Le remplacement d’incisives adjacentes absentes dans le maxillaire est une procédure très complexe, car l’esthétique y joue un rôle crucial. La préservation du tissu gingival est un facteur déterminant, particulièrement chez les jeunes patients où la ligne du sourire est généralement plus haute et la gencive plus apparente. L’obtention d’une papille parfaite entre les dents adjacentes manquantes lors de l’utilisation d’implants, n’est pas chose facile. L’obtention d’un niveau idéal de la gencive marginale peut également être problématique, selon la quantité d’os perdu à la suite de la perte des dents.
Étude de cas
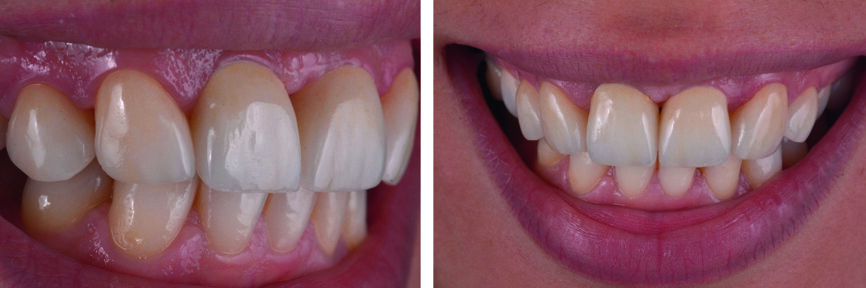
Une patiente de 26 ans a consulté la clinique en raison de son bridge maxillaire céramo-métallique dento-porté, qui la décevait fortement. L’espace restreint entre les deux dents piliers était occupé par une travée causant une asymétrie visible du sourire (Figs. 1–3).
L’évaluation clinique et radiographique a été suivie de la conception numérique du sourire et deux options de traitement ont été envisagées, tenant compte de la distance minimale entre deux épaulements d’implant adjacents, pour préserver l’os crestal intermédiaire (Figs. 4–5) :
- Remplacement du bridge à trois unités par un bridge à quatre unités sur deux implants.
- Cette option ne permettait pas d’obtenir un rapport satisfaisant entre les couronnes.
- Remplacement du bridge à trois unités par deux restaurations unitaires figurant les incisives centrales, avec remodelage de la forme des canines et des prémolaires.
- Cette option permettait d’obtenir les meilleurs rapports coronaires et un résultat harmonieux.
L’évaluation de la seconde option du traitement à l’aide du logiciel de conception numérique du sourire a servi de base pour préparer le wax-up (Figs. 6–8). Les incisives maxillaires ont été abrasées et la forme des deux canines et des premières prémolaires a été modifiée, afin de créer un modèle symétrique tout en respectant les rapports dentaires.
Fig. 1 : Vue extra-orale préopératoire.
Fig. 2 : Vue intra-orale préopératoire.
Fig. 3 : Vue préopératoire (prise du dessus).
Fig. 4 : Conception numérique du sourire (DSD) des deux options de traitement.
Fig. 5 : DSD définitive (vue de face, vue du dessus et vue occlusale).
Fig. 6 : Wax-up, vue de face.
Fig. 7 : Wax-up, vue latérale.
Fig. 8 : Wax-up, vue occlusale.
Fig. 9 : Vue intra-orale après élimination de la restauration céramo-métallique indésirable.
Fig. 10 : Préparation d’un mock-up intra-oral au moyen d’une clé en silicone.
Fig. 11: Mock-up intra-oral.
Fig. 12 : Extraction atraumatique des racines.
Un mock-up intra-oral a été préparé afin d’évaluer le modèle avec la patiente (Figs. 9–11). Les racines ont été extraites par une procédure atraumatique, sous anesthésie locale (Fig. 12), et la crête a été incisée légèrement vers l’arrière, du côté palatin (Fig. 13).
Un foret-guide a été utilisé pour créer l’espace jusqu’à la profondeur appropriée, soit 12 mm (Fig. 14). L’alignement correct de l’espace implantaire a été vérifié par rapport aux dents adjacentes et aux dents antagonistes. Les alvéoles ont ensuite été préparées par une séquence de forets de diamètre croissant, sans jamais dépasser un couple de 50 Ncm. Des implants Aadva Standard, modèle Regular, diamètre de 4 mm, GC Tech, Breckerfeld, Allemagne, ont été mis en place à une vitesse de rotation de 25 tr/min, selon les instructions du fabricant (Fig. 15) puis la stabilité primaire a été vérifiée.
Une greffe de tissu conjonctif a été placée sous l’épithélium pour reconstruire une papille entre les implants (Fig. 17). Deux vis de cicatrisation ont été mises en place (Fig. 18).
Des piliers personnalisés ainsi que des prothèses en résine acrylique provisoires ont été fabriqués au laboratoire (Figs. 19–20). Un soin particulier a été apporté pour préparer un profil d’émergence sous-gingival, qui a assuré une transition douce entre la plateforme implantaire et une courbe dentaire naturelle au niveau gingival, assurant par conséquent le soutien et le modelage de la gencive péri-implantaire (Figs. 21–23).
Fig. 13 : Incision supracrestale, légèrement du côté palatin.
Fig. 15 : Pose de l’implant.
