Search Dental Tribune

Caries radiculaires – Difficultés et recommandations pour la pratique

Lésion cervicale non carieuse, avant traitement. Dans les études cliniques randomisées et contrôlées, les verres hybrides montrent des résultats prometteurs pour la restauration des lésions cervicales. (Photo : Prof Falk Schwendicke)

mar. 5 mars 2024

Enregistrer

La carie est l’affection la plus courante chez l’être humain. Presque tout le monde en est atteint un jour ou l’autre dans sa vie. On estime aujourd’hui que le facteur déterminant n’est pas la simple présence ou la quantité du biofilm, mais plutôt les conditions environnementales. Normalement, le biofilm dentaire est non cariogène, car les bactéries qui tolèrent l’acide et en produisent n’y sont présentes qu’en très petit nombre. Seul l’apport d’hydrates de carbone permet à ces bactéries de produire de l’acide et d’abaisser le PH, menant au déplacement d’autres bactéries physiologiques et à la création d’une niche écologique.

En cas d’apport régulier d’hydrates de carbone, le biofilm se modifie durablement et c’est ce biofilm modifié, et lui seul, qui est capable de produire des quantités suffisantes d’acide pour provoquer une déminéralisation marquée des tissus dentaires durs.1 La déminéralisation n’est évidemment pas le but visé par les bactéries, mais plutôt un effet secondaire indirect.

Sachant cela, il est compréhensible que la pathogénicité du biofilm ainsi que l’équilibre entre la déminéralisation et la reminéralisation puissent être modifiés. Aujourd’hui, on accorde donc plus d’importance non pas au traitement de restauration, mais à la prévention des caries ou à l’arrêt des lésions existantes par un contrôle mécanique ou chimique du biofilm, un régime alimentaire adéquat ou une surveillance de la déminéralisation et de la reminéralisation. Un certain nombre de cas ont cependant toujours besoin d’un traitement de restauration, pour lequel différentes approches sont possibles.2

Les difficultés posées par les caries radiculaires

La mise en œuvre de mesures préventives a contribué à une réduction manifeste des caries chez les enfants et les adolescents.3 En Allemagne, un enfant de douze ans n’a en moyenne que 0,5 dent cariée ou obturée, soit une diminution de près de 90 % depuis les années 1970 ! Cette réussite est néanmoins assombrie par certaines constatations. Tout d’abord, malgré ces mesures, il subsiste un petit groupe de patients où le taux de caries reste élevé. Ensuite, la population plus âgée présente d’autres formes de caries plus notables, telles que les caries secondaires et/ou radiculaires. Celles-ci sont le sujet de cet article.

Ces caries se développent sur les surfaces radiculaires exposées où l’élimination du biofilm est limitée, soit en raison d’un accès difficile, soit en raison d’une hygiène bucco-dentaire générale insuffisante. Les surfaces radiculaires exposées sont également plus prédisposées aux caries en raison de leur composition (dentine ou cément exposés) et se déminéralisent plus tôt et plus rapidement. Outre la déminéralisation causée par les acides, la matrice organique de la dentine est dissoute par des enzymes bactériennes et spécifiques à ce tissu. La dissolution du collagène dentinaire accélère la destruction et, à un certain degré de dissolution, la dentine n’est plus capable de se reminéraliser.

La morphologie des caries radiculaires est également différente de celle des caries de l’émail : D’une part, les lésions carieuses ont souvent une forme de bol et peuvent théoriquement être nettoyées. D’autre part, elles ne sont pas rétentives ; le traitement de restauration nécessite souvent l’utilisation de matériaux adhésifs, mais la proximité de la gencive pose des difficultés quant au contrôle de l’humidité et de la mise en place d’une matrice.

Les caries radiculaires sont les caries de l’âge et se développent principalement lorsque les surfaces radiculaires sont exposées (souvent à la suite d’une perte osseuse parodontale).4 Les caries radiculaires touchent donc surtout les populations vieillissantes où de plus en plus de personnes âgées conservent un nombre important de leurs dents naturelles.

