Search Dental Tribune

Traitement endocanalaire de molaires temporaires nécrosées — au moyen d’un système de lime unique à mouvement alternatif

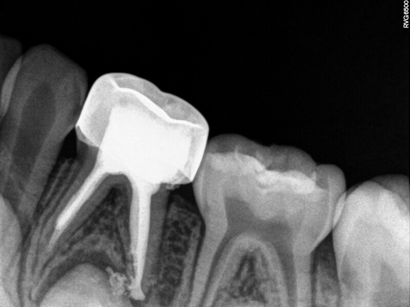
Cas clinique 1 : Trois canaux, obturation canalaire latérale

La pulpectomie est un traitement endocanalaire qui consiste à retirer le tissu pulpaire irréversiblement infecté ou nécrosé, à la suite de lésions carieuses ou traumatiques. Après l’éviction de la pulpe du canal radiculaire, celui-ci est généralement mis en forme à l’aide de limes manuelles ou rotatives.1 Cette procédure est le traitement standard lorsque l’objectif prioritaire est d’assurer la chronologie normale de la chute des dents temporaires et de l’éruption des dents permanentes, ou la rétention à long terme de la dent, tout en assurant un résultat favorable sur le plan de la cicatrisation.2

Comme pour les dents permanentes, il est essentiel de bien désinfecter le système canalaire des dents temporaires.3 L’extraction prématurée des molaires temporaires nécrosées entraîne une perte d’espace nécessaire au processus éruptif des dents permanentes, un problème de santé bucco-dentaire important chez les enfants en raison de la longueur inadéquate des arcades et du risque d’éruption altérée qui en découle.3 Lorsqu’elle est indiquée, une pulpectomie des dents temporaires dont la pulpe est gravement touchée doit donc être considérée comme le traitement de choix.3, 4

Toutefois, elle pose un certain nombre de difficultés dues aux complexités morphologiques du système canalaire, notamment la présence de plusieurs racines, d’une résorption apicale irrégulière, de racines fusionnées, de deux canaux mésio-buccaux et de deux canaux disto-buccaux dans les molaires maxillaires, ainsi que d’isthmes partiels et complets .2 Le protocole de désinfection consiste en une préparation biomécanique au moyen d’instruments manuels ou rotatifs, associée à une irrigation à l’hypochlorite de sodium (NaClO – 0,5 à 5,5 %) et EDTA (17 %).5 Outre la démarche à adopter pour gérer le comportement pédiatrique, il peut également être nécessaire d’envisager des techniques endodontiques qui simplifient la procédure et en raccourcissent la durée, car les enfants sont plus sujets à l’anxiété et au stress durant les traitements dentaires.4–7

Les limes à main en acier inoxydable sont couramment utilisées et s’avèrent relativement efficaces dans les procédures de pulpectomie des molaires temporaires.7 Malgré cela, si elles sont les seuls instruments utilisés, elles présentent de multiples inconvénients en raison de leur rigidité qui complique la négociation des canaux, et accroît le risque d’erreurs iatrogènes, telles que la formation de butées et les perforations.8 L’utilisation d’instruments rotatifs, introduite ultérieurement, s’est avérée très avantageuse pour la pratique de l’endodontie pédiatrique.8, 9 L’instrumentation prend moins de temps, dépend moins des compétences du praticien, et réduit la probabilité d’erreurs susceptibles de se produire avec les limes manuelles. Les instruments rotatifs facilitent ainsi la création d’une meilleure conicité de l’espace canalaire, qui augmente l’efficacité du protocole d’obturation.10 La séquence est cependant presque toujours très longue et peut entraîner une fatigue des instruments en raison du mouvement de rotation, ce qui augmente la probabilité de fracture ou de déformation.11, 12

