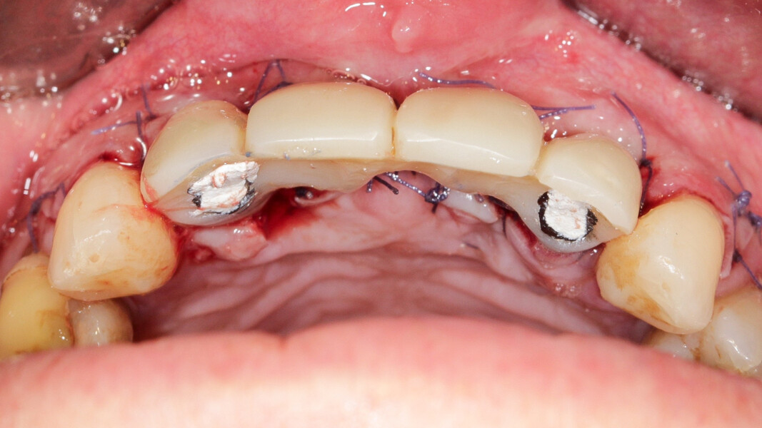
Nous réalisons un lambeau avec une incision crestale décalée en palatin en 11 et 21, sulculaire en 12, 13, 22, 23, en prenant soin de préserver les papilles interdentaires, ainsi que deux décharges verticales en distal des canines. Nous réalisons un décollement de pleine épaisseur (Figs. 28 et 29). Les dents (12, 22 et 18) sont facilement extraites et les alvéoles curetées avec soins. Deux implants (4*13) sont positionnés dans la paroi palatine des alvéoles, il subsiste une déhiscence vestibulaire en 22. Les racines de 12, 22 et 18 sont séparées dans le sens de la longueur. Les racines préparées comme indiqué ci-dessus, sont vissées en vestibulaire et en occlusal de la crête, au moyen de vis d’ostéosynthèse (diamètre 0,9 mm), afin de reconstruire la crête osseuse au niveau des inters de bridge ainsi que la paroi vestibulaire de la crête au niveau de 22 (Figs. 30 et 31). Le gap vestibulaire entre les implants et la crête ainsi que l’espace entre la crête et le greffon au niveau de 21, sont comblés avec un matériau d’origine synthétique (Collapat II Symatese). Le lambeau est tracté, suturé coronairement avec un fil tressé synthétique 5.0 (Fig. 32). Des piliers coniques droits pour prothèse plurale transvissée sont posés, et une empreinte prise à la fin de l’intervention (Fig. 33). Un provisoire est réalisé dans la journée par notre laboratoire de prothèse et posé le soir même. (Figs. 34 et 35)

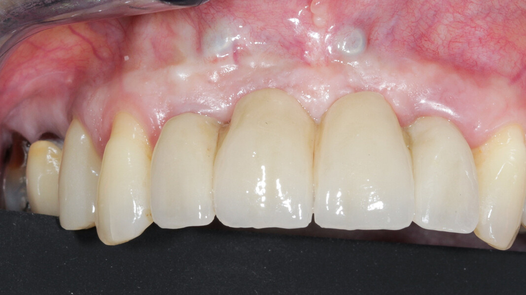
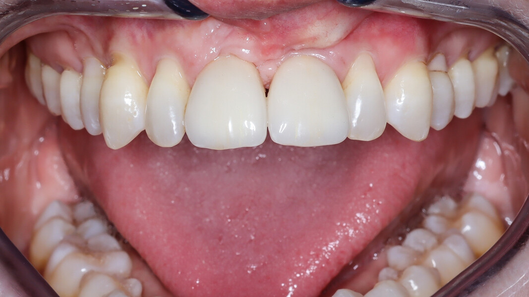
Les sutures sont retirées à 15 jours. Un contrôle de la bonne ostéointégration des implants est réalisé à 2 mois postopératoire (Figs. 36 et 37). La réalisation de la prothèse d’usage par notre correspondant intervient à 9 mois postopératoire (Fig. 38).

