Le traitement orthodontique par aligneurs transparents a gagné en popularité au cours de la dernière décennie. Les patients en besoin d’un traitement orthodontique apprécient les avantages d’un appareil discret qu’ils peuvent retirer pour se brosser les dents et manger. Durant la pandémie de la Covid-19, la restriction du nombre des visites au cabinet d’orthodontie et du temps passé au fauteuil a également joué en faveur de cette technique.
Outre les avantages esthétiques du traitement par aligneurs transparents, l’orthodontiste tire profit de certains aspects techniques, quant à la précision et la prédictibilité des mouvements dentaires. Les principes de la biomécanique appliqués à l’aligneur par le logiciel de traitement, permettent de créer des mouvements dentaires orthodontiques dans des directions difficilement réalisables avec les appareils classiques, tels que la distalisation postérieure. Il est ainsi possible de vraiment corriger une relation dentaire de classe II. De plus, la matière plastique de l’aligneur est efficace pour prévenir une vestibulo-version indésirable des incisives, non seulement pendant la phase de distalisation, mais aussi tout au long du traitement. Les aligneurs peuvent donc mener à de bons résultats du traitement sans entraîner une inclinaison excessive des incisives vers l’avant, dans de nombreux cas d’encombrement dentaire modéré à sévère. Cet article présente une étude de cas qui met en évidence les avantages de ces dispositifs.
Étude de cas
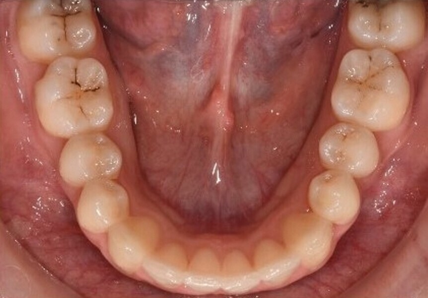
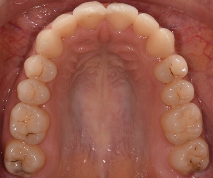
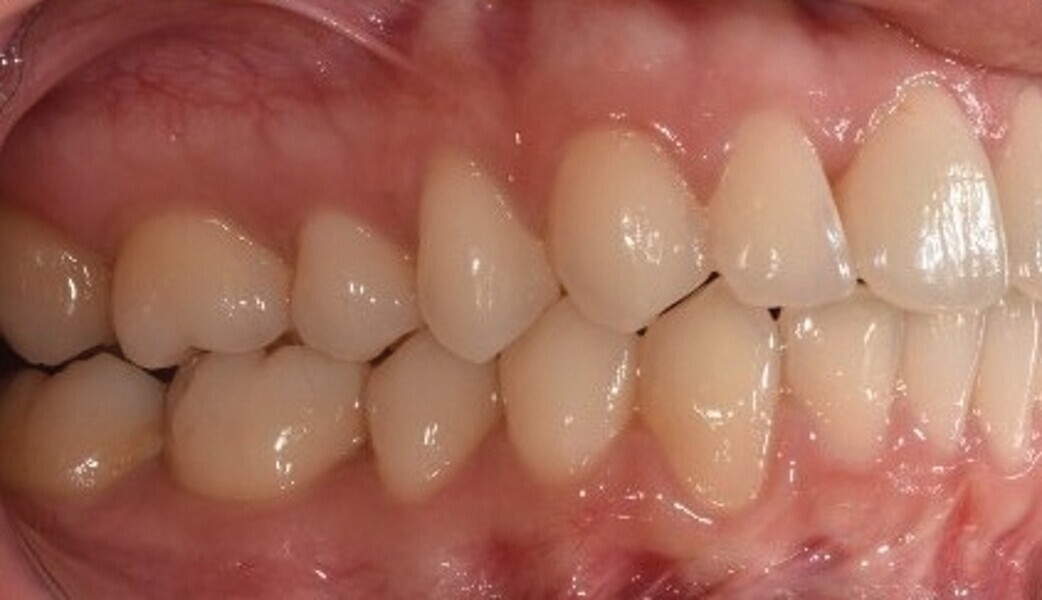
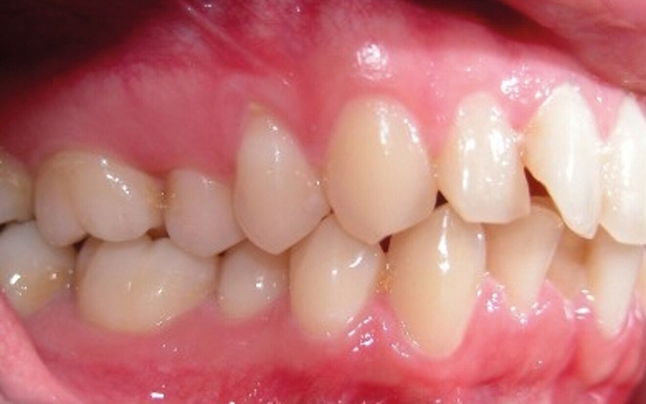
Le motif principal de consultation de la patiente, une jeune femme de 27 ans, est un encombrement dentaire accompagné d’une occlusion mal équilibrée. Danseuse de profession, elle se tracasse énormément au sujet de son apparence lors de ses apparitions publiques si elle entreprend un traitement. L’examen clinique révèle une relation d’Angle de classe I du côté droit et une relation molaire canine de classe II du côté gauche (Fig. 1).
