Les erreurs s’accumulent durant les interventions. C’est pourquoi le bâclage de l’accès au début d’un traitement des canaux radiculaires (TCR) est encore plus dévastateur que, disons, des problèmes dus à une mauvaise adaptation d’un cône de gutta-percha juste avant de terminer le traitement.
Vous ratez un canal et le cas va au tapis, même si la suite de l’intervention est menée magistralement. Vous perforez la dent et, d’un coup, le titane commence à sembler mieux. Vous taillez d’énormes cavités d’accès et vous pouvez vous attendre à un nombre relativement important de fractures radiculaires dans les cinq années qui suivent le traitement. Bref, vous passez par-dessus le protocole d’accès en commençant l’instrumentation des canaux avant la création d’un trajet parfaitement lisse et droit jusqu’à chaque entrée canalaire, et vous le payez toujours cher à chaque fois qu’une lime, une aiguille d’irrigation, une sonde exploratrice, un cône de gutta-percha, une pointe de papier ou un fouloir est introduite dans un canal.
Il s’agit là moins d’une critique que d’un humble témoignage des manières que les dents et leurs systèmes de canaux radiculaires ont trouvé pour m’apprendre, le plus souvent à la dure, à passer le temps nécessaire à créer des accès parfaits aux canaux, avant de tenter d’y travailler. Alors pourquoi dois-je toujours avoir une discussion avec moi-même avant de commencer chaque cavité d’accès — même encore après 35 ans — pour être certain de poser le pied là où il faut, afin de pouvoir m’aventurer plus loin sans danger ?
Zen et l’art de l’accès endo
Dans son livre « Traité du zen et de l’entretien des motocyclettes »1, Robert Persig raconte l’épouvantable irritation dont il avait été saisi en raison d’une tête de boulon défectueuse qui l’empêchait de démonter le protège-carter de sa moto, avant même de pouvoir la réparer. La remise en état ne pouvait continuer avant qu’il n’ait résolu ce problème de démontage. Il s’était pourtant fait à l’idée que le travail prendrait plusieurs jours. Alors, pourquoi cette rage devant cette impasse ? Il ne comprenait pas. Plus il y réfléchissait, plus sa réaction instinctive le consternait, jusqu’au moment où il avait compris qu’il ne devait sa désorientation, qu’à une sous-estimation de cette première partie du long processus de remise en état. En pensée, il était déjà au-delà, dans les réparations plus lourdes, telles que l’ouverture du boîtier du cylindre, le rodage du cylindre, le remplacement du piston puis le réassemblage du tout. Lorsqu’il s’était rendu compte que rien n’avancerait avant qu’il n’ait réussi à démonter le protège-carter, il avait fait du retrait de cette pièce une tâche unique et primordiale, un exploit qui lui donnerait un contentement en soi, s’il parvenait à l’accomplir dans les quelques prochaines heures.
Il en est ainsi de l’endodontie. Dès que l’on a compris à quel point la qualité des préparations d’accès est essentielle à la poursuite du traitement, pénétrer dans un canal avant d’y assurer un trajet idéal, apparaît pire que le crissement des ongles sur un tableau noir. Aristote avait vu juste — L’excellence n’est pas un acte, mais une habitude. Et à présent, à quoi ressemblent les habitudes d’excellence de l’accès dans ce 21e siècle ?
Ne pas planifier, c’est planifier l’échec
Dans son livre « The Checklist Manifesto »2, Atul Gawande décrit l’importance d’une planification qui ne se limite pas simplement à ce qu’il faut faire, mais englobe chaque aspect dans le moindre détail, du début à la fin, si l’on vise des résultats constamment idéaux. L’imagerie préopératoire définit-elle avec précision les problèmes anatomiques ? Le clinicien dispose-t il des grossissements et de l’éclairage suffisants ? Les instruments de coupe sont-ils adéquats et bien choisis ? Les emplacements, les angles et les profondeurs des orifices sont-ils bien déterminés, avant de commencer l’intervention ? Les longueurs de travail maximales garantissant la sécurité de l’intervention sont-elles indiquées sur les fraises utilisées pour la préparation de l’accès ? Des solutions pour traiter des canaux calcifiés qui s’opposent à l’accès ont-elles été envisagées ? etc.
