_Bon nombre de praticien n’ont pas encore pris la décision de s’équiper en CFAO, parfois désorientés par la multiplicité des systèmes de caméra d’empreinte optique proposés, par leur coût, leur évolution continue, et pour certaines, mêmes si les progrès ont été conséquents ces dernières années, par leur manque de recul quant à leur utilisation et la difficulté de maniement dans des situations cliniques complexes. Pourtant, pour réaliser sa « couronne en une heure », ou envoyer une empreinte numérique à son prothésiste, il n’est plus forcément nécessaire de s’équiper d’une caméra de numérisation intrabuccale. Certains fabricants de systèmes de CFAO dentaire, initialement réservés au laboratoire, ont fait évoluer leurs scanners vers la numérisation des empreintes en silicone, ce qui rend désormais leur utilisation possible en cabinet. Outre le fait de ne rien changer à ses habitudes de travail au fauteuil, le praticien, même novice en CFAO dentaire, va pouvoir, sans couler de modèle en plâtre, produire des restaurations unitaires et des bridges jusqu’à 4 éléments, ou adresser ses empreintes en quelques minutes à son prothésiste, équipé d’un système de modélisation et d’usinage ouvert. L’Opera® System d’Euromax est une chaîne numérique complète comportant :
_Un scanner d’empreinte silicone qui permet d’obtenir un fichier STL ouvert, à partir d’un scan d’un mordu sectoriel ou de deux empreintes d’arcades complètes.
_Un logiciel permettant en quelques minutes d’obtenir un dessin 3D d’une couronne en suivant un « wizard », c’est à dire une série d’étapes à valider successivement à l’écran.
_Une usineuse permettant de fraiser tous les blocs du commerce. Ainsi, pour la réalisation d’éléments monolithiques et jusqu’à 4 éléments en LavaTM Ultimate, zircone ou disilicate de lithium, la réalisation d’un modèle n’est pas nécessaire. Pour la réalisation d’une prothèse stratifiée et/ou plurale, le travail sera plutôt délégué au laboratoire. Il procédera à la réalisation d’un modèle physique à partir d’un modèle virtuel, pendant la conception de l’armature.
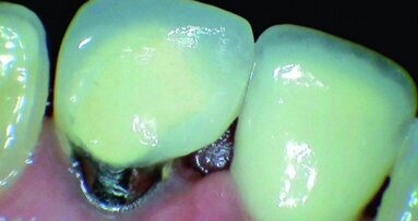
Prenons l’exemple de la réalisation étape par étape de deux couronnes secteurs II sur dents dévitalisées : la 25 reconstituée par une reconstitution corono-radiculaire foulée, récemment endommagée et la 27 dévitalisée récemment, en raison d’une pulpite aigue, et reconstituée par un composite volumineux. Une fois un tenon titane positionné dans la racine palatine de la 27, ces deux dents sont taillées pour recevoir des couronnes unitaires réalisées en CFAO.
_Empreinte au silicone par auto-mélangeur et matériaux scanables
L’empreinte est réalisée avec le matériau Flexitime Fast & Scan dans un porte empreinte Bite Tray jetable. Le matériau permet un temps de travail allant de 30 secondes à 1 minute et 30 secondes, en fonction du nombre d’éléments, et un temps de prise en bouche invariablement court de seulement 2 minutes. Pour une empreinte en double mélange on l’utilise en Heavy Tray (en auto-mélangeur Dynamix Speed ) + Correct Flow (en pistolet). Il possède en outre des propriétés hydrophiles pour un meilleur enregistrement dans le sulcus, une zone humide parfois difficile d’accès en empreinte optique, en raison des fluides gingivaux. Une fois l’empreinte réalisée et sectionnée dans le sens longitudinal (afin que les bords de l’empreinte n’entravent pas le trajet des rayons), le porte-empreinte est fixé dans le scanner.
