L’implantologie est désormais une composante essentielle, voire une routine, de la restauration dentaire et le traitement le plus fiable dont dispose la discipline dans ses efforts de restitution ad integrum. Dans la dentisterie moderne, les restaurations sur implants sont considérées comme les meilleures options de traitement et les plus ordinaires aussi. Toutefois, chez les patients atteints de tumeurs malignes de la cavité buccale, les traitements chirurgicaux lourds et la radiothérapie adjuvante occasionnent des changements fondamentaux de l’anatomie de la cavité buccale.
Dans une mâchoire qui a été exposée aux rayons, une prothèse totalement à appui muqueux n’est pas indiquée, en raison de la xérostomie et du risque de nécrose du tissu osseux irradié. Le seul moyen pratique d’éviter les contraintes sur la muqueuse est la pose d’implants dentaires suivie de la mise en place d’une prothèse fixe implant portée.1, 2
Habituellement, la détermination de la position, de la dimension, du nombre, de la direction et de la mise en place des implants reposait sur l’imagerie diagnostique préopératoire, qui était limitée aux radiographies en deux dimensions et aux guides radiologiques. L’imagerie en trois dimensions (3D) et les aides à la navigation offrent aujourd’hui à l’implantologue plus de certitude et de nouvelles options, particulièrement dans les cas à haut risque tels que les patients présentant une atrophie extrême de la crête alvéolaire ou les patients atteints de tumeurs malignes de la cavité buccale.
L’imagerie 3D a permis à l’implantologie de faire un grand pas en avant. Le chirurgien-dentiste est maintenant en mesure d’élaborer le traitement chirurgical virtuel à l’aide de programmes de planification 3D,5–7 principalement grâce à l’amélioration constante de programmes spécifiques de planification implantaire, tels qu’un logiciel de visualisation pour imagerie tomo-densitométrique (CTV).
Grâce à la navigation implantaire, il est possible de traverser la crête alvéolaire, de localiser les structures et d’évaluer le tissu osseux existant dans tous les plans. Les données acquises par l’ordinateur permettent de déterminer la longueur, l’inclinaison, le diamètre et la position idéale des implants.1–4 Une condition essentielle à la navigation implantaire est l’utilisation de techniques d’imagerie adéquates, particulièrement la technologie radiographique en 3D que représente la tomodensitométrie à faisceau conique (CBCT) ; Tableau 1.6–8 Cette méthode moderne de diagnostic en 3D permet une planification chirurgicale précise de l’implantation, tout en tenant compte des aspects prosthétiques.
Tableau 1 : Comparaison de l’exposition aux rayonnements de diverses techniques et systèmes.
La navigation implantaire offre plusieurs avantages :7–9
– Guidage précis des fraises pour ostéotomie grâce au positionnement sur et reproductible du gabarit, qui aide le chirurgien à définir la position et l’angulation exactes pour placer l’implant d’après le plan de traitement virtuel.
– Réalisation d’une chirurgie sans lambeau, minimalement invasive, et évite ainsi une exposition inutile du tissu osseux, ce qui occasionne moins de saignements, moins d’œdèmes et contribue a un temps de cicatrisation plus court et à une réduction de la douleur postopératoire.
– Faible distorsion et analyse précise des radiographies et meilleure courbe d’apprentissage pour l’équipe du chirurgien-dentiste, du chirurgien et du prothésiste dentaire.
– Sécurité accrue des patients et du chirurgien-dentiste grâce à la planification 3D, particulièrement dans les cas de pathologies complexes des maxillaires ou de faible volume osseux. Le risque de complications postopératoires est significativement réduit.
– Planification virtuelle qui offre les conditions permettant d’augmenter sensiblement la précision de la pose des implants et la prévention des structures vitales, puis de la restauration prothétique de la fonction masticatoire.
– Durée d’intervention significativement plus courte.
La chirurgie implantaire assistée par ordinateur n’est cependant pas dépourvue de risques. La navigation implantaire comporte également certains inconvénients et limitations dont il faut tenir compte :10–12
– Problèmes de mise en place de la clé de positionnement dans les mâchoires édentées et de fixation imprécise du guide chirurgical, qui mènent à un déplacement pendant la chirurgie.
– Fracture du guide chirurgical.
– Dépendance entre le système de guidage et le logiciel, et le plus souvent, complexité de la courbe d’apprentissage de l’équipe du chirurgien-dentiste, du chirurgien et du prothésiste dentaire.