De ce côté, les molaires, les prémolaires et la canine sont en occlusion croisée. L’examen ne montre aucun déplacement latéral fonctionnel de la mandibule. La ligne médiane maxillaire est en harmonie avec la symétrie faciale, mais la ligne médiane mandibulaire est déviée vers la gauche, en raison d’un décalage des dents de 4 mm. On observe un encombrement important des dents inférieures, évalué à 11 mm, et un encombrement modéré de 10 mm au niveau de l’arcade maxillaire. Les racines des dents 31, 33 et 43 semblent proches du rebord vestibulaire de l’os cortical, et les deux arcades présentent un rétrécissement dans la région des prémolaires et molaires.
Fig. 1b : Photographie intraorale initiale.
Fig. 1c : Photographie intraorale initiale.
Fig. 1d : Photographie intraorale initiale.
Fig. 1e : Photographie intraorale initiale.
Fig. 2 : Radiographie panoramique initiale.
Fig. 3 : Radiographie céphalométrique initiale
L’analyse radiographique indique une structure et une morphologie normales des racines. Un vestige radiculaire est encore présent dans la zone de la dent 38 qui a été extraite (Fig. 2). L’analyse céphalométrique montre un schéma squelettique de classe I avec vestibulo-version légèrement marquée des incisives maxillaires et mandibulaires (Fig. 3).
Pour cette patiente, les aligneurs transparents Invisalign (Align Technology) représentent le traitement de choix et le plan de traitement orthodontique est établi en fonction des objectifs suivants :
corriger l’occlusion croisée du côté gauche et établir une relation molaire et canine de classe I ;
élargir les arcades et leur donner une forme anatomique ; et
corriger l’encombrement de façon à aligner les incisives incisives maxillaires et mandibulaires avec un minimum de réduction interproximale, sans augmentation supplémentaire de la version antéropostérieure.
Fig. 4a : Premier résultat prévu par simulation ClinCheck.
Fig. 4b : Premier résultat prévu par simulation ClinCheck.
Fig. 4c : Premier résultat prévu par simulation ClinCheck.
Fig. 4d : Premier résultat prévu par simulation ClinCheck.
Fig. 4e : Premier résultat prévu par simulation ClinCheck.
Le premier plan de traitement par simulation ClinCheck prévoit 53 aligneurs, afin de réaliser une distalisation séquentielle postérieure d’environ 4 mm sur le côté gauche du maxillaire, une expansion de 2 mm par quadrant et un alignement dans la zone antérieure. Il prévoit également une réduction interproximale (RIP) sélective de 0,25 mm sur chaque face des dents de l’arcade mandibulaire, et de 0,10 mm à 0,15 mm pour les dents de l’hémiarcade maxillaire droite (Fig. 4). Une application topique de fluorure est planifiée dans les zones soumises à une RIP après la procédure. Des élastiques de classe II sont utilisés du côté gauche pour faciliter la distalisation. La fréquence de changement des aligneurs est fixée à sept jours et elle sera ramenée à cinq jours par la suite. Un accélérateur de traitement orthodontique par vibrations est utilisé, afin d’augmenter la vitesse et la prédictibilité des mouvements dentaires. Le traitement n’envisage pas l’utilisation d’aligneurs de surcorrection.
Fig. 5a : Plan supplémentaire du traitement par aligneurs conçu par ClinCheck (début).
Fig. 5b : Plan supplémentaire du traitement par aligneurs conçu par ClinCheck (début).
Fig. 5c : Plan supplémentaire du traitement par aligneurs conçu par ClinCheck (début).
Figs. 5d : Plan supplémentaire du traitement par aligneurs conçu par ClinCheck (début).
Fig. 5e : Plan supplémentaire du traitement par aligneurs conçu par ClinCheck (début).
La première série d’aligneurs permet de réaliser les mouvements orthodontiques programmés dans le logiciel avec une efficacité supérieure à 95 % (Fig. 5), et d’obtenir une forme anatomique des arcades, une correction de l’occlusion croisée et de la relation de classe II du côté gauche, une réduction de l’encombrement dans le maxillaire et la mandibule, et un alignement des lignes médianes. Au terme de cette première phase, les observations cliniques indiquent une infraclusion postérieure, résultant de l’intrusion passive des dents postérieures due à l’épaisseur du matériau de l’aligneur, et des contacts antérieurs prématurés. Quelques mouvements dans la zone incisive mandibulaire sont encore nécessaires pour terminer le traitement, et un deuxième jeu d’aligneurs est donc prévu pour éliminer les problèmes et finaliser la position des dents.
