De plus en plus de patients adultes nous consultent pour retrouver un sourire harmonieux, plus esthétique, plus jeune. « Avoir des dents bien alignées » est une demande qui revient constamment. Toute la population adulte est potentiellement sujette à l’apparition d’une dysharmonie dento-maxillaire. En effet, avec le temps, des chevauchements dentaires apparaissent et/ou s’aggravent pour diverses raisons (résorption des bases osseuses, diminution du support parodontal, parafonctions...). Cependant, bon nombre de patients sont réticents à l’idée d’engager un traitement d’orthodontie.
Nous avons aujourd'hui à notre disposition, des techniques d’orthodontie esthétiques, voire invisibles (orthodontie linguale, aligneurs qui tendent à démocratiser l'orthodontie adulte). Néanmoins, un traitement d’orthodontie, même esthétique, reste contraignant (durée du traitement, perturbation du mode de vie, fréquence des rendez-vous, difficultés d’élocution, blessures, douleurs...). C’est pourquoi nous sommes souvent confrontés à des patients qui vont préférer une réhabilitation de leur sourire par éléments prothétiques. Il existe pourtant une technique permettant de réduire la durée d'un traitement d'orthodontie et d’en faciliter son déroulement : Les corticotomies. Il s'agit d'une technique chirurgicale qui consiste à réaliser des incisions verticales de la corticale osseuse interdentaire vestibulaire, au maxillaire et à la mandibule, dans le but d'accélérer le déplacement dentaire. Du fait de la demande croissante des patients adultes d'améliorer leur sourire et la pérennité de leurs dents, les traitements d’orthodontie esthétiques, associés aux corticotomies segmentaires sont de plus en plus pratiqués, en particulier grâce à l’apparition de procédures beaucoup moins invasives qu’auparavant.
Historique
Les premières corticotomies ont été décrites dès la fin du 19e siècle. Köle, en 19591 propose un protocole associant corticotomies segmentaires vestibulaires et linguales et ostéotomie horizontale sus-apicale, après élévation d’un lambeau sous périosté total. Köle développe la théorie des blocs osseux (Bony Blocks) pour expliquer des déplacements dentaires plus rapides. On pense alors qu’il est nécessaire d’obtenir une désolidarisation quasi-complète du bloc osseux soutenant les procès alvéolo-dentaires pour que le mouvement se fasse plus rapidement.
Cette technique, extrêmement invasive, n’a pas rencontré de succès majeur auprès des orthodontistes. Dans les années suivantes, des protocoles simplifiés sont décrits,2, 3, 4, 20, 21 sans ostéotomie sus-apicale, mais toujours basés sur la théorie des blocs osseux. Frost, un orthopédiste américain, met en évidence,5, 6 à la suite d’interventions chirurgicales au niveau des os longs, une augmentation de la vitesse du turnover cellulaire osseux (remodelage osseux) associé à un état d’ostéopénie transitoire, à proximité immédiate du site d’intervention. Il introduit le concept de Phénomène d’Activation Régionale ou PAR (Regional Activation Phenomenom) pour décrire ce processus de cicatrisation physiologique. De nombreuses études vont valider ce concept et des corrélations sont faites entre PAR postchirurgical et mobilité dentaire. Yaffe A. et al.7 proposent que le PAR est responsable de l’augmentation de la mobilité dentaire après une chirurgie parodontale. Verna8 montre une corrélation entre remodelage osseux et déplacement dentaire.
embedImagecenter("Imagecenter_1_1243",1243, "large");
Concept biologique des corticotomies embedImagecenter("Imagecenter_1_1243",1243, "large");
En se basant sur ces différentes études et sur le concept du PAR, les frères Wilcko (orthodontiste et parodontiste américains) introduisent en 2001 le concept biologique pour expliquer l’augmentation de la vitesse de déplacement dentaire à la suite de corticotomies.9 Cependant, leur protocole est toujours conventionnel et invasif : un lambeau muco-périosté complet, en vestibulaire et en lingual suivi des corticotomies à la fraise à os (associé éventuellement à une greffe de tissus mous et/ou osseux).