Les avancées continues dans le domaine de l’endodontie ont permis la mise au point d’instruments à mouvement alternatif qui ont été utilisés dans le traitement du canal radiculaire des dents permanentes. Le mouvement en sens horaire et antihoraire réduit le contact entre l’instrument et la paroi dentinaire et, par conséquent, la fatigue cyclique et la fracture de l’instrument.13 Les instruments à mouvement alternatif encouragent l’utilisation d’une seule lime pour l’ensemble de la préparation du canal radiculaire. Étant donné que l’instrumentation elle-même prend moins de temps, elle permet d’accroître la durée du protocole d’irrigation. Le cycle d’instrumentation consiste à effectuer de courts mouvements de va-et-vient d’une amplitude de 2 à 3 mm, tout en exerçant une légère pression apicale. Il est nécessaire de faire circuler la solution d’irrigation dans le canal radiculaire durant tous les cycles, et entre chacun d’eux, de nettoyer les cannelures de la lime, afin d’éliminer tous les résidus de dentine, le tissu pulpaire et les débris.12, 13

Selon la recherche effectuée sur les pulpectomies des molaires temporaires, les résultats de l’utilisation d’instruments à mouvement alternatif ont été encourageants jusqu’à présent. Tous ont montré d’excellentes aptitudes de nettoyage et de mise en forme canalaire, ainsi qu’une réduction de la durée d’instrumentation, ce qui est favorable pour la préparation des dents temporaires.14–17 Nous n’avons toutefois trouvé ni étude in vivo ni rapport clinique, évaluant l’utilisation de la lime R25 (RECIPROC, VDW) pour la pulpectomie des molaires temporaires. Le présent article expose une série de cas de pulpectomies réalisées à l’aide de la lime R25 à mouvement alternatif, utilisée en mode RECIPROC ALL, sur cinq molaires temporaires ayant reçu un diagnostic de nécrose pulpaire et de pathologie périapicale.

Pulpectomie

Tous les parents (ou tuteurs légaux) des patients ont été informés du protocole de traitement ainsi que du pronostic, et ont signé un consentement écrit. Les pulpectomies ont été réalisées par le même praticien, un endodontiste ayant dix ans d’expérience dans le traitement pulpaire des molaires temporaires. Tous les cas étaient des dents non vitales dont le diagnostic était une nécrose pulpaire. La radiographie a confirmé une perte osseuse dans la région apicale ou de la zone de furcation, une lésion carieuse avancée compromettant la cavité pulpaire, et la présence d’une surface radiculaire résiduelle correspondant à au moins deux tiers des racines normales. Tous les enfants étaient coopératifs, ne présentaient aucune maladie systémique et ne nécessitaient pas de soins spéciaux. La durée du suivi a couvert une période de 14 mois à 36 mois.

Description du protocole de traitement

  •  Un anesthésique local (1 carpule de 2 cm3 de chlorhydrate de lidocaïne à 2 % contenant de l’épinéphrine 1:100 000) a été lentement injecté et le test d’aspiration s’est avéré négatif.
  • Après une isolation complète au moyen d’une digue dentaire et d’un crampon, la cavité d’accès a été préparée au moyen d’une fraise boule no 4 réglée à haute vitesse, sous microscope opératoire (OM-100, Ecleris), puis l’accès a été finalisé avec une fraise diamantée.
  • Les canaux ont été explorés à l’aide de la sonde endodontique DG16 (Hu-Friedy) et négociés avec des limes K 10/.02 (SybronEndo ; Kerr).
  • La longueur des canaux a été déterminée avec un localisateur d’apex électronique (Root Zx II, Morita), et confirmée par une radiographie péri-apicale. La longueur de travail a alors été calculée à partir de la mesure obtenue, de laquelle 1 mm a été soustrait.
  • L’irrigation a été réalisée avec NaClO à 2,5 % administré passivement à 2 mm de la longueur de travail, au moyen de seringues endodontiques Luer Lock de calibre 27 et de 3 cm3 (PlastCare).
  • Les canaux radiculaires ont été préparés avec une lime R25 d’une longueur de 21 mm, conformément aux recommandations du fabricant : moteur à mouvement alternatif (VDW.SILVER RECIPROC, VDW) en mode RECIPROC ALL, aucune pression apicale, mouvements de va-et-vient d’une amplitude de 2 à 3 mm, permettant la progression sûre de l’instrument dans chaque canal jusqu’à la longueur de travail.
  • Toute pression latérale et tout frôlement contre les parois canalaires ont été évités, afin de réduire le risque d’affaiblir la structure fine de la dent.
  • Le protocole d’irrigation final de chaque racine a consisté en une première solution composée de 2 cm3 d’alcool et de 1 cm3 d’EDTA à 17 % pendant 1 minute, suivie de 2 cm3 d’alcool, de 5 cm3 de NaClO à 2,5 % et de 3 cm3 de solution saline. Ensuite, des pointes de papier (Meta Biomed) ont été insérées pour sécher les canaux.
  • Les canaux ont été obturés au moyen d’une pâte d’oxyde de zinc eugénol (ZOE) obtenue à partir d’un mélange poudre-liquide (Proquident), et adjonction d’un seul cône de gutta-percha 40/.04 (Meta Biomed). En raison du diamètre à l’extrémité des canaux, le cône devait être légèrement inférieur à la longueur de travail apicale, afin d’éviter une extrusion excessive du matériau.
  • Une radiographie intermédiaire a été prise pour vérifier visuellement la qualité de l’obturation. Si plus de matériau était nécessaire pour l’obturation par condensation, une quantité de pâte ZOE supplémentaire d’une consistance plus dure était ajoutée et délicatement compactée, au moyen d’une boulette de coton stérile.
  • Une obturation intermédiaire de la cavité a été effectuée par-dessus la pâte ZOE avec un ciment verre ionomère (Ketac Cem Easymix, 3M ESPE).
  • Un second rendez-vous a été fixé 15 jours plus tard, afin de confirmer l’absence de signes ou de symptômes pathologiques, et la dent a été restaurée par une couronne en acier inoxydable qui a été scellée avec un verre ionomère, préparé à partir d’un mélange poudre-liquide (Ketac Cem Easymix).