– Cas de limitation d’ouverture de la bouche qui peuvent donner lieu à une modification du positionnement des instruments chirurgicaux.
– Coût total plus élevé des instruments/ outils nécessaires, notamment logiciel et guides chirurgicaux, par rapport au cout des techniques traditionnelles.
– Impossibilité d’une modification peropératoire de la position des implants.
En implantologie assistée par ordinateur, la méthode de traitement est très précise, mais pour parvenir à sa réussite et a un résultat final prédictible, une planification en amont est essentielle car elle permet l’alignement des implants dans l’arcade, contribue à la prédictibilité du traitement, et favorise le respect des principes esthétiques et biomécaniques.11–13 La planification en amont d’un traitement implantaire assisté par ordinateur comprend les étapes suivantes :
Empreinte et fabrication du modèle.
Planification de la restauration prothétique.
Préparation d’un guide radiologique au moyen de trois billes de référence (aluminium, diamètre de 2 mm ; Fig. 1).
TDM/CBCT du patient chez qui le guide radiologique a été mis en place.
Lecture des données radiographiques dans le système CTV et planification virtuelle de l’implantation.
Transfert des données de planification au gabarit de forage.
Pose d’implants guidée.
Étude de cas
Dans cette section de l’article, nous présentons deux cas cliniques de restauration prothétique chez un patient présentant une atrophie extrême de la crête alvéolaire et un patient atteint d’une tumeur ayant subi une greffe osseuse prélevée au niveau de la crête iliaque, et un traitement implantaire assisté par ordinateur faisant appel au système d’implants Guide CAMLOG. L’article décrit la planification préopératoire, les phases de l’intervention et la cicatrisation de la lésion postopératoire des patients. L’étude a été menée au service de chirurgie buccale et maxillo-faciale de l’hôpital St. Lukas de Solingen, en Allemagne. Les patients concernés se sont présentés dans notre service pour une restauration implantaire après une résection chirurgicale et une radiothérapie, et avant l’augmentation de la crête alvéolaire mandibulaire extrêmement atrophiée par un greffon osseux prélevé au niveau de la crête iliaque. L’insertion des implants a été réalisée après une imagerie CBCT et la planification virtuelle de l’implantation a l’aide du logiciel CTV.
Cas 1
Une patiente âgée de 67 ans a été adressée à notre service pour une restauration implantaire. Son état de santé général était bon et elle présentait un édentement complet du maxillaire et un édentement partiel de la mandibule. L’examen clinique initial et l’imagerie CBCT ont montré une perte osseuse considérable dans les dimensions verticales et horizontales au niveau des sites dentaires 34 à 37 et 44 à 47, découlant d’un processus progressif de résorption. Après le diagnostic et le plan de traitement définitifs, nous avons examiné les options possibles de restauration et les autres solutions.
La patiente n’était pas satisfaite de sa prothèse amovible mandibulaire et souhaitait une prothèse fixe. Afin de permettre un traitement par des constructions de bridges sur implants en titane ostéo-intégrés, une greffe osseuse était nécessaire dans les zones édentées de la mandibule. La patiente a été clairement informée des risques et des dangers potentiels concernant les aspects fonctionnels et esthétiques, pendant et après la période du traitement. Les étapes du traitement lui ont été expliquées. Cinq mois après la reconstruction de la crête alvéolaire par de l’os de crête iliaque (Fig. 2), nous étions en mesure de poursuivre le plan de traitement qui comprenait la planification prothétique préopératoire et la navigation implantaire.
Fig. 1 : Guide radiologique avec trois billes de référence.
Fig. 2 : Tomographie panoramique dentaire après chirurgie d’augmentation par une greffe osseuse de crête iliaque.
Fig. 3 : Coupe sagittale au niveau du site implantaire 46 planifié.
Fig. 4 : Tomographie panoramique dentaire virtuelle montrant les positions des implants définies numériquement en 3D.
Fig. 5 : Gabarit de forage totalement « navigué » pour la mandibule après planification CBCT.
Fig. 6 : Vue préopératoire de la mandibule.
Fig. 7 : Insertion du gabarit dans la mandibule.
Fig. 8 : Forage guidé à travers le manchon de forage selon le protocole chirurgical.
Fig. 9 : Insertion manuelle des implants guidés au moyen de la clé dynamométrique verrouillée.
Fig. 10 : Tous les implants guidés in situ avec façonneurs gingivaux.
Fig. 11 : Tomographie panoramique dentaire du patient après la chirurgie aux fins du contrôle de la position des implants.