En d’autres termes, la rengaine de E. Neumann « Quoi ? Moi, m’en faire ? » n’est pas de mise pendant cette phase critique. Inversement, lorsque le plan de traitement et la préparation d’une cavité d’accès idéale tiennent compte de chacun des aspects critiques, la suite de l’intervention se simplifie, au fur et à mesure que l’on approche de la fin.
Imagerie radiographique
Nous ne penserions même pas un traitement canalaire (TCR) sans l’invention de la radiographie dentaire par Röntgen. On peut donc invoquer sans trop exagérer la nécessité absolue d’une radiographie préopératoire parfaite. Une imagerie par rayons X préopératoire idéale doit inclure un cliché en incidence orthogonale, qui sépare parfaitement les contacts mésiaux et distaux - radiographie périapicale ou rétrocoronaire -, puis au moins un cliché parfait, pris en incidence oblique, afin de capturer les données du plan Z (vestibulo-lingual) de la dent concernée.
Dans ma pratique, un cliché des dents antérieures et des prémolaires en incidence oblique mésiale fonctionne très bien, car la capture de l’image est beaucoup plus facile sous cet angle que sous l’angle distal, et pour les dents antérieures et les prémolaires, une incidence mésiale en dit autant de l’anatomie radiculaire, qu’une incidence distale. Dans les molaires, c’est différent. Dans ces dents, un cliché en incidence distale est de loin préférable à une prise en incidence oblique mésiale, qui entraîne une superposition du corps de la racine et de la structure radiculaire distale courbe. Une incidence distale par contre, projette l’extrémité apicale radiculaire latéralement et la rend davantage visible sur la radiographie.
Évidemment, l’endodontie bénéficie d’un avantage indu grâce à l’imagerie tomographique volumique numérisée à faisceau conique (CBCT). S’il était dit que je pouvais disposer d’un microscope ou d’un scanner, mais pas des deux en même temps, je choisirais chaque fois l’imagerie tridimensionnelle (3D). Seule l’imagerie CBCT peut capturer la structure mésiale de la racine– l’image qui nous dévoile « la vie secrète des canaux radiculaires » – le plan vestibulo-lingual qui présente le niveau maximal de complexité anatomique. L’une des plus grandes satisfactions de posséder un scanner au cabinet dentaire, c’est avoir la certitude qu’il n’y a qu’un seul canal dans la racine mésio-vestibulaire d’une molaire supérieure avant de commencer le protocole d’accès. À l’opposé, l’une des frustrations, mais rare, de cette technologie, c’est lorsque le volume reconstruit révèle deux ou trois canaux dans une racine, qui semblait n’en présenter qu’un seul à l’examen approfondi du clinicien.
Le premier cadeau qu’offre l’imagerie CBCT au monde de l’endodontie est la révélation de tous les canaux présents dans une dent particulière. Le second cadeau est la possibilité de réduire fortement les dimensions de la cavité d’accès car celle-ci n’est plus le poste d’observation principal de la cavité pulpaire et des structures situées au-delà. En fait, la tomodensitométrie est la seule image indispensable à la compréhension des réalités anatomiques des espaces radiculaires, elle permet de n’utiliser les cavités d’accès qu’aux fins de traitement, plutôt que comme des portes ouvertes sur les voies d’exploration. Finalement, les techniques de préparation des accès nécessaires au TCR seront réalisées au moyen de guides de forage fabriqués grâce au scanner, qui permettront de traiter des molaires au travers de trois à quatre minuscules orifices de 1 mm, plutôt que des cavités d’accès de 2 à 4 mm utilisées aujourd’hui.3
Forme du contour
Maintenant, quels sont les objectifs à considérer lorsque nous planifions l’invasion d’un espace radiculaire ? Fondamentalement, les meilleures cavités d’accès sont préparées dans le respect d’un équilibre entre forme de conservation et forme de convenance. Nous éliminons aussi peu de structure dentaire que possible, tout en assurant des trajets idéaux dans chaque canal. Les objectifs visés pour les formes des contours cavitaires deviennent alors assez simples ; nous voulons une forme de convenance, sinon nous ne pourrions pas accomplir notre tâche, mais nous nous efforçons toujours de préserver l’intégrité structurale de la dent. Cela se résume à trois objectifs facilement mémorisables :
1) Dans les dents antérieures et les prémolaires, la forme de conservation se retrouve dans la dimension mésio-distale. Traditionnellement, la forme du contour de la cavité d’accès des dents antérieures est triangulaire, en raison des cornes pulpaires mésiale et distale présentes dans ces dents – logique, jusqu’à ce que l’on songe aux conséquences structurales, qui se traduisent par une fragilisation inutile de la structure coronaire pour garantir le nettoyage de ces cornes pulpaires, alors que la préparation de la plus petite cavité rétentive possible au moyen d’une fraise Müller no 2 ou d’un insert ultrasonique BUC-1 (Spartan) pourrait aussi suffire. Les prémolaires possèdent des cavités pulpaires semblables à la forme d’une main, qui sont heureusement organisées selon une direction vestibulo-linguale. L’angle du contour recommandé pour la cavité ovale allongée est également vestibulo-lingual, ce qui combine simultanément la forme de convenance et la forme de conservation.
