Le monde de l’odontologie évolue rapidement. Après l’obtention de mon diplôme en 1997, j’ai rejoint le cabinet dentaire de mon père, le Dr Chris Panarello, et j’ai très vite réalisé que les innovations technologiques et matérielles propulsaient la médecine dentaire de l’avant. Pour moi, il était clair que je devais être à la pointe de ces changements pour réussir. Composites aux couleurs des dents naturelles, facettes, blanchiment, implants et instruments endodontiques rotatifs, ce n’était là qu’une infime partie des derniers progrès cliniques.
La technologie a toujours été, et demeure, une part importante des défis qu’il nous faut relever. Ces 16 dernières années, l’introduction des progrès technologiques et cliniques dans notre cabinet lui a permis de se développer, de traiter des milliers de nouveaux patients et d’accroître sa production d’un facteur quinze. Notre réussite est le résultat d’une triple détermination fondamentale : services, progrès cliniques au sein du cabinet et intégration de la technologie.
Au fil des ans, notre cabinet dentaire a mis en pratique tout un éventail de techniques, notamment les lasers, les pièces-à-main électriques, les radiographies numériques, le système d’imagerie I-CAT, et depuis peu, le système E4D DentistTM (E4D Technologies), une solution CFAO au fauteuil. Ces investissements sont réellement importants, pour le personnel dentaire comme pour les patients.
Un cabinet équipé d’une technologie de pointe regonfle le moral de l’équipe qui ne veut plus travailler dans un « parc préhistorique ». Chacun se sent bien, parle des derniers progrès à longueur de journée, et inspire les patients qui auront dès lors envie de recommander le cabinet à leur famille, leurs amis et leurs collègues de travail. Une équipe souriante = patients satisfaits = succès assuré du cabinet dentaire !
Et nos patients, pourquoi leur sentiment est-il si important pour nous ? Pour répondre très simplement, nous rapprocher de nos patients est le fondement d’une bonne pratique, et nous instillons ce principe dans une règle que nous appliquons à chacun d’eux. C’est ce que nous appelons notre « règle des 4 minutes » : prendre le temps de parler à notre patient et bien le connaître avant toute autre chose.
Cette sollicitude primordiale pour notre équipe et nos patients transparaît spontanément au travers de notre culture d’une pratique « verte ». Avec 32 membres du personnel traitant près de 100 patients quotidiennement, nous nous sommes rendus compte des réels avantages d’une pratique saine et respectueuse de l’environnement.
C’est en 2008 que notre rêve de pratique des technologies écologiques est devenu réalité et nous avons créé le premier vrai centre dentaire « vert » des États-Unis. Sans vouloir faire de jeu de mots, le système E4D a été un ajustage naturel pour les patients et le personnel clinique chez Dental Health Care Associates.
La technologie, c’est super, oui, mais elle doit être appliquée. Avec quatre chirurgiens-dentistes et un personnel nombreux, nous devons garantir une intégration harmonieuse du système E4D si nous voulons exploiter son impressionnante polyvalence. Qu’il s’agisse de couronnes posées le jour même ou de cas plus complexes nécessitant un second rendez-vous, peu importe, le résultat se traduit par un choix plus grand et des soins meilleurs aux patients. Les deux cas exposés ci-dessous en sont la parfaite illustration.
embedImagecenter("Imagecenter_1_1029",1029, "large");
Cas 1: vitrocéramique de restauration IPS e.max
Notre premier cas est celui d’un patient porteur d’anciens implants depuis 2004. Un homme âgé de 34 ans s’est présenté avec une couronne classique en céramo-métallique (CM) recouvrant la dent 11.
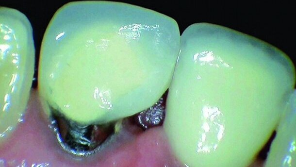
La porcelaine était fracturée en mésio-lingual et rendait cette dent esthétiquement inacceptable (Fig. 1). Le patient souhaitait qu’elle soit remplacée pour un certain vendredi, jour où il devait se rendre à une réunion de famille. Le système E4D était la solution idéale. Le patient a été anesthésié et l’ancienne couronne céramo-métallique a été déposée au moyen d’une fraise diamantée Two Striper® 767.9C de Premier Dental.
Pour optimiser l’utilisation de l’E4D, j’ai choisi des produits complémentaires qui augmentaient ma vitesse et mon efficacité. Des instruments de coupe et des systèmes rotatifs de polissage de qualité représentent un gain de temps et réduisent le traumatisme infligé au patient. En ce qui concerne le choix du matériau, il s’est porté sur une vitrocéramique IPS e.max CAD de teinte A1 C14 en raison de sa résistance, son esthétique et sa longévité.
