Dans notre société moderne où l’apparence de l’individu revêt une telle importance, la demande de modifications esthétiques des dents n’a cessé d’augmenter. Avec les composites directs, un sourire peut être changé avec ou sans préparation minimale des dents. Si le traitement est réalisé correctement, les résultats esthétiques sont très satisfaisants et les composites sont généralement le choix préféré pour les jeunes patients. Très souvent, le patient se focalise sur la teinte, et pourtant... La teinte n’est pas seule responsable pour un résultat esthétique !
La conception d’un sourire reste un challenge difficile, surtout parce que la perception de l’esthétique du sourire est personnelle et subjective. À côté de la reproduction correcte de la teinte, une connaissance aiguë de la façon de recréer la morphologie et le brillant des dents est également nécessaire. Ces éléments dépendent d’une interaction complexe entre les lignes de transition et les embrasures dont tous les aspects s’influencent mutuellement. Cela est encore plus flagrant dans les deux cas présentés ici, chez qui la forme des dents a été redéfinie pour créer une apparence harmonieuse.
Redéfinir la forme de canines en incisives latérales et de prémolaires en canines
En l’absence d’incisives latérales, il faut décider du maintien des espaces afin de poser des éléments prothétiques, ou d’une fermeture orthodontique. On regarde généralement la fermeture des espaces comme un échappatoire, car elle pose des problèmes sur le plan esthétique.
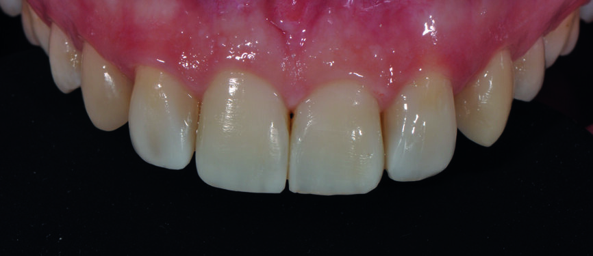
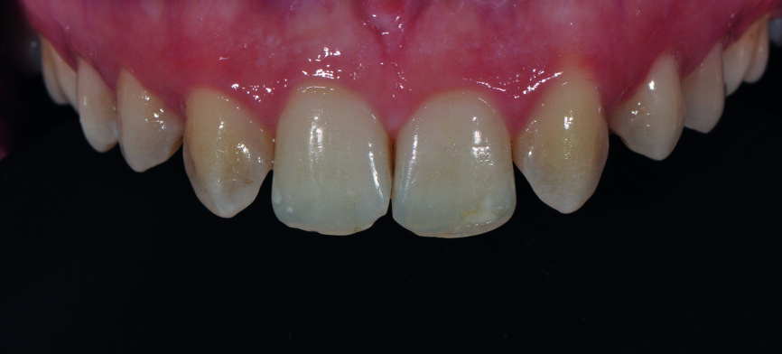
Fig. 1a : Sourire après la fermeture orthodontique.
Fig. 1b : Gros plan du sourire après la fermeture orthodontique. Il faut noter l’aspect jaunâtre des canines, les grandes embrasures des incisives et la ligne gingivale égalisée.
Fig. 2 : Conception numérique du sourire (DSD) des deux formes dentaires souhaitées.
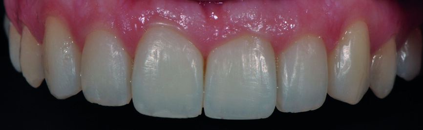
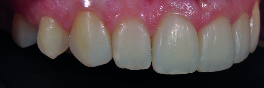
Fig. 3a : Le sourire après redéfinition de la forme des canines en incisives latérales avec le composite Essentia (GC).
Fig. 3b : Gros plan du sourire après redéfinition de la forme. Il a été possible d’obtenir un résultat très plaisant avec les restaurations composites en technique directe
Fig. 4 : a) Gros plan du sourire avant le traitement.
Fig 4b) : vue intraorale latérale.
Fig 4c) : vue intraorale de face.
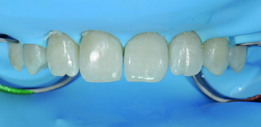
Fig. 5 : a) Après la mise en place de la digue en caoutchouc.