Dans les dents antérieures, la forme de convenance est plus délicate à réaliser car le bord incisif doit être évité, par égard pour les objectifs esthétiques de l’après traitement endodontique. Par conséquent, elle requiert une préparation plus profonde sous le cingulum, afin de permettre l’obtention d’un trajet d’entrée plus rectiligne, tout en respectant la « zone d’exclusion » du bord incisif. L’erreur la plus redoutable dans la préparation d’une cavité d’accès antérieure est de ne pas réaliser une découpe adéquate dans ce que le Dr Schilder appelait le « triangle dentinaire lingual » sous le cingulum, et ceci peut être accompli avec une fragilisation structurale minimale, lorsque la dimension mésio-distale est conservée entre 1 à 1,5 mm de large (Fig. 1).
Fig. 1 : Incisive centrale supérieure avec cavité d’accès ovale allongée préparée près du bord incisif, suffisamment sous le cingulum, de faible largeur dans la dimension mésio-distale. (Photos : fournies par le Dr L. Stephen Buchanan, sauf indication contraire)
Fig. 2 : Prémolaire inférieure avec cavité d’accès ovale, allongée vers un seul canal radiculaire. À noter le décalage de la cavité d’accès vers les crêtes cuspidiennes vestibulaires d’appui et à courte distance de la cuspide guide linguale, mais centrée sur la structure radiculaire, comme le confirme le crampon pour digue en caoutchouc engagé dans la jonction amélo-cémentaire.
Fig. 3 : Préparation sagittale d’une molaire supérieure avec cavité d’accès inclinée en direction mésiale, parallèle à la face mésiale de la dent et à courte distance de la moitié distale de la dent.
Figs. 4a et b : Cavités d’accès réalisées dans une molaire préparée pour une couronne et requérant un traitement canalaire (à gauche). Radiographie postopératoire (à droite) montrant le résultat admirable de la mise en forme du canal radiculaire, du nettoyage et de l’obturation – malgré la dimension minimale de l’orifice d’accès. À noter le plafond de la cavité pulpaire qui subsiste largement. (Photos : fournies par le Dr Steve Baerg)
Figs. 4a et b : Cavités d’accès réalisées dans une molaire préparée pour une couronne et requérant un traitement canalaire (à gauche). Radiographie postopératoire (à droite) montrant le résultat admirable de la mise en forme du canal radiculaire, du nettoyage et de l’obturation – malgré la dimension minimale de l’orifice d’accès. À noter le plafond de la cavité pulpaire qui subsiste largement. (Photos : fournies par le Dr Steve Baerg)
Fig. 5 : Radiographie postopératoire d’une molaire inférieure traitée au travers de la lésion carieuse mésiale et d’un autre petit accès au niveau de la fosse centrale. La préservation de la dentine entre les points d’accès est appelée configuration d’accès en « ferme ». (Photo : fournie par le Dr John Khademi)
Fig. 6 : Cette radiographie postopératoire montre un très petit orifice d’accès cavitaire. Les cornes pulpaires latérales mésiale et distale ont été laissées intactes pendant le traitement canalaire et obturées au cours de la phase de restauration postendodontique. Cet aspect est une source de fierté au sein du club IBAC. (Photo : fournie par le Dr Jeff Pafford)
