Grâce à la puissance de la conception numérique et aux moyens d’usinage dont dispose le laboratoire, il est possible de créer plusieurs plans de conception du sourire, et de fabriquer des prototypes en PMMA qui seront évalués dans la bouche du patient, afin d’obtenir son accord sur les aspects esthétiques et fonctionnels.
Il a été suggéré qu’une personne à qui l’on donne la possibilité de choisir entre deux ou trois options au moment d’une prise de décision affective, a davantage le sentiment de faire le bon choix.4 Ce principe mène tout naturellement à la production numérique de prototypes de restauration en PMMA qui peuvent être essayés par le patient, et lui donner un choix plus éclairé dans la partie émotionnelle de sa prise de décision. Ce processus permet d’épargner des heures de temps au fauteuil et d’éviter des décisions prises à l’aveuglette, lors de l’ajustement et de la modification manuelle des restaurations provisoires.
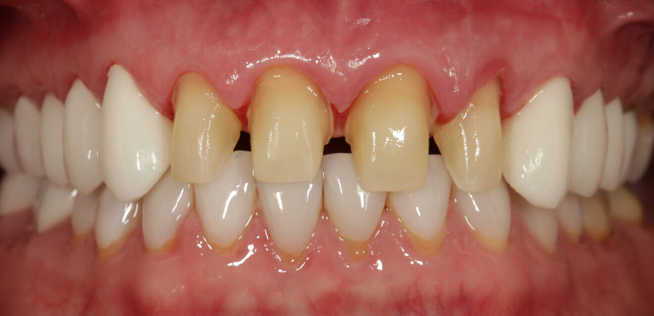
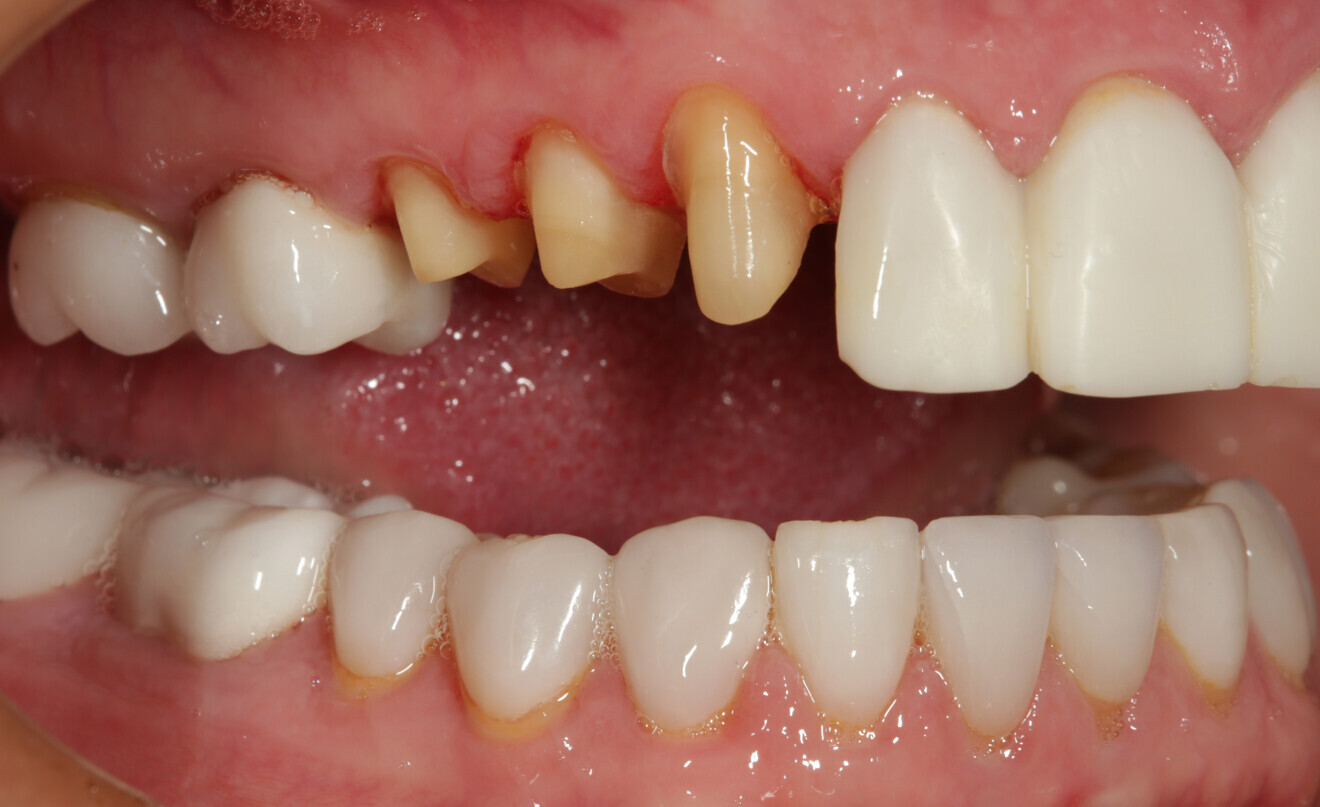
La patiente présentée dans cet article souhaitait remplacer ses facettes en céramique, posées dix ans auparavant, pour éclaircir la teinte de ses dents. Les facettes en céramique ont été prudemment déposées à l’aide d’instruments rotatifs et de fraises diamantées, afin d’exposer les dents préparées lors du traitement initial.
