HONG KONG : Même avec l’aide de la technologie moderne de CAO/FAO, la création d’une prothèse dentaire est encore assez longue, ce qui entraîne un temps au fauteuil important et des coûts élevés pour les patients. Pour faciliter la conception de couronnes dentaires sur molaires, des chercheurs de la faculté de médecine dentaire de l’université de Hong Kong (HKU) et du département d’informatique du Chu Hai College of Higher Education de Hong Kong, ont collaboré pour mettre au point une nouvelle approche faisant appel à l’intelligence artificielle (IA).
Lorsqu'on lui a demandé ce qui avait inspiré cette recherche, l'auteur principal, le Dr Walter Yu Hang Lam, professeur assistant clinique en prosthodontie à la Division of Restorative Dental Sciences de la HKU, a déclaré à Dental Tribune International : « Certains patients perçoivent une gêne au niveau de la gencive de leur prothèse dentaire. C'est pourquoi, dans le cursus dentaire, une part importante du temps est consacrée à la théorie de l'occlusion et à la formation clinique, afin de fournir une prothèse dentaire adaptée à la bouche du patient. Mes collègues et moi espérions trouver une solution pour améliorer l'efficacité du traitement et l'expérience du patient. »
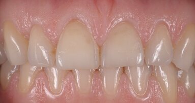
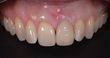
Afin de restaurer l'apparence originale du patient, sa fonction masticatoire et sa santé bucco-dentaire générale, les prothèses dentaires doivent avoir la même morphologie occlusale, et la même position 3D que les dents naturelles. Celles-ci peuvent être déduites pour une dent manquante à partir de celles de la dentition environnante, car les dents d'un individu sont toutes contrôlées par le même ensemble de gènes, et exposées au même environnement oral. Les chercheurs ont émis l'hypothèse que l'IA pourrait ainsi générer la conception d'une prothèse de dent unitaire, sur la base des caractéristiques de la dentition restante.
L'équipe de recherche a utilisé une approche d'apprentissage automatique appelée « Generative Adversarial Network » (GAN), pour former et valider son système d'IA, et l'a testé sur 175 participants. Le système a été capable de reproduire la forme d'une dent naturelle et d'automatiser le processus de conception de prothèses dentaires, en se basant uniquement sur le modèle numérique de la dentition du patient.
« L'algorithme 3D GAN a été sélectionné en raison de ses performances supérieures sur la reconstruction d'objets en 3D, par rapport à d'autres algorithmes d'IA. Dans l'étude préliminaire, 3D GAN a été capable de reproduire des formes similaires aux dents d'origine dans 60 % des cas. On s'attend à une amélioration grâce à l’ajout de données d'entraînement d'IA », a commenté le co-auteur, le Dr Reinhard Chun Wang Chau, assistant de recherche dans la Division of Restorative Dental Sciences and of Applied Oral Sciences and Community Dental Care de HKU, dans un communiqué de presse. Pour les recherches futures, l'équipe propose d'étudier si la présence de dents antagonistes aidera l'IA à générer une dent plus naturelle.
Interrogé sur les avantages de cette méthode pour les professionnels dentaires et pour les patients, le Dr Lam a déclaré : « Elle est moins chronophage pour les uns comme pour les autres. Les chirurgiens-dentistes passeront moins de temps à enregistrer les relations entre les mâchoires et les ajustements au fauteuil, ce qui facilitera grandement l'ensemble du processus de traitement et leur permettra de prendre en charge davantage de cas. »
Il a ajouté : « Les patients consacreront moins de temps et d'argent au traitement. En outre, les prothèses dentaires dont ils bénéficieront s'adapteront mieux à leur dentition restante et seront donc susceptibles de causer moins de problèmes de mâchoire. »
Selon le Dr Lam, le groupe de recherche espère mettre la technologie d'IA à la disposition des professionnels dentaires dans les cinq prochaines années, après avoir testé sa précision dans des scénarios simulés et cliniques. En outre, les chercheurs pensent que la méthode pourrait être appliquée à la fabrication de couronnes pour d'autres dents et à des restaurations plurales à l'avenir.
L'étude, intitulée « Artificial intelligence-designed single molar dental prostheses : A protocol of prospective experimental study », a été publiée en ligne le 2 juin 2022 dans PLOS ONE.
Mots-clés:
L’obtention d’un excellent résultat en dentisterie esthétique peut représenter un véritable défi pour tous les praticiens dentaires, quel que soit ...
Avec plus de 40 ans d'évidence clinique, les implants endo-osseux, en titane, sont devenus une forme (basée sur l'évidence) acceptable ...
COPENHAGUE, Danemark : 3Shape va lancer Dental System 2013 en décembre 2012, une solution révolutionnaire en matière de conception de pivots.
COPENHAGUE, Danemark : 3Shape va lancer Dental System 2013 en décembre 2012, une solution révolutionnaire en matière de conception de pivots.
HAMBOURG, Allemagne : En médecine, l’intelligence artificielle est considérée comme une technologie d’avenir prometteuse. Un projet actuel est ...
La restauration esthétique de dents antérieures par traitement implantaire est une technique délicate, surtout en présence de défauts des tissus osseux...
_Cette patiente est adressée à ma consultation pour un problème esthétique concernant l’état de ses 2 incisives ...
BELFAST, UK : Les conclusions d'une nouvelle étude suggèrent que l'utilisation régulière d'aspirine pourrait réduire de ...
MANCHESTER, Royaume-Uni : Environ 3,7 millions de citoyens britanniques n'ont pas de dents naturelles. Un grand nombre porte des prothèses dentaires ...
BERLIN, Allemagne : Pour certains animaux, la perte de dents n’est pas toujours un problème : les dents des requins et celles les crocodiles se ...
Webinaire en direct
jeu. le 14 mai 2026
à 18h00 (CET) Paris
Webinaire en direct
jeu. le 14 mai 2026
à 20h00 (CET) Paris
Prof. Hani Ounsi DDS PhD FICD
Webinaire en direct
mar. le 19 mai 2026
à 17h00 (CET) Paris
Webinaire en direct
mar. le 19 mai 2026
à 19h00 (CET) Paris
Prof. Dr. med. dent. Ivo Krejci
Webinaire en direct
mer. le 20 mai 2026
à 13h00 (CET) Paris
Dr. Graham Carmichael BDSc (Hons), DClinDent (Pros), FRACDS, Dr. Robert Gottlander DDS
Webinaire en direct
mer. le 20 mai 2026
à 15h00 (CET) Paris
Webinaire en direct
mer. le 20 mai 2026
à 19h00 (CET) Paris
Prof. Dr. med. dent. Tim Joda PhD, MSc, eMBA
To post a reply please login or register