Les aligneurs Cheeez du laboratoire Crown Ceram rendent le traitement accessible pour tous. Les aligneurs font partie intégrante de l’arsenal thérapeutique proposé, tant pour l’omnipraticien que pour le spécialiste en orthodontie. Bien compris, ils permettent de proposer au patient une alternative au traitement multi-attaches. Ils sont utilisés dans des cas simples pour résoudre un encombrement initial, pour retraiter un encombrement récidivant après un traitement d’orthodontie, en pré restauratif, dans des cas plus complexes, les soins sont moins délabrants. En proposant des gouttières d’alignement, on s’inscrit complètement, dans le respect du gradient thérapeutique. Ils font la part belle à la dentisterie conservatrice moderne.
Présentation du cas clinique
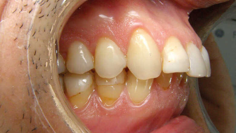
Le patient, 42 ans, s’est présenté au cabinet en 2018 pour connaître les solutions possibles pour améliorer son sourire. L’anamnèse révèle que le patient est gêné par la hauteur « raccourcie » de ses incisives mandibulaires, il a peur de les voir « disparaître » à moyen terme. L’examen clinique met en évidence :
- Une surocclusion importante ;
- des facettes d’usure sur les tables occlusales ;
- la palpation musculaire révèle des douleurs au niveau des insertions des masséters et des ptérygoïdiens internes ;
- un bruxisme important, associé à une perte de la dimension verticale.
On décide donc, dans un premier temps, de faire porter une gouttière au patient pour soulager les douleurs, traiter le bruxisme et remonter progressivement la dimension verticale (DV), afin de réduire le traumatisme de l’ATM en décompressant la zone du ménisque des ATM. La DV a été progressivement relevée, avec comme incidence, une décompression articulaire et une disparition des douleurs.
Six mois plus tard, le patient est revu en consultation. Le port de la gouttière (au maxillaire supérieur) a été parfaitement toléré. On entreprend alors les préparations des faces occlusales des molaires et prémolaires mandibulaires, afin de coller des overlays en céramique e.max à la nouvelle hauteur définie. La supraclusion antérieure ayant ainsi été entièrement corrigée et stabilisée de façon prothétique par les overlays collés, une nouvelle gouttière de bruxisme est réajustée aux nouveaux volumes dentaires et sera remise au patient.
Huit mois plus tard, le patient revient pour un contrôle et un détartrage. L’examen de l’ATM est normal. Aucune nouvelle facette d’abrasion sur les facettes prothétiques n’a été constatée. On peut donc aborder la deuxième étape thérapeutique : le traitement esthétique par les aligneurs orthodontiques Cheeez (laboratoire Crown Ceram), afin de corriger les encombrements antérieurs au niveau de la mandibule. À noter que tous les documents étayant le cas ont été pris à ce stade.
Cas clinique orthodontique
-
Examen de face et profil
L’étude esthétique selon les documents fournis par le radiologue montre « un profil relativement équilibré ». À ce propos, l’orthodontiste va plutôt conclure en un profil rétrusif sur un schéma facial de type brachyfacial, c’est-à-dire une face courte, malgré l’augmentation de la DV faite par les overlays. Le patient compense involontairement sa malposition, par une position occlusale plus antérieure et nous montre un profil équilibré
-
Examen des arcades
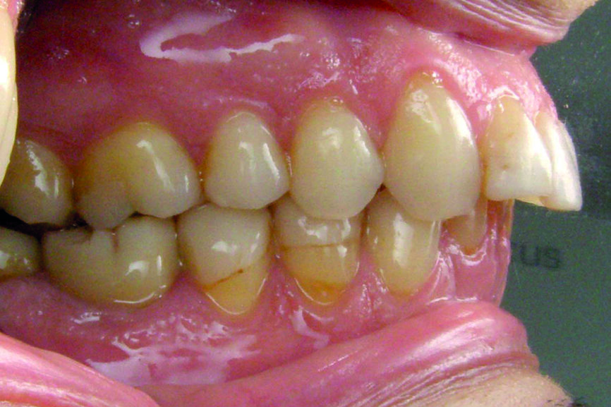
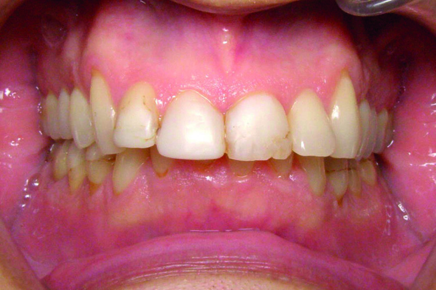
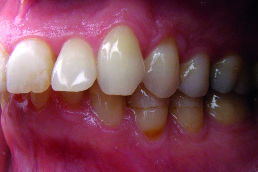
D’un point de vue dentaire le patient présente une Classe II division 1, avec une classe II molaire complète et une classe II canine.