Le deuxième plan ClinCheck consiste en 16 aligneurs maxillaires et mandibulaires afin d’effectuer une extrusion des dents postérieures maxillaires et mandibulaires, ainsi qu’une rétraction des incisives mandibulaires de façon à alléger les contacts et fermer l’infraclusion dans la région postérieure. L’accélérateur de traitement par vibrations est toujours utilisé quotidiennement, et l’intervalle de changement des aligneurs est fixé à cinq jours, puis à trois jours par la suite. Les derniers aligneurs ne sont portés que 12 heures par jour afin de permettre la fermeture passive finale de l’infraocclusion postérieure.
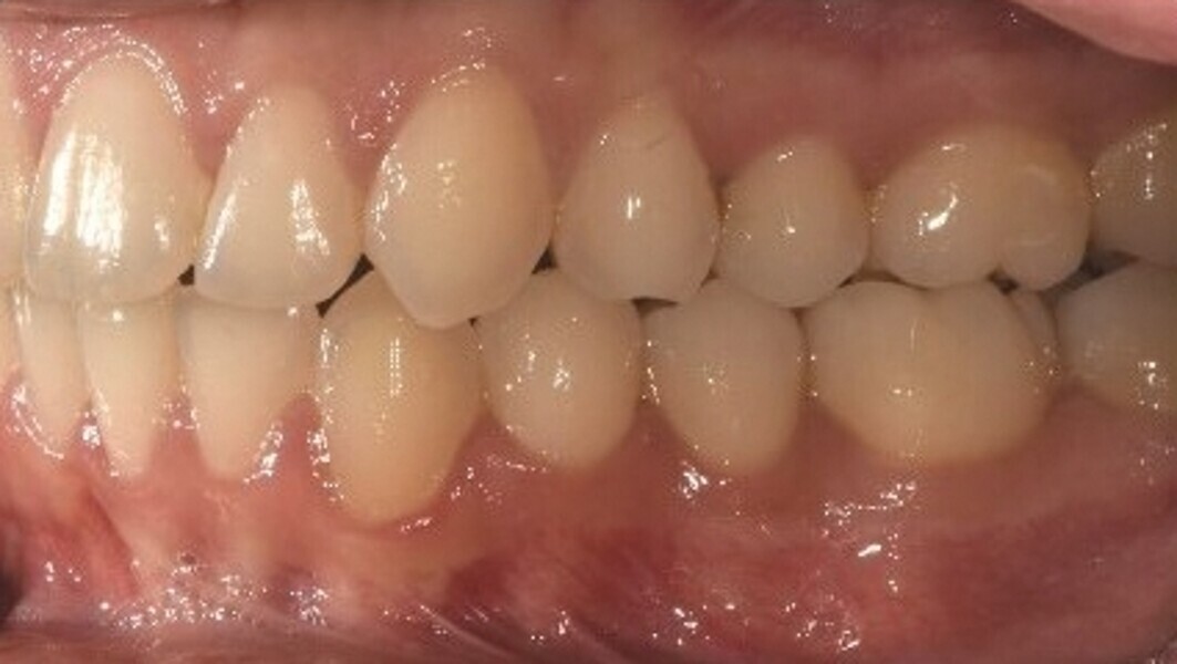
Résultats du traitement
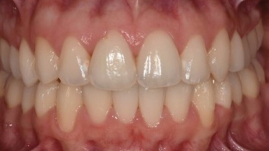
Après une période de onze mois et un nombre total de 66 aligneurs maxillaires et mandibulaires, le traitement est terminé et tous les objectifs sont atteints, à savoir une relation bilatérale de Classe I, une symétrie des arcades et la correction de l’encombrement (Fig. 6).
Fig. 6a : Photographie intraorale finale.
Fig. 6b : Photographie intraorale finale.
Fig. 6c : Photographie intraorale finale.
Fig. 6d : Photographie intraorale finale.
Fig. 6e : Photographie intraorale finale.
Fig. 7 : Radiographie panoramique finale.
Fig. 8a : radiographie céphalométrique initiale
Fig. 8b : radiographie céphalométrique finale.
La radiographie panoramique finale (Fig. 7) montre des racines parallèles et l’absence de tout signe de résorption radiculaire (bien que seules des radiographies périapicales pourraient confirmer ceci). Selon l’analyse céphalométrique, les incisives maxillaires et mandibulaires ont conservé leur position (position initiale de l’incisive mandibulaire à la ligne A-pogonion (A-Pog) : 14 mm ; position finale de l’incisive mandibulaire à la ligne A-Pog : 13 mm. Fig. 8 )
Le Dr Tommaso Castroflorio est le président et le directeur de la formation de l’European Aligner Society (EAS). Enseignant, chercheur et orthodontiste ...
La médecine anti-âge est une discipline médicale qui vise à prévenir, ralentir ou inverser les effets du vieillissement et par conséquent à aider les...
BOSTON, États-unis : L’utilisation de l’intelligence artificielle (IA) pour le suivi à distance dans la thérapie par aligneurs transparents devient ...
Éducation
Webinaire en direct mer. le 22 avril 2026 à 17h00 (CET) Paris
To post a reply please login or register