SIPPY DOWNS, Australie : Lise Slack RDH est une hygiéniste dentaire praticienne australienne disposant d’une expérience de 30 ans, notamment en Afrique du Sud et en Angleterre.
Lise est spécialisée dans l’entretien des implants, des bridges et des dentitions des patients ayant eu recours à la parodontie. Lise a inventé le fil dentaire unique X-Floss désormais disponible dans plusieurs pays. Elle est également conférencière internationale dans le domaine de l’entretien implantaire/parodontal.
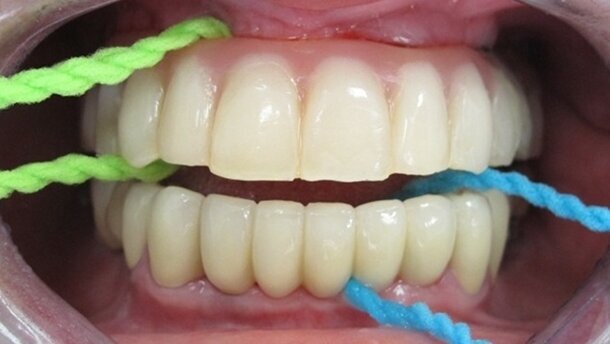
Les versions X-Floss et X-Floss lite sont spécialement conçues pour aider nos patients à entretenir à long terme leurs précieux implants et bridges. Le fil dentaire X-Floss est doté d’un bel enfileur robuste qui permet aux patients de faire passer le fil dentaire doux et de l’y attacher pour un nettoyage intégral. La version X-Floss est idéale lorsqu’un fil plus épais est nécessaire, et la version X-Floss lite plus fine, pour les prothèses étroitement ajustées. On note une meilleure observance lorsqu’un produit est convivial et efficace !
Pour visionner des vidéos de démonstration, visitez le site Web www.idontix.com.
Pour sa 12e édition, l’UFSBD a eu le plaisir de remettre ses prix de thèse lors d’une soirée qui réunissant les cadres de l’UFSBD et les ...
Le 28e prix de thèse ADF / Dentsply Sirona a distingué quatre lauréats lors de la cérémonie de remise des prix organisée le 28 novembre 2025. ...
PARIS, France : Lors du congrès de l’ADF 2021, l’Union française pour la santé bucco-dentaire (UFSBD) en partenariat avec les entreprises Henry ...
PARIS, France : L’Union française pour la santé bucco-dentaire (UFSBD) organise, en partenariat avec les entreprises Henry Schein et ...
PARIS, France : Ouvert chaque année depuis 17 ans, aux jeunes praticiens venant de soutenir leur thèse de doctorat d’exercice en ...
PARIS, France : Issu d’un partenariat entre l'Association dentaire française et la société Dentsply SIrona, le prix de thèse ADF/Dentsply Sirona est ...
PARIS, France : Le prix de thèse ADF/Dentsply Sirona ne cesse de se démarquer par la qualité des travaux de thèse et des présentations des candidats. ...
PARIS, France : À l’issue d’une double sélection effectuée par un jury composé de Martine Bonnaure-Mallet et Paul ...
La restauration d’une dent unitaire est devenue l’une des interventions les plus couramment pratiquées en implantologie.1 Dans la ...
PARIS, France : En vue du congrès de l’ADF 2025 qui débute aujourd’hui, nous vous proposons un aperçu de l’article des docteurs Virgile Metrop et ...
Webinaire en direct
jeu. le 14 mai 2026
à 18h00 (CET) Paris
Webinaire en direct
jeu. le 14 mai 2026
à 20h00 (CET) Paris
Prof. Hani Ounsi DDS PhD FICD
Webinaire en direct
mar. le 19 mai 2026
à 17h00 (CET) Paris
Webinaire en direct
mar. le 19 mai 2026
à 19h00 (CET) Paris
Prof. Dr. med. dent. Ivo Krejci
Webinaire en direct
mer. le 20 mai 2026
à 13h00 (CET) Paris
Dr. Graham Carmichael BDSc (Hons), DClinDent (Pros), FRACDS, Dr. Robert Gottlander DDS
Webinaire en direct
mer. le 20 mai 2026
à 15h00 (CET) Paris
Webinaire en direct
mer. le 20 mai 2026
à 19h00 (CET) Paris
Prof. Dr. med. dent. Tim Joda PhD, MSc, eMBA
To post a reply please login or register