Fig 5b) : Les surfaces dentaires ont été légèrement sablées pour obtenir une performance adhésive optimale.
Fig 5 c) : La sélection des matrices et une mise en place adéquate sont importantes pour créer un profil d’émergence naturel.
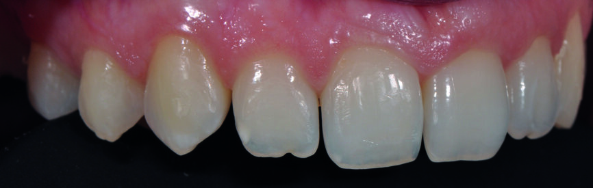
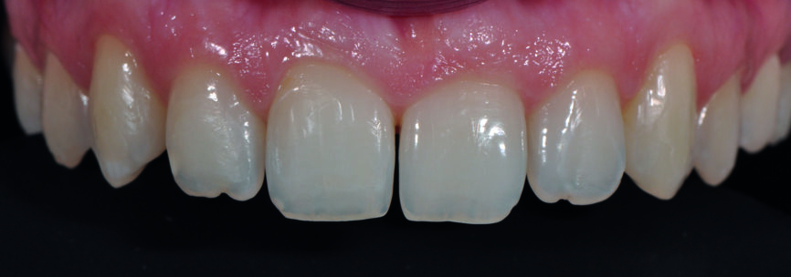
Fig. 6 : a) Gros plan du sourire après la fermeture du diastème avec le composite Essentia (GC).
Fig 6 b) : vue intraorale latérale.
Fig 6 c) : vue intraorale de face. La teinte du composite est bien intégrée, quelle que soit la direction d’où l’on regarde, indépendamment de la lumière incidente
Une planification préopératoire faisant appel à la conception numérique du sourire (DSD – Digital Smile Design), ou un procédé similaire, est utile pour déterminer comment répartir au mieux les masses supplémentaires de composite. Si elles sont bien placées, le résultat peut être superbe.
Certains points doivent cependant être pris en considération :
1) Les canines sont souvent plus larges que les incisives latérales dont elles doivent prendre la place. Dans certains cas, une réduction des faces mésiale et distale de la canine peut être nécessaire pour obtenir un ratio correct.
2) Il peut également être nécessaire d’aplanir le bombé vestibulaire de la canine. Les trois plans faciaux de l’incisive supérieure peuvent mieux être évalués par un examen visuel de côté, depuis la face latérale de la dent. Il faut veiller à ne pas surcontourer le tiers incisif.
3) Les canines sont généralement plus sombres que les incisives latérales. Si la différence est trop importante pour être dissimulée au moyen d’un composite, l’éclaircissement d’une dent encore pulpée peut-être nécessaire pour obtenir une teinte optimale.
4) Les couronnes des canines sont plus longues que celles des prémolaires ; les contours marginaux gingivaux peuvent être corrigés par une gingivectomie vestibulaire ou un allongement clinique de la couronne.
5) Les contacts de guidage doivent être adaptés à l’occlusion pour éviter une usure excessive. Toutefois, lors du meulage de la cuspide de la première prémolaire en vue d’ajuster l’occlusion, il ne faut pas oublier que la largeur de la corne pulpaire palatine peut être importante chez les enfants.
Fermeture d’un diastème
Les diastèmes entre les dents antérieures supérieures sont souvent perçus comme un problème esthétique. La difficulté majeure est liée à l’obtention des proportions dentaires adéquates, particulièrement celles des incisives centrales. Un contourage gingival approprié et le bon choix de la teinte sont d’autres facteurs qui méritent la plus grande attention
Voici quelques conseils et astuces à utiliser lors de la fermeture de diastème
1) L’utilisation d’une clé en silicone est recommandée pour assurer des proportions dentaires correctes, surtout lorsque le diastème est large ou si plusieurs diastèmes doivent être fermés.
2) Si aucune clé en silicone n’est utilisée, les dents sont restaurées une à une, en commençant par les incisives centrales qui demandent la modification la plus importante. Une approche élément par élément simplifie la correction du profil d’émergence et des ajustements de la ligne médiane.