 

Cas 1 (Figs 1-4)

Cette patiente âgée de 4 ans et 7 mois présentait une douleur qui affectait la seconde molaire temporaire inférieure droite depuis plusieurs jours. L’examen clinique a révélé un gonflement du versant vestibulaire de la gencive et un œdème facial, ainsi qu’une carie occlusale profonde.Un diagnostic de nécrose pulpaire et d’abcès apical symptomatique ayant été posé, un traitement a été prescrit à la patiente, afin de maîtriser l’infection aiguë, et un nouveau rendez-vous a été fixé après l’antibiothérapie. Lors du deuxième rendez-vous, elle ne présentait plus aucune douleur et l’abcès buccal s’était partiellement résorbé. Il a été décidé de procéder à une pulpectomie et à la restauration de la dent. Dans ce cas, la dent présentait une extrusion excessive de matériau d’obturation. Après 15 mois, la réévaluation a confirmé l’absence de signes cliniques ou radiologiques pathologiques, et une apposition osseuse était visible dans la zone de la furcation.

Cas 2 (Figs. 5 à 9)

Ce patient âgé de 6 ans et 7 mois présentait une carie dentaire à un stade avancé sur la première molaire temporaire inférieure gauche, sans aucun symptôme de douleur. La percussion et la palpation du versant vestibulaire de la gencive occasionnaient une légère gêne. Un abcès était présent, mais aucune mobilité dentaire n’était observée. La radiographie a révélé une zone importante de perte osseuse inter-radiculaire. Un diagnostic de nécrose pulpaire et d’abcès apical asymptomatique a été établi. Une pulpectomie a été réalisée et, au cours d’un second rendez-vous qui a permis de confirmer l’absence de signes ou de symptômes pathologiques, une couronne en acier inoxydable a été mise en place. La visite de rappel effectuée à 14 mois a montré l’absence de toute pathologie clinique et l’évolution normale du processus éruptif des prémolaires permanentes, malgré l’extrusion du matériau d’obturation.

Cas 3 (Figs. 10 à 13)

Ce patient âgé de 7 ans présentait une douleur légère depuis plusieurs jours. L’examen a montré une lésion cavitaire étendue et profonde dans la première molaire temporaire inférieure gauche. La gencive ne présentait aucun gonflement, mais la dent était douloureuse à la percussion. La radiographie a confirmé la gravité de la carie, mais n’a révélé aucun signe correspondant à une modification de l’os environnant. Une pulpectomie était le traitement de choix. Le diagnostic de nécrose pulpaire a été confirmé après la préparation de la cavité d’accès et l’identification de trois canaux qui ont alors été complètement négociés.Lors d’un second rendez-vous, 15 jours plus tard, la dent était totalement asymptomatique et elle a été restaurée au moyen d’une couronne en acier inoxydable. À la visite de suivi à 36 mois, la dent présentait une fonction normale et était totalement saine.

