Selon Lambrianidis, il est assez courant de trouver des corps étrangers dans les canaux radiculaires, tels que des fragments d’instruments endodontiques (fragments d’inserts ultrasoniques et fragments d’aiguilles d’irrigation). Ces fragments compromettent les procédures de nettoyage et de mise en forme, et sont donc susceptibles d’influer sur le résultat des traitements.1 Leur présence est largement attribuable à des erreurs iatrogènes et la fracture d’un instrument lors d’un traitement ou d’un retraitement canalaire est toujours un événement indésirable et problématique qui perturbe les praticiens comme les patients.
Les fragments d’instruments endodontiques sont les corps étrangers les plus fréquemment découverts dans les canaux radiculaires ; une synthèse de la littérature a montré un taux de prévalence d’instruments fracturés de 0,7 % à 7,4 % dans les dents traitées endodontiquement.1, 2 Ce type d’accident peut se produire même chez les cliniciens expérimentés qui prennent les mesures préventives les plus strictes, et il concerne tant les dents antérieures que les dents postérieures, avec cependant une fréquence plus élevée dans les molaires, similaire dans les deux arcades.1 La majorité des fractures d’instrument se produit dans le tiers apical du canal radiculaire.3 Selon une étude réalisée entre 2000 et 2004 dans le cadre du programme de 3e cycle en endodontie de l’université de Pennsylvanie, Philadelphie, États-Unis, le tiers apical du canal radiculaire est exposé à un risque de fracture de lime trente-trois fois plus élevé que le tiers coronaire, et six fois plus élevé que le tiers moyen.4
Plusieurs facteurs causals étaient impliqués dans la défaillance des instruments endodontiques et ils ont été classés en quatre catégories principales, à savoir, praticien, anatomie, instrument et technique/utilisation :1
– Praticien : savoir-faire, connaissance, jugement.
– Anatomie : cavité d’accès, anatomie du canal radiculaire.
– Instrument : matériau, modèle, processus et erreurs de fabrication.
– Technique/utilisation : paramètres de fonctionnement du moteur endodontique, technique d’instrumentation, réutilisation et stérilisation, solutions d’irrigation.
La prise en charge endodontique en présence d’un instrument fracturé dans le canal radiculaire est un processus complexe qui requiert formation, expérience et connaissance des moyens utilisables. La technique est chronophage, délicate, très souvent génératrice d’anxiété chez le clinicien et chez le patient, et ses taux de réussite sont variables.1 Selon Lambrianidis, la meilleure façon de gérer le problème de fragments instrumentaux durant le traitement endodontique est le retrait de ces fragments pour parvenir à un débridement et un scellement suffisant du système canalaire.1
Actuellement, il n’existe aucun protocole standardisé sur la manière de retirer sans risque et toujours efficacement des fragments d’instrument. Dans chaque cas, les chances de réussite doivent être soupesées, par rapport aux complications potentielles. Quatre options de prise en charge sont généralement envisagées :
- Aucune intervention.
- Intervention non chirurgicale.
- Intervention chirurgicale, et
- Extraction de la dent.1
Lorsque le clinicien décide d’une prise en charge clinique en présence d’un instrument fracturé, il ne doit pas oublier que toutes les procédures comportent un risque d’erreur supplémentaire, susceptible de compromettre davantage le pronostic de la dent. Il doit donc réévaluer en permanence la progression du traitement et envisager d’autres actes si cela est nécessaire. Il y a lieu de respecter une démarche précise avant la prise de toute décision et, en particulier la tentative de retrait du fragment. Pour commencer, le patient doit être informé du problème, des actes nécessaires à sa résolution, des autres modalités de traitement envisageables, et enfin de l’incidence que cette erreur iatrogène et toutes les options de traitement envisagées peuvent avoir sur le pronostic.1
Le clinicien doit évaluer la position du fragment, car cette information est fondamentale pour prendre la décision de traiter et estimer les risques associés. Le type d’instrument fracturé et sa taille sont d’autres facteurs dont il faut tenir compte. Ils peuvent dicter l’approche ou la technique que le clinicien doit adopter pour aborder les difficultés de cette situation clinique.
Divers procédés et instruments, le plus souvent utilisés en combinaison, ont été proposés pour le retrait de fragments. Il semble que les avancées technologiques réalisées dans le domaine des dispositifs de grossissement, en particulier le microscope dentaire opératoire, jouent un rôle déterminant dans la réussite du traitement, puisque ce type de dispositif et la lumière améliorent la visibilité et permettent aux cliniciens de distinguer le segment coronaire de la plupart des instruments fracturés. Le microscope, associé à l’échographie et à des techniques mécaniques sophistiquées de récupération de corps étrangers dans le canal radiculaire, contribue à la sécurité et à une meilleure efficacité.1 L’étude de cas présentée dans cet article propose quelques conseils très utiles sur l’approche clinique des cas d’instruments fracturés.