3) Une attention particulière doit être accordée à la mise en place des matrices et du coin afin d’obtenir un profil d’émergence naturel et d’éviter des rebords au niveau de la zone de contact, qui pourraient alors devenir une zone propice à l’accumulation de plaque et de résidus alimentaires. Le choix d’un système de matrice optimal pour créer la convexité parfaite et un lissage avec des pinceaux peuvent être utiles pour parvenir à une transition harmonieuse.
4) Une rétraction des papilles au moyen d’une digue en caoutchouc évite la formation de triangles sombres. La zone de l’embrasure proximale doit être suffisamment exposée, notamment par un recours à des ligatures.
5) Des composites qui ne s’affaissent pas ou ne collent pas (p. ex. Essentia de GC) devraient être utilisés pour cette technique.
Plus les modifications sont importantes, plus la planification préopératoire est cruciale pour obtenir un résultat esthétique optimal. Il est vraiment essentiel de bien discuter préalablement du traitement avec le patient afin de connaître précisément son souhait et ce qu’il attend. Le clinicien peut ainsi proposer un plan de traitement personnalisé.
Note de la rédaction : Texte autorisé à la reproduction grâce à l’amabilité GC, issus de GC get connected, #16, 2020. Références : – Kabbach et al., Journal of Esthetic and Restorative Dentistry, 2018. – Korkut et al., Case Reports in Dentistry, 2016. Article publiè dans le jounal Dental Tribune France mars 2021, VOL 13 N°3.
Mots-clés:
PARIS, France : Une récente étude du laboratoire de Bio ingénierie et Biomécanique Ostéoarticulaires du CNRS à ...
STOCKHOLM, Suède : Bien que les alliages cobalt-chrome soient utilisés par des techniciens dentaires lors de la production de prothèses...
Après un interrogatoire précis il est important de préparer le terrain pour permettre d’optimiser la cicatrisation, la reconstruction des tissus, la ...
PARIS, France : Dès le 27 janvier 2020, le Conseil national de l’ordre des chirurgiens-dentistes s’est préoccupé de la situation sanitaire des ...
Un beau sourire tend à être associé à la santé, à la confiance en soi, et au bonheur ; pour cette raison, il ...
POZNAŃ, Pologne : Chaque année, le congrès de la FDI offre l’opportunité de découvrir les innovations scientifiques et cliniques de l’odontologie ...
BERLIN, Allemagne : Pour la première fois, des chercheurs de L'hôpital universitaire de la Charité de Berlin ont montré que l'amibe Entamoeba ...
PARIS, France : L'Union nationale des étudiants en chirurgie dentaire (UNECD) en partenariat avec l'Aide odontologique internationale (AOI) ...
Réunir parlementaires, autorités sanitaires, praticiens, industriels et associations de patients au Palais du Luxembourg n’est jamais anodin. En ...
En mai 2020, suite à la crise sanitaire liée au COVID-19, le gouvernement a lancé le « Ségur de la Santé », grande concertation nationale sur la ...
Webinaire en direct
jeu. le 14 mai 2026
à 18h00 (CET) Paris
Webinaire en direct
jeu. le 14 mai 2026
à 20h00 (CET) Paris
Prof. Hani Ounsi DDS PhD FICD
Webinaire en direct
mar. le 19 mai 2026
à 17h00 (CET) Paris
Webinaire en direct
mar. le 19 mai 2026
à 19h00 (CET) Paris
Prof. Dr. med. dent. Ivo Krejci
Webinaire en direct
mer. le 20 mai 2026
à 13h00 (CET) Paris
Dr. Graham Carmichael BDSc (Hons), DClinDent (Pros), FRACDS, Dr. Robert Gottlander DDS
Webinaire en direct
mer. le 20 mai 2026
à 15h00 (CET) Paris
Webinaire en direct
mer. le 20 mai 2026
à 19h00 (CET) Paris
Prof. Dr. med. dent. Tim Joda PhD, MSc, eMBA
To post a reply please login or register