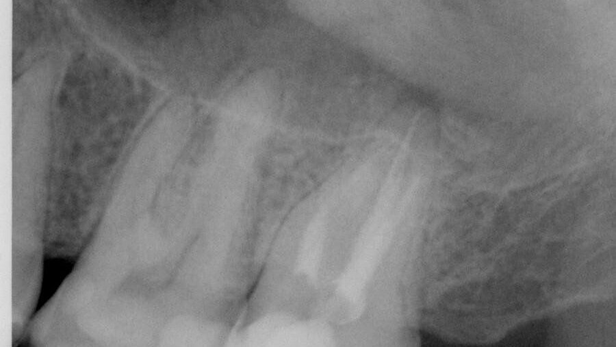
J'ai récemment reçu un e-mail, d'un dentiste généraliste, avec l'image de la dent 27 (image 1). Le mail : "j'ai une radiographie du traitement de canal radiculaire de la 27 de notre fils, fait, il y a cinq ans, par un endodontiste. Il a mal. Je voudrais votre avis sur la ré-intervention ?" Il n'y avait aucune information supplémentaire.
Le courrier électronique provoque plusieurs questions supplémentaires. Il traite, directement et indirectement, de plusieurs principes cliniques et de plans de traitement, importants. Ces questions incluent :
1. Que les dents avec un traitement de canal radiculaire antérieur peuvent et doivent être retraités ou recevoir une chirurgie endodontique, ou devraient être extraites ?
2. Si la ré-intervention est la meilleure option, comment devrait-elle être accomplie ?
3. Si la chirurgie est la meilleure option immédiate, est-ce aussi la meilleure option, à long terme ?
4. Quelles caractéristiques cliniques et radiographiques, du canal radiculaire décrit, sont nécessaires pour donner les réponses aux questions 2 et 3 ci-dessus ?
5. Quelles informations subjectives et objectives, supplémentaires, sont nécessaires pour traiter entièrement la question posée par le clinicien dans le courrier électronique ?
Cet article a été écrit pour répondre à ces questions d’une façon cliniquement appropriée, traitant les préoccupations, planifiant le traitement nécessaire et les stratégies pour la gestion clinique.
Il y a les informations vitales qui ont un impact direct sur la gestion de ce cas, que l'on ne fournit pas. Par exemple, il serait utile de connaître la raison pour laquelle cette dent n'a pas été reconstituée, après le canal radiculaire. La réponse est inconnue. Des questions valables incluent si le patient peut avoir eu une douleur significative, après la procédure, qui a mené au retard de la restauration coronaire. Est-ce que le patient est non collaborant ? Le patient a-t-il déménagé et négligé la restauration coronaire, pour cette raison ? Il y a-t-il une autre raison possible de l'échec, en plus de la fuite coronaire ? Une autre dent pourrait-elle être impliquée ? Ces questions (et une armée d'autres) ont des implications pour la gestion clinique. Ceux-ci incluent de savoir si le patient exploitera les recommandations reconstructrices du dentiste généraliste, si cette dent est retraitée. En parallèle, si le patient est non collaborant, en dépit de toutes les autres considérations, l'extraction est indiquée. Il est complètement improductif de retraiter la dent pour, plus tard, découvrir que le patient n'avait pas la reconstitué la dent, une seconde fois.
Il serait aussi idéal d'avoir plus de radiographies numériques, sous des angles différents et, idéalement, un scan par cone beam de la dent pour déterminer, s'il y a une fracture de racine verticale et/ou, probablement, une perforation. C’est léger de porter des jugements sur des situations cliniques, sans une compréhension complète de la situation, sous des angles radiographiques multiples, et sans accord avec l'examen clinique des symptômes. Un diagnostic correct implique le mélange des investigations, en ce qui concerne la percussion, la palpation, la mobilité, des questions et l'interprétation radiographique, avec l'examen subjectif, pour déterminer un diagnostic. Une telle diligence peut assurer que le traitement devrait être entrepris, le patient comprendrait la procédure, les alternatives et les risques et on répondrait à ses questions, dans une voie qui lui donne une espérance réaliste de succès probable ou de l'échec. Basé sur cette norme, il n'est pas possible de juger le traitement comme un échec et de prendre des décisions, basées sur cette seule image, sans les antécédents cliniques et un examen subjectif et objectif.
