_Il est devenu impossible aujourd’hui de traiter nos patients sans avoir recours aux nouvelles technologies. La photo et la radiographie numérique ont remplacé presque complètement leurs ancêtres de l’argentique. Le cone beam (CBCT) nous donne la troisième dimension qui manque au cliché conventionnel et a un rôle déterminant pour le diagnostic. La CFAO a révolutionné la prothèse en permettant l’utilisation de nouveaux matériaux comme l’oxyde de zirconium entre autres, et la fabrication de quasiment toutes les pièces prothétiques dont nous avons besoin. L’objectif de cet article est de présenter de quelles façons les nouvelles technologies peuvent intervenir, dans les différentes étapes du traitement d’un cas complexe pluridisciplinaire.
_Présentation du cas clinique et plan de traitement
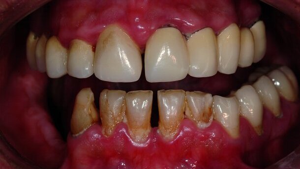
Ce patient de 42 ans présente une arcade maxillaire avec une réhabilitation prothétique en deux parties, faite avec des couronnes céramo-métalliques réalisées 8 ans auparavant (Fig. 1a). La partie gauche est descellée (Fig. 1b), le patient repositionne lui-même le bridge avec de l’adhésif pour appareil amovible. Les moignons apparents sont cariés en partie (Fig. 1c), les traitements endodontiques sont insuffisants avec des lésions périapicales, et de nombreuses dents sont déjà manquantes (Fig. 1e). Il y a une inflammation gingivale généralisée. Le patient avait déjà consulté un dentiste qui avait proposé un traitement de l’arcade supérieure par extraction, implantation et mise en charge immédiate.
Les racines maxillaires sont longues et les traitements canalaires semblent pouvoir bénéficier d’un retraitement, avec un bon pronostic. Pour ces raisons, il est décidé de conserver la plupart des dents au maxillaire. L’élimination des caries, le retraitement des canaux, la réalisation de reconstitutions corono-radiculaires et un allongement coronaire devront être réalisés.
embedImagecenter("Imagecenter_1_1624",1624, "large");
Su1 a montré dans une étude récente, que la longueur des racines est un facteur déterminant pour la décision de conserver ou d’extraire une dent. Il a aussi montré que la formation professionnelle des cliniciens avait un impact très important sur cette décision. Il faut reconnaitre que les traitements implantaires avec mise en charge immédiate sont très en vogue, néanmoins, il semble raisonnable de s’interroger sur la logique d’extraire des dents qui présentent des racines ayant des longueurs variant de 12 à 14 millimètres, et de les remplacer par des implants de longueurs similaires voire inférieures.
Pedersen2 dans une revue de littérature, nous rappelle que les implants quand ils sont évalués après dix ans, ne surpassent pas la longévité des dents compromises et encore moins celle des dents qui sont soignées. Les racines manquantes seront remplacées par des implants. La reconstruction prothétique sera assurée par des couronnes périphériques en oxyde de zirconium stratifié, sur des implants et des piliers naturels.
Les nouvelles technologies nous permettent grâce à la photo numérique associée à un logiciel de graphisme, de faire une étude du sourire en fonction du plan d’occlusion initial, de la ligne inter pupillaire et de la ligne sagittale médiane (Fig. 1d). L’examen cone beam permet, associé aux radios numériques périapicales et panoramiques, d’évaluer précisément la hauteur et surtout la largeur d’os disponible, pour planifier les implantations.3 Il permet aussi de mettre en évidence la présence et les dimensions de lésions périapicales.
_Traitement Chirurgical et prothétique
Les informations du cone beam sont indispensables pour nous guider pendant les chirurgies implantaires en fonction des considérations anatomiques. De plus, l’analyse du sourire permet de diriger l’intervention d’allongement coronaire, quand il s’agit d’harmoniser les niveaux gingivaux des restaurations (Figs. 2a et 2b) tel que cela a été décrit par Kois.4 Avec la CFAO, les nouvelles technologies prennent toute leur importance dans le traitement prothétique.
Néanmoins, il faut admettre que l’empreinte optique intra-orale ne surpasse pas pour le moment l’empreinte conventionnelle, pour des cas complexes d’une arcade entière qui combine implants et piliers naturels (Figs. 2c et d). De même, la conception des contours complets est une étape envisageable de façon virtuelle sur l’écran pour les travaux de petite étendue, cela devient beaucoup plus compliqué pour les cas où toute la dentition est à reconstruire. Pour concevoir de façon virtuelle les contours complets de cas étendus aux deux arcades, il est nécessaire de posséder un logiciel donnant des possibilités de conception presque illimitées et des prothésistes ayant une grande expérience dans la réalisation de ce type de travail, qui soient capables de manier la souri de l’ordinateur aussi bien que la spatule à cire. Pour cette raison, la cire de diagnostic virtuelle est obtenue à partir d’une cire conventionnelle numérisée (Fig. 2e). La conception de l’armature peut être faite virtuellement (Fig. 2f) et nécessite une grande attention aux détails, tels que le respect du soutien de la céramique de stratification ou le recours à des formes complètes en zircone, dans les zones qui exigent une résistance mécanique supérieure et qui ne sont pas dans des zones esthétiques.