embedImagecenter("Imagecenter_1_1372",1372, "large");
_Scan d’empreinte
La « commande » est configurée en quelques dizaines de secondes avec les diverses informations administratives, ainsi que les numéros des dents, correspondant aux restaurations à réaliser. Le scanner iDigital scanne l’empreinte au silicone sans besoin de couler cette dernière, avec une précision de 15 microns et avec 2 caméras de mesures, orientées selon des angles complémentaires et selon 5 axes qui assurent le positionnement optimal de l’empreinte par rapport à la tête optique. C’est sur l’écran de l’ordinateur, grâce aux images fournies par une caméra située à l’intérieur du scanner, que l’on sélectionne les numéros des dents à réaliser, et que l’on ajuste à la souris, l’arc proposé, en le superposant aux images fournies par la caméra. Le porte-empreinte est mobilisé à la souris, de façon à rendre visibles un maximum de faces de préparations, c’est-à-dire approximativement dans l’axe des préparations pour que la ligne marginale soit facilement détectée. Le scan dure de 7 à 8 minutes environ.
_Modélisation
Une fois que l’axe d’insertion proposé par le logiciel est accepté, on procède au tracé des limites des préparations (ligne verte) et au positionnement de la ligne de friction (ligne rose). Puis, on passe à l’adaptation de l’anatomie : on donne des repères au logiciel sur les dents antagonistes, afin que la proposition qu’il fera soit la plus personnalisée possible, par rapport à l’anatomie des dents adjacentes, avec une boule de chaque couleur en fonction des points demandés par le « Wizard », avec étapes par étapes, les cuspides (boules roses), les lignes marginales (boules vertes), les fosses (boules oranges), les points de contact (boules bleues). À ce stade, on a alors fini les étapes manuelles les plus importantes, qui permettront au logiciel d’élaborer la proposition anatomique Il nous reste à choisir la librairie d’anatomie qui déterminera la forme anatomique dentaire, parmi les 5 bases de données possibles (Artegral® (Merz), DeltaForm® (Merz), Canduloform® II NFC (Candulor), VITAPAN® (VITA) et Opera System Euromax).
À ce stade la couronne peut être modifiée dans les trois dimensions de l’espace en manipulant les boules de couleurs. Outres les points précédemment cités, on peut alors modifier la ligne de plus grand contour (bombé de la dent), les lignes de finition marginales, mais aussi la position des points de contacts avec les dents adjacentes et antagonistes, et leur intensité, qui se règle en microns. L’outil morphing permet le rajout de « substance » en certains endroits, pour adapter librement l’anatomie avec plus ou moins d’intensité de superficie et de lissage.
_Usinage
Une fois l’anatomie finale des deux couronnes validée, il ne nous reste plus qu’à sélectionner :
_le type d’élément usiné (couronne, inlay, onlay, facette, bridge, etc.) ;
_le type de bloc : nanocéramique ;
_le volume correspondant : « 14 » (17,77 x 14,55 x 12,6) et de les positionner virtuellement, en définissant la longueur de la tige.
Le fichier est exporté, via le réseau local ou internet, vers l’ordinateur commandant la machine-outil à commande numérique Opéra Premium pour usinage du bloc. Le système de travail sur deux ordinateurs (un pour le scannage et la CAO et un pour l’usinage, permet de réaliser plusieurs tâches en même temps, sans nuire aux performances de la machine).
L’usineuse multifraises Opera Premium, conçue à l’origine pour des laboratoires, offre une qualité de reproduction des détails et une finition optima en fonction du matériau, par rapport à certaines usineuses de cabinet qui ne comportent qu’une ou deux fraises. Grâce à son jeu de 6 fraises intégrées, l’Opera Premium 4 axes permet l’usinage de tous types de matériaux : zircone, oxyde d’alumine, PMMA (résine calcinable et provisoire), disilicate de lithium, feldspathique, résine nanocéramique (3M ESPE Lava Ultimate), céramique hybride (VITA ENAMIC), IPS Emax... La fraiseuse est équipée de capteurs permettant de détecter tout disfonctionnement et d’optimiser son usinage (capteur de pression d’air, de refroidissement, d’usure des fraises...). L’usinage d’une couronne nanocéramique s’effectue en une vingtaine de minutes.