Nonobstant le susdit, l'image fournie rapporte des informations significatives. L'interprétation radiographique de ce film démontre la chose suivante :
1. Il n'y a aucune étanchéité coronaire. Dans la littérature endodontique, la fuite coronaire est fortement corrélée avec l'échec du traitement de canal radiculaire. La dent n'a pas été couronnée, la cavité pulpaire n'a été reconstituée, non plus. Cette apparence radiographique est diagnostique de fuite coronaire. Si on avait eu accès, les canaux montreraient presque certainement l'évidence manifeste d'une telle fuite, manifestée par l'odeur, la gutta-percha décolorée, l'humidité et la purulence possible, parmi d'autres signes. Microbiologiquement, il est pratiquement certain que la preuve d’un biofilm bactérien serait localisée, à côté de la gutta-percha, existante dans les canalicules, cul de sacs et autres secteurs inaccessibles de l'espace du canal radiculaire.
2. Il y a une solution de continuité, dans la préparation et l'obturation de la conicité, de la couronne à l'apex, dans les trois racines. Les moitiés coronaires des disto-vestibulaires (D-V), mésio-vestibulaires (M-V) et les canaux palatins ont une conicité plus grande que les moitiés apicales. Il apparaît que la forme préparée dans les moitiés coronaire a été faite avec des forets Gates Glidden.
Une forme de canal plus prévisible pourrait avoir été préparée utilisant un instrument comme la Twisted File (TF; SybronEndo). Pour cette dent particulière, la TF aurait préparé le canal palatin en, environ, deux à trois insertions à un 0.10/25 après la création d'un chemin de passage. Le M-V et les canaux D-V (et M-V2 si présent) pourrait aussi avoir été préparé à un 0.08/25, en trois à quatre insertions, après la création d'un chemin de passage. Tandis qu'une étude complète du TF est au-delà de la portée de cet article, en utilisant les TF, dans ce cas clinique, on aurait obtenu une conicité optimale, avec relativement peu d'insertions et préservé la structure de racine. On aurait aussi réduit, au minimum, la possibilité de fracture verticale de racine et la perforation latérale. Le degré d'ablation de dentine à l'aspect distal de la racine M-V et l'aspect moyen de la racine D-V indique que la paroi de racine résiduelle est très mince. Tandis qu'il n'apparaît pas qu'une perforation latérale est arrivée, les renseignements radiographiques disponibles sont limités et il n'est pas possible de déterminer s'il y a une perforation. Une telle ablation excessive de dentine est corrélée avec le risque à long terme de la fracture verticale.
3. Il y a une lésion radiographique à l'apex de la racine palatine. Il est inconnu de la vue radiographique, si des lésions supplémentaires sont présentes à l'apex du M-V et les racines du D-V.
4. Il y a des vides d'obturation dans le palatin et la racine M-V. Les espaces de canal radiculaire n'ont pas été remplis tridimensionnellement. De tels vides dans l'obturation (à part d'un manque d’étanchéité coronaire) provoqueraient des questions sur la qualité du nettoyage et de la mise en forme.
5. Bien que, non basée sur une observation radiographique empirique, la longueur de travail du nettoyage, la mise en forme et l'obturation semblent être appropriés comme le fait le diamètre maître apical, mais cela peut n’avoir rien de commun avec la réalité clinique, la vraie longueur de travail idéale et/ou maîtriser le diamètre apical.
