Au cours de la dernière décennie, l’univers endodontique s’est nanti d’un nouvel arsenal de technologies, instruments et matériaux, tels que microscopes chirurgicaux, radiographie numérique, tomodensitométrie volumique à faisceau conique (CBCT), limes rotatives en nickel-titane (NiTi) destinées à la mise en forme canalaire, instruments soniques et ultrasoniques, et systèmes d’irrigation. Et pourtant, malgré toutes ces améliorations, le résultat global n’a pas enregistré d’amélioration vraiment importante, surtout dans le domaine du traitement endodontique non chirurgical.1–8
Qu’elle en est la raison ? Si nous considérons ce fait d’un œil critique, nous pouvons identifier deux facteurs importants, directement liés au pronostic, qui ont limité nos progrès : l’éradication prévisible des micro-organismes et l’accès à l’anatomie complète du système canalaire où ces organismes pourraient être hébergés.
La première molaire mandibulaire (PMM) est la dent qui est l’objet le plus fréquent d’un traitement endodontique.9–11 Dans une étude menée par Swartz et al., le taux de réussite des traitements dentaires endodontiques s’élevait à 87,79 %, avec des résultats nettement moins élevés (81,48 %) pour les PMM.12 Il est généralement admis qu’une simple procédure de nettoyage et de mise en forme n’est pas appropriée à l’ensemble des cas. C’est pourquoi l’endodontiste devrait être en mesure de cerner entièrement la morphologie de la dent et des canaux radiculaires, afin de déterminer la modalité thérapeutique la mieux adaptée à un cas particulier,13 et d’améliorer ainsi le taux de cicatrisation.14–16
Compte tenu des informations qui précèdent, et en référence à 41 études portant sur un total de 18 781 dents, notre groupe a publié récemment un bilan systématique de l’anatomie radiculaire et de la morphologie des canaux de la PMM définitive.17 Un résumé des données collectées est présenté dans le tableau I. Ce bilan a fourni des informations importantes directement liées à nos procédures cliniques.
Nombre de racines
Une analyse de la littérature a révélé une forte corrélation entre la présence d’une troisième racine (13 % des dents) et l’origine ethnique des patients, particulièrement asiatique, mongole et esquimaude.18
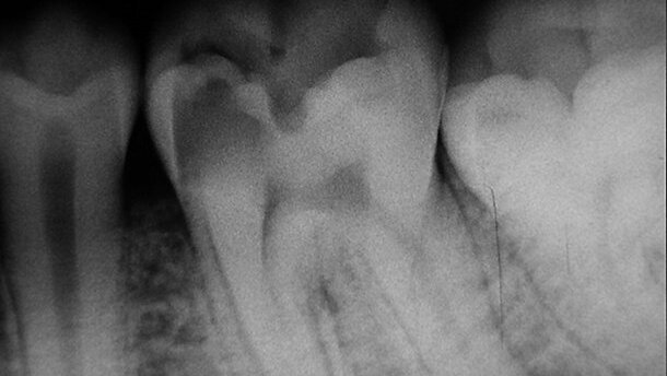
La détermination visuelle de racines supplémentaires nécessite plusieurs radiographies. La prise de premiers clichés sous un angle décalé est indispensable pendant le traitement d’une PMM (Fig. 1a).19,20 Une lime initialement positionnée dans la racine surnuméraire peut donner l’impression d’une perforation.21 Si les résultats radiographiques ne sont pas déterminants, l’utilisation de localisateurs de foramen apical électroniques fournit des informations permettant des lectures assez fiables, pour établir un diagnostic différentiel et confirmer la présence du canal surnuméraire. Selon Walker et Quackenbush, une simple analyse au moyen de radiographies rétrocoronaires interproximales, permet la détection de racines disto-linguales (DL) dans 90 % des cas.18
En 1990, Carlsen et Alexander ont mené une étude où ils ont dénombré 398 molaires mandibulaires définitives pourvues d’une racine surnuméraire en position linguale.22 Cette macrostructure, appelée racine entomolaire ou radix entomolaris, varie considérablement en forme et en courbure. Lorsque cette troisième racine se situe du côté vestibulaire, elle porte le nom de racine paramolaire ou radix paramolaris. Sa forme et sa courbure sont également très fluctuantes (Fig. 1b).23–25 En général, l’axe de la racine est orienté vers la face vestibulaire de la molaire. Il pourrait donc être plus simple de choisir comme point de référence la cuspide disto-vestibulaire plutôt que disto-linguale, ainsi qu’on le fait habituellement. La combinaison de la pente présente au niveau de l’entrée canalaire et de la courbure vestibulaire à hauteur du tiers apical, donne lieu à un canal dont l’instrumentation et l’irrigation sont très délicates. Si l’on veut prévenir des accidents, il est conseillé de choisir un instrument très flexible et de petit diamètre, lors du traitement de la partie apicale.