- Présence d’un overjet et d’une supraclusion résiduelle.
- L’arcade supérieure est régulière mais les incisives sont en vestibulo version importante.
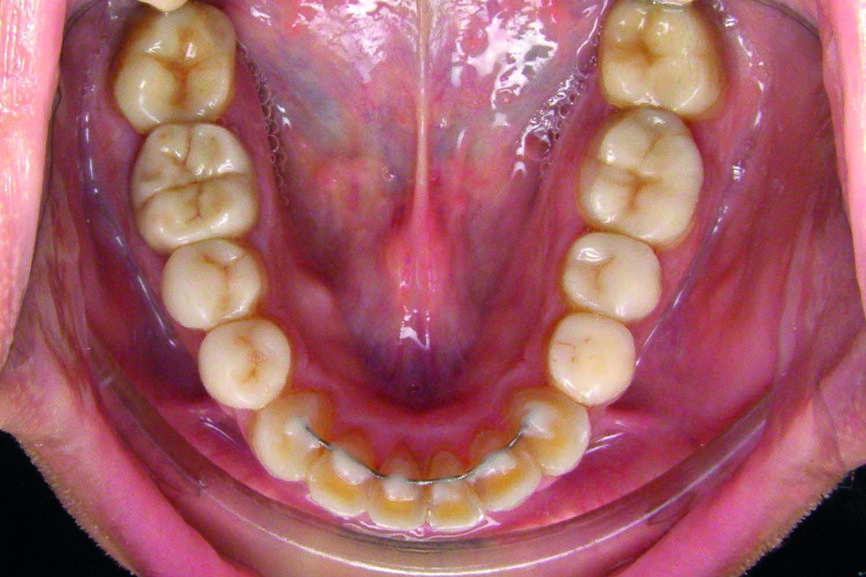
- L’arcade inférieure présente un encombrement dans le secteur antérieur associé à une version vestibulaire.
- Les milieux correspondent.
-
Examen radiographique
– La radio panoramique8
met en évidence la présence de deux dents de sagesse incluses (18 et 28), l’agénésie des 38 et 48 et la présence d’un odontome au niveau de la 24. On devine par ailleurs sur le cliché les overlays des dents 34, 35, 37, 44–47. La dent 46 présente un traitement endodontique très satisfaisant, et une coiffe prothétique parfaitement adaptée. On devine l’abrasion importante des incisives mandibulaires qui a motivé la première consultation de notre patient l’année précédente.
– La téléradiographie7
Le centre de radiologie de Tel Aviv utilise le système Orthocheck. Il est équipé d’un logiciel d’aide au diagnostic9.1–9.3 qui rapporte des données basées sur l’interprétation des clichés. Ainsi, pour la téléradiographie de profil, l’analyse céphalométrique faite par l’ordinateur donne les conclusions pour l’analyse orthocheck et pour l’analyse selon Ricketts.
Cette analyse est soumise à un orthodontiste qualifié. Les critiques sont les suivantes : les photographies et les radiographies sont prises en occlusion de convenance et montrent une classe I.9.4 En réalité le patient est en classe II, observation clinique confirmée tant au fauteuil que sur les photos de bouche. On note :
- Une importante version au niveau des incisives maxillaire, alors que le logiciel évoque une « upper incisor position normal » ;
- les incisives inférieures dites en position protrusive, et une classe II molaire ;
- le maxillaire supérieur en position normale et la mandibule en position rétruse avec une longueur normale, donc, une classe II squelettique.
Nous avons ici un tracé simplifié.10 Le tracé de l’incisive passe en dehors et en dessous du plancher de l’orbite. Les incisives supérieures sont dites en position normale quand le tracé de l’axe des incisives prolongé passe dans l’orbite. Dans ce cas, l’axe des incisives passe en dessous de l’orbite. On parlera donc d’une version vestibulaire. Cet élément est très simple à identifier par l’omnipraticien et permet de mettre en évidence immédiatement une version vestibulaire.
