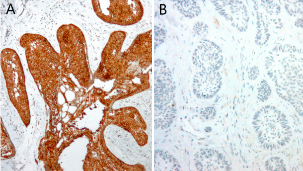
TURKU, Finlande : Une équipe de scientifiques finlandais a découvert une mutation génétique dans l’améloblastome, une tumeur bénigne de la mâchoire. Cette découverte pourrait améliorer considérablement le traitement, car il existe déjà un médicament pour cette mutation.
L’améloblastome est une tumeur odontogène, caractérisée par sa forte tendance à la récidive, même après le traitement. Elle est le plus souvent trouvée dans la région postérieure de la mandibule. Les améloblastomes sont traités par chirurgie, ce qui entraîne souvent des manques de tissu dans les mâchoires, et la perte de plusieurs dents. Une thérapie médicamenteuse appropriée peut diminuer le besoin d’une chirurgie et la récurrence de l’améloblastome ; cependant, trouver un tel traitement nécessite une meilleure compréhension de la pathogenèse de la tumeur.
Les chercheurs ont étudié la mutation qui cause l’améloblastome depuis des décennies, et l’ont découverte chez un patient vivant dans la partie orientale de la Finlande. L'équipe qui a fait la découverte comprend des chercheurs de l’University of Turku et de l’University of Eastern Finland. Selon les chercheurs principaux de l’étude, Klaus Elenius, professeur de biochimie médicale à l’University of Turku et Kristiina Heikinheimo, professeur de sciences du diagnostic buccal à l’University of Eastern Finland, la découverte est une percée scientifique, et d’autant plus importante puisqu’un médicament ciblé pour la mutation existe déjà, ayant des implications directes pour le traitement.
L'étude, intitulée « High frequency of BRAF V600E mutations in ameloblastoma », a été publiée dans le numéro de mars du Journal of Pathology.
COVENTRY, Royaume-Uni : Une femme de Coventry a craché une tumeur cancéreuse. Selon le rapport, Claire Osborn, 37 ans, a eu deux quintes de ...
Afin de discuter de l'avenir de la dentisterie, nous devons d'abord regarder l'histoire de l'utilisation du mercure en dentisterie. Le mercure porte le ...
BÂLE, Suisse : L’anatomie humaine ne cesse de nous surprendre : des chercheurs de l’université de Bâle ont découvert une partie jusqu’ici ignorée...
COLUMBUS, États-Unis : Un certain nombre d'études ont montré que les cellules souches du cancer sont très résistantes ...
Les chercheurs ont identifié le gène qui contrôle la production finale de l'émail dentaire, une avancée significative qui ...
MANCHESTER, Royaume-Uni: De nouveaux résultats publiés par des chercheurs dans le domaine du dentaire au Royaume-Uni, suggèrent que ...
L’implantologie est désormais une composante essentielle, voire une routine, de la restauration dentaire et le traitement le plus fiable dont dispose la ...
Une équipe internationale de chercheurs a découvert une nouvelle espèce d’hominine, Homo luzonensis identifiée grâce à des fossiles datés de 50 à ...
LONDON, Royaume-Uni : Des recherches antérieures ont montré que la combinaison de cellules épithéliales et mésenchymateuses dentaires pouvait donner ...
LOS ANGELES, États-Unis : Des chercheurs de l'Université de Californie du Sud (USC) et des collaborateurs de l'Université de Californie à Los Angeles ...
Webinaire en direct
jeu. le 14 mai 2026
à 18h00 (CET) Paris
Webinaire en direct
jeu. le 14 mai 2026
à 20h00 (CET) Paris
Prof. Hani Ounsi DDS PhD FICD
Webinaire en direct
mar. le 19 mai 2026
à 17h00 (CET) Paris
Webinaire en direct
mar. le 19 mai 2026
à 19h00 (CET) Paris
Prof. Dr. med. dent. Ivo Krejci
Webinaire en direct
mer. le 20 mai 2026
à 13h00 (CET) Paris
Dr. Graham Carmichael BDSc (Hons), DClinDent (Pros), FRACDS, Dr. Robert Gottlander DDS
Webinaire en direct
mer. le 20 mai 2026
à 15h00 (CET) Paris
Webinaire en direct
mer. le 20 mai 2026
à 19h00 (CET) Paris
Prof. Dr. med. dent. Tim Joda PhD, MSc, eMBA
To post a reply please login or register