Nous avions à faire à une ancienne technique implantaire (qui consistait à placer un implant bien plus apicalement) et par conséquent, il devenait très difficile d’obtenir une imagerie directe ou de scanner l’empreinte vu que le col de l’implant se trouvait 5 à 7 mm au-dessous du tissu. Une coiffe d’impression a donc été placée sur l’implant Strauman, ce qui a permis l’imagerie de l’empreinte (Fig. 2). L’enregistrement de l’occlusion a été réalisé en bouche. Une fois l’empreinte scannée, nous avons choisi le bloc, défini la limite marginale et élaboré le modèle. Après une évaluation de la photo préopératoire, le technicien et moi-même avons décidé de la forme définitive qui minimiserait le disgracieux triangle noir. Malheureusement, le patient n’avait pas les moyens financiers de faire restaurer la dent 21, et nous nous trouvions de ce fait devant un terrible dilemme. Non seulement, les contours esthétiques idéaux allaient être difficiles à obtenir, mais l’appariement d’une céramo-métallique à un matériau tout-céramique était aussi problématique. Le bloc a été chargé dans le système E4D où les fraises diamantées Two Striper ont produit une restauration bien régulière et tout à fait acceptable du point de vue anatomique.
Après la cuisson, la couronne a été essayée. L’occlusion a été corrigée, et certains contours vestibulaires et angles plats ont été remodelés, afin de réduire la largeur de la dent 11. Vu que le patient ne pouvait se permettre un traitement de céramisation des dents 12 et 22, nous avons tenté d’en réduire l’aspect pour adapter convenablement la dimension et l’espacement antérieurs.
Ce cas est réellement un exemple d’utilisation de la polyvalence du système E4D lorsqu’un plan global de traitement visant à améliorer le sourire n’est pas envisageable. Il illustre de plus, les obstacles qui doivent être surmontés quotidiennement. Nous étions également en présence d’une perte papillaire entre les dents 11 et 21. Une correction esthétique totale du triangle noir ne pouvait être obtenue en raison des moyens financiers du patient. Un contact gingival étroit aurait conduit à une dent trop grande, aussi une meilleure correction de l’espace devait être envisagée.
Le scellement a été réalisé au moyen d’un agent de collage Monobond Plus (Ivoclar Vivadent) et d’un composite Multilink (Ivoclar Vivadent). L’excès de ciment a été éliminé et les faces vestibulaires, linguales et occlusales de la restauration ont été durcies pendant 10 secondes avec une lampe à photopolymériser Bluephase (Ivoclar Vivadent). Finalement, la restauration a été polie en bouche avec une pâte monocomposant Diamond Twist SCOTM de Premier Dental, appliquée en une fois (Fig. 3).
Vu les délais à respecter, la céramique IPS e.max polie au moyen d’instruments rotatifs, a donné les meilleurs résultats chez ce patient. Pensez au nombre de fois où il est nécessaire d’ajuster, après avoir effectué un scellement ! Le patient s’assoit et dit « Je crois qu’il faut encore faire une retouche », et ceci se produit généralement à longueur de semaine. Le polissage final s’est révélé remarquable (Fig. 4). Moins d’une minute pour obtenir un superbe éclat, et aucun besoin de cuisson pour un reglaçage. Ouah ! En tout et pour tout, moins de 80 minutes de traitement !
Après une attente de quelques semaines pour permettre à la gencive de s’adapter à la nouvelle restauration, un laser Biolase sera utilisé pour en remodeler le contour, afin d’adapter le profil de la dent 21. Le tissu s’était en effet légèrement affaissé en raison de la perte de porcelaine de la restauration précédente. De surcroît, prendre congé d’un patient en l’envoyant à un dîner de cérémonie avec une gencive rouge et sanguinolente, n’est pas le mieux pour édifier une bonne pratique dentaire !
Cas 2 : restauration en résine nanocéramique Lava Ultimate
Le second cas démontre l’importance d’une technologie dentaire adaptée à nos patients qui, de nos jours, n’ont pas beaucoup de temps. Le patient, âgé de 44 ans, était animateur radio dans une grande station de la région et chroniqueur sportif pour l’équipe de basketball professionnelle locale.
Il est à remarquer que la dent 27, fracturée, sera extraite plus tard au cours de la visite et sera ensuite remplacée par un implant. L’extraction sera réalisée après la pose de la couronne sur la dent 25.
L’emploi du temps très chargé du patient nous laissait peu de possibilités de rendez-vous et le choix du matériau a été en grande partie dicté par les contraintes de temps. Après évaluation, nous avons opté pour la résine nanocéramique Lava Ultimate de teinte B1 14L. Ce matériau relativement nouveau peut être fraisé plus rapidement, il ne nécessite aucune cuisson par cristallisation et il peut être rapidement retouché et poli. Heureusement, le système E4D offre une diversité de matériaux de haute qualité qui conviennent à différents cas, sans compromettre la résistance et l’esthétique. Le nerf de la dent 25 présentait des lésions carieuses importantes et requérait un traitement préalable du canal radiculaire. Une fois le nerf traité, la reconstruction a été réalisée au moyen du matériau de restauration Filtek 250 (3M ESPE) et du système de collage photopolymérisable SE BOND (Kuraray Dental). La préparation a été réalisée avec ma fraise diamantée Two Striper. À la fin de la procédure, le saignement a été contrôlé avec une pâte hémostatique pour rétraction gingivale Traxodent® Hemodent® de Premier Dental. La pâte a été déposée dans une coiffe pour empreinte constituée de coton, et maintenue en place pendant une minute (Fig. 5). La zone a été rincée et séchée. Un matériau de type putty à prise rapide (Discus) et un matériau d’empreinte de faible viscosité (Imprint de 3M ESPE) ont servi à prendre une empreinte définitive au moyen d’un porte-empreinte de quadrant Premier Triple Tray.