Après une prise d’empreintes, un montage en cire diagnostique a été préparé. Ce montage en cire esthétique a permis de spécifier la forme de la préparation de la restauration provisoire et de la restauration définitive ainsi que de planifier l’implantation.
La planification virtuelle a suivi. Le guide radiologique, nécessaire pour l’imagerie CBCT, a été préparé sur une réplique du maître modèle au moyen d’un matériau pour empreinte photo polymérisable et trois billes radiologiques en aluminium y ont été insérées (Fig. 1). L’utilisation des trois billes accroit la précision de la planification car dans cette technique, l’ajustement est réalisé en fonction des points médians des billes et pas des bords. Une imagerie CBCT de la patiente portant le guide radiologique a été réalisée et l’ensemble de données obtenu de cette imagerie a constitué la base de la planification implantaire.
L’implantation transgingivale minimalement invasive a été planifiée à l’aide de l’ensemble de données 3D et du logiciel CTV.
Les conditions anatomiques devaient permettre la pose d’au moins quatre implants dans une position idéale pour la restauration prothétique (Fig. 3). Une fois qu’implant avait été planifié, il était aisé de voir l’os cortical vestibulaire et lingual.
Apres l’analyse du volume osseux, les implants ont été planifiés sur la face linguale, et la plateforme de l’implant a été virtuellement positionnée à hauteur de la partie coronaire de la crête alvéolaire vestibulaire (Fig. 4). La caractéristique principale de la fabrication du guide chirurgical est le positionnement sur et la fixation stable des manchons de forage dans le guide. Pour obtenir le gabarit de forage, les manchons de forage ont été mis en place sur les modèles en plastique fabriqués au moyen d’un procédé additif (Fig. 5).
Le traitement chirurgical a été réalisé sous anesthésie locale par Ultracain D-S forte 1 : 100 000. Un antibiotique (cefuroxime 500 mg) a été administré une heure avant la chirurgie puis deux fois par jour pendant six jours. La patiente s’est rincé la bouche avec une solution à base de gluconate de chlorhexidine (0,2 %) pendant une minute avant l’intervention (Fig. 6).
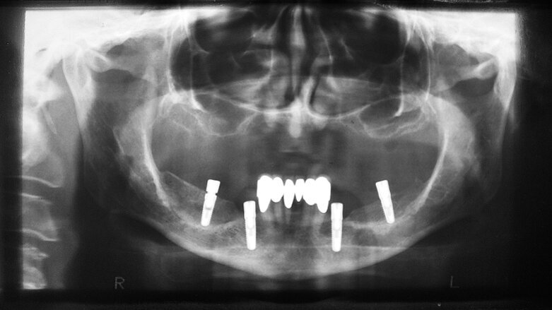
Le guide chirurgical a été correctement positionné dans la cavité buccale par rapport à l’arcade antagoniste. Une attention particulière a été apportée à la mise en place du guide chirurgical (Fig. 7). Après son positionnement correct et sa stabilisation, la chirurgie implantaire sans lambeau a été réalisée conformément au protocole de forage établi pour le type d’implant utilise (Fig. 8). Deux implants CAMLOG de 4,3 mm de diamètre et 13,0 mm de longueur ont été insères selon une technique totalement guidée au niveau des sites dentaires 34 et 44, et des implants de 4,3 mm de diamètre et de 11,0 mm de longueur au niveau des sites dentaires 36 et 46.
Deux petits lambeaux de pleine épaisseur ont également été décollés afin d’éliminer la vis d’ostéosynthèse utilisée pour stabiliser la greffe osseuse autologue de la chirurgie d’augmentation précédente (Fig. 9). L’insertion des implants a été réalisée à l’aide d’une clé à cliquet DRM et d’une douille standard, avec un couple de serrage prédéfini de 35–45 Ncm, afin de parvenir à une stabilité primaire maximale. Les façonneurs gingivaux ont été insérés avec un couple de serrage de 20 Ncm (Fig. 10) et, après l’insertion des implants, les lambeaux ont été suturés au moyen de fils non résorbables (Prolene 5/0). Les sutures ont été retirées après sept jours. Une tomographie panoramique dentaire postopératoire a permis de visualiser les implants insérés dans la mandibule. Les zones d’augmentation osseuse étaient également clairement reconnaissables sur les deux cotés (Fig. 11).
Apres l’intervention, il a été conseillé à la patiente de rafraichir et de protéger la zone opérée ; un bain de bouche à base de gluconate de chlorhexidine (0,2 %) a été prescrit, à utiliser une minute deux fois par jour pendant deux semaines après la chirurgie, ainsi que des analgésiques si cela était nécessaire.