En raison de la complexité du système canalaire, le diagnostic, la préparation de l’accès et le choix du traitement approprié de la troisième racine, sont essentiels pour parvenir à un résultat endodontique parfaitement efficace. Dans les cas nécessitant des procédures chirurgicales endodontiques, la troisième racine devient extrêmement problématique.19 Une publication récente de Tu et al. rapporte une prévalence élevée d’une racine disto-linguale dans la population taïwanaise.26 Les auteurs ont constaté que l’incapacité d’identifier et de traiter cette racine surnuméraire était directement corrélée à l’échec du traitement, et débouchait sur une extraction de la dent.
Le tableau I résume les résultats d’un bilan systématique qui compile les données relatives à 4 745 PMMs.17 En moyenne, 61,3 % des cas présentaient trois canaux, 35,7 % en présentaient quatre, et presque 1 % en présentait cinq. Les études in vivo réalisées par des endodontistes, ont identifié quatre canaux dans 45 % des cas traités.27–30 Cinq canaux ont été observés dans 0,8 % des échantillons, et des études de cas ont mis en évidence la possibilité de six et même sept canaux radiculaires.31,32
embedImagecenter("Imagecenter_1_915",915, "large");
Morphologie de la racine mésiale
Une analyse systématique de rapports d’études concernant plus de 4 000 racines mésiales, a confirmé la présence de deux canaux radiculaires chez 94,2 % de cas.17 Ces canaux fusionnent en un foramen apical commun (type II) dans 35 % des cas, ou conservent un foramen apical distinct dans 52,3 % des cas (type IV de la classification de Vertucci ; Tableau I). Une approche clinique visant à l’identification de la morphologie canalaire interne, devrait comprendre une évaluation de la distance séparant les entrées principales. Une courte distance entre l’entrée mésio-vestibulaire (MV) et l’entrée mésio-linguale (ML) est souvent à l’origine d’une confluence, qui se traduit par un foramen commun. Une distance accrue est directement corrélée avec la morphologie de type IV comprenant deux foramina distincts.33
En présence d’une morphologie de type IV (2–2), le clinicien devrait traiter les canaux indépendamment. En cas de fusion canalaire, Castellucci explique le besoin d’éviter une instrumentation initiale des canaux jusqu’à la longueur de travail, afin de prévenir une élimination inutile de la dentine.34 De plus, une instrumentation complète des deux canaux jusqu’à la longueur de travail, débouchera sur une préparation de type « sablier », présentant un rétrécissement maximal au niveau de la jonction, et un élargissement de l’espace canalaire en position apicale par rapport à la jonction.
