Les perfectionnements techniques apportés aux scanners intraoraux et aux logiciels dentaires ont fait gagner beaucoup de terrain au flux de travail numérique au cours de ces dernières années. La numérisation a également mené à une meilleure communication entre les chirurgiens-dentistes et les prothésistes dentaires. On dispose aujourd’hui d’un protocole de conception numérique du sourire (DSD) qui permet de planifier la restauration esthétique de la symétrie faciale. Il ne contribue pas seulement à un meilleur échange entre les spécialistes, il améliore aussi les résultats du traitement auxquels on peut prétendre.1 La correction de la dimension verticale d'occlusion prend ici en compte le flux de travail entièrement numérique, l'intégration du scanner dentaire, la conception numérique du sourire et CAD/CAM.
Tout le processus peut être numérisé et venir à l’appui de l’ensemble du traitement de restauration. Une étape importante du protocole DSD en deux et trois dimensions est la documentation dynamique du sourire. Des informations vidéo facilitent et optimisent la documentation, les décisions du protocole DSD, l’analyse de la symétrie faciale, la planification du traitement, la communication entre l’équipe et la sensibilisation du patient.2 La conception numérique du sourire peut mener à l’élaboration d’un modèle diagnostique classique ou virtuel qui guidera la suite du traitement clinique, par exemple, la restauration produite par CAD/CAM.3–7 Une intervention restauratrice minimalement invasive plus simple devient possible en combinant une technique adhésive et des matériaux de restauration transmettant la lumière, tels que la céramique au disilicate de lithium,8–11 dont les propriétés sont comparables à celles des dents naturelles et permettent l’obtention de résultats très satisfaisants.12, 13
Les scanners intraoraux sont un précieux outil dans le flux de travail numérique. Ces dispositifs pratiques et maniables permettent de vérifier directement la qualité des empreintes et de communiquer aisément les modèles au laboratoire, et ce, en peu de temps et à moindre coût.14 La littérature ne contient pourtant que peu d’informations sur la capacité des scanners intraoraux à produire des empreintes de haute qualité.15–24
Un logiciel de conception assistée par ordinateur (CAD) est inestimable, car il assure la coordination des dispositifs totalement automatisés qui créent les objets et les ensembles dans un environnement virtuel.25
Cet article relate un cas clinique traité par un flux de travail entièrement numérique. Après une préparation mini-invasive, le protocole DSD et les facettes/couronnes monolithiques fabriquées en céramique au disilicate de lithium par un procédé CAD/CAM ont été utilisés pour corriger la perte de la dimension verticale d’occlusion (DVO), ainsi que les défauts esthétiques et les troubles de l’articulation temporomandibulaire (ATM).
Étude de cas
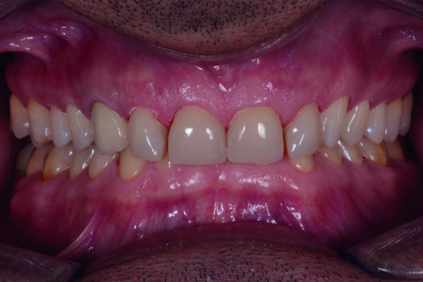
En 2015, un patient de 47 ans se présente au cabinet en raison d’une douleur au niveau de l’ATM. Il a également une préoccupation d’ordre esthétique, car une partie de la facette posée sur l’une des incisives centrales supérieures est fracturée (Figs. 1–3). L’analyse clinique et radiographique (Fig. 4) indique une perte de DVO et de substance dentaire dues au bruxisme.
Fig. 1 : Photographie intraorale avant le traitement, prise de face.
Fig. 2 : Photographie intraorale avant le traitement, vue occlusale du maxillaire.
Fig. 3 : Photographie intraorale avant le traitement, vue occlusale de la mandibule.
Fig. 4 : Situation initiale, radiographie panoramique (2015).
Fig. 5 : Protocole DSD : photographie du patient souriant, avec écarteur labial et jugal.
Fig. 6 : Mock-up de confirmation en résine bisacrylique (Structure 3).
Fig. 7 : Deux ans plus tard, avant le traitement (2017).
Fig. 8 : Aucune préparation des dents postérieures et seulement une préparation minimale des dents antérieures inférieures. Les dents 11-13 et 21-23 avaient déjà été préparées.
Fig. 9 : Planification DSD.
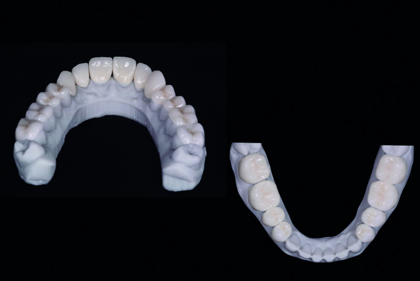
Fig. 10 : Les facettes et couronnes définitives préparées par un flux de travail numérique au moyen du logiciel de conception Ceramill Mind et fabriquées dans une unité d’usinage (Ceramill Motion 2) à partir de blocs de céramique au disilicate de lithium (VITABLOCS TriLuxe forte).