Les résultats des études allemandes sur la santé bucco-dentaire le confirment : le nombre de surfaces radiculaires cariées par personne dans la population est passé de 0,27 en 1997 à 0,71 en 2005 puis à 0,91 en 2014. Si l’on tient compte du développement et des changements démographiques, on peut en déduire que le nombre total de surfaces radiculaires cariées a triplé en l’espace de 20 ans seulement, passant d’environ 21 millions à plus de 70 millions.4 Les caries radiculaires pourraient ainsi devenir la forme la plus courante de lésions carieuses dans de nombreux pays à haut revenu, où les personnes âgées, dont le nombre de dents naturelles encore présentes est plus élevé qu’auparavant, représentent le seul groupe d’âge en croissance.

Facteurs de risque

Comme expliqué précédemment, le risque de carie radiculaire augmente fortement avec l’âge. Il est donc probable que les facteurs de risque associés aux changements liés à l’âge contribuent également au développement des caries radiculaires.

Des antécédents de caries radiculaires sont le facteur de risque le plus souvent identifié 5 et sont généralement un bon indicateur, car ils englobent rétrospectivement tous les autres facteurs (comportement, génétique, anatomie, physiologie, etc.).

Ces facteurs étant immuables ou rarement modifiés, on estime que cette trajectoire suivie par le passé se pour suivra à l’avenir. D’autres facteurs de risque pertinents sont le nombre de surfaces radiculaires exposées, une hygiène bucco-dentaire insuffisante ou la présence d’une parodontite. Le nombre de surfaces radiculaires exposées et la parodontite sont souvent liés, comme nous le verrons en détail par la suite. Toutefois, les données sur les facteurs de risque de carie radiculaire sont limitées et ne reposent que sur un petit nombre d’études fiables.

Les faits permettent de déduire que les patients qui présentent déjà une ou plusieurs caries radiculaires sont exposés à un risque plus élevé d’en développer de nouvelles. Outre les mesures de routine, des stratégies de prévention, une surveillance étroite et une intervention précoce dès l’apparition de nouvelles lésions carieuses radiculaires sont donc recommandées chez ces patients.

Prise en charge des caries radiculaires

Il existe un ensemble de mesures préventives et thérapeutiques pour les caries, dont l’efficacité est prouvée chez les enfants et les adultes. Toutefois, peu d’études valables ont été menées sur les approches du traitement des caries radiculaires chez les patients plus âgés. Une analyse systématique récemment publiée a fourni un résumé des données sur les différentes stratégies de prévention et de traitement des caries radiculaires.6 Cette analyse est à la base d’un document de consensus élaboré par des délégués de divers organismes professionnels (Organisation européenne pour la recherche sur les caries (ORCA), Fédération européenne de dentisterie conservatrice (EFCD) et Société allemande de dentisterie conservatrice (DGZ), dont l’objectif était de fournir aux chirurgiens-dentistes des recommandations factuelles sur la prévention et le traitement,7 notamment :

Le groupe des personnes âgées étant hétérogène sous divers aspects (par exemple, l’hygiène bucco- dentaire, la santé générale), il convient de tenir compte des besoins individuels de ces patients dans le processus de planification.

  • Les soins dentaires de ces patients suivent souvent des approches pragmatiques visant à prolonger la survie des dents plutôt que des interventions plus complexes.
  • Dans la mesure où l’état de santé des patients âgés peut évoluer rapidement, il est recommandé d’effectuer des examens à des intervalles réguliers.

Dans les cas de patients très dépendants, il convient d’envisager l’extraction des dents.

  • Bien qu’il ne soit pas toujours possible d’obtenir des résultats satisfaisants dans la pratique, il est important de maintenir une bonne hygiène bucco-dentaire chez les patients âgés. Des conditions orales saines sont particulièrement cruciales chez ces patients, car on sait que la santé bucco-dentaire et la santé systémique sont interconnectées. Par exemple, une mauvaise hygiène bucco- dentaire peut être à l’origine d’une pneumonie chez les patients dépendants.

Comme pour les patients plus jeunes, le but de la prévention des caries chez les patients âgés est d’agir sur les facteurs étiologiques qui interviennent dans le développement des caries. Par conséquent, les patients âgés présentant un risque carieux accru devraient réduire leur consommation de sucre et veiller à une application générale de fluorure par un brossage des dents avec un dentifrice fluoré deux fois par jour.