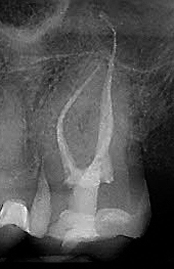
Fig. 7 : Molaire inférieure présentant une calcification presque totale de la cavité pulpaire avant le traitement canalaire, accompli au travers de deux orifices d’accès très précis, laissant entre eux un isthme d’une hauteur de 0,75 mm dans la cavité pulpaire. À noter les résultats finaux du traitement dans les tiers apicaux de chaque canal. (Photo : fournie par le Dr N. Pushpak)
Fig. 8 : Cette conception de cavité d’accès restaurée relevait de l’opportunisme au meilleur sens du terme. La pathologie endodontique de ce patient a été traitée pratiquement sans aucune élimination de structure dentaire. L’intégrité structurale de la dent a été préservée grâce à l’utilisation de la lésion carieuse nettoyée comme cavité d’accès. Aucun besoin d’une couronne de recouvrement total. (Photo : fournie par le Dr Michael Trudeau)
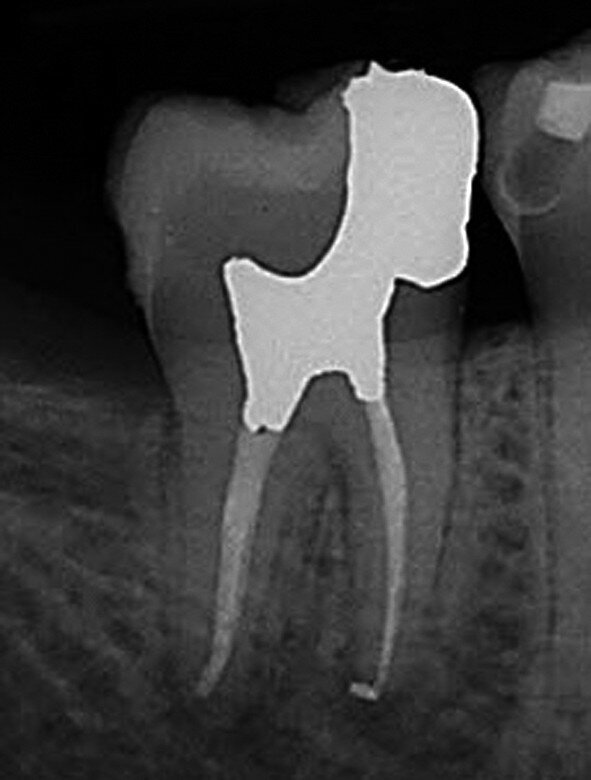
Fig. 9 : Cette molaire inférieure a été traitée au travers d’un orifice d’accès de moins de 2 mm2, préparé juste derrière l’arête triangulaire de la cuspide MV. À noter le traitement final des tiers apicaux des quatre canaux, malgré la dimension réduite de l’orifice. (Photo : fournie par le Dr Charles Maupin)
Fig. 10 : Radiographie postopératoire d’une molaire inférieure traitée par une autre configuration en ferme – une cavité d’accès avec « orifice en X » – un motif qui minimise l’élimination de structure dentaire dans la partie critique de la dent (cas de l’auteur).
Figs. 11a–c : Depuis la gauche : plan de traitement virtuel pour un accès endodontique guidé par scanner (CT-GEA). La dent à traiter est segmentée par le scanner volumique, des trajets d’accès idéaux sont tracés au travers de la face occlusale de la dent, et un guide de forage CT-GEA est imprimé en 3D.
Figs. 11a–c : Depuis la gauche : plan de traitement virtuel pour un accès endodontique guidé par scanner (CT-GEA). La dent à traiter est segmentée par le scanner volumique, des trajets d’accès idéaux sont tracés au travers de la face occlusale de la dent, et un guide de forage CT-GEA est imprimé en 3D.
Figs. 11a–c : Depuis la gauche : plan de traitement virtuel pour un accès endodontique guidé par scanner (CT-GEA). La dent à traiter est segmentée par le scanner volumique, des trajets d’accès idéaux sont tracés au travers de la face occlusale de la dent, et un guide de forage CT-GEA est imprimé en 3D.
Figs. 12a–d : Depuis la gauche : Cas de l’auteur : dent
37 présentant une fracture radiculaire ; cette dent
montée dans un modèle en plâtre-pierre après extraction,
avec impression du guide de forage CTGEA
monté et du premier foret en place ; les deux
petits orifices d’accès préparés au moyen du guide
de forage ; et la radiographie postopératoire montrant
l’adaptation des cônes dans les canaux après leur négociation et leur mise en forme.
