Les aspects esthétiques sont à l’évidence une question très importante lors du traitement de zones fortement exposées, autrement dit, de restauration des dents antérieures. Les patients attendent de plus en plus une image parfaite et ceci s’aligne avec la demande croissante d’une meilleure esthétique. Dans bien des cas, les techniques dentaires directes permettent difficilement de combler ce souhait. L’objectif prioritaire a plutôt toujours été de parvenir à des restaurations qui passaient inaperçues à la distance normale où des interlocuteurs conversent.
Généralement, les chirurgiens-dentistes ont recours à la technique manuelle établie pour corriger la teinte et la forme d'une dent, ou ils optent pour des facettes classiques en céramique. COLTENE, le spécialiste suisse de produits dentaires, a conçu un système innovant, qui offre une toute autre solution aux chirurgiens-dentistes. Le système de facettes composites en technique directe COMPONEER® perfectionne et simplifie tout à la fois, la technique manuelle chronophage des restaurations majeures des dents antérieures (Fig. 1). Les facettes préformées en composite émail, préfabriquées et polymérisées, peuvent améliorer la qualité finale et leur forme anatomique de base permet aux praticiens d’effectuer leurs préparations, avec un taux d’efficacité jusqu'à 40 pour cent plus élevé. Les facettes préformées personnalisables ne renfermant aucune inclusion d'air, l’adaptation marginale en est nettement améliorée. Le matériau homogène d'une épaisseur de seulement 0,3 mm se lie totalement au composite utilisé pour le scellement.
Les différents systèmes
Dans l’ensemble, trois systèmes de base sont utilisés pour la restauration des dents antérieures :
· Les composites en technique directe, manuelle.
· La céramique en technique directe par CFAO (CEREC).
· Les facettes fabriquées en laboratoire.
Des restaurations de grande taille réalisées manuellement requièrent du temps, de l’habileté et un façonnage. La technique directe est cependant moins invasive et financièrement plus avantageuse, ce qui la rend intéressante pour bien des gens. Malgré tout, les techniques indirectes sont souvent utilisées pour les restaurations car la probabilité de réussite est plus élevée. Les problèmes majeurs posés par la technique directe classique sont les difficultés du façonnage des limites marginales, la maîtrise de la couche d'émail superficielle et le modelage de la forme anatomique. En raison de la nature des matériaux, les microporosités sont fréquentes et elles sont souvent à l’origine d’une dyschromie et de problèmes d'apparence précoces. Le système de facettes en technique directe COMPONEER, avec sa palette de matériaux améliorés et d’instruments spécialement conçus, accompagnés de directives d’utilisation détaillées, élargit la gamme des indications réalisables en technique directe. COMPONEER établit en outre de nouvelles normes en termes d’économie et de qualité.
Les principes fondamentaux de la technique manuelle n’ont pas changé mais celle-ci a été simplifiée et perfectionnée. L’exemple suivant reprend quelques-unes des étapes les plus importantes.
embedImagecenter("Imagecenter_1_2276",2276, "large");
Application
Après avoir défini le but du traitement selon le diagnostic et les lésions, les dents qui nécessitaient une restauration ont été déterminées. Chez ce cas, il était nécessaire de traiter les caries de six dents maxillaires (canine à canine). De plus, la forme, la teinte ainsi que les inclinaisons axiales devaient être corrigées (Fig. 2). Les facettes préformées en émail sont disponibles en plusieurs tailles et deux teintes translucides : une teinte neutre « universelle » et une teinte claire « blanc opalescent » qui est mieux adaptée à une bouche juvénile. La mise en place du composite dentine approprié à l’arrière des facettes préformées, permet de créer n’importe quelle combinaison de teintes, pour obtenir la nuance souhaitée.
La forme des dents est choisie à l’aide d’un gabarit COMPONEER Contour Guide (Fig. 3). Le gabarit de forme appropriée est positionné sur la dent à restaurer et grâce à sa couleur bleue transparente, il contraste parfaitement avec la dent concernée. Les facettes préformées en émail peuvent être testées quant à leur ajustement sur les dents. Elles peuvent également être scellées provisoirement au moyen d’un composite non polymérisé, afin de déterminer les zones qui doivent être retouchées pour personnaliser la facette, et dans quelle mesure elles doivent l’être. Les corrections qui nécessitent un meulage peuvent également être marquées à ce stade du traitement. Un disque abrasif à basse vitesse, sans refroidissement par eau, est le meilleur instrument pour rectifier la forme de la facette. Généralement, il est préférable d’utiliser une préforme plus large qui recouvre les limites marginales, afin de disposer d’une surface aussi grande que possible pour la personnalisation de la forme.
