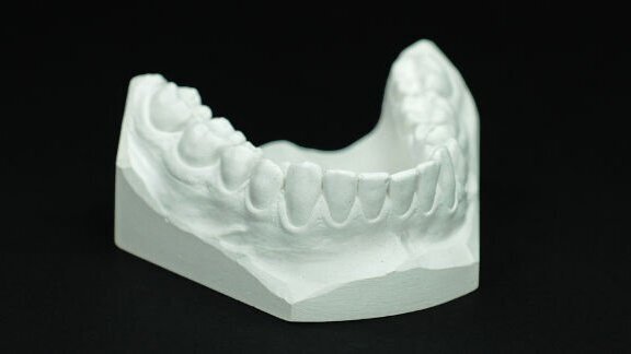
CANTERBURY, Royaume-Uni: De nouvelles recherches, menées à l'Université de Kent, à Canterbury, suggèrent que beaucoup de problèmes orthodontiques communs, rencontrés par les personnes de pays industrialisés, pourraient être le résultat d'une alimentation moderne molle.
Un scientifique a révélé que de tels régimes provoquent un développement trop restreint des mâchoires, par rapport à la taille des dents.
Dans l'étude, le Dr Noreen von Cramon-Taubadel, de l'école d'Anthropologie et de Conservation de l'Université a testé la théorie longtemps débattue que l’évolution de chasseur-cueilleur à une subsistance agricole, dans de nombreuses régions du monde, a eu un effet sur la croissance et le développement du crâne humain et de la mâchoire inférieure.
Von Cramon-Taubadel a comparé la forme du crâne et de la mandibule de 11 populations, réparties globalement, aux modèles de génétique, de différences géographiques, climatiques et alimentaires. Elle a constaté que la forme la mâchoire inférieure et, dans une certaine mesure, la forme du palais supérieur étaient liées au comportement alimentaire des populations, et que la forme du crâne était fortement liée à la relation génétique des populations.
Indépendamment de la partie du monde d'où elles viennent, la mâchoire inférieure montre si les populations sont principalement des chasseurs-cueilleurs ou des agriculteurs. Cela suggère donc que le comportement masticatoire amène la mâchoire inférieure à croître et à évoluer différemment chez les groupes qui s’alimentent différemment, tandis que le crâne n'est pas affecté de la même manière.
En général, les groupes de chasseurs-cueilleurs avaient des mandibules plus longues et plus étroites, indiquant plus d'espace pour que les dents poussent correctement, alors que les agriculteurs avaient généralement des mandibules plus courtes et plus larges, augmentant la probabilité d'encombrements dentaires.
Von Cramon-Taubadel, maître de conférences en anthropologie biologique, s'intéresse à la recherche sur l'évolution humaine et celle des primates et, en particulier, les causes de la diversité moderne du squelette humain. Elle a déclaré : "le comportement masticatoire semble être la cause des différences de développement de la mâchoire inférieure, entre les populations chasseurs-cueilleurs et agricoles, et cela est vrai au niveau mondial. Ce qui est intéressant, c'est que le reste du crâne ne soit pas affecté de la même manière et semble correspondre plus étroitement à notre histoire génétique."
Avant d’être imprimée, l'étude: "La variation globale de la mandibule humaine révéle les différences de stratégies de subsistance chez les agriculteurs et les chasseurs-cueilleurs", a été publiée en ligne au mois de novembre, dans Proceedings of the National Academy of Sciences.
YORK, Royaume Uni/ BARCELONE, Espagne : Basée sur l’étude d’une plaque dentaire d’un hominidé, des scientifiques ont conclu que les premiers ...
BRUXELLES, Belgique : Un livre blanc commandé par la Fédération européenne de parodontologie (EFP) révèle que 4,9 % des dépenses mondiales de santé ...
Le Dr Milan Stojanovic a étudié la médecine dentaire à l’Université de Berne en Suisse, et après avoir travaillé en tant que chirurgien ...
LONDRES, Royaume-Uni : Les bactéries normales qui vivent dans notre bouche fournissent le catalyseur pour le développement de la maladie ...
BERLIN, Allemagne : Soumises à d’importantes contraintes physiques, les dents humaines se composent d’un matériau organique des ...
La taille de notre mâchoire diminue avec l'âge, ont démontré les recherches menées à la Faculté de ...
OSLO, Norvège : Des chercheurs de l'université d'Oslo, ont développé un nouvel échafaudage artificiel qui facilite la ...
VIENNE, Autriche : La santé bucco-dentaire des femmes ne se limite pas à un beau sourire — c’est un aspect essentiel du bien-être général qui est ...
WARDHA, Inde : L’utilisation de la toxine botulique (TB), communément appelée Botox, gagne du terrain dans le domaine dentaire, offrant des avantages à...
CHICAGO, Illinois & MIAMI, Floride, États-Unis : La douleur dentaire survenant après un traitement endodontique pourrait provenir le plus ...
Webinaire en direct
jeu. le 14 mai 2026
à 18h00 (CET) Paris
Webinaire en direct
jeu. le 14 mai 2026
à 20h00 (CET) Paris
Prof. Hani Ounsi DDS PhD FICD
Webinaire en direct
mar. le 19 mai 2026
à 17h00 (CET) Paris
Webinaire en direct
mar. le 19 mai 2026
à 19h00 (CET) Paris
Prof. Dr. med. dent. Ivo Krejci
Webinaire en direct
mer. le 20 mai 2026
à 13h00 (CET) Paris
Dr. Graham Carmichael BDSc (Hons), DClinDent (Pros), FRACDS, Dr. Robert Gottlander DDS
Webinaire en direct
mer. le 20 mai 2026
à 15h00 (CET) Paris
Webinaire en direct
mer. le 20 mai 2026
à 19h00 (CET) Paris
Prof. Dr. med. dent. Tim Joda PhD, MSc, eMBA
To post a reply please login or register