Figs. 11 et 12 : Les couronnes (11–13 et 21–23) et les facettes (14–17, 24–27, 31–37 et 41–47) sont collées sur les dents piliers avec une colle composite photopolymérisable (Futurabond U et Bifix QM).
Figs. 11 et 12 : Les couronnes (11–13 et 21–23) et les facettes (14–17, 24–27, 31–37 et 41–47) sont collées sur les dents piliers avec une colle composite photopolymérisable (Futurabond U et Bifix QM).
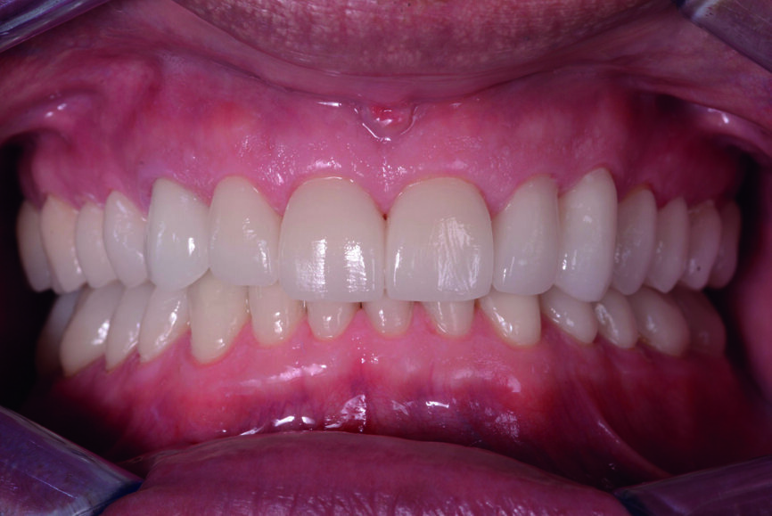
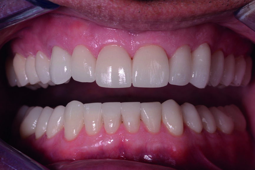
Figs. 13 et 14 : Photographies intraorales après le traitement.
Figs. 13 et 14 : Photographies intraorales après le traitement.
Fig. 15 : Radiographie panoramique à la fin du traitement.
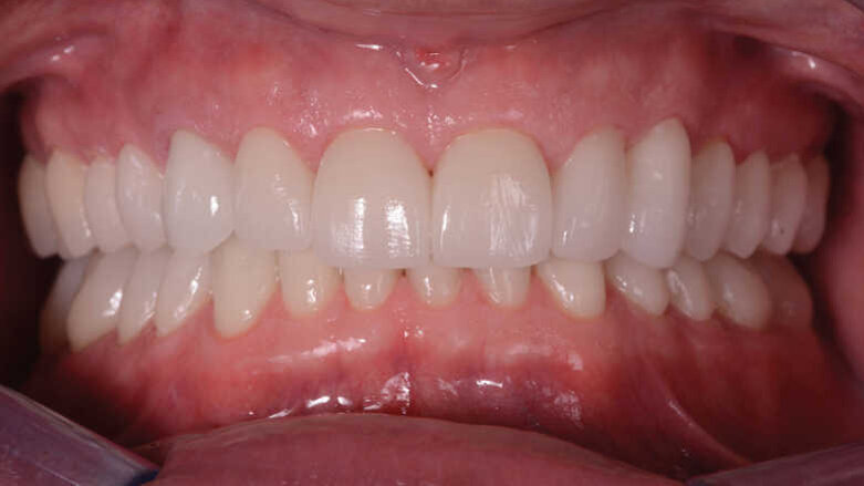
Figs. 16 et 17 : Photos de suivi en janvier 2021 montrant un résultat très stable sans aucun écaillage de la céramique et des avantages mécaniques constants mentionnés par le patient, tels que plus de céphalées de tension
Figs. 16 et 17 : Photos de suivi en janvier 2021 montrant un résultat très stable sans aucun écaillage de la céramique et des avantages mécaniques constants mentionnés par le patient, tels que plus de céphalées de tension
Un écarteur labial est mis en place pour prendre des photographies numériques intra orales de face, de profil et de l’occlusion. Quelques photographies sont également prises avec un appareil reflex mono-objectif numérique (de face, de profil et à 45°). Un scanner intraoral (Carestream 3500) est utilisé pour obtenir une empreinte diagnostique du maxillaire et de la mandibule. Grâce à l’examen intraoral du Carestream 3500, l’occlusion d’intercuspidie maximale (OIM) est déterminée et la nouvelle dimension verticale d’occlusion (DVO) est établie en ajustant la distance entre les deux mâchoires de l’articulateur virtuel dans le logiciel de conception et de fabrication assistées par ordinateur (CAD/CAM).