Par la suite, d’autres études montrent que l’effet du PAR se retrouve à distance des zones de corticotomies14-17 et des protocoles moins invasifs, sans lambeau, sont établis.10, 11 En 2007, Vercellotti12 introduit l’utilisation d’une micro-scie piézo-chirurgicale. Cependant, sa technique nécessite toujours l’élévation d’un lambeau vestibulaire.
Au fil de l’évolution des connaissances et de la compréhension du phénomène biologique sous-jacent (concept du PAR), les techniques vont se sont simplifier, avec des résultats équivalents. En 2009, Dibart, Sebaoun et Surmenian13 introduisent la technique de piézocision pour réaliser des corticotomies segmentaires minimalement invasives. Cette technique novatrice supprime les corticotomies palatines et le lambeau muco-périosté. Les corticotomies sont réalisées à l’aide d’un piézotome, directement au travers de la gencive attachée, après une incision verticale au bistouri. Cette technique peut être combinée à des greffes de tissus mous et/ou durs.
Indications et contre-indications des corticotomies
Les corticotomies ont pour objectif de réduire de manière significative la durée du traitement orthodontique et d'en faciliter son déroulement. Elles peuvent donc être réalisées dans la plupart des malocclusions, en particulier les classes I DDM. En effet, les corticotomies vont trouver leur intérêt dans la phase de nivellement dentaire (La durée du PAR étant temporaire, environ 4 à 6 mois). En outre, en facilitant des déplacements complexes chez l'adulte (distalisation molaire, distalisation en masse, ingressions...) les corticotomies vont permettre une simplification du plan de traitement et limiter le recours aux extractions orthodontiques. Les corticotomies sont également indiquées dans la phase de décompensation lors des traitements ortho-chirurgicaux. D'autre part, les corticotomies peuvent être réalisées quelle que soit la technique d’orthodontie utilisée (vestibulaire, lingual, aligneurs).
Les patients pouvant subir cette intervention ne doivent pas avoir de maladie parodontale active, de lésions périapicales, de pathologie osseuse locale ou générale, être sous traitement immunosuppressif ou biphosphonates ou corticoïdes (modification du turnover cellulaire). Les patients ne doivent pas présenter de risque d'endocardite infectieuse et d'antécédents de radiothérapie dans la zone cervico-faciale. Les patients fumeurs ont un risque accru d'infection postopératoire. Au préalable, un bilan parodontal et dentaire seront réalisés. Toutes les lésions carieuses, abcès périapicaux, maladie parodontale active auront été traités avant d’entamer le traitement d’orthodontie. Un détartrage, accompagné éventuellement d’un surfaçage radiculaire, sera réalisé peu avant l’intervention. Enfin, il est indispensable de réaliser un examen tridimensionnel (cone beam) du maxillaire et/ou de la mandibule afin d’objectiver l’axe des racines, l’épaisseur de la corticale, et, à la mandibule, de visualiser les foramens mentonniers.
Corticotomie laser assistée : lasercision corticotomy procedure
Le laser erbium est utilisé avec succès depuis de nombreuses années pour réaliser des chirurgies osseuses et muco-gingivales précises (sinus lift, élongations coronaires, endodontie chirurgicale, chirurgie parodontale...) Il existe deux types de lasers erbium : le laser Er:YAG (dont le milieu actif est composé d'un cristal d’yttrium, aluminium, garnet enrichi à l’erbium, longueur d’onde λ = 2 940 nm) et le laser Er,Cr:YSGG. (cristal d’yttrium, scandium, gallium, garnet, enrichi à l’erbium et au Chromium, λ = 2 780 nm). Il est important de rappeler que les lasers erbium sont les seuls et uniques lasers utilisés en odontologie permettant une action chirurgicale sur les tissus durs.
En 2012, Seifi et al.18 montrent que des corticotomies sans lambeau réalisées à l’aide d’un laser erbium (Er,Cr:YSGG, Waterlase, Biolase, États-Unis), sur des lapins, permet d’accélérer le déplacement dentaire. L'effet ablatif du laser erbium sur la corticale osseuse entraine une réponse de type PAR, sans suite postopératoire, ni effet secondaire.