_Finitions et collage
Une fois les couronnes usinées, il ne reste plus qu’à couper la tige reliant la restauration prothétique de son bloc usiné, puis de procéder aux étapes de finitions qui peuvent être réalisées au fauteuil. On utilise le coffret de polissoirs pour la zircone et les nouvelles céramiques de Komet : prépolissage avec la 94018C.104.055 et brillantage avec la 94018F.104.055. Pour le maquillage, on utilise des stains de couleurs en poudre (disponibles dans le coffret Color System de Kurraray ou dans le coffret de maquillage VITA ENAMIC®) que l’on dilue dans une résine photopolymérisable (Plaqit) pour réaliser un dégradé, et parfaire la brillance. Une fois le maquillage effectué et validé, en comparant avec la situation en bouche, on polymérise la résine de glaçage.
_Intérêts du scan d’empreinte par rapport à l’empreinte optique intra-buccale. Le scan d’empreinte peut-il remplacer la méthode traditionnelle de coulée en plâtre ?
Le scan d’empreinte n’élimine en aucune manière les risques d’erreurs liées à la prise d’empreinte au silicone (effet de tirage, bulles...,qui se retrouveront scannés tels quel), bien que l’utilisation d’un auto-mélangeur et le respect des temps de travail/temps de prise, garantissent une qualité d’empreinte optimale. Pour la confection de reconstitutions prothétiques monolithiques, le scan d’empreinte remplace avantageusement le traitement conventionnel de l’empreinte, que ce soit en technique sectorielle ou arcade complète, en évitant la coulée d’un modèle et les risques d’erreurs liés au stockage, au transport de l’empreinte et à la coulée du plâtre. Lorsqu’on veut réaliser une prothèse avec armature (céramo-zircone ou céramo-métallique), il faut passer par un modèle CFAO en résine, usiné ou réalisé par stéréo-lithographie, en vue de la stratification de la couche cosmétique. Cela est tout à fait envisageable à partir du seul et unique fichier transmis au laboratoire.
_Le scan d’empreinte peut il concurrencer les systèmes d’empreinte optique ?
Les avantages d’un système de scan d’empreinte au fauteuil par rapport aux caméras d’empreinte optique sont multiples.
_La courbe d’apprentissage est réduite et ne nécessite aucun maniement de caméra, le scan est automatisé.
_Cette technique offre la possibilité d’enregistrer numériquement des limites sous gingivales, en profitant de l’effet de déflection des tissus par le matériau « light », ce que ne permet pas la lecture opto-électronique par caméra intra-orale.
_Le temps de scannage est passif, le praticien peut réaliser un autre acte ou vaquer à ses occupations.
_La qualité du fichier numérique final le rend immédiatement exploitable par n’importe quel laboratoire équipé d’un logiciel ouvert, ceci sans nécessité de « nettoyage » de l’empreinte optique. Les praticiens utilisant l’empreinte optique connaissent bien ce problème d’artefacts générés par la salive, une entrée intempestive dans la zone de scannage de la langue, de la joue, des lèvres ou d’un plancher de la bouche en position haute.
_Différents artifices sont alors proposés pour récliner les tissus lors de la prise d’empreinte et maintenir l’ouverture buccale, aspirer la salive ce qui, en plus de l’intrusion de l’embout intrabuccal de la caméra, peut générer un inconfort pour le patient et un temps de travail parfois supérieur à celui d’un simple mordu au silicone.
_Le temps global d’empreinte (chimico-manuelle + opto-électronique) avoisine la dizaine de minutes. Cependant ce temps reste quasiment invariable, quelque soit le nombre d’éléments à enregistrer ou la difficulté clinique, comme peut l’être l’empreinte optique de préparations postérieures, en cas de faible ouverture buccale.
_Outre la possibilité de réaliser des petits bridges au fauteuil, on a également la possibilité de réaliser ou faire réaliser des inlays-core parfaitement anatomiques, le matériau d’empreinte épousant parfaitement la forme de la lumière canalaire (ce qui diffère de la méthode des « Scan Post » inhérente à l’empreinte optique intrabuccale).