La documentation dynamique est réalisée selon le protocole DSD. Les vidéos sont enregistrées avec un smartphone sous quatre angles différents prédéfinis de façon à obtenir une symétrie faciale harmonieuse du sourire : une vidéo du visage souriant réalisée de face, avec et sans écarteur labial et jugal, une vidéo de profil, une vidéo prise du dessus (12 heures) et une vidéo de l’occlusion antérieure perpendiculaire au plan occlusal, sans miroir.
Quatre vidéos supplémentaires sont enregistrées aux fins de l’analyse fonctionnelle, structurale et faciale : consultation portant sur les attentes du patient, vidéo à 180° pour la composante phonétique, vidéo pour la composante fonctionnelle intraorale et vidéo pour la composante structurale intraorale avec écarteur labial et jugal (Fig. 5). Les données sont alors communiquées au laboratoire DSD. L’objectif principal du protocole DSD est de recréer les proportions correctes du sourire par une analyse des vidéos qui combine les images prises sous les trois angles (occlusal, de face et 12 heures) avec une échelle graduée numérique (cadre du sourire).
Le cadre du sourire est ensuite créé en plusieurs étapes tout en tenant compte de la symétrie faciale : arc facial numérique, morphologie et position de la ligne du sourire, largeur des dents déterminée au moyen de l’algorithme de la proportion dentaire esthétique récurrente (proportion RED - recurring esthetic dental proportion), profil du feston gingival, limite du vermillon et courbe de la mâchoire. Le logiciel CAD convertit les proportions 2D du sourire en un modèle numérique de simulation 3D. Le fichier 3D qui en résulte est transmis en format STL à une imprimante et celle-ci fabrique le modèle selon la nouvelle conception. Il est alors utilisé pour produire une matrice en résine bisacrylique (Structur 3, VOCO) qui servira de mock-up de confirmation (Fig. 6).
En effet, le nouveau modèle impose une augmentation de la dimension verticale (DV) et c’est pourquoi le patient doit porter le mock-up pendant deux semaines, car il doit s’assurer que la nouvelle DVO répond à ses attentes. Au bout de ce délai, l’essai de la fonction occlusale n’indique aucun problème de stabilité et le patient est satisfait du résultat. Il n’y a donc aucune raison de procéder à une « déprogrammation » de l’occlusion et de redéfinir la relation centrée. Le patient se sent parfaitement à l’aise avec cette nouvelle DV et ne ressent aucune douleur dans l’articulation temporomandibulaire. Le plan de traitement lui est présenté, mais à ce stade, le patient décide de ne pas poursuivre le traitement pour des raisons financières.
En 2017, le patient revient au cabinet pour terminer le traitement (Fig. 7), et une empreinte numérique intraorale est de nouveau réalisée (scanner Carestream 3600). Pour préparer les dents piliers, un second mock-up en résine bisacrylique (Structur 3, VOCO) est fabriqué dans une imprimante 3D (SolFlex, VOCO) à l’aide d’une matrice formée sous vide (V-Print Ortho, VOCO). Le travail est accompli par une technique minimalement invasive en fonction du mock-up (Fig. 8).
Les anciennes préparations des dents du second sextant ne sont pas modifiées. Aucune préparation n’est effectuée sur les dents postérieures supérieures (#14–17 et 24–27) et les dents postérieures inférieures (#34–37 et 44–47), les dents antérieures inférieures ne font l’objet que d’une préparation minimale. Une nouvelle empreinte numérique intraorale est prise. Les données sont communiquées au laboratoire DSD (Fig. 9) qui génère un fichier au format STL avec les modèles virtuels produits (Anatomic Lab). Ces modèles 3D (V-Print model, VOCO) sont élaborés dans une imprimante 3D (SolFlex 650, VOCO).
Les facettes et les couronnes définitives sont conçues numériquement par le logiciel de conception Ceramill Mind (Amann Girrbach) et produites dans une unité d’usinage (Ceramill Motion 2, Amann Girrbach) à partir de blocs de céramique au disilicate de lithium (VITABLOCS TriLuxe forte, fabriqués par VITA Zahnfabrik H. Rauter & Co. KG, et adaptés à l’usinage dans Ceramill Motion 2, Amann Girrbach; Fig. 10). Après une insertion d’essai pour confirmer la qualité du joint marginal et des propriétés optiques, un écarteur labial et jugal (OptraGate, Ivoclar Vivadent) est mis en place dans la bouche du patient.