D’autre part à l’arcade inférieure, idéalement, l’axe de l’incisive fait un angle droit avec la base de la mandibule et sa position est centrée dans la symphyse mandibulaire. Chez le patient, l’incisive mandibulaire est centrée dans la symphyse, mais elle est en version vestibulaire. Nous avons une bivestibuloversion des incisives.
L’étude esthétique selon les documents fournis par le radiologue montre un profil relativement équilibré, ce qui est là aussi inexact car nous avons un profil rétrusif et une face courte
Traitement orthodontique
Attendu que le patient présentait initialement un bruxisme nous avons décidé de poursuivre le traitement par la mise en place de gouttières d’alignement, et après étude du cas, le laboratoire Crown Ceram nous a proposé un protocole thérapeutique de sa marque d’aligneurs Cheeez, correspondant à nos attentes et au souhait esthétique du patient.
Cette proposition a pu être expliquée au patient de façon claire et didactique en particulier grâce à un petit film d’animation montrant le mouvement des dents. Le plan de traitement suggéré nous montre les réductions interproximales à réaliser et les images avant et après. Pas de taquet occlusal pour notre situation clinique.
Les quatre grandes étapes opératoires sont détaillées dans un second document. Avec toutes les informations nécessaires concernant chaque séance ce qu’il faut faire, les RIP, les attachements, les livraisons des gouttières à chaque étape, des commentaires (en particulier à quelle séance doit-on faire le stripping et/ou poser les taquets) et le tableau des suivis des RIP. Bref un véritable document de pilotage pour le praticien, afin qu’il se sente en confiance dans la réalisation du traitement et le suivi de notre patient.
Pour notre patient, a été proposé (et accepté) le protocole suivant :
- Sept premiers aligneurs haut et bas, à porter pendant deux semaines, puis trois derniers aligneurs pour le bas, à porter avec le dernier aligneur pour le haut. Durée totale du traitement : vingt semaines.
- Stripping de 0.2 mm entre les dents 42/43, 32/33 et 33/34. Les strippings se feront juste avant la pose de l’aligneur trois.
- Mise en place d’une contention collée à la mandibule en fin de traitement.
Discussion sur l’intérêt de l’examen de ce cas et ouverture sur les projets de traitement par aligneurs Cheeez.
L’objectif de cette discussion est de travailler la valeur relative de l’analyse faite par le radiologue (spécialisé en orthodontie) qui a fait les photos et les radios, et de maîtriser les indications en omnipratique des aligneurs, de manière à en connaître aussi les limites.
Sur ce point précisément, le laboratoire Crown Ceram avec ses aligneurs Cheeez, se positionne comme véritable partenaire de l’omnipraticien. Le concept Cheeez s’inscrit pour le moment dans la possibilité de faire de la « petite orthodontie » à la portée de tout omnipraticien, et ne cherche pas à développer une thérapeutique orthodontique avancée, comme on peut le voir chez d’autres fabricants. L’expertise de Crown Ceram se porte dans le partenariat et le service qu’ils offrent aux les praticiens, sur la CFAO, les guides chirurgicaux, le tout céramique ou encore les aligneurs. Grâce aux formations proposées en présentielle et bientôt à distance, l’omnipraticien même totalement profane, pourra se sentir à l’aise dans cette thérapeutique.
En résumé, quels sont les patients éligibles ?
- Les patients avec de petits encombrements antérieurs, ayant ou non été traités antérieurement par orthodontie : Les patients ciblés ont souvent perdu leur contention ou n’ont pas porté celle-ci, entraînant ainsi une récidive. Traiter ce genre de cas simples par aligneurs donne rapidement satisfaction au patient.
- Les patients avec des problèmes parodontaux, sans mobilité dentaire importante, pour permettre un meilleur nettoyage : On sait aujourd’hui que des dents plus alignées permettent une réduction significative de l’indice de plaque ainsi que de l’inflammation gingivale. En alignant les dents, une fois le parodonte assaini, le patient améliorera significativement son accès au nettoyage dans des zones préalablement difficiles à atteindre.
- Les patients en vue de traitement implantaire ou prothétique qui ont besoin d’avoir les dents repositionnées, soit par besoin de place pour poser un implant, soit tout simplement pour un meilleur positionnement des dents, afin d’être moins mutilant au moment des préparations.