Cas 4 (Figs. 14 à 18)

Ce patient âgé de 4 ans et 6 mois présentait une douleur constante qui était apparue spontanément au niveau de la première molaire temporaire inférieure gauche, et persistait depuis plusieurs jours. Toutefois, aucun œdème facial ou gonflement du versant vestibulaire de la gencive n’était visible. Des caries profondes étaient présentes, mais il n’y avait ni mobilité dentaire ni profondeur de poche importante au sondage. La radiographie montrait un risque d’effraction de la cavité pulpaire lié à la lésion carieuse, et une atteinte de la zone de furcation correspondant à un défaut osseux. Une pulpectomie était le traitement de choix. L’élimination de la lésion carieuse a entraîné une exposition de la pulpe, mais aucun saignement n’a été observé. Une nécrose pulpaire a été diagnostiquée. Quatre canaux, deux mésiaux et deux distaux, ont été localisés et la dent a été obturée. Lors du second rendez-vous, la dent était asymptomatique et elle a été restaurée au moyen d’une couronne en acier inoxydable. À la visite de suivi à 30 mois, la dent ne présentait aucun symptôme et la radiographie a montré un processus éruptif normal.

Cas 5 (Figs. 19 à 23)

Ce patient âgé de 5 ans et 8 mois présentait des caries interproximales profondes sur la face distale d’une première molaire temporaire supérieure gauche, et un trajet fistuleux en vestibulaire. Le patient était asymptomatique et sans antécédents de douleur. Une nécrose pulpaire associée à une parodontite suppurée périapicale a été diagnostiquée. Trois canaux ont été localisés et préparés pour l’obturation. La préparation a montré une extrusion apicale excessive de ciment à l’oxyde de zinc eugénol (ZOE). Quinze jours plus tard, le patient était asymptomatique et le trajet fistuleux s’était résorbé. Il a donc été décidé de restaurer la dent avec une couronne en acier inoxydable. Le suivi réalisé à 30 mois a montré une cicatrisation périapicale de la zone apicale mésiale où siégeait la radioclarté observée précédemment, ainsi que l’absence de tout signe ou symptôme pathologique et de douleur.

Discussion

La carie dentaire est une pathologie dont la prévalence est importante dans le monde. Elle affecte la dentition dans les premières années de la vie et se rencontre plus fréquemment dans les populations vulnérabilisées en raison d’un manque d’éducation dentaire, et d’un accès limité à des services de santé de qualité.18 Il est bien connu qu’il est essentiel d’éviter une perte d’espace pendant l’enfance, afin de préserver la dentition naturelle. La perte d’espace peut entraîner une malposition des dents permanentes et peut notamment affecter la nutrition, l’élocution et la confiance en soi.19 La pulpectomie des molaires temporaires est le traitement de choix pour préserver les dents lactéales naturelles présentant une atteinte du complexe pulpo-dentinaire, et des pathologies parodontales dues à l’invasion bactérienne du système des canaux radiculaires.20

Les sentiments d’anxiété et de stress au regard des traitements dentaires sont des situations courantes, mais ils doivent surtout être pris en compte dans le cadre des traitements endodontiques chez les enfants.21 La recherche et la mise en œuvre de techniques endodontiques efficaces, requièrent une compréhension approfondie de l’anatomie du système canalaire, de l’instrumentation des canaux radiculaires, des techniques de désinfection et d’obturation, et de l’importance de la restauration coronaire.20, 22 En ce qui concerne l’instrumentation des canaux radiculaires, les techniques faisant appel à des limes manuelles sont largement utilisées en endodontie, mais elles sont chronophages, parfois inconfortables, et comportent des risques d’erreurs iatrogènes, surtout si elles sont réalisées par des praticiens dont l’expérience clinique est limitée.22, 23 L’instrumentation mécanique a changé la technique de mise en forme des canaux en offrant un moyen plus rapide d’élargir le système canalaire selon une géométrie efficace, pour y permettre une circulation adéquate des solutions d’irrigation.23, 24 Le profil des instruments, l’utilisation d’alliages de nickel-titane et le type de mouvement sont des facteurs dont il faut tenir compte, car ils influencent directement les performances des instruments.