Le modèle de travail est indispensable pour contrôler l’ajustage des armatures (Fig. 3a) et pour réaliser la stratification de la céramique (Fig. 3b), d’où l’importance des procédés de fabrication des modèles, à partir de données numériques comme les imprimantes 3D. La CFAO permet la reproduction quasi parfaite des formes finales dans un matériel comme la résine, pour réaliser un dernier provisoire à l’image des restaurations définitives (Fig. 3c). Cela permettra au patient de valider le travail final pour la fonction et pour les formes, mais bien évidemment pas pour l’aspect final qui sera obtenu par l’intermédiaire de la céramique (Fig. 3d). Cette restauration provisoire permet aussi de réaliser le scellement définitif dans des conditions optimales, car le très bon ajustage permet, si l’hygiène du patient est appropriée, d’avoir des tissus gingivaux en bonne santé. Elle permet aussi la gestion dans le temps de cette ultime procédure, en scellant par exemple d’abord l’arcade du haut puis, dans un deuxième rendez-vous, l’arcade du bas (Figs. 3e et F). C’est une succession d’étapes contrôlées qui permet d’aboutir à un travail qui rendra au patient la fonction et l’esthétique, dans le respect de formes appropriées qui permettent une bonne hygiène (Figs. 4a–c).
_Conclusion
Les nouvelles technologies permettent aujourd’hui de réaliser des traitements impossibles il y a moins de vingt ans. Elles ont révolutionné notre pratique quotidienne et ont changé grâce à la CFAO le fonctionnement de la prothèse dentaire. Il faut certainement prévoir dans les années à venir la disparition de procédés qui vont devenir obsolètes (empreintes conventionnelles pour les dentistes et systèmes de coulées pour les prothésistes), avec l’apparition de nouveaux matériaux encore plus performants.
La conception et la fabrication des armatures en zircone ont été réalisées par la Société Euromax (Monaco)._
Note de la rédaction : une liste complète des références est disponible auprès de l’éditeur. Cet article est paru dans le magazine DT Study Club, Vol. 2, numéro 1, mars 2015.
Washington, États-Unis: La prévention a toujours la meilleure place pour commencer à parler de soins dentaires. ; cependant, de nombreux patients ...
MUNICH, Allemagne: À l'aide d'une nouvelle méthode tomodensitométrie (CT) basée sur la dispersion des rayons X, une ...
NICE, France : Du 6 au 8 mai 2015, se dérouleront les 21es Journées Dentaires de Nice, au Palais des Expositions Nice Acropolis. Intervenants ...
VIENNE, Autriche : Les résultats préliminaires d'une étude observationnelle menée par Heraeus Kulzer semblent confirmer le ...
_En implantologie, la physiologie osseuse autour des implants nous oblige à rechercher une passivité et une adaptation optimales des ...
BRUXELLES, Belgique : La Fédération européenne de parodontologie (EFP) a annoncé une nouvelle directive visant à aider les professionnels de la santé ...
Cosmetic Dentistry 2_2010
La réhabilitation esthétique des patients avec une dentition fonctionnellement compromise implique souvent une ...
La traumatologie dentaire est une branche multidisciplinaire de l’odontologie qui requiert certaines compétences bien particulières. En ...
L’anatomie du canal radiculaire est souvent complexe. Les radiographies 2D classiques peuvent nous donner une idée de l’anatomie et de sa complexité, ...
NEW YORK, NY, États-Unis : des chercheurs du College of Dentistry de la New York University ont identifié une nouvelle approche prometteuse ...
Webinaire en direct
jeu. le 14 mai 2026
à 18h00 (CET) Paris
Webinaire en direct
jeu. le 14 mai 2026
à 20h00 (CET) Paris
Prof. Hani Ounsi DDS PhD FICD
Webinaire en direct
mar. le 19 mai 2026
à 17h00 (CET) Paris
Webinaire en direct
mar. le 19 mai 2026
à 19h00 (CET) Paris
Prof. Dr. med. dent. Ivo Krejci
Webinaire en direct
mer. le 20 mai 2026
à 13h00 (CET) Paris
Dr. Graham Carmichael BDSc (Hons), DClinDent (Pros), FRACDS, Dr. Robert Gottlander DDS
Webinaire en direct
mer. le 20 mai 2026
à 15h00 (CET) Paris
Webinaire en direct
mer. le 20 mai 2026
à 19h00 (CET) Paris
Prof. Dr. med. dent. Tim Joda PhD, MSc, eMBA
To post a reply please login or register