En respectant le protocole, les clés du succès d’un traitement par aligneurs sont les suivantes :
- Sélection du cas : patient en classe I molaire et encombrement/espacement réduit ;
- élaboration rigoureuse d’un plan de traitement ;’
- mise en place précise le jour de la pose des aligneurs ;
- suivi du traitement lors des rendez-vous de contrôle ;
- port et réalisation stricte de la contention.
Le patient est satisfait, et demande s’il est possible de corriger le maxillaire supérieur (exigences nouvelles) par un traitement Cheeez. La question est posée. Le plan de traitement du spécialiste serait de remettre le patient en cl1 canine et de recréer un guide incisif. Des extractions seront sûrement nécessaires, les prémolaires 14 et 24 en gérant l’odontome (avulsion de prémolaire et de l’odontome dans le même temps) et appareillage multi-attaches sur dix-huit mois environ.
Pour conclure, ce cas clinique permet d’illustrer l’intégration d’aligneurs de nouvelle génération Cheeez, comme partie prenante intégrale de la prise en charge de nos patients. La simplicité et l’efficacité de ces traitements permettent une démocratisation d’une certaine pratique de l’orthodontie en omnipratique. Pour autant, une formation est fortement recommandée de manière à maîtriser également les limites de nos indications, pour savoir aussi ré-adresser le patient à un spécialiste quand la situation sort de notre champ d’action.
L’expertise de Crown Ceram à travers son système d’aligneurs Cheeez et l’accompagnement qu’ils offrent aux praticiens, en particulier aux débutants, est remarquable.
Note de la rédaction : Cet article a paru dans le journal Dental Tribune France janvier/février 2021 - VOL. 13, NO. 1+2
Auteurs :
Dr Rejane Benzekri, orthodontiste qualifiée. Ancienne assistante hospitalo-universitaire. Paris VII, France.
Dr Arielle Uzan, omnipraticienne. Pratique libérale à Boulogne, France.
Dr Thierry Lachkar, conseiller scientifique pour le laboratoire Crown Ceram depuis 2010, TeI Aviv, Israël
Mots-clés:
BOSTON, États-unis : L’utilisation de l’intelligence artificielle (IA) pour le suivi à distance dans la thérapie par aligneurs transparents devient ...
PARIS, France : Né de l’alliance entre le Dr Richard Dahan, Docteur en chirurgie dentaire et enseignant à l’Université Paris-Est Marne-la Vallée et ...
PARIS, France : Devenir distributeur « sur-mesure » du matériel dentaire et des services associés en région parisienne, en ...
DAMMAM, Arabie Saoudite : La longévité esthétique reste une préoccupation centrale dans les restaurations composites antérieures, où le changement de ...
LONDRES, Royaume-Uni : Les bactéries normales qui vivent dans notre bouche fournissent le catalyseur pour le développement de la maladie ...
Plus de 50% des dentistes se plaignent de fatigue des mains, ils mettent leurs mains à rude épreuve. La nature répétitive des tâches qu’ils ...
L’évolution rapide de la thérapie par aligneurs a souvent creusé un écart entre les résultats de la recherche et la pratique clinique quotidienne. ...
Aujourd’hui en 2020, les aligneurs font partie intégrante de notre arsenal thérapeutique, et sont dans le portefeuille des techniques réservées aux ...
LONDON, Royaume-Uni : Des recherches antérieures ont montré que la combinaison de cellules épithéliales et mésenchymateuses dentaires pouvait donner ...
_À une époque où les chirurgiens-dentistes tout comme les patients aspirent à des méthodes de restauration plus ...
Webinaire en direct
jeu. le 14 mai 2026
à 18h00 (CET) Paris
Webinaire en direct
jeu. le 14 mai 2026
à 20h00 (CET) Paris
Prof. Hani Ounsi DDS PhD FICD
Webinaire en direct
mar. le 19 mai 2026
à 17h00 (CET) Paris
Webinaire en direct
mar. le 19 mai 2026
à 19h00 (CET) Paris
Prof. Dr. med. dent. Ivo Krejci
Webinaire en direct
mer. le 20 mai 2026
à 13h00 (CET) Paris
Dr. Graham Carmichael BDSc (Hons), DClinDent (Pros), FRACDS, Dr. Robert Gottlander DDS
Webinaire en direct
mer. le 20 mai 2026
à 15h00 (CET) Paris
Webinaire en direct
mer. le 20 mai 2026
à 19h00 (CET) Paris
Prof. Dr. med. dent. Tim Joda PhD, MSc, eMBA
To post a reply please login or register