Un facteur important en dentisterie pédiatrique est le temps au fauteuil : plus il est court, plus le patient est capable de maîtriser son anxiété et ressentir une certaine aise. Les systèmes de lime unique à mouvement alternatif peuvent être avantageux pour le traitement endodontique des enfants, car ils permettent d’élargir correctement les canaux radiculaires, tout en respectant leur géométrie, facilitent la mise en forme adéquate pour obtenir une distribution homogène des solutions d’irrigation sur toute la longueur de travail, et raccourcissent la durée de l’instrumentation par rapport aux séquences de limes rotatives et manuelles.23, 25, 26 Toutefois, à notre connaissance, aucune recherche in vivo n’a été effectuée sur l’utilisation d’instruments à mouvement alternatif dans la pulpectomie des molaires temporaires.

Dans leur étude expérimentale, Moghaddam et al. ont comparé l’efficacité du nettoyage et le temps d’instrumentation des limes RECIPROC et Mtwo (VDW) dans les molaires temporaires.27 Selon leur conclusion, l’utilisation de systèmes tels que RECIPROC pour la pulpectomie est avantageuse.

Ramazani et al. ont mené une étude in vitro où ils ont comparé les systèmes rotatifs et RECIPROC dans des canaux mésio-buccaux de molaires temporaires.28 Ils ont confirmé la rapidité et l’excellente capacité de nettoyage et de mise en forme des limes RECIPROC. Ces études ont été les premières à préconiser l’utilisation du système RECIPROC pour les traitements des dents temporaires.

Moraes et al. ont également mené une étude in vitro sur un prototype imprimé en 3D d’une incisive centrale supérieure temporaire.14 Ils ont conclu à l’efficacité de la lime R40 du système RECIPROC pour l’instrumentation de leur modèle imprimé en 3D.

Dans leur étude in vivo, Tyagi et al. ont comparé l’utilisation d’un système rotatif et du système RECIPROC pour la pulpectomie des molaires temporaires et ont notamment évalué l’influence éventuelle des systèmes de limes sur le comportement de l’enfant.29 Leurs résultats relatifs à la performance clinique étaient conformes à ceux des recherches antérieures. Néanmoins, ils ont signalé que le choix du système de limes avait eu peu d’effet sur le comportement des enfants.

Dalzell et al. ont mené une étude de micro-tomodensitométrie, afin d’évaluer l’efficacité de l’instrumentation des limes manuelles Mtwo et RECIPROC blue (VDW) dans des racines de molaires temporaires fusionnées et non fusionnées, et ont démontré des différences significatives dans l’efficacité du nettoyage et de la mise en forme entre les deux types de dents.30 De plus, ils ont constaté un nombre plus élevé d’erreurs iatrogènes lors de l’utilisation d’instruments à mouvement alternatif. Ce dernier résultat va à l’encontre de ceux des recherches antérieures, et à l’expérience clinique que nous avons jusqu’à présent. Bien que nous n’ayons pas évalué les performances cliniques du système de limes RECIPROC blue, sa géométrie et son principe de mouvement sont comparables aux limes RECIPROC.

Barasuol et al. ont mené une étude de micro-tomodensitométrie in vitro où ils ont comparé la capacité de mise en forme de limes manuelles, rotatives et à mouvement alternatif dans les dents temporaires.25 Leurs résultats ont montré un degré plus élevé de transport dans le tiers moyen du canal radiculaire lors de l’utilisation de la lime R25. Ils ont également constaté une réduction du temps d’instrumentation avec le système RECIPROC, par rapport à l’instrumentation manuelle.

