La traumatologie dentaire est une branche multidisciplinaire de l’odontologie qui requiert certaines compétences bien particulières. En cas d’urgence, les décisions doivent être prises dans un délai très bref, avec le risque de conséquences qui ne pourront être évaluées qu’à une date ultérieure.1 Les techniques de collage de fragments dentaires peuvent être adaptées à des cas de fracture coronaire simple (émail et dentine superficielle) mais aussi complexe (dentine profonde avec exposition pulpaire).2
Dans les cas d’une simple fracture, un fragment peut être recollé immédiatement, alors qu’une fracture coronaire complexe requiert avant tout la protection de la pulpe et pas nécessairement celle du fragment. Celui-ci doit alors être conservé dans des conditions d’hydratation et de réfrigération, dans un récipient indiquant le nom et le prénom du patient, ainsi que la date du traumatisme. La solution hydratante doit être changée à des intervalles réguliers et l’étanchéité du contenant vérifiée, vu que dans certains cas, les fragments peuvent être conservés plusieurs mois avant d’être recollés.3
La voie de la dentisterie adhésive a été tracée en 1955 par Buonocore, lorsqu’il a proposé l’utilisation d’acide orthophosphorique et de résine composite, pour obtenir des restaurations présentant une force de liaison élevée et très peu de micropercolation (défaut d’étanchéité).4, 5 En 1990, Hibst et Keller ont introduit la technologie laser en dentisterie conservatrice. Ils ont décrit l’utilisation d’un laser au grenat d’yttrium-aluminium dopé à l’Erbium (Er:YAG) en remplacement des instruments conventionnels, tels que les turbines et les micromoteurs.6, 7 L’intérêt général de cette nouvelle technologie est lié à ses nombreux avantages, démontrés par plusieurs études scientifiques.
Grâce à l’affinité de sa longueur d’onde pour l’eau et l’hydroxyapatite, le laser Er:YAG permet l’ablation efficace des tissus dentaires durs, tout en écartant le risque de fractures microscopiques et macroscopiques que l’on constate lors de l’utilisation des instruments rotatifs conventionnels.8, 10 La surface dentinaire traitée par laser apparaît propre, sans boue et présente des canalicules ou- verts et nets.11
L’élévation thermique, qui se produit dans la pulpe durant l’irradiation par le laser Er:YAG, est inférieure à celle que l’on observe avec une turbine et un micromoteur, dans les mêmes conditions de pulvérisation air/eau.12, 13 Cette longueur d’onde a également un effet antibactérien sur les tissus traités et détruit tout à la fois les bactéries aérobies et anaérobies.14 Les aspects les plus intéressants de cette nouvelle technologie sont liés aux objectifs de la dentisterie conservatrice moderne, qui vise à offrir aux patients des traitements mini-invasifs et de meilleures techniques adhésives.
Les lasers Er:YAG permettent de projeter un faisceau lumineux dont le diamètre est inférieur à
1 mm, et donnent ainsi la possibilité de procéder à une ablation sélective de la dentine atteinte tout en préservant le tissu sain, afin de réaliser des restaurations extrêmement limitées.15
Plusieurs études in vitro ont démontré que la préparation de l’émail et de la dentine par le laser Er:YAG, suivie d’un mordançage à l’acide orthophosphorique, améliore l’efficacité en termes de réduction des micropercolations et de renforcement des forces de liaison.16 Plusieurs auteurs ont également proposé l’utilisation du laser pour la restauration des dents antérieures, fracturées à la suite d’événements traumatiques.17
Dans certains cas de traumatisme des dents antérieures, il est nécessaire de procéder à un re- modelage du contour gingival, car l’événement traumatique a également lésé le tissu mou ; dans d’autres cas, une exposition de la pulpe nécessite de recourir à une technique de coiffage pulpaire. L’utilité du traitement laser a été prouvée dans l’une et l’autre de ces situations cliniques.18–20
En ce qui nous concerne, nous préférons utiliser le système de laser Er:YAG – VSP (Variable Square Pulse) pour les traitements des tissus mous et pulpaires, sans pulvérisation air/eau et avec une longue durée d’impulsion, permettant de transformer toute l’énergie fournie en chaleur, bien qu’il soit possible d’utiliser la longueur d’onde complémentaire du laser Nd:YAG (1 064 nm) dont ce système est également équipé.
Cette étude clinique visait à démontrer l’utilité du laser Er:YAG dans le traitement de fractures
dentaires survenues chez plusieurs patients, ainsi que les avantages d’un dispositif basé sur le principe de la technologie VSP21, associée à une longueur d’onde supplémentaire (Nd:YAG).
embedImagecenter("Imagecenter_1_907",907, "large");
Cas cliniques
Cas 1
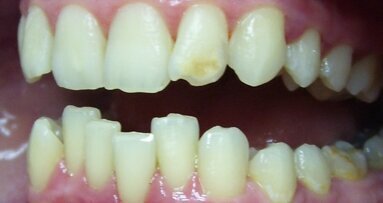
Un patient âgé de dix ans s’est présenté à l’un de nos centres dentaires, à la suite d’un accident survenu au cours d’une partie de football. L’examen clinique a révélé la présence d’une fracture coronaire de l’incisive centrale droite permanente (Fig. 1). Sur les conseils de son entraîneur, le patient avait conservé le fragment de la dent fracturée dans un berlingot de lait. Après la réalisation d’un test de vitalité, il a été décidé de recoller le fragment sur la dent à l’aide d’une technique assistée par laser Er:YAG.
