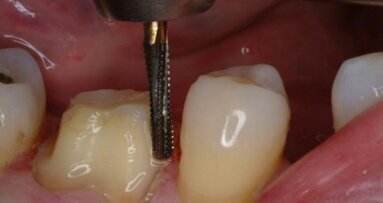
Un "jet futuriste de plasma" qui éradique la carie dentaire, sans obturations, pourrait remplacer la fraise, tant haïe, du dentiste en moins de trois ans.
L'appareil de l'âge de l'espace tire un faisceau de particules, chargées électriquement, des ions d'oxygène, dans les cavités dentaires pour obturer la carie, causée par les bactéries. Traditionnellement, le même travail se fait en fraisant des trous dans la dent, trous qui doivent être remplis.
Contrairement au fraisage du dentiste, le jet de plasma est non-invasif et sans douleur. La peur des obturations est une véritable phobie pour certaines personnes, les amenant à éviter les visites chez le dentiste.
Une nouvelle étude a montré que les tirs de faisceaux de plasma à basse température, sur la dentine peuvent réduire les niveaux de bactéries, pouvant aller jusqu'à 10.000 fois.
Des chercheurs, en Allemagne, ont testé l'efficacité du jet de plasma contre des microbes dentaires courants, y compris le Streptococcus mutans et Lactobacillus casei.
Les deux forment des films à la surface des dents et sont responsables de l'érosion de l'émail des dents et la dentine, qui cause la carie.
Les scientifiques ont infecté de la dentine de molaires humaines extraites, avec quatre souches de bactéries, puis les ont exposées au plasma, entre six et 18 secondes. Plus le traitement durait, plus grande était la quantité de bactéries éliminées.
Le chercheur en chef, le Dr Stefan Rupf, de l'Université de la Sarre, à Homburg, a déclaré : "La basse température signifie qu'ils peuvent tuer les microbes, tout en préservant la dent. La pulpe dentaire, au centre de la dent, sous la dentine, est liée à l'approvisionnement en sang et aux nerfs et les dommages dus à la chaleur doivent être évités à tout prix. "
Publié par Dental Tribune Middle East & Africa
Un "jet futuriste de plasma" qui éradique la carie dentaire, sans obturations, pourrait remplacer la fraise, tant haïe, du ...
LONDRES, Royaume-Uni / LEIPZIG, Allemagne: la technologie anti-bruit pourrait bientôt être disponible dans les cabinets dentaires. Les ...
Très peu de gens ont peur de la visite chez le dentiste, comme l'écrit l'"Apotheken Umschau".
MADRID, Espagne : Des chercheurs de l'université du roi Juan Carlos (URJC) et de l'hôpital Alcorcón à Madrid, ont comparé ...
NEW YORK, États-Unis : Une étude publiée en juin 2014, a suggéré que l'évaluation des changements dans la ...
PARIS, France : Prise de rendez-vous en ligne, envoi de SMS pour le suivi des rendez-vous les rappels de patients, il est aujourd’hui incontestable ...
Vision 2030: Offrir une santé bucco-dentaire optimale pour tous est au cœur de la stratégie de plaidoyer de la FDI. Depuis son lancement en 2021, cette ...
Les normes de soins dentaires ont évolué rapidement au cours des 50 dernières années. Aujourd'hui, les modalités ...
Tout le monde l'a fait - rechercher des symptômes sur internet. Des statistiques récentes montrent que les recherches de problèmes dentaires et buccaux ...
SAINT-GERVAIS-LES-BAINS, France : Après un mois d’enquête, auditions, vérifications de pistes, les gendarmes se sont rendus compte...
Webinaire en direct
jeu. le 14 mai 2026
à 18h00 (CET) Paris
Webinaire en direct
jeu. le 14 mai 2026
à 20h00 (CET) Paris
Prof. Hani Ounsi DDS PhD FICD
Webinaire en direct
mar. le 19 mai 2026
à 17h00 (CET) Paris
Webinaire en direct
mar. le 19 mai 2026
à 19h00 (CET) Paris
Prof. Dr. med. dent. Ivo Krejci
Webinaire en direct
mer. le 20 mai 2026
à 13h00 (CET) Paris
Dr. Graham Carmichael BDSc (Hons), DClinDent (Pros), FRACDS, Dr. Robert Gottlander DDS
Webinaire en direct
mer. le 20 mai 2026
à 15h00 (CET) Paris
Webinaire en direct
mer. le 20 mai 2026
à 19h00 (CET) Paris
Prof. Dr. med. dent. Tim Joda PhD, MSc, eMBA
To post a reply please login or register