Search Dental Tribune

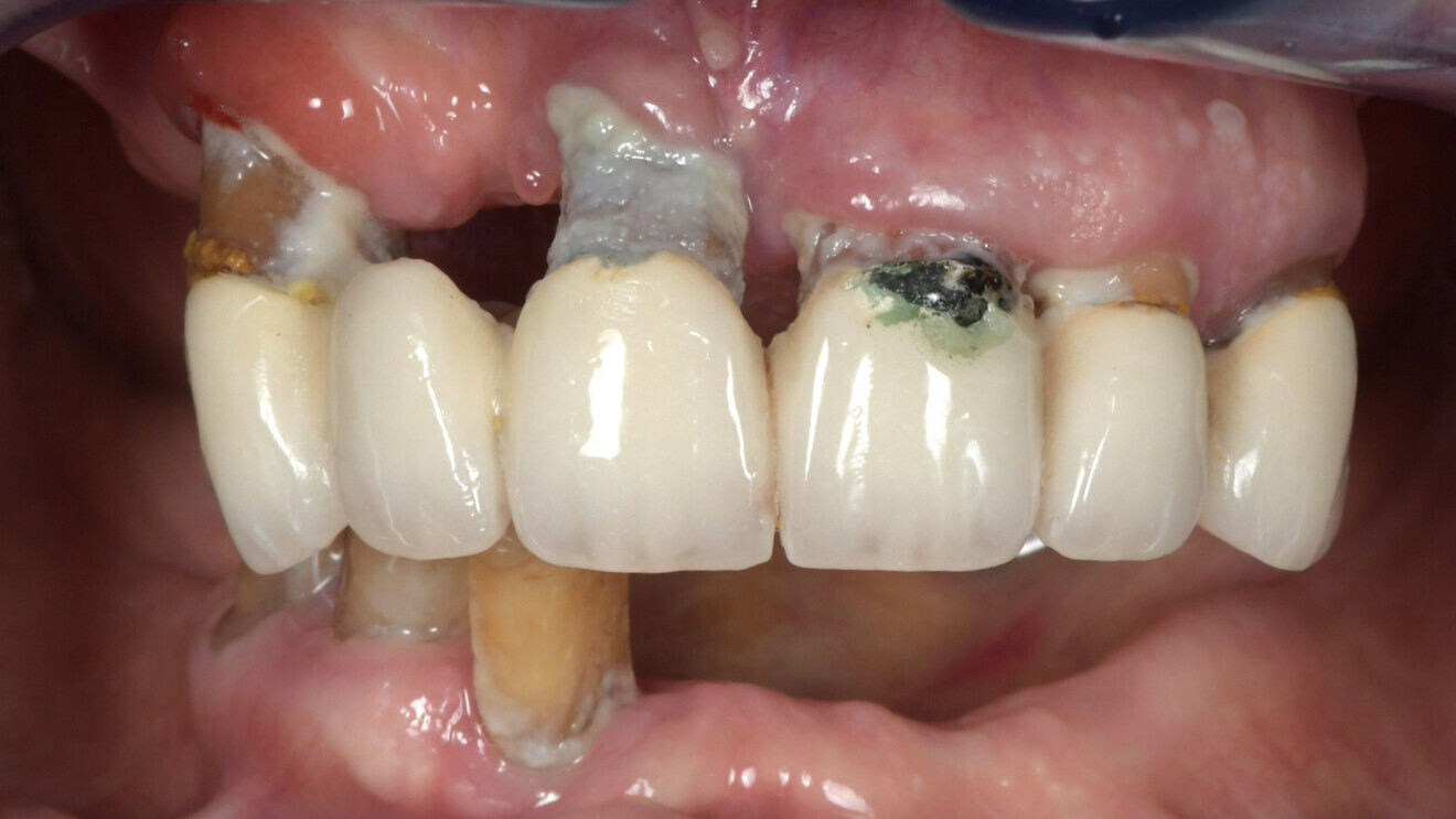
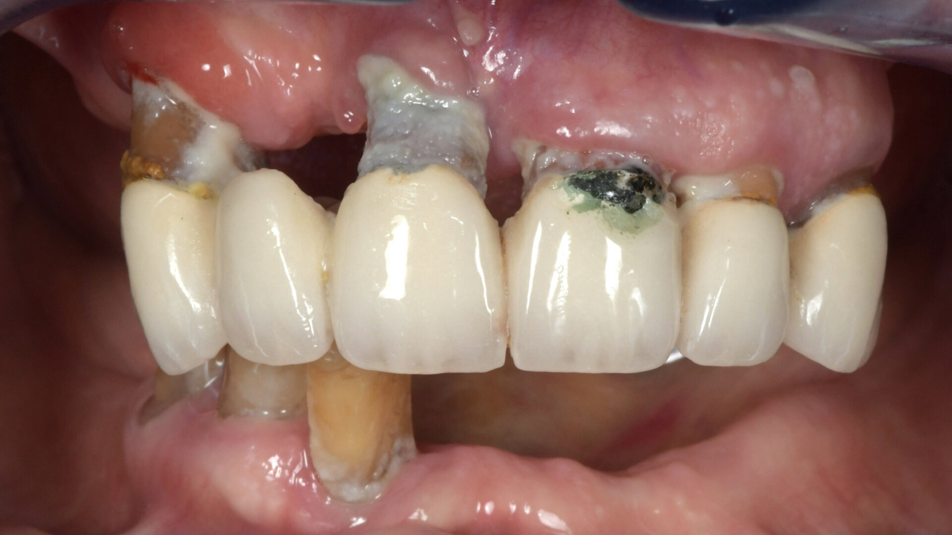
Vue intra-buccale du bridge maxillaire (avec d’importantes récessions) et des trois dents mandibulaires résiduelles. (Image: Dr Renaud Noharet, France)