La patiente a également reçu des conseils sur l’hygiène bucco-dentaire. Les visites prévues après la chirurgie ont été fixées à une semaine, deux semaines et un mois. Ces visites ont montré un processus de cicatrisation excellent et indolore. La restauration prothétique définitive a été prévue quatre mois après l’implantation.
Cas 2
Un patient âgé de 75 ans a été adressé à notre service pour un examen dentaire et une restauration implantaire. En 2011, ce patient avait reçu un diagnostic de carcinome épidermoïde affectant le côté droit de l’amygdale. Après la résection de la tumeur, un curage ganglionnaire cervical et une radiothérapie adjuvante à une dose maximale de 65 Gy, le patient était passé dans la phase de suivi des soins antitumoraux ambulatoires car, après la résection, la tumeur était imperceptible et sans signes de récidive.
En raison de la chirurgie tumorale antérieure, l’anatomie de la cavité buccale s’était fondamentalement modifiée : en raison d’une xérostomie et de la survenue de caries induites par les rayons en 2013, toutes les dents encore présentes dans les deux arcades avaient dû être extraites. L’examen clinique initial réalisé dans notre service a montré deux arcades totalement édentées, avec perte du goût et xérostomie.
Figs. 12a et b : Tomographie panoramique dentaire virtuelle montrant les positions des implants numériquement définies en 3D dans le maxillaire (a) et la mandibule (b).
Figs. 12a et b : Tomographie panoramique dentaire virtuelle montrant les positions des implants numériquement définies en 3D dans le maxillaire (a) et la mandibule (b).
Fig. 13 : Gabarit de forage totalement « navigués » après planification CBCT.
Fig. 14 : Insertion du gabarit dans la mandibule.
Fig. 15 : Mandibule perforée et préparée.
Fig. 16 : Pose des implants.
Fig. 17 : Insertion manuelle de l’implant CAMLOG au moyen de la clé dynamométrique verrouillée.
Fig. 18 : Tous les implants CAMLOG guidés dans la mandibule.
19 : Résultat de l’implantation avec tous les implants in situ.
Fig. 20 : Tomographie panoramique dentaire du patient aux fins du contrôle du résultat final.
La radiographie panoramique dentaire a révélé une perte osseuse d’environ dix pour cent dans la dimension verticale et de quinze pour cent dans la dimension horizontale dans le maxillaire et la mandibule. Après le diagnostic définitif et la planification, nous avons examiné les options de restauration possibles et les autres solutions. La mâchoire ayant été exposée aux rayons, une prothèse totalement a appui muqueux n’était pas indiquée, et la présence de la xérostomie ne garantissait pas une maintenance convenable d’une telle prothèse. Par conséquent, la seule solution médicale raisonnable et pratique était la pose d’implants dentaires, six dans le maxillaire et six dans la mandibule, suivie de la mise en place d’une prothèse fixe implanto-portée.
Après la prise des empreintes dans votre service, les maîtres-modèles ont été fabriqués au laboratoire dentaire dans un porte empreinte et un montage en cire diagnostique a été élaboré et personnalisé d’après les évaluations de l’esthétique et de la fonction.
Le patient a été préparé pour le traitement implantaire guide par ordinateur. Une imagerie CBCT du patient portant le guide radiologique a été réalisée et les images DICOM acquises ont été traitées à l’aide du logiciel CTV. La planification effectuée avec ce logiciel a produit un rapport dans lequel les coordonnées de chacun des trois points médians des billes étaient définies et le prothésiste a donc pu orienter et reproduire le guide chirurgical (Figs. 12a et b). Les gabarits de forage ont été élaborés sur une réplique du maître-modèle à l’aide d’une technique de thermoformage. Par la suite, les manchons de forage ainsi que leurs douilles ont été incorporés dans le gabarit de forage constitue du modèle en plastique fabrique au moyen du procédé additif. La base transparente du gabarit a permis une évaluation peropératoire de la position de ce gabarit sur le tégument grâce à l’ischémie uniforme causée par la pression de contact pendant l’implantation (Fig. 13).
Le traitement chirurgical a été réalisé sous anesthésie locale par Ultracain D-S forte 1 : 100 000. Un antibiotique (cefuroxime 500 mg) a été administré une heure avant la chirurgie puis deux fois par jour pendant six jours. Le patient s’est rincé la bouche avec une solution à base de gluconate de chlorhexidine (0,2 %) pendant une minute avant l’intervention. Après une anesthésie par infiltration dans le maxillaire et la mandibule, et une anesthésie tronculaire bilatérale dans la mandibule et le palais supérieur, le guide chirurgical a été soigneusement mis en place et stabilisé dans la mandibule.