Les dents piliers, les facettes et les couronnes en céramique sont préparées selon les recommandations du fabricant : la surface de la céramique est sablée avec des particules d’oxyde d’aluminium de 50 μm et mordancée durant 20 secondes à l’acide fluorhydrique à 5 %. Elle est ensuite rincée 20 secondes avant d’être traitée à l’acide phosphorique à 37 % (Total Etch, Ivoclar Vivadent) et à l’alcool à 96 % pour la nettoyer. Pour terminer, elle est conditionnée 20 secondes avec du silane (Monobond Plus, Ivoclar Vivadent).
Les couronnes (#11–13 et 21–23) et les facettes (#14–17, 24–27, 31–37 et 41–47) sont collées sur les dents piliers au moyen d’une colle composite photopolymérisable (Futurabond U et Bifix QM, VOCO). Un dispositif équipé d’une lampe LED à haute puissance (Celalux 3, VOCO) est utilisé pour la photopolymérisation (Figs. 11 et 12).
Après l’élimination de l’excès de colle composite, l’occlusion est adaptée et vérifiée à l’aide du système d’évaluation occlusale T-Scan (Tekscan). Une contention amovible en résine acrylique est utilisée pour protéger les restaurations définitives, et celles-ci sont vérifiées six mois plus tard. À ce moment, les restaurations sont toujours stables et ne présentent aucun signe de fracture (Figs. 13–15). Le patient déclare également qu’il n’a plu souffert de maux de tête grâce à cette nouvelle dimension verticale d’occlusion.
Conclusion
Les développements des technologies dentaires permettent la mise en œuvre d’un traitement entièrement numérisé qui peut résoudre efficacement des problèmes tels que la perte de dimension verticale d’occlusion. Toutefois, par rapport aux techniques classiques, des études cliniques supplémentaires sont nécessaires pour parvenir à des résultats fiables du flux de travail numérique dans le cas d’une perte de DVO. Il est également indispensable de vérifier la fonction des restaurations définitives sur le long terme.
Note de la rédaction : Cet article a été publié initialement dans le magazine cosmetic dentistry—beauty & science, volume 13 édition 1/2019. Une liste des références est disponible auprès de l’éditeur.
Mots-clés:
Avec Ceramill Direct Restoration Solution (DRS), Amann Girrbach amène le flux numérique intégré dans le cabinet dentaire et remédie ainsi au déficit ...
En dentisterie restauratrice et esthétique, les choix de traitements et matériaux pour la région antérieure sont multiples. Le protocole classique, qui ...
L’association parfaite de l’imagerie CBCT et des données prothétiques virtuelles crée la meilleure base possible pour la ...
Alors que la technologie CAD/CAM a longtemps été au cœur de la dentisterie numérique, l’émergence de l’intelligence artificielle (IA) redéfinit ce...
Les chirurgiens-dentistes vivent aujourd’hui une époque captivante où les avancées dans les matériaux, les techniques et les diagnostics offrent la ...
« Dans un laboratoire, chaque seconde compte », estime Lee Culp, prothésiste dentaire et gérant du laboratoire Sculpture Studios. Le besoin de rapidité...
DEXIS IOS Solutions développe son portefeuille et son écosystème grâce à de nouveaux flux de travail numériques complets. Les nouveaux flux de travail...
CHARLOTTE, États-Unis : CEREC sur DS Core simplifie les flux de travail au fauteuil pour les équipes qui débutent en dentisterie numérique. ...
Une femme de 38 ans est venue au cabinet dentaire, car elle se plaignait d’un inconfort dans la zone gauche supérieure. L’examen clinique a révélé ...
Pour chaque chirurgien-dentiste et technicien dentaire, la restauration physiologique correcte de l’occlusion relève d’un ...
Webinaire en direct
lun. le 19 janvier 2026
à 19h00 (CET) Paris
Philipp Kopp, Michael Seeber
Webinaire en direct
jeu. le 22 janvier 2026
à 15h00 (CET) Paris
Prof. Judith Jones D.D.S; M.P.H., Prof. Kakuhiro Fukai D.D.S., Ph.D, Dr. Bathsheba (Bethy) Turton
Webinaire en direct
jeu. le 22 janvier 2026
à 20h00 (CET) Paris
Dr. Nicola M. Grande DDS, PhD
Webinaire en direct
mer. le 28 janvier 2026
à 14h00 (CET) Paris
Webinaire en direct
mer. le 28 janvier 2026
à 17h00 (CET) Paris
Prof. Dr. Jan-Frederik Güth
Webinaire en direct
mer. le 28 janvier 2026
à 17h00 (CET) Paris
Dr. Algimante Lošytė – Jančė
Webinaire en direct
mer. le 28 janvier 2026
à 18h00 (CET) Paris
Le plan sagittal médian n’est pas respecté le patient va continuer à bruxer c’est dommage de ne pas en avoir profité pour aligner le haut et le bas !