Après quelques modifications mineures de la position du rebord gingival, une empreinte de référence a été prise en utilisant la technique d’empreinte du double cordon. Cette technique consiste à introduire un cordon de rétraction de taille 00 à la base du sillon gingivo-dentaire de chaque préparation.
Ensuite, un cordon de taille 1 est placé par-dessus le premier cordon au niveau des limites de la préparation. Lors de la prise d’empreinte, le cordon de taille 1 est retiré et le cordon de taille 00 est laissé en place. Un matériau d’empreinte de faible viscosité (Light Body) est alors introduit dans le sillon gingivo-dentaire autour de chaque préparation, et le porte-empreinte contenant le matériau de haute viscosité (Heavy Body) est mis en place sur les préparations jusqu’à prise complète.

Fig.2
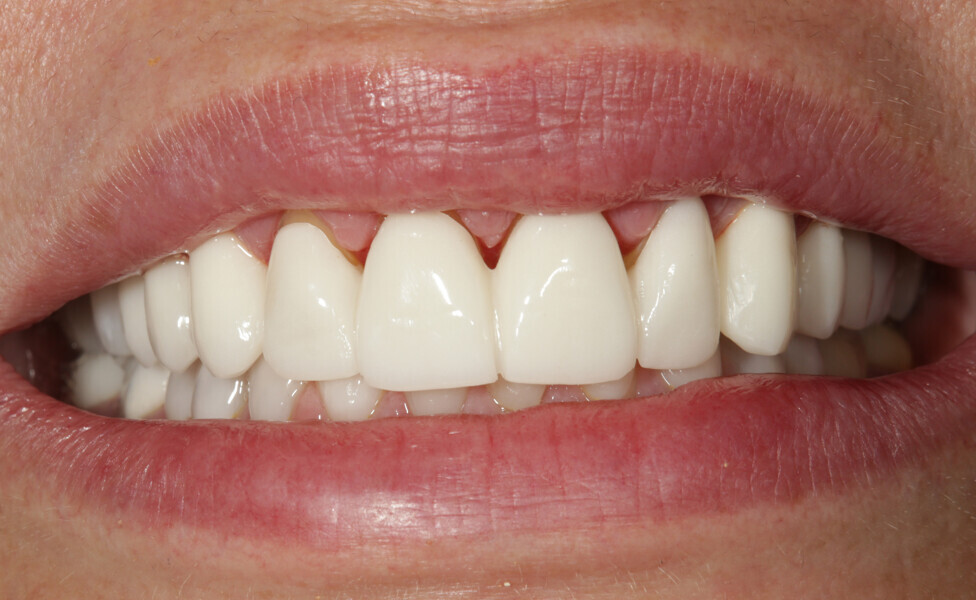
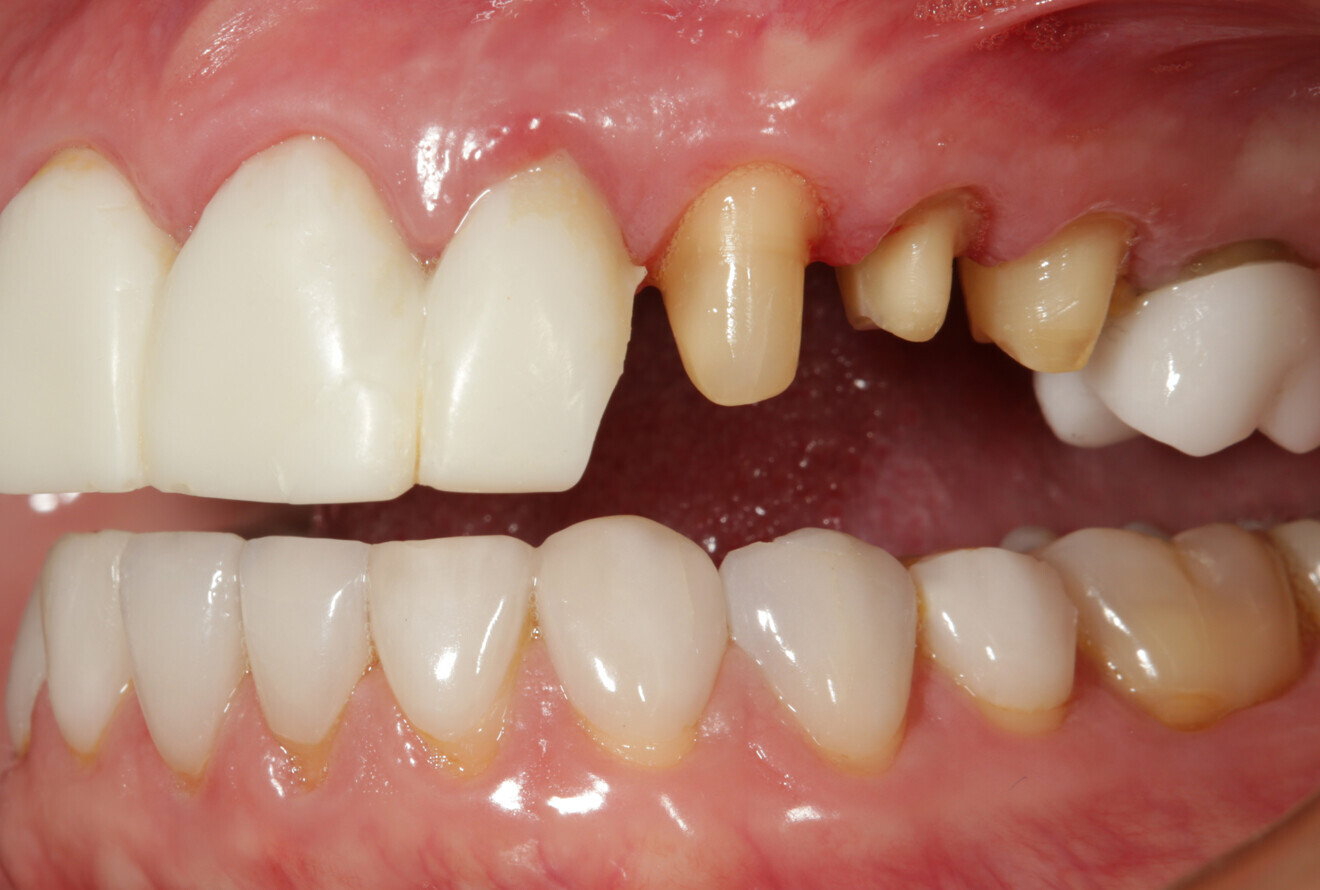
Dans le cas de cette patiente, les formes et les contours des facettes d’origine étaient adéquats pour la fabrication des restaurations provisoires. Avant la dépose des facettes, une empreinte a donc été réalisée en polysiloxane de vinyle, afin de servir de matrice. Cette matrice a été remplie avec un matériau en résine uréthane caoutchouc (Tuff Temp Plus, Pulpdent) pour réaliser une prothèse provisoire, qui a été contourée au fauteuil et collée à l’aide d’un composite fluide (Fig. 2).