À notre connaissance, notre rapport clinique est le premier sur l’utilisation de la lime R25 pour la pulpectomie des molaires temporaires dans un contexte in vivo. Dans l’ensemble, le suivi effectué sur une longue période a montré de bons résultats. Ces cinq cas ont été traités au moyen de couronnes complètes en acier inoxydable, et le moment approprié de la mise en place et du scellement a permis d’éviter une nouvelle contamination du système des canaux radiculaires. L’expérience clinique que nous avons acquise au fil des ans est au-delà des cas exposés dans cet article, mais nous avons choisi de les présenter en raison de la longue période de suivi, et de la restauration adéquate par les couronnes en acier inoxydable. Le taux de réussite de tous nos autres traitements suit cependant la même tendance que cette série de cas. Les couronnes en acier inoxydable sont les restaurations préférées pour les enfants présentant un risque élevé de caries et les dents ayant subi un traitement pulpaire. Leur utilisation a peut-être contribué au succès à long terme du traitement.

L’utilisation du microscope opératoire, associée à l’expérience du praticien en endodontie microscopique, peut également avoir contribué à ces résultats. Le microscope dentaire est sous-estimé et sous-utilisé en dentisterie pédiatrique ; pourtant, il montre clairement des avantages dans la localisation des canaux des molaires temporaires, et son usage pourrait devenir la norme de pratique en dentisterie. L’amélioration de l’ergonomie permet également de prolonger les temps de travail sans entraîner de tension musculaire répétitive et de problèmes posturaux. Il est nécessaire de mener des recherches plus approfondies avec un suivi plus long et un plus grand nombre de cas, et les investigations futures devraient porter sur des études cliniques randomisées. Les derniers instruments à mouvement alternatif, tels que les limes RECIPROC blue, pourraient avoir des profils et des caractéristiques métallurgiques favorables au regard du traitement des molaires temporaires par pulpectomie, et devraient donc faire l’objet d’études.

Note éditoriale:

Note de la rédaction : Cet article a été initialement publié dans le magazine roots – international magazine of endodontics, volume 18, numéro 1/2022 et dans le journal Dental Tribune France  Janvier/Février 2023Vol. 15, No. 1.