Considérations cliniques
Cliniquement, le fait que le patient ait mal, supposant que la 27 soit la dent causale, exigerait un traitement. Les options de traitement incluent l'extraction, l'apicectomie et le l’obturation a retro, ou la réintervention. La partie des antécédents cliniques manquants est une confirmation qui la 27 soit la dent causale, mais ce n’est pas sûr. Comme indiqué, il est essentiel que le patient subisse la percussion, la palpation, la mobilité et des investigations pour des dents 26 et 27 (parmi d'autres dents) pour reproduire les symptômes du patient. Cliniquement, cela signifie que, s'il y a la douleur, (par exemple, dans la réaction au à la mastication dans le supérieur gauche), on s'attendrait que ce soit la dent 27 (basée sur l’apparence radiographique) qui soit sensible à la percussion et la dent 26 soit dans des limites de la normale. Dans l'essence, avant de déterminer qu’'un canal radiculaire échoué sur la dent 27 puisse être fait, des symptômes, résultant de la dent 26 devraient être exclus. En testant la dent 26, en ce qui concerne la percussion, la palpation, la mobilité et des investigations, aussi bien que l'exécution d’un test au froid, pourrait alerter le clinicien à déceler n'importe quels symptômes résultant de la dent 26.
Dans l'essence, le clinicien doit reproduire le symptôme motivant la consultation médicale du patient pour s'assurer que le clinicien a la dent correcte avant l’élaboration d'un diagnostic. Le fait de savoir si le patient a la douleur dans la réaction à chaud ou à froid serait un renseignement essentiel. Malheureusement, on ne nous a pas donné ces informations. Si le symptôme, motivant la consultation médicale du patient, est une douleur aigue, persistante, au chaud ou au froid, il est le plus probable qu'une dent vivante soit en cause et non la douleur d'un canal radiculaire échoué. Savoir aussi, si la douleur a été localisée à la dent 27, serait important. La douleur, localisée à la dent 27, qui est reproduit, par un test de percussion positif, tendrait vers la confirmation du diagnostic.
Gestion clinique
Bien que limité à une vue radiographique, étant donné ce qui semble être une fuite coronaire comme la source primaire d'échec, le retraitement serait la solution la plus pratique, efficace et économique. La dent semble avoir le support osseux adéquat. Avec un manque d’étanchéité coronaire, supposant qu'un examen radiographique et clinique préopératoire approprié n'ait pas suggéré un autre diagnostic ou une modalité de traitement, le retraitement est favorisé. Cliniquement, le retraitement exigerait que l'ablation inutile de dentine soit évitée, pour réduire au minimum le risque de la perforation latérale. L'enlèvement agressif de la gutta-percha existante pourrait facilement provoquer la perforation latérale et/ou enlever la dentine excessive et induire, en conséquence, la fracture verticale de racine, à long terme. L'utilisation d'une source de chaleur comme l'Unité d'Obturation d'Éléments (SybronEndo) comme un de première intention de retrait de la gutta-percha réduirait, au minimum, le risque de l'ablation de dentine inutile et fournirait un moyen passif d’éliminer l'obturation, avant que des solvants et/ou des moyens mécaniques ne soient utilisés. Bien que n'étant pas directement lié au retraitement, ce cas est un argument fort, pour l'utilisation d'obturation collée. Quant à la gutta-percha, on a montré que l'obturation collée, in vitro et in vivo, peut, et diminuer le mouvement de bactéries dans une direction corono-apicale et/ou réduire l'inflammation apicale et l'infection qui résulte d'une perte d’étanchéité coronaire. Dans ce cas clinique, il pourrait être discuté que, si l'obturation avait été collée, qu'il pourrait avoir eu un peu de défense supplémentaire, contre la perte évidente d’étanchéité coronaire.
Des maîtres cônes RealSeal (SybronEndo) ou le RealSeal 1 Bonded Obturator, (SybronEndo), les deux aurait été des choix excellents pour fournir cette obturation, collée cliniquement.
Finalement, la chirurgie apicale est contre-indiquée dans ce cas, pour plusieurs raisons :
1. La proportion de couronne-racine est défavorable. L'enlèvement de plusieurs millimètres de l'apex de chaque racine ferait une dent courte (27), encore plus courte et risquerait la fracture verticale à long terme.