Nous proposons une technique de corticotomies alvéolaires minimalement invasives, sans lambeau muco-périosté, à l’aide du laser erbium : Lasercision corticotomy procedure.
Principe de fonctionnement du laser erbium
Les longueurs d'onde des lasers erbium (2 940 et 2 780 nm) sont fortement absorbées par l'eau et par l'hydroxyapatite. L'énergie du pulse transmise aux molécules d'eau va entrainer une vaporisation instantanée et localisée (5 μm de profondeur).
L'élévation brutale de la pression intratissulaire va provoquer une micro-explosion (on parle de vaporisation explosive) et la dissociation des cellules du tissus cible. C'est l'effet photo-ablatif. Il y a également une action directe sur l'hydroxyapatite (effet photomécanique), mais moindre. Du fait de la forte absorption par l'eau, il n'y a aucune carbonisation du tissu cible. En outre, il n'y a aucun effet thermique à distance, donc aucun risque de nécrose tissulaire. L'ablation étant très localisée (5 μm de profondeur) nous obtenons une incision extrêmement fine.
Procédure clinique à l’aide du laser erbium
L’intervention est réalisée quelques jours après la pose des brackets orthodontiques, voire le jour même lorsque nous utilisons la technique par aligneurs transparents. Nous utilisons le laser Er:YAG (λ = 2 940 nm) LightWalker® AT de la société Fotona (Ljubljana, Slovénie). La puissance utilisée est de 2 W au niveau de la gencive attachée (Energie = 200 mJ, fréquence des pulses = 10 Hz, mode MSP + Sprays d’eau et d’air) puis 3 W (Energie = 200 mJ, fréquence des pulses = 15 Hz, mode QSP + Sprays d’eau et d’air). Ces puissances sont suffisantes pour permettre une ablation gingivale et osseuse rapide, sans risque d’atteinte thermique.
Nous réalisons une anesthésie locale au préalable. Nous utilisons un Tip biseauté permettant une incision extrêmement fine de la gencive et de l’os. L’intervention est effectuée uniquement en vestibulaire. Nous pénétrons directement à l’aide du tip au travers de la gencive attachée, jusqu’à atteindre la corticale osseuse. Le Tip doit toujours avoir une angulation comprise entre 45° et 60° par rapport à la surface. Le Tip est utilisé en précontact. Il faut éviter de toucher la gencive et la corticale osseuse. Nous conseillons de débuter l’incision au niveau de la jonction muco-gingivale et de remonter jusqu’au niveau de la papille interdentaire, sans la léser. Plusieurs passages sont nécessaires. Il est recommandé de « balayer » la surface en repartant à chaque fois du point de départ, afin de ne pas dilacérer la gencive avec le Tip. Ensuite, nous réalisons une ablation de l’os alvéolaire entre chaque dent que l’on souhaite déplacer, selon la même procédure que pour la gencive attachée (balayage d’apical à coronal pour ne pas toucher la corticale avec le Tip).
La profondeur de pénétration intracorticale est d’environ 2 à 3 mm, en fonction de l’épaisseur de corticale mesurée à l’aide du cone beam. Dans tous les cas on ne doit pas traverser la corticale osseuse. Nous mesurons la profondeur de pénétration à l’aide d’une sonde parodontale graduée. Il est important de rester au maximum dans la gencive attachée et de limiter l’incision de la muqueuse, zone fortement vascularisée. Cependant, il est possible, à l’aide du Tip, de pénétrer sous la muqueuse pour atteindre la corticale osseuse, afin de réaliser une corticotomie plus étendue en apical. Nous le faisons systématiquement. Il est possible d’y associer une greffe gingivale et/ou osseuse dans les zones de faible épaisseur corticale, en décollant la gencive entre chaque trait d’incision, comme l’ont décrit Sebaoun et al.19
À la fin de l’intervention, l’hémostase est obtenue à l’aide de compresses stériles. Aucune suture n’est réalisée, la cicatrisation gingivale étant très rapide. Aucune antibiothérapie n’est prescrite (effet bactéricide du laser). La plupart du temps, le patient ne ressent aucune douleur postopératoire, seulement une sensation de picotements (effet antalgique des lasers). Aucun œdème n’apparaît (effet anti-inflammatoire des lasers). Le patient peut retourner travailler le jour même.