Fig. 16 : Vue occlusale des implants après la pose
Fig. 17 : Greffe de tissu mou pour reconstruire la papille entre les incisives centrales.
Fig. 18 : Après mise en place des vis de cicatrisation.
Figs. 19–20 : Élaboration des piliers provisoires avec un profil d’émergence naturel pour assurer le soutien de la gencive.
Figs. 19–20 : Élaboration des piliers provisoires avec un profil d’émergence naturel pour assurer le soutien de la gencive.
Figs. 21–23 : Restaurations provisoires vissées sur les implants.
Figs. 21–23 : Restaurations provisoires vissées sur les implants.
Figs. 21–23 : Restaurations provisoires vissées sur les implants.
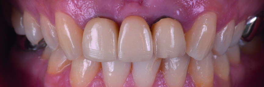
Fig. 24 : Vue des piliers provisoires après une période de cicatrisation de six mois
Figs. 25–26 : Après le retrait des piliers provisoires. Le tissu gingival est bien modelé.
Figs. 25–26 : Après le retrait des piliers provisoires. Le tissu gingival est bien modelé.
Fig. 27 : Empreinte au niveau des implants (technique pick-up).
Fig. 29 : Piliers hybrides de GC (suprastructure en Zr sur base en Ti).
Fig. 30 : Vue de face avant la mise en place des piliers personnalisés.
Fig. 31 : Le pilier personnalisé en Zr est vissé sur l’implant.
Fig. 32 : Les piliers personnalisés en Zr après leur parfaite insertion.
Figs. 33–34 : Résultat final.
Figs. 33–34 : Résultat final.
Après une période de 6 mois, les tissus mous étaient cicatrisés et adaptés aux couronnes provisoires (Figs. 24–26). Des transferts d’empreinte ont été personnalisés au moyen de résine acrylique, afin de reproduire le profil d’émergence formé durant la période de temporisation et l’empreinte définitive a été prise par une tech[1]nique à ciel ouvert (pick-up) (Figs. 27–28).
Deux piliers personnalisés créés par CAD/ CAM (centre d’usinage GC Tech, Louvain Belgique) à partir d’une suprastructure en zircone sur une base en titane (pilier hybride GC, GC Tech) ont été préparés et vissés sur les implants, avec un couple de serrage de 20 Ncm (Figs. 29–32). Les couronnes en céramique ont ensuite été assemblées sur les piliers (Figs. 33–34). Le résultat final s’est traduit par un sourire symétrique avec conservation des papilles entre les deux implants ainsi qu’entre ces implants et les dents adjacentes.
Note de la rédaction : Article paru dans GC get connected n°15 en 2020, et autorisé à la publication avec l’aimable autorisation de GC et paru dans le journal Dental Tribune France volume 12, numéro 12/2020.
Mots-clés:
Le diabète sucré (DM) est une affection métabolique chronique qui s’est imposée comme un enjeu majeur de santé publique à l’échelle mondiale. Il ...
BONN, Allemagne : En vue de la 38e édition de l'International Dental Show (IDS) qui débutera le 12 mars à Cologne en Allemagne, une conférence de presse...
ZURICH, Suisse : Patent Symbionic Teeth s’imposent comme la nouvelle référence en matière de remplacement dentaire. Inspirées des dents naturelles, ...
GENÈVE, Suisse : La World Dental Federation (FDI) (Fédération dentaire internationale) a récemment publié les résultats d’une enquête menée ...
PARIS, France : « Flash mob », performance sportive, action événementielle… Dans le cadre de la prochaine ...
PARIS, France : Au moment de l’ADF, l’Institut français pour la recherche odontologique (IFRO) donne la parole aux lauréats des projets de l’IFRO ...
SUCY EN BRIE, France : Un sourire confiant peut transformer les interactions personnelles et professionnelles. Pour de nombreux patients, des traitements ...
MELVILLE, États-Unis / ALFORTVILLE, France : Henry Schein a donné le coup d’envoi de son programme Practice Pink 2025, une initiative internationale ...
PARIS, France: Un nouveau rapport sur l’état des soins de santé dans l’Union Européenne (UE) révèle que les pénuries de main-d’œuvre et le ...
Avec plus de 40 ans d'évidence clinique, les implants endo-osseux, en titane, sont devenus une forme (basée sur l'évidence) acceptable ...
Webinaire en direct
jeu. le 14 mai 2026
à 18h00 (CET) Paris
Webinaire en direct
jeu. le 14 mai 2026
à 20h00 (CET) Paris
Prof. Hani Ounsi DDS PhD FICD
Webinaire en direct
mar. le 19 mai 2026
à 17h00 (CET) Paris
Webinaire en direct
mar. le 19 mai 2026
à 19h00 (CET) Paris
Prof. Dr. med. dent. Ivo Krejci
Webinaire en direct
mer. le 20 mai 2026
à 13h00 (CET) Paris
Dr. Graham Carmichael BDSc (Hons), DClinDent (Pros), FRACDS, Dr. Robert Gottlander DDS
Webinaire en direct
mer. le 20 mai 2026
à 15h00 (CET) Paris
Webinaire en direct
mer. le 20 mai 2026
à 19h00 (CET) Paris
Prof. Dr. med. dent. Tim Joda PhD, MSc, eMBA
To post a reply please login or register