2. La littérature endodontique déclare que la chirurgie endodontique est plus réussie à court terme qu’à long terme. Une des raisons pour cela est en raison de la fuite coronaire, comme c’est évident, ici. L'enlèvement des apex et une obturation a retro, pourrait guérir à court terme, mais l'assaut, à long terme, par la fuite coronaire resterait inchangé, réduisant les probabilités de succès clinique.
3. La dent devrait être retraitée d'abord (si elle doit être conservé) et, si nécessaire, la chirurgie apicale serait une option au long terme, parmi d'autres.
Un regard, cliniquement approprié, à un canal radiculaire échoué, en ce qui concerne la planification de traitement, et plusieurs considérations cliniques, ont été présentés. L'accent a été mis sur un examen complet qui, combine découvertes, tant subjectives qu'objectives, pour déterminer le diagnostic clinique correct et les alternatives de traitement les plus prévisibles.
Iconographie
embedImagecenter("Imagecenter_1_214",214, "large");
Figure 1_Cas Clinique case (dent 27).
Figure 2_Twisted Files (0.12/25, 0.10/25, 0.08/25, 0.06/25, 0.04/25; SybronEndo).
Figure 3_Elements Obturation Unit (SybronEndo).
Figures 4a et b_Retraitement d'un traitement de canal radiculaire échoué utilisant les concepts et les stratégies discutées dans l'article.
Dr Richard E. Mounce
12503 S.E. Mill Plain Blvd., Suite 215
Vancouver, WA 98684
USA
Tel.: +1 360 891 9111
E-mail: RichardMounce@MounceEndo.com
www.mounceendo.com
www.deadstuck.com
Le sinus maxillaire est le plus grand sinus paranasal et sa partie inferieure est délimitée par le processus alvéolaire.1 La relation topographique ...
L’agénésie des incisives latérales est loin d’être rare. Dans certaines communautés, nous observons une incidence atteignant 3 % chez les jeunes. ...
Le traitement des insuffisances osseuses est un défi quotidien pour tous les praticiens en implantologie ; notamment quand cela concerne la zone ...
Au cours de la dernière décennie, l’univers endodontique s’est nanti d’un nouvel arsenal de technologies, instruments et ...
_Il est devenu impossible aujourd’hui de traiter nos patients sans avoir recours aux nouvelles technologies. La photo et la radiographie ...
Une femme de 38 ans est venue au cabinet dentaire, car elle se plaignait d’un inconfort dans la zone gauche supérieure. L’examen clinique a révélé ...
Les exigences esthétiques des patients adultes nécessitant un traitement orthodontique, demandent des options qui ont le moins ...
Le frein labial supérieur est une structure muqueuse qui assure la jonction entre la face interne de la lèvre supérieure et la face ...
L’anatomie du canal radiculaire est souvent complexe. Les radiographies 2D classiques peuvent nous donner une idée de l’anatomie et de sa complexité, ...
La traumatologie dentaire est une branche multidisciplinaire de l’odontologie qui requiert certaines compétences bien particulières. En ...
Webinaire en direct
jeu. le 14 mai 2026
à 18h00 (CET) Paris
Webinaire en direct
jeu. le 14 mai 2026
à 20h00 (CET) Paris
Prof. Hani Ounsi DDS PhD FICD
Webinaire en direct
mar. le 19 mai 2026
à 17h00 (CET) Paris
Webinaire en direct
mar. le 19 mai 2026
à 19h00 (CET) Paris
Prof. Dr. med. dent. Ivo Krejci
Webinaire en direct
mer. le 20 mai 2026
à 13h00 (CET) Paris
Dr. Graham Carmichael BDSc (Hons), DClinDent (Pros), FRACDS, Dr. Robert Gottlander DDS
Webinaire en direct
mer. le 20 mai 2026
à 15h00 (CET) Paris
Webinaire en direct
mer. le 20 mai 2026
à 19h00 (CET) Paris
Prof. Dr. med. dent. Tim Joda PhD, MSc, eMBA
To post a reply please login or register