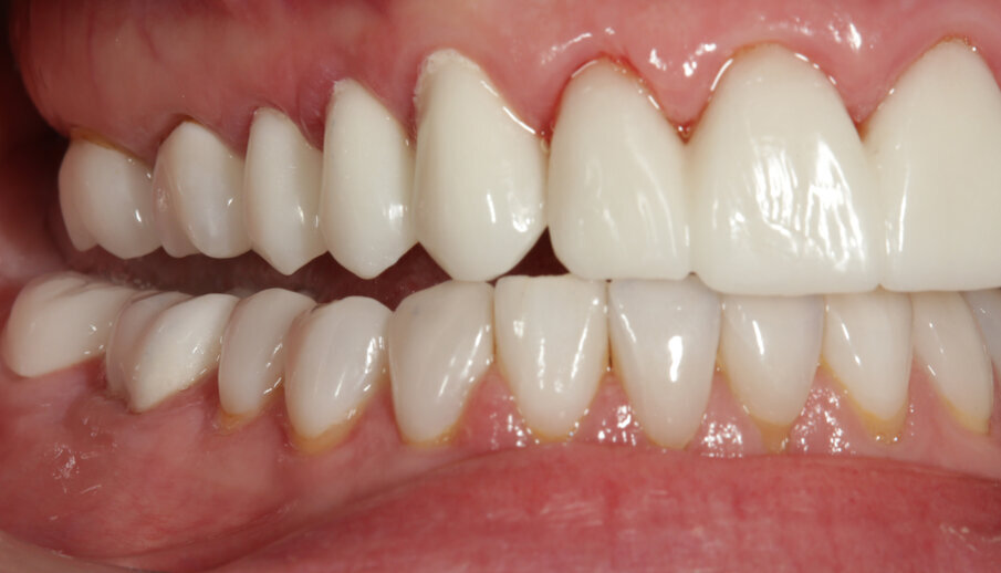
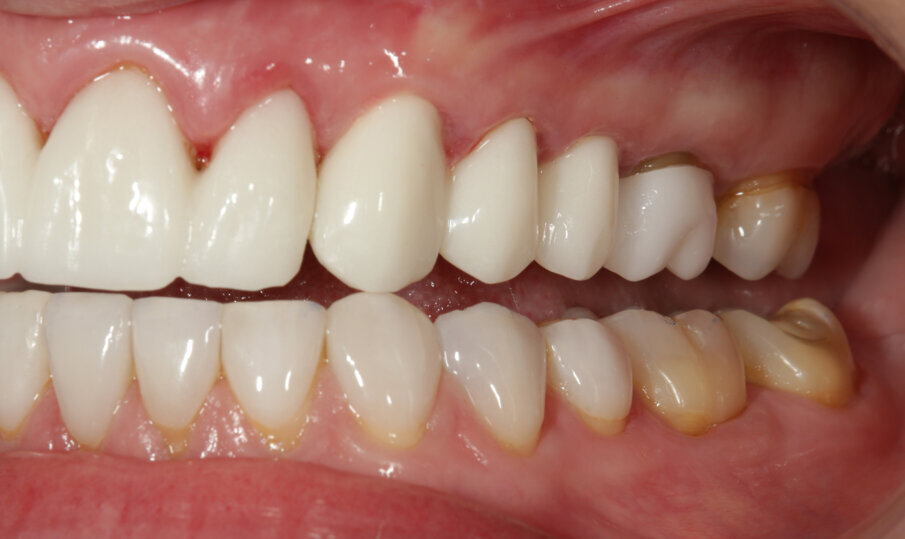
Ensuite, le prothésiste dentaire a réalisé un moulage de l’empreinte de référence et l’a scannée pour créer le maître modèle numérique (Fig. 3), sous forme d’un fichier STL. Utilisé dans le logiciel de conception, il permet de créer les divers prototypes de restauration qui seront proposés à la patiente. L’empreinte de l’arcade antagoniste a également été numérisée, de même que la relation occlusale. Le modèle prothétique a été monté sur un articulateur numérique, et un projet a été conçu pour les dix facettes en zircone. Il a été aisé pour le prothésiste de concevoir virtuellement la pente canine et le guidage antérieur, puisque les contours des restaurations peuvent être définis et modifiés dans le logiciel (Figs. 4 et 5).
To post a reply please login or register