La patiente est suivie annuellement (cliniquement et radiologiquement), afin de contrôler l’évolution de l’ankylose des greffons radiculaires, leur résorption ainsi que le bon maintien du volume greffé (recul 48 mois postopératoire [Fig. 39]).

“Les racines préparées comme indiqué ci-dessus, sont vissées en vestibulaire et en occlusal de la crête, au moyen de vis d’ostéosynthèse (diamètre 0,9 mm), afin de reconstruire la crête osseuse au niveau des inters de bridge ainsi que la paroi vestibulaire de la crête au niveau de 22.”

,

Discussion

Les greffons radiculaires en tant que matériaux de greffes partagent de nombreuses caractéristiques avec l’os autogène, ainsi que certains avantages des biomatériaux.En outre, il s’agit de matériaux autogènes constitués d’une fraction minérale, d’une fraction organique (protéines du patient) et d’eau, dans des proportions comparables à celles de l’os alvéolaire ;3 ils sont reconnus comme faisant partie du corps du patient et n’entraînent pas de réactions inflammatoires « à corps étrangers ». Ils sont extrêmement compliants avec les tissus mous qui les recouvrent, pour autant qu’il ne subsiste pas d’arêtes vives ou tranchantes lors de la fermeture ; on obtient une cicatrisation rapide d’excellente qualité. On peut les utiliser de deux façons différentes soit comme bloc à part entière,3, 4, 5, 6, 7 soit comme « membrane biologique » associé à un biomatériau ou à des copeaux d’os autogène collectés localement.

Dans un premier temps, il y a une ankylose de la racine sur la crête puis une résorption centrifuge de remplacement de celle-ci.3 La racine est résorbée et remplacée par de l’os selon le principe de la résorption radiculaire, il s’agit d’une ankylose dirigée, mais également, lorsque le greffon est fixé à distance de la crête. Il y a une néoformation osseuse en regard de la dentine. Le matériau présente des propriétés d’ostéo-conduction et d’ostéo-induction.3, 4, 5, 8, 9

Les greffons sont faciles à prélever. Il n’y a pas de protocole ou de délai de conservation particulier : durant l’intervention, avant utilisation, il est tout à fait possible de les laisser à l’air libre sur le champ opératoire, sans aucune conséquence. Il s’agit de blocs solides insensibles aux tractions musculaires, qui se travaillent aisément avec une fraise ou un disque. Ils permettent de restaurer l’horizontalité de la crête, et ont une certaine plasticité3, 4, 6, 8, 9 ce qui permet de légèrement les contraindre, pour leur donner une courbure sans qu’ils ne cassent. Leur résorption lente leur confère une grande stabilité volumétrique dans le temps, qui fait que l’on retrouve toujours le volume greffé.4, 6, 7, 12 L’inconvénient majeur est la disponibilité. Racines extraites lors d’extraction/implantation, dents de sagesses, dents condamnées, etc. le matériau reste disponible en quantité limitée.

Conclusion

Dans les cas présentés cette technique nous a permis, avec succès, d’associer la pose des implants à la reconstruction osseuse, et une mise en place d’un provisoire le jour  même. Les objectifs chirurgicaux, mécaniques et esthétiques ont été atteints en minimisant le traumatisme chirurgical, ainsi que la durée de traitement pour nos patients, puisqu’ils n’ont eu à subir qu’une seule intervention.

Sur le long terme nous avons obtenu une reconstruction de la crête ad integrum, une résorption complète des greffons radiculaires à 2 ans (cas 1) et à 3 ans (cas 2), et une stabilité volumétrique dans le temps du volume reconstruit. Compte tenu     des caractéristiques et des nombreux avantages liés à ces « greffons radiculaires » cette technique est devenue notre choix en première intention, lorsqu’il y a des racines condamnées disponibles.

Note éditoriale:

Cet article a été initialement publié dans Dental Tribune France, N°5/2025. Une liste complète des références est disponible ici.

To post a reply please login or register
advertisement
advertisement