Search Dental Tribune

Articles

Filtrer

Nouveau paradigme pour la préparation de la couronne : les fraises carbure Great White Ultra (GWU)

Les normes de soins dentaires ont évolué rapidement au cours des 50 dernières années. Aujourd'hui, les modalités ...

Enregistrer

Une belle leçon d’humilité : celle de dentistes aux pieds plus que nus

Dans le débat sur la « délégation de tâches » qui mobilise si indistinctement bonne ou mauvaise foi, et toute la ...

Enregistrer

Air-Flow kills biofilm

Subgingival application of the Air-Flow Method is said to allow for smooth and efficient removal of bacteria in the periodontal pocket. A patented ...

Enregistrer
advertisement

Sirona : une grande société aux États-Unis

NEW YORK - Sirona, leader de l'industrie dentaire, a été classée, selon une étude publiée par le magazine Institutional ...

Enregistrer

Les implants dentaires voient une plus forte croissance dans les marchés émergents

NEW YORK, États-Unis / LEIPZIG: Premium Manufacturers sont le moteur du marché pour les implants dentaires et les substituts osseux dans des ...

Enregistrer

La technologie SLActive améliore la compatibilité

Les implants dentaires ont fourni un moyen efficace pour restaurer les dents depuis plus de 20 ans. Les nouveaux défis pour l'amélioration du ...

Enregistrer

Materialise Dental et Zimmer Dental établissent un partenariat

Materialise Dental a annoncé qu'elle a établi un partenariat avec Zimmer Dental. À la suite de ce partenariat, une solution ...

Enregistrer

Montréal accueille les dentistes du monde entier

MONTREAL : Après une fréquentation record en 2010, plus de 12.000 délégués sont attendus à la 40e édition ...

Enregistrer

Comprendre la douleur et obtenir des résultats : hypersensibilité et anxiété

Identifier si, oui ou non, votre patient est vraiment hypersensible des dents par rapport à une crise d'anxiété dentaire pouvait ...

Enregistrer
advertisement

Les scientifiques japonais ont mis au point un substitut pour les métaux dentaires

Hong Kong / Leipzig, Allemagne: Des scientifiques de l'Université de Kyoto, Japon, ont déclaré qu'ils avaient mis au point un nouvel ...

Enregistrer

Réadaptation esthétique de dents antérieures hypoplasiques en utilisant le Laser LiteTouch Er:YAG. Un rapport de cas.

L'hypoplasie de l'émail (HE) est une anomalie de l'émail dentaire qui résulte en une quantité d'émail moindre que la ...

Enregistrer

Prothèse partielle fixe implanto-vissée

Une prothèse partielle fixe implanto- vissée présente certains avantages physiques. Toutefois, selon plusieurs études elles ont ...

Enregistrer
advertisement

Un nouveau dispositif permet aux patients de moins craindre la fraise du dentiste

LONDRES, Royaume-Uni / LEIPZIG, Allemagne: la technologie anti-bruit pourrait bientôt être disponible dans les cabinets dentaires. Les ...

Enregistrer

Sécurité et fiabilité avec la technologie CFAO

Aujourd'hui, les prothésistes dentaires et les dentistes généralistes sont concernés par un nombre sans cesse croissant de ...

Enregistrer

Où sont passés tous les parodontistes ?

Lors de mes voyages hebdomadaires dans différentes villes d'Amérique, je parle à de nombreux spécialistes des soins dentaires et...

Enregistrer

Moins de peur du dentiste

Très peu de gens ont peur de la visite chez le dentiste, comme l'écrit l'"Apotheken Umschau".

Enregistrer
advertisement

Dentisterie globale prévisible

Dans l'exercice à long terme de la dentisterie globale, la forme, fonction, l'esthétique et la stabilité sont des attributs pour ...

Enregistrer
advertisement

Encourager le partenariat public-privé dans les enquêtes médico-légales

Le Dr B. Ashith Acharya est un spécialiste international en médecine légale de l'Inde. En 2005, il a aidé à mettre en ...

Enregistrer

Apprendre à regarder

Des orthodontistes se plaignent du fait que des patients disent qu'ils ne peuvent pas se permettre de traitement dentaire pour des raisons ...

Enregistrer

Implants migrés dans le sinus maxillaire

Comme prévu, la croissance des implantations dentaires a considérablement augmenté, ces dernières années. En ...

Enregistrer

Un rapport encourage parodontistes et cardiologues à unir leurs forces

CHICAGO, IL, États-Unis : les maladies cardiovasculaires (MCV), principale cause de décès aux États-Unis, est un problème...

Enregistrer
advertisement

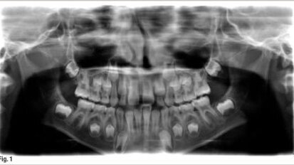
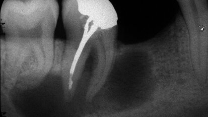
Évaluation complète d’un traitement de canal radiculaire supérieur

J'ai récemment reçu un e-mail, d'un dentiste généraliste, avec l'image de la dent 27 (image 1). Le mail : "j'ai une ...

Enregistrer

Le plasma froid volatilise les biofilms

LOS ANGELES, CA, États-Unis : Dans la recherche de nouveaux procédés pour combattre, en sécurité, les infections à...

Enregistrer

Indications implantaires en 2010

L’implantologie connait depuis une quinzaine d’année un essor tout particulier. Si l’indication principale est l’absence ...

Enregistrer

Coenzyme Q10 : une molécule naturelle améliore l’état gingival

Le coenzyme Q10 est synthétisé par le foie humain dès la naissance. Sans lui, pas de vie cellulaire possible. L’alimentation ...

Enregistrer
advertisement
advertisement