Aujourd’hui en 2020, les aligneurs font partie intégrante de notre arsenal thérapeutique, et sont dans le portefeuille des techniques réservées aux omnipraticiens. Utilisés en pré restauratif, aussi bien qu’à des fins esthétiques moins complexes, ils permettent de proposer à nos patients des alternatives aux traitements multi brackets et d’offrir des soins au final moins délabrants. Respectant parfaitement le gradient thérapeutique, les aligneurs s’inscrivent dans une dentisterie conservatrice et moderne.
Quels sont les patients éligibles :
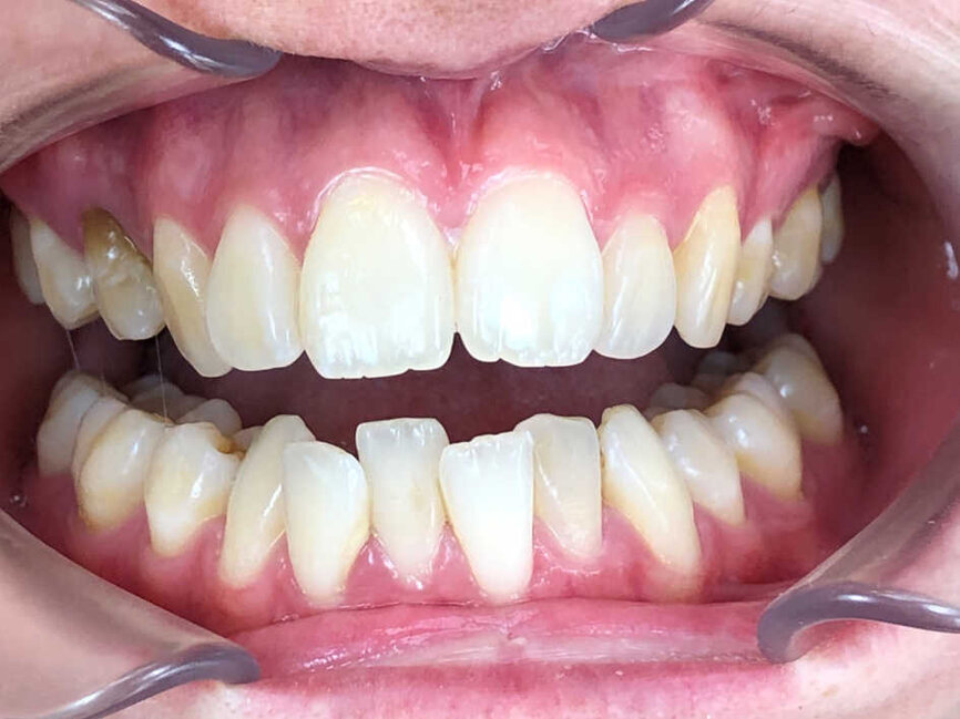
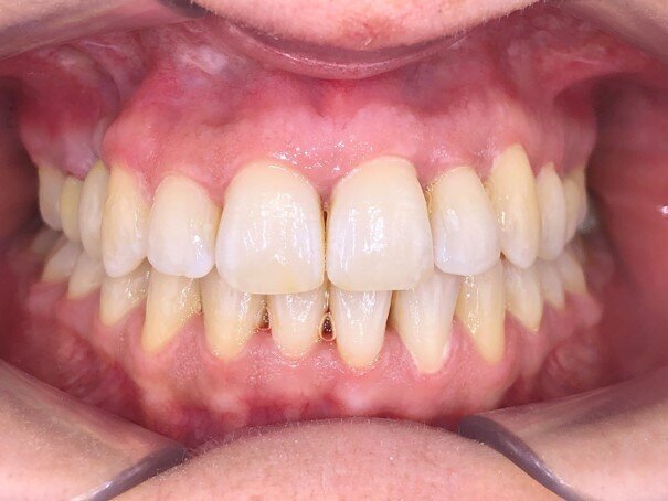
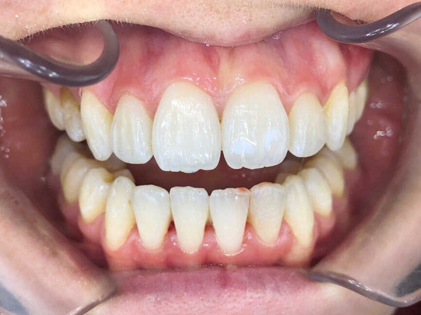
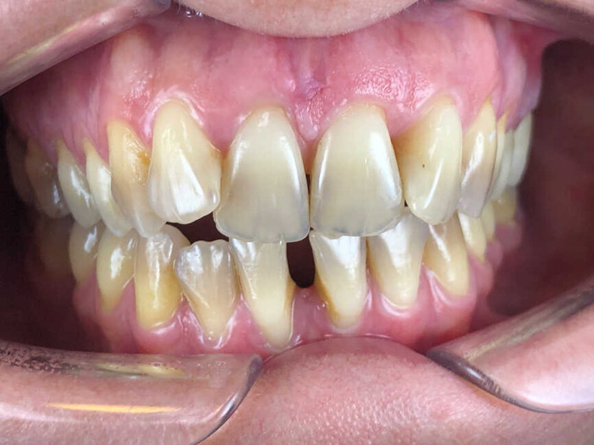
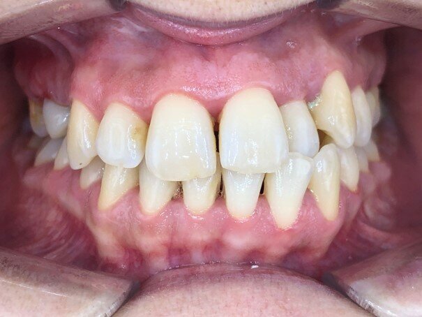
- Les patients avec de petits encombrements antérieurs, ayant ou non été traités antérieurement par orthodontie. Les patients ciblés ont souvent perdu leur contention ou n’ont pas portés celle-ci, entrainant ainsi une récidive. Traiter ce genre de cas simples par aligneurs donne rapidement satisfaction au patient.