Figs. 12a–d : Depuis la gauche : Cas de l’auteur : dent
37 présentant une fracture radiculaire ; cette dent
montée dans un modèle en plâtre-pierre après extraction,
avec impression du guide de forage CTGEA
monté et du premier foret en place ; les deux
petits orifices d’accès préparés au moyen du guide
de forage ; et la radiographie postopératoire montrant
l’adaptation des cônes dans les canaux après leur négociation et leur mise en forme.
Figs. 12a–d : Depuis la gauche : Cas de l’auteur : dent
37 présentant une fracture radiculaire ; cette dent
montée dans un modèle en plâtre-pierre après extraction,
avec impression du guide de forage CTGEA
monté et du premier foret en place ; les deux
petits orifices d’accès préparés au moyen du guide
de forage ; et la radiographie postopératoire montrant
l’adaptation des cônes dans les canaux après leur négociation et leur mise en forme.
Figs. 12a–d : Depuis la gauche : Cas de l’auteur : dent
37 présentant une fracture radiculaire ; cette dent
montée dans un modèle en plâtre-pierre après extraction,
avec impression du guide de forage CTGEA
monté et du premier foret en place ; les deux
petits orifices d’accès préparés au moyen du guide
de forage ; et la radiographie postopératoire montrant
l’adaptation des cônes dans les canaux après leur négociation et leur mise en forme.
2) Dans les dents postérieures, prémolaires et molaires, il est important de se rappeler que les faces occlusales ne sont pas centrées sur la structure radiculaire, mais sont décalées vers les cuspides guides par rapport aux racines. Étant donné que la cavité pulpaire est centrée dans la structure radiculaire, et ne l’est pas par rapport à la face occlusale, l’accès dans les dents postérieures est meilleur lorsque la préparation est proche des cuspides d’appui et se trouve à 1–2 mm des cuspides guides (Fig. 2).
3) Dans les molaires, la forme de conservation est assurée si l’on évite la moitié distale du plan occlusal. Les trajets idéaux des limes dans les canaux distaux des molaires supérieures et inférieures étant fortement inclinés en direction mésiale, les canaux distaux des molaires inférieures sont mieux indiqués par les crêtes cuspidiennes MV ou ML, et les canaux disto-vestibulaires des molaires supérieures sont mieux indiqués par les crêtes cuspidiennes palatines. On obtient la forme de convenance en préparant les cavités d’accès des molaires, de telle sorte que la paroi mésiale soit parallèle à la face mésiale de la dent (Fig. 3).
Retour des abîmes
J’ai appris la technique de Schilder à l’université du Pacifique auprès du Dr Michael Scianamblo puis, après mes études, auprès du Dr Cliff Ruddle. J’approuvais l’impératif clinique imposé par le Dr Schilder pour préparer un accès adéquat, permettant de traiter l’entièreté du système radiculaire d’une manière prévisible, et j’aimais travailler dans les grandes cavités d’accès et les formes généreuses de la partie coronaire des canaux qu’il préconisait, jusqu’au jour où j’ai été arrêté net par le Dr Carl Rieder, un prothésiste et professeur d’université renommé de Californie du Sud.
À ma question sur ce qu’il attendait le plus des endodontistes auxquels il adressait ses patients, il a répondu : « Que vous puissiez simplement aspirer la pulpe, sans éliminer la moindre structure dentaire ». Au cours de notre conversation, j’en suis venu à mieux comprendre la nécessité structurale absolue d’une conservation des dents à long terme, ce qui m’a entraîné sur le chemin d’une quête d’instruments et de techniques qui nous permettraient de parvenir aux mêmes résultats endodontiques, toujours idéaux au travers d’entrées des canaux et de formes de leur partie coronaire plus petites.
Cette quête a finalement été une source d’inspiration pour mon invention des limitations MFD (diamètre maximal de la longueur cannelée) appliquées aux limes rotatives GT et GTX (DENTSPLY Tulsa Dental Specialties), des fraises diamantées LAX (Line Angle Extension) GuidedAccess de Sybronendo, et des techniques d’obturation au moyen de dispositifs de condensation souples, tels que les fouloirs chauffés électriquement pour la condensation en vague continue du Système B (Sybronendo) et les obturateurs GT/GTX (DENTSPLY Tulsa Dental Specialtie).