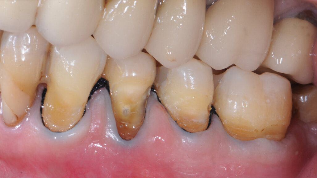
En raison de la perte osseuse parodontale, les patients âgés présentent souvent des espaces interdentaires ouverts qui sont prédisposés aux lésions carieuses radiculaires (Fig. 1). Ces patients doivent veiller à une hygiène de ces espaces au moyen de brossettes interdentaires et d’un dentifrice fluoré.

  • Dans de nombreux cas, les déficiences liées à l’âge entraînent une diminution de l’efficacité des mesures d’hygiène bucco-dentaire que les patients âgés effectuent eux- mêmes, en particulier les patients dépendants, qui peuvent ne plus être du tout capables d’assumer ces gestes. Les soignants, dont les membres de la famille, doivent donc être encouragés à apporter leur soutien ou à assumer les mesures d’hygiène bucco-dentaire.

Il existe des traitements non invasifs pour les lésions carieuses radiculaires existantes. Ils ont pour but de faire passer les lésions actives (lésions molles, recouvertes de plaque) à un état inactif (lésions dures, exemptes de plaque). Ces lésions inactives doivent être considérées comme des « cicatrices » qui ne nécessitent pas de traitement supplémentaire.

En ce qui concerne les lésions facilement accessibles, une mesure simple et efficace consiste à les brosser consciencieusement dans le cadre de l’hygiène bucco-dentaire quotidienne. L’élimination régulière du biofilm cariogène permet de faire passer la lésion à un état inactif. Les patients à haut risque doivent se brosser les dents avec un dentifrice fortement fluoré (5000 ppm de fluorures). L’application de vernis fluoré ou de fluorure de diamine d’argent au cabinet dentaire est également recommandée pour le traitement des caries radiculaires, mais il convient toutefois de noter que le fluorure de diamine d’argent peut causer des colorations noires irréversibles sur les surfaces traitées.

Certaines lésions nécessitent cependant un traitement par une approche restauratrice qui est évoquée, ainsi que les différentes options de matériaux disponibles pour cette indication, dans la section suivante.

Fig. 1 : Les racines exposées sont prédisposées au risque carieux ; elles se déminéralisent plus tôt et plus rapidement, car la dentine ou le cément n’est pas protégé par l’émail ou l’alvéole.

Difficultés rencontrées lors du traitement de restauration

Comme il a été expliqué, les lésions carieuses radiculaires diffèrent des caries de la couronne sur le plan pathogénique, mais aussi sur le plan morphologique. Par conséquent, les concepts classiques du traitement de restauration effectué dans le cadre de caries de la couronne sont moins efficaces, voire totalement irréalisables en cas de caries radiculaires.

Les lésions carieuses radiculaires peuvent être situées dans des zones difficilement accessibles telles que les espaces interproximaux, et leur restauration peut donc nécessiter le sacrifice d’une grande quantité de tissus dentaires sains. Ces problèmes sont à l’origine de la survie souvent plus courte des restaurations des lésions carieuses radiculaires par rapport aux restaurations coronaires. Très souvent, le traitement de patients âgés, qui représentent le principal groupe à risque, pose aussi des difficultés. De nombreux patients de ce groupe ne sont pas pleinement en mesure de subir un traitement. Les limitations de mobilité, surtout chez les patients dépendants, peuvent nécessiter des soins en dehors du cabinet dentaire. L’utilisation des dispositifs et matériaux dont dispose le cabinet dentaire est par conséquent fortement limitée pour le traitement de ces patients.

Matériaux de restauration des caries radiculaires

Fig. 2 : Malgré leurs excellentes propriétés, la mise en place des résines composites est techniquement plus exigeante (Avec l’aimable autorisation du Pr B. Van Meerbeek, université catholique (KU) de Louvain – BIOMAT, Belgique).plus influents).

Fig. 2 : Malgré leurs excellentes propriétés, la mise en place des résines composites est techniquement plus exigeante (Avec l’aimable autorisation du Pr B. Van Meerbeek, université catholique (KU) de Louvain – BIOMAT, Belgique).plus influents).