Étude de cas
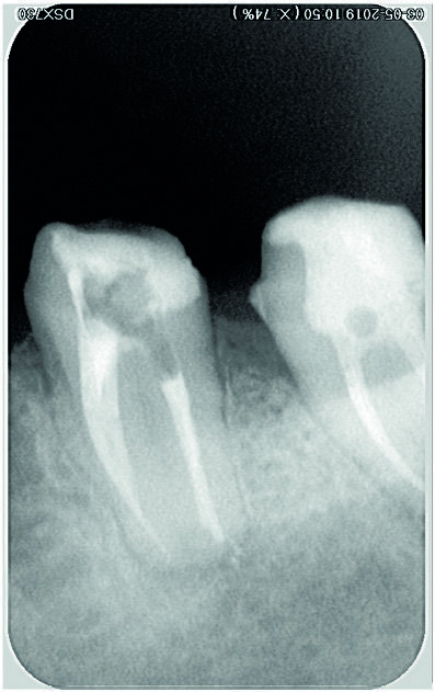
Une femme de 44 ans, sans antécédents médicaux particuliers, nous est adressée pour le retraitement endodontique de sa première molaire inférieure gauche qui cause une douleur depuis une semaine. La dent est très sensible à la percussion, ne présente aucune mobilité, et le résultat du sondage parodontal se situe dans les limites physiologiques. Une première radiographie est prise (Fig. 1). Elle montre trois fragments d’instruments fracturés demeurés dans deux canaux (mésial et distal) après le traitement endodontique précédent, ainsi que des signes d’une pathologie péri-apicale. Les résultats des examens cliniques et radiographiques conduisent à un diagnostic de parodontite apicale symptomatique de la dent déjà traitée et suggèrent la nécessité d’un retraitement.
Une anesthésie locale est réalisée, la dent est isolée avec une digue et la cavité d’accès est préparée. L’obturation en gutta-percha située en coronaire du fragment est éliminée au moyen d’une pièce à main sonique (SONICflex 2003 L, KaVo) et de limes Micro Type D (MANI), sous examen microscopique direct (Fig. 2). Ensuite, une plate-forme de travail périphérique est préparée au niveau de l’extrémité coronaire du fragment. Pour ce faire, une fraise Gates–Glidden modifiée de taille 3 (MANI ; Fig. 3) est utilisée à basse vitesse de rotation de 300 trs/min et dirigée apicalement jusqu’à entrer en contact avec le fragment instrumental fracturé. La procédure est réalisée dans chaque canal (Figs. 4 et 5). La plate-forme doit être légèrement plus large que le diamètre coronaire du fragment (Fig. 6). Un espace est créé autour du fragment au moyen d’une pièce à main sonique (SONICflex Quick 2008 L, KaVo) munie d’un insert Endo Clean de taille 25 (portion coronaire exposée sur 2 mm). Au cours de cette étape, le même insert est utilisé pour émousser la partie active (lames) de l’instrument fracturé, afin d’éviter d’endommager la boucle du fil métallique (Figs. 7a et b) qui servira de lasso.
Fig. 1 : Radiographie initiale.
Fig. 2 : Lime Micro Type D à utiliser avec SONICflex 2003 L et adaptateur OSADA.
Fig. 3 : Fraise Gates–Glidden modifiée de taille 3 (modification d’une fraise Gates–Glidden avec une fraise à pointe diamantée).
Fig. 4 : Création d’une plate-forme de travail avec une fraise Gates–Glidden modifiée de taille 3.
Fig. 5 : Radiographie après retrait de la partie coronaire de gutta-percha et création d’une plate-forme de travail
Fig. 6 : Représentation schématique d’une plate-forme de travail.
Figs. 7a et b : Création d’un espace autour du segment coronaire de l’instrument fracturé avec SONICflex Quick 2008 L muni d’un insert Endo Clean de taille 25.
Figs. 7a et b : Création d’un espace autour du segment coronaire de l’instrument fracturé avec SONICflex Quick 2008 L muni d’un insert Endo Clean de taille 25.
Fig. 8 : Mise en place du dispositif de lasso EndoCowboy autour du segment coronaire du fragment.
Fig. 9 : Fragment retiré encore attaché à la boucle du fil métallique
Figs. 10–12 : Fragment retiré
Figs. 10–12 : Fragment retiré
Figs. 10–12 : Fragment retiré
Fig. 13 : Radiographie après retrait du fragment.
Fig. 14 : Obturation avec un ciment de scellement biocéramique.
Figs. 15 et 16 : Radiographie après obturation.
Figs. 15 et 16 : Radiographie après obturation.