lun. 26 août 2024

Enregistrer

Une patiente de 82 ans se présente à la consultation pour une réhabilitation globale : le bridge maxillaire est en mobilité 3 et les dents résiduelles mandibulaires entre 2 et 3. Elle ne présente aucune pathologie générale et sa seule doléance est la difficulté de mastication.

L’évaluation clinique a révélé un manque de soutien dentaire pour la lèvre inférieure et une récession gingivale significative autour du bridge maxillaire et des trois dents mandibulaires résiduelles (Figs. 1 et 2). Après examen clinique et radiologique (Figs. 3 et 4), la décision de réalisation d’une prothèse complète maxillaire et d’une réhabilitation fixe mandibulaire par implants est prise en accord avec la patiente.

Fig. 1 : Photo de visage de la patiente avec une lèvre inférieure rentrée par l’absence de soutien dentaire.

Fig. 1 : Photo de visage de la patiente avec une lèvre inférieure rentrée par l’absence de soutien dentaire.

Fig. 2 : Vue intra-buccale du bridge maxillaire (avec d’importantes récessions) et des trois dents mandibulaires résiduelles.

Fig. 2 : Vue intra-buccale du bridge maxillaire (avec d’importantes récessions) et des trois dents mandibulaires résiduelles.

Fig. 3 : Orthopantomogramme de la situation clinique.

Fig. 3 : Orthopantomogramme de la situation clinique.

Figs. 4a–c : Combinaison des différents fichiers indispensables pour collecter toutes les données nécessaires au diagnostic, au plan de traitement et à la bonne exécution de celui-ci. (a) CBCT (DICOM). (b) Photographie intra-orale. (c) JPEG/MPEG.

Figs. 4a–c : Combinaison des différents fichiers indispensables pour collecter toutes les données nécessaires au diagnostic, au plan de traitement et à la bonne exécution de celui-ci. (a) CBCT (DICOM). (b) Photographie intra-orale. (c) JPEG/MPEG.

La combinaison des données DICOM et STL dans le cadre de l’édenté complet ou subtotal est rendu compliquée par le manque de repères fiables et fixes. L’astuce, ici, est de coller des autocollants avec des billes radio-opaques (www.suremark.com). Ces billes seront identifiées tant au niveau de la radiologie par leur opacité que sur l’empreinte optique par leur volume. La combinaison des données est alors facilitée (Fig. 5). Lors de la planification du traitement implantaire, le logiciel DTX Studio Implant a été utilisé (Fig. 6). Il a été décidé de placer quatre implants.

Fig. 5 : Vue intra-orale de la mandibule montrant l’édentement partiel et des autocollants avec des billes radio-paques.

Fig. 5 : Vue intra-orale de la mandibule montrant l’édentement partiel et des autocollants avec des billes radio-paques.

Figs. 6a et b : Planning implantaire (logiciel DTX Studio Implant) : quatre implants ont été planifiés. (a) La vue vestibulo- linguale met en évidence l’intérêt des billes radio-opaques sur les autocollants pour la bonne combinaison des (b) données DICOM et STL.

Figs. 6a et b : Planning implantaire (logiciel DTX Studio Implant) : quatre implants ont été planifiés. (a) La vue vestibulo- linguale met en évidence l’intérêt des billes radio-opaques sur les autocollants pour la bonne combinaison des (b) données DICOM et STL.

Le projet prothétique (validé préalablement en bouche) peut être aussi numérisé en fichier STP et, dès lors, il peut être combiné avec le fichier STL de la situation initiale. Cela permet de faire apparaître le projet prothétique sur les données osseuses : la planification est alors plus fonctionnelle et biologique. Dans le même temps, il est possible de transformer ce projet prothétique en prothèse provisoire (logiciel DTX Lab) adapté à la planification (perforation de la prothèse en regard de la position des futurs implants et piliers). Cette prothèse comporte également quatre tiges au niveau de l’intrados, dessinées en regard de zones osseuses. Après forage guidé par la navigation, elles permettent de positionner la prothèse correctement (Fig. 7). La prothèse provisoire a été préparée en PMMA et réalisée avec une résine composite rose pour simuler la gencive (Fig. 8).