Dans ce cas, l’obturation tridimensionnelle est beaucoup plus compliquée et comporte le risque d’une extrusion, en laissant un espace vide dans la zone divergente la plus apicale.29 Sur le plan clinique, il est plus sûr et plus facile d’instrumenter le canal ML jusqu’à la longueur de travail, et le canal MV jusqu’au niveau de confluence, puisque ce dernier est le plus proche de la surface externe de la racine et présente des courbures plus prononcées que le canal ML.35,36
Selon Marroquin et al., la dimension moyenne du plus grand diamètre s’élève à 0,31 mm lorsque le foramen apical est commun.37 Par contre, le diamètre maximal moyen ne dépasse pas 0,25 mm en présence de deux foramina distincts. Ces données semblent indiquer que le traitement d’une morphologie de type IV permettrait une préparation apicale plus conservatrice. Néanmoins, la préparation canalaire doit toujours être corrélée avec l’anatomie et la microbiologie du canal.
Alors que les cas vitaux doivent bénéficier d’un traitement plus conservateur, des canaux infectés peuvent requérir des préparations apicales plus élaborées, pour permettre une irrigation et une désinfection efficaces.38,39
Plusieurs publications rapportent la présence de trois canaux dans la racine mésiale.40,41 Selon notre bilan systématique, l’incidence s’élève à 2,6 % (Figs. 2 et 3).17 La localisation de ces canaux nécessite des modifications de l’accès. En bref, une fois que les canaux principaux ont été localisés et leur accès instrumenté, des fraises ou des embouts ultrasoniques de petits diamètres sont utilisés pour éliminer le pont dentinaire qui relie les deux entrées, ce qui ouvre une vue directe sur l’angle formé par la paroi mésiale et le plancher de la chambre pulpaire, et expose l’espace canalaire présent entre les deux canaux principaux. Ensuite, une sonde endodontique est utilisée, puis des limes de petit calibre pour effectuer la négociation. De plus, l’utilisation de microscopes chirurgicaux augmente encore la possibilité de localiser et de traiter ce canal accessoire.42
Vu la concavité distale de la racine mésiale, l’instrumentation du troisième canal médial doit être réalisée précautionneusement au moyen de petits instruments, afin d’éviter des perforations provoquées par l’abrasion de la paroi radiculaire (perforations par « stripping »).27 Le canal mésial intermédiaire est entièrement indépendant jusqu’à 25 % des cas.17
Morphologie de la racine distale
Gulabivala et al. ont évalué 139 PMM et observé que 74,8 % des racines distales présentaient une morphologie aplatie dans le sens mésio-distal.21 Ils ont également noté que des racines distales de forme conique comportaient fréquemment un seul canal, bien que la morphologie soit plus complexe dans la grande majorité. Par conséquent, les entrées d’accès habituelles doivent être modifiées lors de recherche d’un second canal ou d’un canal ayant une forme rubanée. La conception de l’accès a évolué de la forme triangulaire classique vers une forme rectangulaire décalée en direction mésio-vestibulaire.27,43
Martinez-Berna et Badanelli ont été les premiers à signaler un troisième canal dans la racine distale et l’ont qualifié de canal radiculaire disto-central (DC).44 Une analyse de la littérature établit l’incidence de ce canal à 1 %.21,31,39,45–50
Communications intercanalaires
La morphologie et la largeur vestibulo-linguale de la racine mésiale permet la formation de communications intercanalaires et d’isthmes (Fig. 4). Un isthme (anastomose) est défini comme un espace canalaire qui relie au moins deux canaux dans la pulpe d’une même racine.51 Chez de jeunes patients, il faut s’attendre à trouver de grands canaux reliés par de larges isthmes. Au fur et à mesure du dépôt de la dentine secondaire durant la maturation de la dent, ces vastes communications se divisent en plus petites unités, dont la fréquence diminue finalement après l’âge de 40 ans.52
Parmi les 1 615 PMM examinées, 50 % des racines mésiales et 20 % des racines distales présentaient des isthmes de type V. Ce type est reconnu comme une véritable liaison ou un vaste corridor de tissu existant entre les deux canaux principaux.53 Par conséquent, la présence d’isthmes doit être considérée comme la règle générale, plutôt qu’une exception, lors du traitement de PMM chez les jeunes patients.