Le laser Fidelis Plus III (Fotona) Slovénie, constitué d’une pièce à main sans embout, mode SSP (Super Short Pulse), 200 mJ, 10 Hz, a été utilisé pour traiter le fragment ainsi que la dent (Fig. 2). Par la suite, tous deux ont été mordancés à l’acide orthophosphorique, puis un adhésif a été appliqué et le fragment a été repositionné avec une résine composite fluide (Fig. 3).
Les séquences du traitement ont toutes été ré- pétées dans la zone marginale, afin d’améliorer le résultat esthétique (Fig. 4). L’ensemble de la procédure n’a nécessité aucune anesthésie et la coopération du patient a été pratiquement parfaite ; il a confirmé n’avoir ressenti aucune douleur ou même désagrément. La dent a été contrôlée mensuellement pendant six mois et les tests de vitalité se sont révélés positifs (Fig. 5).
Cas 2
Une patiente âgée de quatorze ans s’est présentée à l’un de nos centres dentaires avec une fracture coronaire de l’incisive centrale droite permanente (Fig. 6). La fracture était d’origine traumatique et la patiente avait conservé le fragment dentaire cassé dans sa bouche. Pour alléger l’épreuve endurée par cette jeune patiente, déjà suffisamment traumatisée, nous avons décidé d’utiliser les lasers Er:YAG et Nd:YAG (Fidelis Plus III, Fotona, Slovénie), disponibles dans notre centre, pour réaliser le traitement. Le traumatisme avait exposé la pulpe (Fig. 7) et nous avons d’abord décidé de procéder à un coiffage pulpaire à l’aide du laser Nd:YAG (mode SP [Short Pulse], 4 W, 40 Hz, fibre de 300 μm, traitement avec contact, Fig. 8).
Le même appareil, mais réglé sur une longueur d’onde différente (Er:YAG), a servi pour préparer les surfaces de liaison du fragment et de la dent (mode SSP [Super Short Pulse], 200 mJ, 10 Hz, pièce à main sans embout, Fig. 9). Ces mêmes surfaces ont fait l’objet d’une autre préparation à l’acide orthophosphorique, un adhésif y a été appliqué, puis une résine composite fluide a été utilisée pour remettre le fragment en place (Fig. 10).
Le laser Er:YAG a joué un rôle déterminant dans ce cas particulier ; il nous a en effet permis de réaliser le traitement sans causer davantage de douleur à la patiente, et de réduire au maximum la pénibilité de l’épreuve subie par la patiente et ses parents. De plus, le laser Er:YAG produit lui-même un effet de décontamination et accroît la force de liaison.
Dans un souci esthétique, nous avons préparé la zone marginale avec le laser Er:YAG, avant d’utiliser une fois de plus de l’acide orthophosphorique et finalement une résine composite fluide. Nous avons estimé qu’une anesthésie n’était pas nécessaire, et même la patiente n’en a réclamé aucune. La dent a été contrôlée mensuellement pendant six mois et les tests de vitalité se sont révélés positifs.
Cas 3
Un patient âgé de huit ans s’est présenté à notre centre dentaire, avec une fracture longitudinale située dans la partie distale de son incisive centrale droite permanente (Fig. 11). Il avait conservé le fragment dans une solution de sérum physiologique. Après un contrôle de la vitalité et de l’ajustement du fragment sur la dent, le rebord gingival a été re- modelé au moyen d’un laser Nd:YAG (Fidelis Plus III, Fotona, Slovénie ; mode SP [Short Pulse], 4 W, 40 Hz, fibre de 300 μm, traitement avec contact, Fig. 12), afin d’exposer toutes les limites marginales de la restauration. Vu qu’il n’était pas possible d’utiliser une digue de caoutchouc, il a été décidé d’utiliser le même appareil, mais réglé sur l’autre longueur d’onde (Er:YAG) pour préparer les surfaces du fragment et de la dent (mode SSP [Super Short Pulse], 200 mJ, 10 Hz, pièce à main sans embout).
Après un mordançage total des surfaces irradiées par laser, l’adhésif a été appliqué et le fragment repositionné avec une couche de composite fluide. Une lampe LED a été utilisée pour polymériser la résine, et des disques abrasifs montés sur un micro- moteur ont servi à polir la restauration (Fig. 13).
Nous n’avons utilisé aucun anesthésique durant l’intervention, et le patient a confirmé l’absence de douleur et même de tout désagrément. La dent a été contrôlée mensuellement pendant six mois et les tests de vitalité se sont révélés positifs.