Étant donné que nous nous trouvions clairement devant un cas très complexe de restauration (canal radiculaire, reconstruction, couronne, extraction), soumis dès le départ à des contraintes de temps, et que notre scanner E4D était utilisé dans un autre cabinet dentaire, nous ne pouvions réaliser aucun examen d’imagerie intra-buccal. Nous avons choisi le bloc 12, déterminé la limite marginale, élaboré le modèle, puis nous l’avons envoyé pour le fraisage (Fig. 6). Après un essayage et une retouche mineure, la restauration a été polie au moyen du système de polissage extrabuccal en un temps, Diamond Twist SCLTM (Fig. 7). Elle a été préparée et scellée avec le ciment auto-adhésif 3M RelyX Unicem, dont le mode d’emploi a été scrupuleusement suivi (Fig. 8). Après un nettoyage, la dent 27 a été extraite. Notre patient, très reconnaissant, a dès lors pu rentrer chez lui, prendre un peu de repos puis est revenu quelques heures plus tard, pour remercier son équipe dentaire favorite qui lui avait en un jour, confectionné sa superbe nouvelle dent !
Conclusion
Le système E4D Dentist offre davantage de possibilités de traitement avec d’excellents matériaux de restauration, pour le bonheur et la satisfaction des patients. Ce système s’adapte parfaitement à notre cabinet technologies « vertes », dont peuvent profiter au quotidien toute l’équipe dentaire de Dental Health Care Associates ainsi que les patients.
Cet article a tenté de démontrer à quel point une journée de soins dentaires peut être complexe, et comment les technologies disponibles et un personnel compétent l’influencent sensiblement. Chaque jour, la technologie et l’efficacité peuvent être utilisées pour rendre possible l’impossible. Ce n’était assurément pas la médecine dentaire que je pratiquais il y a cinq ans.
Trouvez un moyen d’ajuster naturellement la technologie à votre cabinet dentaire. L’odontologie ne cesse d’évoluer, pas vous ? La technologie CFAO E4D, en vous offrant la possibilité de choisir différents matériaux en céramique, de préparer et de polir à un degré élevé dans toutes sortes de situations, contribue à rendre l’odontologie tout simplement géniale._
Note de la rédaction :
- modèles de couronne élaborés par Krystina Atene, EFDA, et Carina Powers, EFDA, CDA.
- Cet article est paru dans le magazine CAD/CAM France, Vol.3, N° 4/2013.
_Bon nombre de praticien n’ont pas encore pris la décision de s’équiper en CFAO, parfois désorientés par la ...
PARIS, France : Ça y est vous êtes à l’ADF, plein d’enthousiasme, prêt à choisir votre nouveau fauteuil.
Cependant vous êtes face à un choix ...
Aujourd'hui, les prothésistes dentaires et les dentistes généralistes sont concernés par un nombre sans cesse croissant de ...
La carie est l’affection la plus courante chez l’être humain. Presque tout le monde en est atteint un jour ou l’autre dans sa vie. On estime ...
Le composite CLEARFIL MAJESTY ES-2 permet de créer facilement des restaurations esthétiques à l’aspect naturel. Ce composite s’adapte idéalement ...
_En implantologie, la physiologie osseuse autour des implants nous oblige à rechercher une passivité et une adaptation optimales des ...
Selon la définition de l’IASP (International Association for the Study of Pain – Association internationale pour l’étude de la douleur), la douleur ...
Toute reconstitution dentaire vise à rétablir le rôle et le caractère naturel du système stomatognathique et en ...
IENA, Allemagne : Une équipe de chercheurs de l'Institut Otto-Schott en chimie des verres de l'Université Friedrich-Schiller de Iéna, ...
HOUSTON, Etats-Unis : Un microbiome buccal équilibré peut contribuer à une bonne santé cardiovasculaire en convertissant les nitrates d’origine ...
Webinaire en direct
jeu. le 14 mai 2026
à 18h00 (CET) Paris
Webinaire en direct
jeu. le 14 mai 2026
à 20h00 (CET) Paris
Prof. Hani Ounsi DDS PhD FICD
Webinaire en direct
mar. le 19 mai 2026
à 17h00 (CET) Paris
Webinaire en direct
mar. le 19 mai 2026
à 19h00 (CET) Paris
Prof. Dr. med. dent. Ivo Krejci
Webinaire en direct
mer. le 20 mai 2026
à 13h00 (CET) Paris
Dr. Graham Carmichael BDSc (Hons), DClinDent (Pros), FRACDS, Dr. Robert Gottlander DDS
Webinaire en direct
mer. le 20 mai 2026
à 15h00 (CET) Paris
Webinaire en direct
mer. le 20 mai 2026
à 19h00 (CET) Paris
Prof. Dr. med. dent. Tim Joda PhD, MSc, eMBA
To post a reply please login or register