Dans la mandibule, la muqueuse a été perforée avec un emporte-pièce rotatif au niveau des sites dentaires 36, 34, 32, 42, 44 et 46 (Fig. 14). Après le retrait du gabarit, les endroits de la gencive marques a l’aide de l’emporte-pièce ont été incises davantage et les bouchons de gencive découpée éliminés, afin d’obtenir une mandibule perforée et préparée (Fig. 15). Ensuite, le gabarit de forage a été remis en place. Des forêts à cannelures droites (foret-guide de 6 mm ; forets de mise en forme de 9, 11 et 13 mm) ont été utilisés pour préparer les ostéotomies implantaires au niveau des sites dentaires 36, 34, 32, 42, 44 et 46, conformément aux instructions du fabricant (Fig. 16).
L’insertion des implants a été réalisée à l’aide de la clé à cliquet DRM et de la douille standard, avec un couple de serrage d’environ 35–45 Ncm, afin de parvenir à une stabilité primaire maximale (Fig. 17). Par la suite, les tenons pour navigation implantaire et le guide chirurgical ont été retirés du maxillaire pour y insérer les façonneurs gingivaux, avec un couple de serrage de 25 Ncm (Figs. 18 et 19). Une technique similaire a été utilisée pour la préparation des lits implantaires et l’insertion des implants dans la mandibule, ou six implants CAMLOG de 4,3 mm in diamètre et de 11,0 mm de longueur ont été insérés sous guidage total dans les sites dentaires 15, 14, 12, 22, 24 et 25. Une tomographie panoramique dentaire postopératoire a permis de visualiser les implants insérés dans le maxillaire et la mandibule (Fig. 20).
Après l’intervention, il a été conseillé au patient de rafraichir et de protéger la zone opérée ; un bain de bouche à base de gluconate de chlorhexidine (0,2 %) a été prescrit, à utiliser une minute deux fois par jour pendant deux semaines après la chirurgie, ainsi que des analgésiques si cela était nécessaire.
Le patient a été inclus dans notre programme de maintenance implantaire et a reçu des conseils sur l’hygiène bucco-dentaire. Les visites prévues après la chirurgie ont été fixées à une semaine, deux semaines et un mois. Ces visites ont montré un processus de cicatrisation excellent et indolore. La restauration prothétique définitive a été prévue cinq mois après l’implantation.
Discussion et conclusion
Les progrès réalisés dans le domaine de l’implantologie, tels que l’imagerie 3D, les logiciels de planification implantaire, la technologie CFAO et la navigation implantaire guidée par ordinateur, ont mené à la numérisation de l’implantologie et ont fait franchir une étape importante à la dentisterie prothétique implantaire. Grâce aux réussites appréciables qui ont marqué l’implantologie numérique, la pose d’implants est désormais hautement prédictible, même chez les patients pour qui une chirurgie implantaire était contre-indiquée auparavant.6, 7, 14
Les méthodes diagnostiques 3D modernes offrent la possibilité de planifier précisément les phases chirurgicales de l’implantation, y compris les aspects prothétiques. Cette réussite est principalement due aux améliorations continues des programmes de planification implantaire tels que le logiciel CTV. Ce dernier est utilisé pour visualiser les données d’images numériques qui permettent l’établissement du diagnostic et une planification rigoureuse orientée vers le traitement implantaire, suivie de la mise en place guidée des implants.8, 13, 14
En conclusion, la navigation implantaire moderne repose sur une connaissance systématique rationnelle des aspects prothétiques et chirurgicaux. Elle peut optimiser les traitements implantaires et parvenir au résultat souhaite en toute sécurité, mais elle ne pourra jamais compenser le manque de savoir et de compétence chirurgicale du praticien.11, 12, 14
loannis Papadimitriou Hôpital St. Lukas Service de chirurgie buccale et maxillo-faciale Schwanenstraße 132 42697 Solingen, Allemagne
CHENGDU, Chine : Le développement des racines dentaires dépend de voies de communication cellulaire précises. Des chercheurs chinois ont montré comment ...
SAINT-BONNET-LES-OULES, France : Un saignement au brossage, un léger gonflement ou une sensibilité gingivale peuvent sembler anodins. Pourtant, selon le ...