Références

  1. Lo EC, Holmgren CJ, Hu D, van Palenstein Helderman W. Six-year follow up of atraumatic restorative treatment restorations placed in Chinese school children. Community Dent Oral Epidemiol. 2007;35(5):387-92.
  2. Ahmed HM. Anatomical challenges, electronic working length determination and current developments in root canal preparation of primary molar teeth. International endodontic journal. 2013;46(11):1011-22.
  3. Ramezanali F, Afkhami F, Soleimani A, Kharrazifard MJ, Rafiee F. Comparison of Cleaning Efficacy and Instrumentation Time in Primary Molars: Mtwo Rotary Instruments vs. Hand K-Files. Iran Endod J. 2015;10(4):240-3.
  4. George S, Anandaraj S, Issac S, John SA, Harris A. Rotary endodontics in primary teeth – A review. Saudi Dent J. 2016;28(1):12-7.
  5. A. M, B M, Gh. A. Assessment of the accuracy of a fifth-generation apex locator (in vitro study). 2011;23(1).
  6. Fuks AB, Guelmann M, Kupietzky A. Current developments in pulp therapy for primary teeth. Endodontic Topics. 2010;23(1):50-72.
  7. Madan N, Rathnam A, Shigli AL, Indushekar KR. K-file vs ProFiles in cleaning capacity and instrumentation time in primary molar root canals: an in vitro study. J Indian Soc Pedod Prev Dent. 2011;29(1):2-6.
  8. Boonchoo K, Leelataweewud P, Yanpiset K, Jirarattanasopha V. Simplify pulpectomy in primary molars with a single-file reciprocating system: a randomized controlled clinical trial. Clin Oral Investig. 2020;24(8):2683-9.
  9. Barr ES, Kleier DJ, Barr NV. Use of nickel-titanium rotary files for root canal preparation in primary teeth. Pediatr Dent. 2000;22(1):77-8.
  10. Crespo S, Cortes O, Garcia C, Perez L. Comparison between rotary and manual instrumentation in primary teeth. J Clin Pediatr Dent. 2008;32(4):295-8.
  11. Musale PK, Jain KR, Kothare SS. Comparative assessment of dentin removal following hand and rotary instrumentation in primary molars using cone-beam computed tomography. J Indian Soc Pedod Prev Dent. 2019;37(1):80-6.
  12. Kummer T, Calvo MC, Cordeiro M, Vieira RdS, Rocha MJdC. Ex vivo study of manual and rotary instrumentation techniques in human primary teeth. Oral surgery, oral medicine, oral pathology, oral radiology, and endodontics. 2008;105 4:e84-92.
  13. Shubhashini N, Sahu G, Consul S, Nandakishore K, Idris, editors. Rotary Endodontics or Reciprocating Endodontics: Which is New and Which is True?2016.
  14. Moraes RDR, Santos T, Marceliano-Alves MF, Pintor AVB, Lopes RT, Primo LG, et al. Reciprocating instrumentation in a maxillary primary central incisor: A protocol tested in a 3D printed prototype. Int J Paediatr Dent. 2019;29(1):50-7.
  15. Marques da Silva B, Scaini F, Tomazinho FSF, Gonzaga CC, Leão Gabardo MC, Baratto-Filho F. Root Preparation of Deciduous Teeth: Efficacy of WaveOne and ProTaper Systems with and without Passive Ultrasonic Irrigation. Iran Endod J. 2018;13(3):362-6.
  16. Prabhakar AR, Yavagal C, Dixit K, Naik SV. Reciprocating vs Rotary Instrumentation in Pediatric Endodontics: Cone Beam Computed Tomographic Analysis of Deciduous Root Canals using Two Single-file Systems. Int J Clin Pediatr Dent. 2016;9(1):45-9.
  17. Nazari M K, Zadeh H, Zadeh N. Comparison of Cleaning Efficacy and Instrumentation Time of Reciproc and Mtwo Rotary Systems in Primary Molars. Journal of Islamic Dental Association of IRAN. 2017;29:15-20.
  18. Shuler CF. Inherited risks for susceptibility to dental caries. J Dent Educ. 2001;65(10):1038-45.
  19. Lucas-Rincón SE, Robles-Bermeo NL, Lara-Carrillo E, Scougall-Vilchis RJ, Pontigo-Loyola AP, Rueda-Ibarra V, et al. Interproximal caries and premature tooth loss in primary dentition as risk factors for loss of space in the posterior sector: A cross-sectional study. Medicine (Baltimore). 2019;98(11):e14875.
  20. Moskovitz M, Sammara E, Holan G. Success rate of root canal treatment in primary molars. J Dent. 2005;33(1):41-7.
  21. Adair SM, Waller JL, Schafer TE, Rockman RA. A Survey of Members of the American Academy of Pediatric Dentistry on Their Use of Behavior Management Techniques. Pediatric Dentistry. 2004;26(2):159-66.
  22. Brignardello-Petersen R. Small trial with high risk of bias suggests advantages for treatment times but not other outcomes when comparing a single-file reciprocating system with hand files in primary molars undergoing pulpectomy. Journal of the American Dental Association (1939). 2020;151(6):e48.
  23. Katge F, Patil D, Poojari M, Pimpale J, Shitoot A, Rusawat B. Comparison of instrumentation time and cleaning efficacy of manual instrumentation, rotary systems and reciprocating systems in primary teeth: An in vitro study. Journal of the Indian Society of Pedodontics and Preventive Dentistry. 2014;32:311-6.
  24. Peralta-Mamani M, Rios D, Duarte MAH, Santiago Junior JF, Honório HM. Manual vs. rotary instrumentation in endodontic treatment of permanent teeth: A systematic review and meta-analysis. American journal of dentistry. 2019;32(6):311-24.
  25. Barasuol JC, Alcalde MP, Bortoluzzi EA, Duarte MAH, Cardoso M, Bolan M. Shaping ability of hand, rotary and reciprocating files in primary teeth: a micro-CT study in vitro. Eur Arch Paediatr Dent. 2021;22(2):195-201.
  26. Lakshmanan L, Mani G, Jeevanandan G, R V, Emg S. Assessing the quality of obturation and instrumentation time using Kedo-S files, Reciprocating files and Hand K-files. Brazilian Dental Science. 2020;23.
Mots-clés:
To post a reply please login or register
advertisement
advertisement