Différentes catégories de matériaux sont disponibles pour restaurer les lésions radiculaires :

  1. résines composites ;
  2. verres ionomères classiques et leur dernière génération, les verres hybrides ;
  3. matériaux combinant les propriétés des deux classes de matériaux précédentes, tels que les verres ionomères modifiés par adjonction de résine. Les résines composites microhybrides et nanohybrides sont dotées d’excellentes propriétés physiques, notamment d’une grande résistance à l’abrasion et à l’érosion, d’une résistance élevée à la flexion, d’une bonne aptitude au polissage, et de qualités esthétiques. De plus, ces matériaux peuvent être mis en place par une technique adhésive qui permet des traitements dentaires minimalement invasifs. La mise en place des résines composites nécessite notamment un contrôle très strict de l’humidité– dont l’obtention est généralement difficile en cas de caries radiculaires – et exige un processus en plusieurs étapes comme un mordançage à l’acide et l’application de produits adhésifs. Ces dernières années, les fabricants se sont efforcés de simplifier ce processus, notamment en combinant les étapes de mordançage et d’application de l’adhésif, mais la mise en œuvre – en particulier dans les zones juxta-gingivales ou sous-gingivales – reste toutefois techniquement complexe (Fig. 2).

Alors que seules les dernières générations de ciments verres ionomères (CVI) sont de plus en plus utilisées pour restaurer les cavités soumises aux contraintes, cette classe de matériaux a toujours été une solution valable pour les lésions cervicales (car les problèmes liés à l’abrasion et aux contraintes sont moins importants qu’au niveau des surfaces occlusales et proximales). Les verres ionomères modifiés par adjonction de résine ont tout particulièrement montré un taux de survie élevé dans les lésions cervicales (il convient toutefois de noter que de nombreuses études les évaluaient dans des lésions non carieuses). La dernière génération de matériaux, dénommée verres hybrides (Fig. 3), se caractérise par une grande stabilité à l’abrasion et à l’érosion, et par une meilleure résistance à la flexion. Ces propriétés sont dues à des modifications de la composition chimique du matériau, principalement à l’ajout d’une phase vitreuse constituée de particules plus petites et de chaînes d’acide acrylique plus longues.

Fig. 3a : Une lésion cervicale est restaurée au moyen d’un verre hybride. a) Mise en place d’EQUIA Forte HT,

Fig. 3a : Une lésion cervicale est restaurée au moyen d’un verre hybride. a) Mise en place d’EQUIA Forte HT,

Fig. 3b : EQUIA Forte Coat crée une surface lisse,

Fig. 3b : EQUIA Forte Coat crée une surface lisse,

Fig. 3c : restauration après la finition (avec l’aimable autorisation du Dr Javia Tapia Guadix, Espagne).

Fig. 3c : restauration après la finition (avec l’aimable autorisation du Dr Javia Tapia Guadix, Espagne).

Une étape supplémentaire de revêtement avec une nanorésine donne à la surface de verre un aspect plus lisse et esthétique. Plusieurs études menées en laboratoire ont confirmé que les verres hybrides présentent en effet des propriétés nettement supérieures à celles de leurs prédécesseurs, tout en continuant à offrir les mêmes avantages, c’est-à-dire la facilité de la mise en place et la bioactivité, en particulier la libération de fluorure – un aspect pertinent pour la protection contre les caries radiculaires secondaires. D’autres études ont démontré que les CVI réduisent le risque carieux au niveau des limites marginales de la restauration sur une distance allant jusqu’à 300 μm. Une zone intermédiaire résistante aux acides, constituée de calcium dissous provenant des tissus dentaires et du fluor libéré par le matériau, est en outre susceptible d’augmenter la résistance contre les lésions secondaires.8

Données cliniques

Il existe très peu de données sur les matériaux de restauration des lésions radiculaires. Les données comparatives sont particulièrement rares. La plupart des études indiquent qu’à l’exception de la forme anatomique et de la concordance des teintes (où les verres ionomères peuvent poser plus de difficultés), et des lésions secondaires (où les composites peuvent accroître le risque), le risque d’échec est similaire entre les verres ionomères et les composites. En général, le risque d’échec de la restauration est relativement élevé pour cette indication. Il s’est également avéré que le risque carieux peut modifier la probabilité d’échec, les composites présentant des échecs plus fréquents, principalement dans les caries secondaires, chez les personnes à haut risque. 6, 8, 9