Itty Bitty Access Committee, le tout petit comité d’accès
Depuis ce premier éveil dans les années 1980, j’ai été la voix qui prêchait dans le désert jusqu’à ces 10 dernières années, période où une nouvelle génération de chirurgiens-dentistes et d’endodontistes, empêtrés dans la nouvelle réalité des implants comme solution de remplacement du TCR, ont entendu l’appel à des résultats à plus long terme grâce à une meilleure préservation des structures et sont finalement devenus ce que je nomme à la blague le « Itty Bitty Access Committee » (IBAC).
Comme cela se produit souvent, quelqu’un en dehors de notre spécialisation, un chirurgien-dentiste omnipraticien nommé David Clark, est entré dans le salon de l’endodontie pour y parler de l’éléphant nommé accès qu’on y trouvait. Il a éveillé la curiosité de mon ami le Dr John Khademi sur les possibilités que des cavités d’accès plus conservatrices pouvaient offrir à notre spécialisation,4 et l’un après l’autre, de jeunes endodontistes se sont joints au jeu de qui était capable de réaliser un TCR parfait au travers de la plus petite cavité d’accès possible. Ce groupe de jeunes talents ad hoc a lancé le club IBAC.
Les cas illustrés dans les figures 4 à 10 – la plupart accomplis par les membres d’IBAC – m’ont comblé de bonheur et effrayé en même temps. Mais que diable me fichent-ils là ? Des entrées minuscules, laissant des plafonds de cavités pulpaires intacts, des cornes pulpaires latérales exposées, ou effectuant simplement un TCR complet au travers de cavités de restauration déjà préparées !
Après être revenu de mon choc initial à la vue de ce qu’ils accomplissaient, j’ai commencé à comprendre que l’avenir de l’endo était dans d’excellentes mains, et j’ai aussi compris que ma technique, développée pour la chirurgie endodontique – CT-GES ou chirurgie endodontique guidée par scanner – pouvait également être appliquée au traitement classique (Figs. 11a–12d).
Et le matin se lève sur la planète endodontique.
Note de la rédaction : cet article est paru dans Clinical Masters magazine, Vol. 1, 1/2015 et dans le Dental Tribune France 2018/02. Une liste complète des références est disponible auprès de l’éditeur.
La préparation de la cavité d’accès représente la première étape opératoire de tout traitement endodontique, et son rôle est fondamental pour ...
Selon le chirurgien-dentiste norvégien, Dr Oystein Fardal, un contrôle de qualité dans le traitement parodontal fait significativement ...
88% d’entre vous possèdent une machine à mélanger les matériaux à empreinte et 8 sur 10 d’entre vous en sont ...
L’hygiène et la maîtrise des risques infectieux sont une préoccupation croissante des professionnels de la santé et des ...
Tous les appareils CBCT de Planmeca proposent trois types d'imagerie 3D ainsi qu’une imagerie péricoronaire extra-orale (bitewing extraoral), ...
OSLO, Norvège : Des chercheurs de l'université d'Oslo, ont développé un nouvel échafaudage artificiel qui facilite la ...
LEEDS, Angleterre : Les patients traités pour un cancer de la tête et du cou peuvent souffrir d’une diminution de la fonction salivaire, d’un risque ...
Certaines informations nous interpellent : les germes gram-négatifs des parodontopathies auraient un rôle décisif dans les ...
47,2% des sondés possèdent une machine à détecter les couleurs de la dent et un praticien sur quatre en est satisfait. Pourquoi ...
DALLAS, États-Unis : Selon des données issues d’une enquête gouvernementale réalisée en 2019, environ 29 millions d’Américains consultent chaque ...
Webinaire en direct
jeu. le 14 mai 2026
à 18h00 (CET) Paris
Webinaire en direct
jeu. le 14 mai 2026
à 20h00 (CET) Paris
Prof. Hani Ounsi DDS PhD FICD
Webinaire en direct
mar. le 19 mai 2026
à 17h00 (CET) Paris
Webinaire en direct
mar. le 19 mai 2026
à 19h00 (CET) Paris
Prof. Dr. med. dent. Ivo Krejci
Webinaire en direct
mer. le 20 mai 2026
à 13h00 (CET) Paris
Dr. Graham Carmichael BDSc (Hons), DClinDent (Pros), FRACDS, Dr. Robert Gottlander DDS
Webinaire en direct
mer. le 20 mai 2026
à 15h00 (CET) Paris
Webinaire en direct
mer. le 20 mai 2026
à 19h00 (CET) Paris
Prof. Dr. med. dent. Tim Joda PhD, MSc, eMBA
To post a reply please login or register