La chirurgie implantaire naviguée peut alors prendre place. Dans ce cadre spécifique, le tracker de repérage du patient est fixé à l’os (vis vertes EDX, X-Nav) et la calibration se fait par le repérage de points osseux par une sonde spécifique (protocole X-Mark ; Fig. 9).

Il est décidé d’utiliser des implants N1 (Nobel Biocare ; Fig. 10). Les piliers prothétiques sont mis en place et vissés au couple de serrage préconisé, et les piliers provisoires en titane ont été vissés sur les piliers prothétiques (Fig. 11).

La prothèse provisoire est présentée en face des piliers provisoires puis elle est positionnée précisément grâce aux tiges qui seront réceptionnées par les logements intra-osseux réalisés par la navigation, assurant donc leur précision de positionnement. Il est alors possible d’injecter le composite Flow pour joindre les piliers provisoires et la prothèse provisoire (Fig. 12). Après adjonction et finition du composite injecté par polissage, la prothèse provisoire peut être vissée pour toute la durée de la phase d’ostéo-intégration (Fig. 13). Une radiographie réalisée après la mise en place de la prothèse provisoire a montré une bonne intégration des implants (Fig. 14).

Fig. 12 : La prothèse provisoire positionnée sur les piliers provisoires.

Fig. 12 : La prothèse provisoire positionnée sur les piliers provisoires.

Fig. 13 : La prothèse provisoire in situ.

Fig. 13 : La prothèse provisoire in situ.

Fig. 14 : Contrôle radiologique après mise en place de la prothèse provisoire.

Fig. 14 : Contrôle radiologique après mise en place de la prothèse provisoire.

Aperçu des solutions numériques utilisées dans le cas présenté

DTX Studio Implant (anciennement NobelClinician) prend en charge le processus de diagnostic et la planification du traitement basés sur l’image. Il offre une technique de visualisation pour les images CBCT du patient. De plus, les données d’image en 2D telles que des images photographiques, des images radiographiques et des scans de surface, peuvent être visualisées pour assembler les données d’images de diagnostic. Des informations prosthétiques peuvent être ajoutées et visualisées pour faciliter la planification des implants prothétiques. Pour un plan de chirurgie guidée, le logiciel peut être utilisé pour une variété d’options intégrées : des guides de pilotage statiques, une chirurgie entièrement guidée ou une navigation dynamique. Le plan chirurgical, y compris les positions des implants et les informations prothétiques, peut être exporté pour la conception de restaurations dentaires dans DTX Studio Lab.

DTX Studio Lab intègre un logiciel de CAO pour créer la conception numérique d’une restauration dentaire. Le fichier de la conception qui en résulte peut être utilisé pour une fabrication centralisée ou localisée.

X-Guide est un système de navigation dynamique pour un guidage 3D en temps réel du positionnement des forets sans guide chirurgical. Il est conçu pour améliorer la précision et l’exactitude de la position, de l’angle et de la profondeur de l’implant. Les points de référence sont suivis et affichés en temps réel via deux caméras positionnées entre 60 et 80 cm au-dessus du patient. L’écran guide le chirurgien lors du forage à l’emplacement prévu par le plan d’implant DTX Studio. L’enregistrement virtuel de l’anatomie du patient peut être réalisé avec le protocole X-Mark, ce qui signifie qu’aucun marqueur CBCT n’est requis pour le scan. Trois points sont marqués sur le rendu CBCT dans X-Guide, et les mêmes trois points sont marqués dans la bouche du patient avec une sonde. Pour les cas d’édentements, le tracker de repérage EDX est attaché au patient, dégage la lèvre, et n’interfère pas pendant l’intervention chirurgicale. Il convient à la chirurgie avec ou sans lambeau, et différentes conceptions du tracker de repérage sont disponibles en fonction de la préférence manuelle du chirurgien. Des études ont confirmé une meilleure précision et moins d’écarts par rapport au positionnement prévu de l’implant, par rapport à la chirurgie à main levée.1, 2  Comparé à d’autres systèmes dynamiques testés, X-Guide est trois à quatre fois plus précis.3

Le système d’implant N1 convient à toutes les indications dans tous les types d’os, ainsi qu’à une fonction immédiate et des flux de travail entièrement numériques. Il permet la productivité et la prévisibilité grâce à un protocole chirurgical plus rapide, y compris une préparation du site moins traumatisante.

Note éditoriale:

Cet article est paru dans le journal Dental Tribune France n°3/2024.

To post a reply please login or register
advertisement
advertisement