_Enfin, la méthode du scan d’empreinte permet d’envisager concrètement la réalisation de prothèses amovibles partielles, en envoyant le fichier à son laboratoire lorsque l’on sait quelle est l’importance de l’enregistrement en dynamique des tissus mous par différents mouvements (labiaux, linguaux, jugaux) pour définir correctement les limites de la future prothèse.
_Conclusion
L’Opera System d’Euromax permet d’intégrer le monde de la CFAO dentaire, sans la difficulté de l’empreinte optique, avec des résultats cliniques tout à fait acceptables en pratique quotidienne. Nous avons vu que de nouveaux matériaux tel que le Lava Ultimate ou l’Enamic, permettent la réalisation rapide de restaurations unitaires au fauteuil, sans utilisation de four de cuisson et avec un faible risque de fracture du matériau, celui-ci présentant une part de résine, le rendant plus élastique lors des contraintes occlusales. Moins onéreux qu’un système complet intégrant une caméra de numérisation intrabuccale, l’Opera System Euromax et son logiciel DWOS sont complètement ouverts. Ils permettent de connecter ultérieurement à la chaîne numérique n’importe quelle caméra ouverte, ce qui peut constituer une bonne solution « d’attente », pour les praticiens qui n’estime pas devoir franchir immédiatement le pas de l’empreinte optique intrabuccale._
Note de la rédaction : cet article est paru dans le magazine DT Study Club, Vol.2, numéro 3, septembre 2014.
Bien que souvent rapide, la pose d’un implant est un acte invasif, classé à haut risque infectieux. Il convient de ne jamais négliger le protocole ...
Le monde de l’odontologie évolue rapidement. Après l’obtention de mon diplôme en 1997, j’ai rejoint le cabinet ...
LEIPZIG, Allemagne: les dentistes et prothésistes dentaires qui visitent le prochain IDS, à Cologne en Allemagne, auront plus d'un ...
Aujourd'hui, les prothésistes dentaires et les dentistes généralistes sont concernés par un nombre sans cesse croissant de ...
ZURICH, Suisse : Patent Symbionic Teeth s’imposent comme la nouvelle référence en matière de remplacement dentaire. Inspirées des dents naturelles, ...
MONTPELLIER, France : Le Centre Hospitalier Régional Universitaire (CHRU) de Montpellier a mis au point le projet « e-dent », premier ...
Découvrez Dental Network, votre atout pour vous former facilement à la dentisterie numérique. Vous y trouverez un choix de formations e-learning ou ...
Le numérique peut rapprocher prothésistes et dentistes. Optimiser les nouvelles opportunités dans une équipe interprofessionnelle est le sujet de ...
DUBLIN, Irlande : La réhabilitation dentaire avec implants a connu des avancées significatives durant la dernière décennie. Les ...
Hormis la clinique et le soin, le chirurgien-dentiste a également la responsabilité humaine, administrative et financière de son cabinet. Pour accomplir ...
Webinaire en direct
jeu. le 14 mai 2026
à 18h00 (CET) Paris
Webinaire en direct
jeu. le 14 mai 2026
à 20h00 (CET) Paris
Prof. Hani Ounsi DDS PhD FICD
Webinaire en direct
mar. le 19 mai 2026
à 17h00 (CET) Paris
Webinaire en direct
mar. le 19 mai 2026
à 19h00 (CET) Paris
Prof. Dr. med. dent. Ivo Krejci
Webinaire en direct
mer. le 20 mai 2026
à 13h00 (CET) Paris
Dr. Graham Carmichael BDSc (Hons), DClinDent (Pros), FRACDS, Dr. Robert Gottlander DDS
Webinaire en direct
mer. le 20 mai 2026
à 15h00 (CET) Paris
Webinaire en direct
mer. le 20 mai 2026
à 19h00 (CET) Paris
Prof. Dr. med. dent. Tim Joda PhD, MSc, eMBA
To post a reply please login or register