- Les patients avec des problèmes parodontaux, sans mobilité dentaire importante, pour permettre un meilleur nettoyage. On sait aujourd’hui que des dents plus alignées permettent une réduction significative de l’indice de plaque ainsi que de l’inflammation gingivale. En alignant les dents, une fois le parodonte assaini, le patient améliorera significativement son accès au nettoyage dans des zones préalablement difficile à atteindre.
- Les patients en vue de traitement implantaire ou prothétique qui ont besoin d’avoir les dents repositionnées. Elles peuvent l’être pour plusieurs raisons :
- Besoin de place pour poser un implant
- Un meilleur positionnement des dents pour être moins mutilant au moment des préparations.
- En respectant le protocole, les clés du succès d’un traitement par aligneurs sont les suivantes :
- Sélection du cas : patient en classe 1 molaire et encombrement/espacement réduit.
- Elaboration rigoureuse du plan de traitement au moment de l’élaboration du Clincheck
- Mise en place précise le jour de la pose des aligneurs
- Suivi du traitement lors des rendez-vous de contrôle
- Port et réalisation stricte de la contention
Pour plus d'informations, rendez-vous sur le site https://www.invisalign-go.fr/
Les traitements laser assistés en chirurgie et en implantologie ont longuement été décrits dans l’ouvrage « Les ...
PHOENIX, États-Unis : À mesure que de plus en plus de cabinets intègrent l’impression 3D en interne, comprendre comment les paramètres techniques ...
SALON-DE-PROVENCE, France : Smilers, marque française d’aligneurs du groupe Biotech Dental, annonce le lancement d’un boîtier de rangement parfumé ...
Les aligneurs Cheeez du laboratoire Crown Ceram rendent le traitement accessible pour tous. Les aligneurs font partie intégrante de l’arsenal ...
L’évolution rapide de la thérapie par aligneurs a souvent creusé un écart entre les résultats de la recherche et la pratique clinique quotidienne. ...
DAMMAM, Arabie Saoudite : La longévité esthétique reste une préoccupation centrale dans les restaurations composites antérieures, où le changement de ...
VALENCE, Espagne : Cette année marque la dixième année de la fondation de l’European Aligner Society (EAS), association dont l’objectif est ...
Les plaintes déposées par les patients constituent l’un des aspects les plus stressants de l’exercice clinique en dentisterie et sont largement ...
LONDRES, Royaume-Uni : Les lésions de furcation de grade III représentent l’un des défis les plus complexes en parodontologie, et les données ...
Réunir parlementaires, autorités sanitaires, praticiens, industriels et associations de patients au Palais du Luxembourg n’est jamais anodin. En ...
Webinaire en direct
jeu. le 14 mai 2026
à 18h00 (CET) Paris
Webinaire en direct
jeu. le 14 mai 2026
à 20h00 (CET) Paris
Prof. Hani Ounsi DDS PhD FICD
Webinaire en direct
mar. le 19 mai 2026
à 17h00 (CET) Paris
Webinaire en direct
mar. le 19 mai 2026
à 19h00 (CET) Paris
Prof. Dr. med. dent. Ivo Krejci
Webinaire en direct
mer. le 20 mai 2026
à 13h00 (CET) Paris
Dr. Graham Carmichael BDSc (Hons), DClinDent (Pros), FRACDS, Dr. Robert Gottlander DDS
Webinaire en direct
mer. le 20 mai 2026
à 15h00 (CET) Paris
Webinaire en direct
mer. le 20 mai 2026
à 19h00 (CET) Paris
Prof. Dr. med. dent. Tim Joda PhD, MSc, eMBA
Hi, please prices and protocole…
Regards