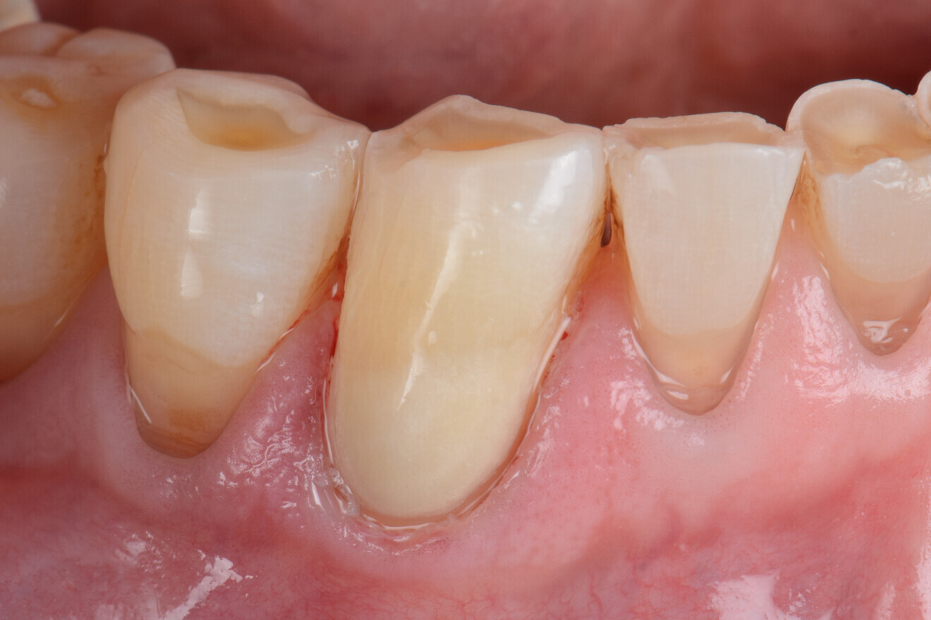
En ce qui concerne les verres hybrides, les seules données disponibles sont des études randomisées qui ont comparé ce matériau avec les résines composites dans les lésions non carieuses (Fig. 4).

Fig. 4a : Dans les études cliniques randomisées et contrôlées, les verres hybrides montrent des résultats prometteurs pour la restauration des lésions cervicales. a) Lésion cervicale non carieuse, avant traitement,

Fig. 4a : Dans les études cliniques randomisées et contrôlées, les verres hybrides montrent des résultats prometteurs pour la restauration des lésions cervicales. a) Lésion cervicale non carieuse, avant traitement,

Fig. 4b : Restauration initiale par un verre hybride.

Fig. 4b : Restauration initiale par un verre hybride.

Fig. 4ac: Même restauration après 6,5 ans (Avec l’aimable autorisation du Pr M. Basso, Italie).

Fig. 4ac: Même restauration après 6,5 ans (Avec l’aimable autorisation du Pr M. Basso, Italie).

L’étude la plus intéressante concernant les caries radiculaires est celle qui a évalué un verre hybride (EQUIA Forte, GC) par rapport à des restaurations en résine composite (Filtek Supreme XTE, 3M) pour le traitement de lésions radiculaires non carieuses présentant une dentine sclérotique chez 88 patients d’âge moyen et plus avancé (50 à 70 ans).10

Une évaluation de la survie, de la qualité et des coûts de 92 restaurations, mises en place sans aucune préparation mécanique (ayant finalement entraîné des taux d’échec annuels élevés pour les deux groupes) a été réalisée sur une durée de 36 mois. La qualité des restaurations a été évaluée après 1, 18 et 36 mois selon les critères de la Fédération dentaire internationale (FDI). Les coûts ont été évalués à l’aide d’une approche reposant sur le microcosting (comptabilisation du temps utilisé pour la mise en place du matériau) et, pendant le suivi, sur les prestations de l’assurance maladie obligatoire en Allemagne. Après 36 mois, une perte totale de rétention a été constatée pour 17 verres hybrides et 19 résines composites, et une perte partielle pour 5 verres hybrides. Les coûts liés aux verres hybrides étaient nettement inférieurs, tant au début de l’étude (verres hybrides : 32,57 euros [écart type 16,36 euros] par rapport aux résines composites : 44,25 euros [écart type 21,40 euros]) et sur toute la période de suivi (verres hybrides : 41,72 euros [écart type 25,08 euros] par rapport aux résines composites : 51,60 euros [écart type 26,17 euros]).