Étant donné que la désinfection de ces espaces inaccessibles est extrêmement difficile,54 nous devons concentrer nos efforts sur l’amélioration de nos protocoles d’irrigation, au moyen des systèmes les plus efficaces dont nous disposons aujourd’hui. L’importance clinique de l’identification, du traitement et de la désinfection des isthmes a récemment été soulignée par Von Arx, qui a déterminé la présence d’une anastomose complète entre les canaux dans 29 % des cas d’échecs du traitement canalaire nécessitant une chirurgie apicale.55
Conclusion
Les points suivants résument les résultats de nos examens :
1. Le nombre de racines dans la PMM est directement lié à l’appartenance ethnique de la population étudiée.
2. L’instrumentation de la troisième racine nécessite la création d’un accès différent et l’utilisation d’instruments flexibles et de petits diamètres, en raison de la courbure du tiers apical.
3. Les racines mésiales présentent régulièrement deux canaux, dont les morphologies appartiennent le plus fréquemment aux types 2–2 et 2–1. Un troisième canal peut être présent dans 2,6 % de la population.
4. La morphologie la plus fréquemment observée dans la racine distale est de type 1–1 (62,7 %), suivie des types 2–1 (14,5 %) et 2–2 (12,4 %).
5. Des modifications de l’accès sont nécessaires afin d’identifier les racines et/ou les canaux surnuméraires.
6. Les taux de présence d’isthmes s’élèvent à 55 % dans la racine mésiale et à 20 % dans la racine distale. Il convient de tenir compte de cette morphologie anatomique lors du traitement chirurgical endodontique et périapical.
Note de la rédaction : une liste complète des références est disponible auprès de l’éditeur. Cet article est paru dans DT Study Club, Vol. 1, No. 2, septembre 2013.
La carie est l’affection la plus courante chez l’être humain. Presque tout le monde en est atteint un jour ou l’autre dans sa vie. On estime ...
Le sinus maxillaire est le plus grand sinus paranasal et sa partie inferieure est délimitée par le processus alvéolaire.1 La relation topographique ...
COPENHAGUE, Danemark : La Fédération européenne de parodontologie (EFP) a publié le 10 juin de nouvelles recommandations sur la prise en charge de la ...
J'ai récemment reçu un e-mail, d'un dentiste généraliste, avec l'image de la dent 27 (image 1). Le mail : "j'ai une ...
STRASBOURG, France : La faculté de chirurgie dentaire de Strasbourg a inauguré fin septembre une nouvelle unité de travaux pratiques équipée notamment ...
L’endodontie a énormément évolué au cours des dernières décennies. Toutefois, les principes fondamentaux du ...
BRUXELLES, Belgique : Les nouvelles recommandations sur les meilleures pratiques de gestion des aspects psycho-oncologiques du cancer de la tête et du...
L’intelligence artificielle (IA) offre aux cliniciens dentaires une multitude d’aides utiles, et les chercheurs ne cessent d’étendre les capacités ...
BRUXELLES, Belgique : La Fédération européenne de parodontologie (EFP) a annoncé une nouvelle directive visant à aider les professionnels de la santé ...
Webinaire en direct
jeu. le 14 mai 2026
à 18h00 (CET) Paris
Webinaire en direct
jeu. le 14 mai 2026
à 20h00 (CET) Paris
Prof. Hani Ounsi DDS PhD FICD
Webinaire en direct
mar. le 19 mai 2026
à 17h00 (CET) Paris
Webinaire en direct
mar. le 19 mai 2026
à 19h00 (CET) Paris
Prof. Dr. med. dent. Ivo Krejci
Webinaire en direct
mer. le 20 mai 2026
à 13h00 (CET) Paris
Dr. Graham Carmichael BDSc (Hons), DClinDent (Pros), FRACDS, Dr. Robert Gottlander DDS
Webinaire en direct
mer. le 20 mai 2026
à 15h00 (CET) Paris
Webinaire en direct
mer. le 20 mai 2026
à 19h00 (CET) Paris
Prof. Dr. med. dent. Tim Joda PhD, MSc, eMBA
To post a reply please login or register