Cas 4
Un patient âgé de dix-huit ans s’est présenté à l’un de nos centres dentaires après avoir subi un traumatisme facial. L’examen clinique a indiqué une lésion de l’incisive latérale supérieure droite permanente. Toute la partie coronaire de la dent, bien qu’encore en place, était fracturée verticalement et dans le plan frontal. Le tissu pulpaire était en outre exposé. Il a été décidé d’utiliser le laser Er:YAG (Fidelis Plus III, Fotona, Slovénie) selon deux modalités : d’abord sans pulvérisation air/eau (mode VLP [Very Long Pulse], 120 mJ, 15 Hz) pour remodeler le rebord gingival sans provoquer de saignement (Fig. 14) et pour un coiffage pulpaire, ensuite avec pulvérisation air/eau (mode SSP [Super Short Pulse], 200 mJ, 10 Hz, pièce à main sans embout), pour préparer les tissus dentaires durs afin d’obtenir une force de liaison plus importante (Fig. 15).
Après la préparation laser, un mordançage total a été réalisé avec de l’acide orthophosphorique et le fragment a été recollé avec un adhésif et une résine composite fluide (Fig. 16). L’intervention a été réalisée sans anesthésique, et la coopération du patient a été très satisfaisante dans la mesure où il n’a ressenti aucune douleur ou désagrément. La dent a été contrôlée mensuellement pendant six mois et les tests de vitalité se sont révélés positifs.
Conclusion
Les lasers Er:YAG représentent une solution de remplacement des instruments conventionnels pour la dentisterie conservatrice, et associés à l’acide orthophosphorique, ils offrent de nombreux avantages, tels qu’une meilleure force de liaison22 et une réduction de la micropercolation.23 Les patients éprouvent en outre moins de désagréments et leur coopération/satisfaction en est accrue.24 La possibilité de disposer d’un dispositif de laser Er:YAG générant différentes durées d’impulsion, combiné à un laser Nd:YAG, facilite et accélère les interventions.
Cette étude clinique, même considérée comme préliminaire en raison du nombre limité de cas, atteste que les lasers Er:YAG peuvent également être utilisés en traumatologie dentaire, pour restaurer des dents antérieures après une fracture coronaire, tout en offrant les avantages d’une meilleure coopération des patients (en particulier des jeunes patients), d’un soulagement de la douleur et de la sensibilité, et d’une réduction des désagréments pendant la restauration. Les résultats finaux sont en outre meilleurs sur le plan esthétique.
Note de la rédaction : une liste complète des références est disponible auprès de l'éditeur. Cet article est paru dans DT Study Club, Vol. 1, No. 2, septembre 2013.
Nous allons aborder la place de la phytothérapie dans le traitement des lésions buccales, dont notamment les aphtes, les mycoses buccales, l’herpès. Le...
AIX-LA-CHAPELLE, Allemagne : Des chercheurs ont développé un appareil permettant de polir automatiquement les implants de manière plus ...
PONTA GROSSA, Brésil : Selon l'Association Dentaire Américaine, deux tiers des patients peuvent constater une hypersensibilité ...
C’est en 1990 que Hibst et Keller ont pour la première fois suggéré l’utilisation du laser Er:YAG pour l’ablation des...
HALLE, Allemagne : Les bains de bouche antiseptiques contenant de la chlorhexidine provoquent souvent une décoloration des dents après avoir mangé ou bu ...
NEW YORK, États-unis : De nouvelles recherches ont mis en évidence qu’un type d’apnée obstructive du sommeil (OSA) défini par certaines ...
Les aspects esthétiques sont à l’évidence une question très importante lors du traitement de zones fortement ...
COPENHAGUE, Danemark : Des recherches récentes menées par l'Université de Copenhague et l'hôpital de Næstved au Danemark ont démontré que la ...
_Il est devenu impossible aujourd’hui de traiter nos patients sans avoir recours aux nouvelles technologies. La photo et la radiographie ...
BARI, Italie: Un nombre croissant de produits apparaissent sur le marché, visant à remplacer les dentifrices et les bains de bouche contenant des ...
Webinaire en direct
jeu. le 14 mai 2026
à 18h00 (CET) Paris
Webinaire en direct
jeu. le 14 mai 2026
à 20h00 (CET) Paris
Prof. Hani Ounsi DDS PhD FICD
Webinaire en direct
mar. le 19 mai 2026
à 17h00 (CET) Paris
Webinaire en direct
mar. le 19 mai 2026
à 19h00 (CET) Paris
Prof. Dr. med. dent. Ivo Krejci
Webinaire en direct
mer. le 20 mai 2026
à 13h00 (CET) Paris
Dr. Graham Carmichael BDSc (Hons), DClinDent (Pros), FRACDS, Dr. Robert Gottlander DDS
Webinaire en direct
mer. le 20 mai 2026
à 15h00 (CET) Paris
Webinaire en direct
mer. le 20 mai 2026
à 19h00 (CET) Paris
Prof. Dr. med. dent. Tim Joda PhD, MSc, eMBA
To post a reply please login or register