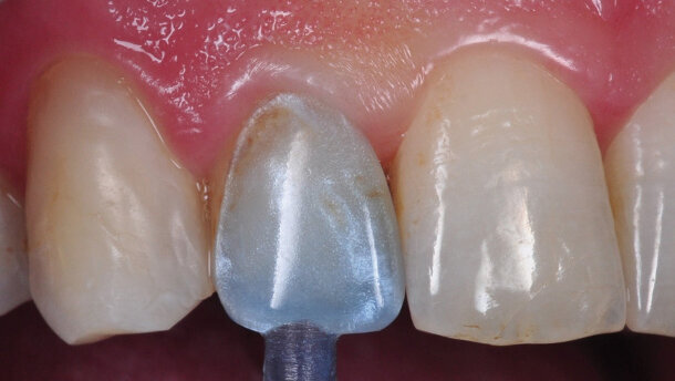
La pince spécialement conçue pour le système COMPONEER est idéale pour manipuler la facette préformée (Fig. 4). L’étiquette de l'emballage externe peut être retirée et classée dans le dossier du patient aux fins de documentation. Un travail au sec est essentiel pour obtenir les meilleurs résultats. Les règles classiques ne s'appliquent pas à la préparation. La facette ayant une épaisseur minimale de 0,3 mm, sa surface ne requiert qu’une très faible réduction (Fig. 5). Dans certains cas, l’émail est simplement poncé et il n’y a aucune préparation bien définie. Le gel de mordançage ETCHANT GEL S est appliqué sur toutes les surfaces de l'émail et de la dentine dans le cadre de la procédure adhésive, et réparti uniformément au moyen de la brossette. La polymérisation dure entre 30 et 60 secondes sur l’émail et 15 secondes sur la dentine. Ensuite, la surface est pulvérisée pendant 20 secondes. En principe, la technique de mordançage simultané de l'émail et de la dentine va de pair avec l’utilisation de l’adhésif monocomposant photopolymérisable et monocouche ONE COAT BOND, qui est aisément appliqué et offre un meilleur mouillage avec un composite nanohybride. L’adhésif ONE COAT BOND est réparti uniformément sur la surface amélo-dentinaire et laissé à durcir pendant au moins 20 secondes. Ensuite, des matrices transparentes sont mises en place dans les espaces interdentaires, afin de prévenir l’adhérence aux dents.
Les surfaces collées sont prépolymérisées pendant 10 secondes. La surface microrétentive unique de COMPONEER (2 μm [Fig. 6]) élimine le besoin de tout traitement supplémentaire, tel qu’un sablage et une silanisation, et réduit donc le conditionnement de la face interne de la facette préformée. ONE COAT BOND est appliqué directement au moyen de la brossette et ne requiert aucune photo-polymérisation. Il se combine avec le composite de scellement et s’y lie totalement, pour produire une seule couche homogène de composite sur la dent, ce qui augmente la résistance de la restauration définitive et réduit la tendance à une dyschromie. Pour parvenir à un résultat esthétique satisfaisant, il est recommandé d’utiliser le composite SYNERGY D6, qui s’accorde parfaitement avec la teinte de COMPONEER. D’autres systèmes peuvent également être utilisés, dans quel cas un test préalable de la teinte résultante est hautement conseillé.
S’il est nécessaire d'éliminer préalablement des matériaux d'obturation, la facette COMPONEER peut être appliquée avec une masse dentine correspondante, dont l’application est réalisée à partir de la face palatine, après la photopolymérisation initiale. Ce traitement peut également être réalisé pour l’allongement de dents ou la fermeture de diastèmes. Il est aussi possible d’obturer préalablement les cavités avec la masse dentine, afin de constituer une base homogène. Une masse émail peut servir à corriger la forme ou la teinte. Une trop grande quantité d'émail donnera un aspect gris et trop transparent à la restauration. Le composite est appliqué sur la face interne de la facette composite préformée au moyen d’un instrument approprié, par exemple la spatule MB5 incluse dans le kit (Fig. 7). Le composite est également appliqué sur la dent pour prévenir les inclusions d’air. Ensuite, la facette COMPONEER est délicatement mise en place dans sa position définitive, tout en exerçant une pression légère et constante au moyen de l’auxiliaire de positionnement (Fig. 8).