Conclusion

Compte tenu de leurs meilleures propriétés biomécaniques, de leur rapport coût-efficacité et de leur caractère plus tolérant vis-à-vis des complications généralement induites par les lésions radiculaires, les verres hybrides peuvent offrir une excellente solution de restauration.

Néanmoins, il est nécessaire d’obtenir davantage de données cliniques sur le traitement des lésions carieuses radiculaires. À l’avenir, plus d’attention devrait être accordée aux mesures de prévention, aux traitements non invasifs et aux matériaux bioactifs, notamment l’utilisation d’argent, dont le fluorure de diamine d ’argent pour modifier les lésions. Jusqu ’à présent, ces aspects ne disposent toutefois d ’aucune donnée clinique.

Note éditoriale:

Références

1 Takahashi N, Nyvad B. The Role of Bacteria in the Caries Process: Ecological Perspectives. J Dent Res. 2011 Mar;90(3):294–303.
2 Schwendicke F, Splieth C, Breschi L, Banerjee A, Fontana M, Paris S, Burrow MF, Crombie F, Page LF, Gaton-Hernandez P, Giacaman R, Gugnani N, Hickel R, Jordan RA, Leal S, Lo E, Tassery H, Thomson WM, Manton DJ. When to intervene in the caries process? An expert Delphi consensus statement, Clin Oral Investi. 2019 Oct;23(10):3691–703.
3 Jordan AR, Krois J, Schiffner U, Micheelis M, Schwendicke F. Trends in caries experience in the permanent dentition in Germany 1997–2030: Morbidity shifts in an ageing society. Sci Rep. 2019 Apr 2;9(1):5534.
4 Schwendicke F, Krois J, SchiffnerU, Micheelis W, Jordan RA. Root caries experience in Germany 1997 to 2014: Analysis of trends and identification of risk factors. J Dent. 2018 Nov:78:100–5.
5 Lopez R, SmithPC, Gostemeyer G, Schwendicke F. Ageing, dental caries and periodontal diseases. J Clin Periodontol. 2017 Mar:44 Suppl 18 (2017) S145–1S52.
6 Meyer-Lueckel H, Machiulskiene V, Giacaman RA. How to Intervene in the Root Caries Process? Systematic Review and Meta-Analyses. Caries Res. 2019;53(6):599–608.
7 Paris S, Banerjee A, Bottenberg P, Breschi L, Campus G, Doméjean S, Ekstrand K, Giacaman RA, Haak R, Hannig M, Hickel R, Juric H, Lussi A, Machiulskiene V, Manton D, Jablonski-Momeni A, Santamaria R, Schwendicke F, Splieth CH, Tassery H,Zandona A, Zero D, Zimmer S, Opdam N. How to Intervene in the Caries Process in Older Adults: A Joint ORCA and EFCD Expert Delphi Consensus Statement. Caries Res.2020 Dec 8; 54(5-6):1–7.
8 Tonprasong W, Inokoshi M, Shimizubata M, Yamamoto M, Hatano K, Minakuchi S. Impact of direct restorative dental materials on surface root caries treatment. Evidence based and current materials development: A systematic review. Jpn Dent Sci Rev. 2022 Nov;58:13–30.
9 Pilcher L, Pahlke S, Urquhart O, O’Brien KK, Dhar V, Fontana M, González-Cabezas C, Keels MA, Mascarenhas AK, Nascimento MM, Platt JA, Sabino GJ, Slayton RL, Tinanoff N, Young DA, Zero DT, Tampi MP, Purnell D, Salazar J, Megremis S, Bienek D, Carrasco-Labra A. Direct materials for restoring caries lesions: Systematic review and meta-analysis-a report of the American Dental Association Council on Scientific Affairs. J Am Dent Asso. 2023 Feb; 154(2):e1-e98. doi:10.1016/j.adaj.2022.09.012. Epub 2023 Jan 5.
10 Schwendicke F, Müller A, Seifert T, Jeggle  Engbert LM, Paris S, Göstemeyer G. Glass hybrid versus composite for non-carious cervical lesions: Survival, restoration quality and costs in randomized controlled trial after 3 years. J Dent. 2021 Jul:110:103689.

Cet article a été initialement publié dans Le GC – GET CONNECTED-21, de janvier – juin 2024 et dans le journal Dental Tribune France 1/2024.

Mots-clés:
To post a reply please login or register
advertisement
advertisement