Fig. 17 : Radiographie prise lors du suivi à neuf mois.
Le système de lasso choisi est le dispositif EndoCowboy en raison des caractéristiques et de la résistance du fil (fil de 0,1 mm en acier inoxydable étiré ayant une excellente résistance à la rupture, et tube de 0,4 mm ; Köhrer Medical Engineering). Conformément aux instructions du fabricant (Figs. 8 et 9), le dispositif est manipulé par deux praticiens travaillant en commun — l’un étant chargé d’observer au microscope la position de la boucle du lasso autour du fragment fracturé, et l’autre de manipuler le dispositif (serrage du lasso autour du fragment. Après avoir solidarisé le fragment et la boucle, l’ensemble est alors retiré par de légers mouvements de va-et-vient verticaux (Figs. 10–13). Tous les canaux sont instrumentés avec des limes D-Finder de taille 8, 10, 12 et 15 (MANI) pour obtenir manuellement une trajectoire de glissement (glide path). Le nettoyage et la mise en forme de tous les canaux radiculaires sont réalisés à l’aide de limes Silk (MANI) de taille croissante (jusqu’à 25/0.06) et du moteur endodontique Tri Auto ZX2 (Morita). Un protocole d’irrigation à l’hypochlorite de sodium à 5,25 % est assuré tout au long du traitement. L’irrigation finale est accomplie avec une solution d’EDTA à 17 % et d’hypochlorite de sodium à 5,25 %, activée par une technique manuelle d’activation dynamique. La technique de condensation hydraulique est utilisée pour réaliser l’obturation avec des cônes de gutta-percha à 4 % et le ciment de scellement BioRoot RCS (Septodont) (Figs. 14–16). La cavité pulpaire est scellée au moyen d’un ciment verre ionomère modifié par adjonction de résine, Ionoseal (VOCO), et une restauration provisoire est préparée.
La patiente avait été adressée à notre cabinet dentaire pour une restauration coronaire définitive. Lors de la visite de suivi six mois après, la dent s’est révélée asymptomatique (Fig. 17).
Discussion
La fracture intra-canalaire de limes endodontiques éventuellement accompagnée d’une retenue de fragments dans le canal radiculaire, est une complication indésirable bien connue dans la pratique quotidienne de tout cabinet dentaire. Le retrait de fragments est une tâche chronophage, techniquement difficile, et peut compromettre le résultat du traitement endodontique. Pour accroître les chances du retrait, il est souvent nécessaire de combiner diverses techniques et, dans ce cas, certaines étapes doivent être scrupuleusement suivies :
• examiner des clichés radiographiques pris sous plusieurs incidences ou des clichés CBCT pour confirmer la présence du fragment, déterminer sa position par rapport à la courbure du canal radiculaire et évaluer sa taille ainsi que sa longueur ;
• repréparer la cavité d’accès pour assurer une meilleure vision et une manipulation sans obstacle ;
• maintenir la plate-forme de travail, créée avec une fraise Gates–Glidden modifiée, en position centrée pour permettre une meilleure vision du fragment et des parois dentinaires environnantes du canal radiculaire ;
• placer un ruban de PTFE sur les autres orifices exposés dans les racines dentaires multicanalaires pour prévenir la migration du fragment dans un autre canal radiculaire ;
• assurer en continu une bonne vision au moyen d’un dispositif de grossissement pendant tout le travail ;
• prendre régulièrement des radiographies pendant le retrait pour vérifier le niveau du fragment et la quantité de dentine perdue ;
• utiliser une irrigation abondante pour éliminer tous les débris et les éclats de dentine, suivie d’un séchage complet du canal pour faciliter une vision parfaite ;
• utiliser une énergie sonique en plus de l’énergie ultrasonique pour créer un espace autour du fragment (sur une profondeur d’environ 2 mm) et éviter de cette façon une seconde fracture du fragment (utiliser SONICflex Quick 2008 L et des inserts Endo Clean de taille 25 ou SONICflex 2003 L et des limes Micro Type D) — établir un contact entre un insert sonique et le segment coronaire de l’instrument fracturé, afin d’en éliminer la partie active et éviter ainsi de couper la boucle du fil métallique durant le retrait du fragment ;
• utiliser un dispositif pourvu d’un insert ultrasonique (le cas échéant) réglé à basse puissance, avec activations ponctuelles. Toucher le moins possible le fragment et éviter le plus possible l’élimination de tissu dentinaire ;
• assurer une irrigation intermittente à l’EDTA et activer au moyen d’un insert sonique ou ultrasonique en effectuant des mouvements de va-et-vient verticaux. Ceci favorise le nettoyage des débris et peut parfois déloger le fragment et l’éjecter du canal ;
• effectuer tout le travail sonique ou ultrasonique à l’intérieur du canal radiculaire maintenu au sec, ce qui offre au clinicien une vision constante sous le microscope ;
• utiliser une sonde endodontique si le segment coronaire de l’instrument fracturé est encore positionné contre une paroi du canal radiculaire et si l’espace pour encercler le fragment au moyen de la boucle du fil est insuffisant. Positionner le fragment au centre du canal (s’il s’agit d’une lime en acier inoxydable), ou placer un petit morceau de ruban en PTFE entre la paroi et le fragment, afin de créer un petit espace permettant de passer la boucle (pour des instruments en nickel-titane) ;
• travailler à deux. Ceci permet au clinicien de se concentrer uniquement sur la mise en place du lasso autour de l’instrument fracturé, pendant que l’autre personne tourne le bouton de réglage en sens horaire pour serrer la boucle autour de l’instrument fracturé ;
• si on utilise le dispositif EndoCowboy, effectuer de petits mouvements de va-etvient verticaux seulement.