Cet instrument a été tout spécialement développé pour le positionnement des facettes. Sa pointe est constituée d’un bouchon de silicone qui assure une répartition idéale de la pression. Pour les restaurations complètes des dents antérieures, je recommande de commencer par les deux incisives centrales. La facette préformée étant maintenue bien en place, es résidus importants sont éliminés et le composite est façonné, afin qu’il coïncide avec les limites marginales. La photopolymérisation n’est réalisée qu’après une vérification de la position adéquate de la facette. Ensuite les résidus visibles sont éliminés ou un contourage préliminaire est réalisé. Des bandes de finition et de polissage peuvent être utilisées pour les zones proximales. Des disques souples sont les meilleurs instruments de modelage des angles interincisifs. Grâce à la structure anatomique régulière de la facette, il est possible de caractériser sa surface ou d’adapter la forme au visage, au plan bipupillaire ou à la ligne des lèvres (Figs. 9 et 10). Des microbrossettes utilisées sans eau sont idéales pour le polissage final et l’obtention d’un brillant exceptionnel (Fig. 11). L’homogénéité parfaite des facettes composites préformées permet de procéder à la dernière touche de finition, sans aucun risque de porosités superficielles indésirables (Figs. 12 et 13).
Le résultat final se traduit par une surface composite brillante,dotée de propriétés excellentes,qui garantiront la pérennité de l'esthétique. Les facettes COMPONEER, fabriquées à partir d'un composite de haute qualité, peuvent être assimilées à des auxiliaires de façonnage. Elles sont principalement utilisées pour restaurer et embellir le secteur antérieur de la denture en toute simplicité, et avec la garantie d’un résultat de qualité. En même temps, elles augmentent l'efficacité du travail et réduisent la durée du traitement dans une proportion pouvant atteindre 40 pour cent. Somme toute, un avantage certain pour le chirurgien-dentiste et bien plus de confort pour le patient.
Conclusion
La technique innovante des facettes composites optimise et simplifie la dentisterie restauratrice. Elle ouvre les portes à de nouvelles solutions fonctionnelles, économiques et esthétiques, dont bénéficient à la fois les chirurgiens-dentistes et les patients. Les facettes COMPONEER représentent bien plus que de simples préformes, elles constituent un système complet de traitement qui élargit la plage des indications, de la fermeture de diastèmes, l’allongement d’incisives à la correction de dyschromies et la restauration rapide de dents individuelles._
Note de la rédaction: Cet article est paru dans le magazine DT Study Club, Vol. 4, Numéro 1/2016.
La traumatologie dentaire est une branche multidisciplinaire de l’odontologie qui requiert certaines compétences bien particulières. En ...
Les perforations sont une complication à laquelle doit faire face quotidiennement un cabinet d’endodontie. Les ciments hydrauliques à base de silice ...
L’identification et la négociation des canaux avant l’instrumentation de la dent et son obturation est une condition essentielle de ...
L'hypoplasie de l'émail (HE) est une anomalie de l'émail dentaire qui résulte en une quantité d'émail moindre que la ...
TEUFEN, Suisse : Le fabricant dentaire suisse Megasmile a développé une brosse à dents blanchissante avec des particules de charbon ...
GUANGZHOU, Chine : Une équipe de chercheurs chinois a réussi à concevoir des structures ressemblant à des dents, à partir...
_Le volume osseux restreint souvent rencontré dans ces zones antérieures, ne permet pas toujours la pose d’implants de diamètre ...
Il est difficile de maintenir de bonnes habitudes de brossage. Pour cela, la brosse à dents ExpertClean vous guide entre deux visites chez le dentiste. ...
NEW YORK, États-Unis: Une start-up basée à New York, Quip , a récemment reçu un financement de 10 millions de dollars. Quip est une société de ...
Les flux de travail numériques sont constamment améliorés grâce à des innovations dans les techniques, les logiciels et les matériaux, et ...
Webinaire en direct
jeu. le 14 mai 2026
à 18h00 (CET) Paris
Webinaire en direct
jeu. le 14 mai 2026
à 20h00 (CET) Paris
Prof. Hani Ounsi DDS PhD FICD
Webinaire en direct
mar. le 19 mai 2026
à 17h00 (CET) Paris
Webinaire en direct
mar. le 19 mai 2026
à 19h00 (CET) Paris
Prof. Dr. med. dent. Ivo Krejci
Webinaire en direct
mer. le 20 mai 2026
à 13h00 (CET) Paris
Dr. Graham Carmichael BDSc (Hons), DClinDent (Pros), FRACDS, Dr. Robert Gottlander DDS
Webinaire en direct
mer. le 20 mai 2026
à 15h00 (CET) Paris
Webinaire en direct
mer. le 20 mai 2026
à 19h00 (CET) Paris
Prof. Dr. med. dent. Tim Joda PhD, MSc, eMBA
To post a reply please login or register