Conclusion
Le clinicien doit être au fait des techniques et des divers instruments disponibles. Une bonne connaissance de l’anatomie du canal radiculaire et du traitement endodontique peut contribuer à réduire le risque d’accidents tels qu’une fracture d’instrument. Le but de cet article était de décrire la combinaison de différentes techniques permettant une approche plus conservatrice du traitement de ces cas difficiles.
Note de la rédaction : Cet article a été initialement publié dans le magazine CLINICAL MASTERS™, volume 6, numéro 2020 puis dans le journal Dental Tribune France Janvier/févvrier 2021 VOL 13
Références : 1 Lambrianidis, T. Management of fractured endodontic instruments. A clinical guide. Cham: Springer; 2018. 283 p. 2 Parashos P, Gordon I, Messer HH. Factors influencing defects of rotary nickel-titanium endodontic instruments after clinical use. J Endod. 2004 Oct;30(10):722–5. doi: 10.1097/01. don.0000129963.42882.c9. 3 Wang NN, Ge JY, Xie SJ, Chen G, Zhu M. Analysis of Mtwo rotary instrument separation during endodontic therapy: a retrospective clinical study. Cell Biochem Biophys. 2014 Nov;70(2):1091–5. doi: 10.1007/s12013-014- 0027-0. 4 Iqbal MK, Kohli MR, Kim JS. A retrospective clinical study of incidence of root canal instrument separation in an endodontics graduate program: a PennEndo database study. J Endod. 2006 Nov;32(11):1048–52. doi: 10.1016/j.joen.2006.03.001
Mots-clés:
A smile est un gel visqueux pour l’éclaircissement des dents vitales à l’aide d’une gouttière thermoformée personnalisée. Voici un cas clinique ...
Le système CEREC de Sirona permet la réalisation en CAD/CAM de restaurations prothétiques « tout céramique » sur ...
La restauration d’un édentement plural postérieur a toujours été limitée par le volume et la mauvaise ...
Tous les ans, à l’occasion du Concours mondial de cas cliniques GCCC, Dentsply Sirona met à l’honneur les étudiants du monde entier pour leurs ...
Une évaluation systématique récente de la carie dentaire chez des adultes en situation de handicap a fait état d’un taux ...
MINNEAPOLIS, États-unis. : La mise en place d’implants dentaires dans la région ptérygomaxillaire peut être bénéfique dans le cadre de ...
La chirurgie implantaire guidée simplifie l’acte chirurgicale en facilitant le geste opératoire du praticien lors du forage, grâce au guide ...
Une nouvelle génération de produit d'obturation canalaire, développée et fabriquée par la société suisse d'endodontie Produits Dentaires SA (PD), ...
Le remplacement de dents perdues par des implants peut être un long processus pour les patients. Pendant la phase de temporisation, il leur faut ...
LEUVEN, Belgique : L’usure dentaire est un problème dont la prévalence augmente, et qui a un impact croissant sur la pratique clinique quotidienne. On ...
Webinaire en direct
ven. le 17 avril 2026
à 18h00 (CET) Paris
Webinaire en direct
ven. le 17 avril 2026
à 19h00 (CET) Paris
Dr. Stuart Yeaton BDentSc, MOrth
Webinaire en direct
lun. le 20 avril 2026
à 19h00 (CET) Paris
Dr. Alberto Monje DDS, MS, PhD
Webinaire en direct
mer. le 22 avril 2026
à 17h00 (CET) Paris
MDT Andreas Chatzimpatzakis
Webinaire en direct
mer. le 22 avril 2026
à 17h00 (CET) Paris
Webinaire en direct
mer. le 22 avril 2026
à 18h00 (CET) Paris
Webinaire en direct
jeu. le 23 avril 2026
à 17h00 (CET) Paris
To post a reply please login or register