Nous revoyons le patient à une semaine postopératoire. Les arcs orthodontiques sont changés tous les 15 jours (au lieu de 4 à 6 semaines). Les aligneurs sont changés toutes les semaines (au lieu de 2 à 3 semaines).
Avantages du laser erbium pour la réalisation des corticotomies
Les avantages du laser par rapport aux techniques conventionnelles sont multiples :
_le laser étant utilisé en « précontact » il n’y a aucune sensation désagréable pour le patient pendant l’intervention (pas de vibration...) ;
_aucune douleur postopératoire, ni œdème (effet antalgique et anti-inflammatoire du laser par le phénomène de biomodulation) ;
_il n’y a aucun échauffement (spray d’air et eau) donc aucun risque de nécrose tissulaire ;
_la cicatrisation gingivale est obtenue très rapidement, et sans cicatrice (effet de biomodulation sur la cicatrisation de la gencive) ;
_grâce à l’utilisation d’un Tip fin il est possible de réaliser une corticotomie plus étendue, sous la muqueuse, sans la léser ;
_rapidité d’exécution avec des puissances d’environ 3 W ;
_effet possible d’association de l’effet de biostimulation propre à tous les lasers (LLLT) dont certaines études montrent un effet sur l’accélération du déplacement dentaire.
Cas clinique 1
M. G. nous est adressé par un confrère pour envisager un traitement orthodontique avant une réhabilitation globale maxillaire et mandibulaire à l'aide de facettes et couronnes tout céramique. Le patient n'est pas satisfait par son sourire et souhaite une solution optimale et durable. Le patient présente une classe II, 2 avec une légère DDM, une forte supraclusion et une constriction maxillaire ayant pour conséquence une linguoversion importante de ses dents et une usure très marquée. La situation initiale exclue une réhabilitation prothétique dans de bonnes conditions. Le patient souhaite un traitement orthodontique rapide et esthétique. Nous choisissons la technique par aligneurs transparents, combinée à des corticotomies laser-assistées.
_Figs. 1a–f_Situation initiale.
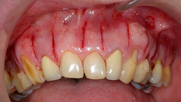
_Figs. 2a–d_Situation postchirurgicale immédiate maxillaire et mandibulaire.
_Figs. 3a–d_Cicatrisation à 15 jours postopératoires.
_Figs. 4a–f_Fin du traitement d'orthodontie ; Le traitement a duré 9 mois. La situation est plus favorable pour entamer la phase prothétique.
Cas clinique 2
Madame P. présente une malocclusion de classe II, 2 avec une DDM de 5 mm. La patiente trouve que les chevauchements se sont accentués avec le temps. Elle est complexée par son sourire et ne souhaite pas que la situation s'aggrave. La patiente veut une solution rapide et esthétique. Le choix s'est porté sur la technique par aligneurs transparents, combinée à des corticotomies laser-assistées.
_Figs. 5a–f_Situation initiale.
_Figs. 6a–c_Situation postchirurgicale immédiate maxillaire. Nous avons réalisé l'intervention à la mandibule à 15 jours d'intervalle, selon le souhait de la patiente.
_Figs. 7a–f_Situation postchirurgicale immédiate mandibulaire et cicatrisation à 15 jours postopératoires maxillaire.
_Figs. 8a–c_Cicatrisation à 15 jours postopératoires mandibulaire.
Conclusion
La corticotomie segmentaire laser-assistée, ou Lasercision Corticotomy Procedure, est une technique minimalement invasive, fiable et très bien tolérée par les patients, avec les avantages inhérents aux lasers. Cette technique va se développer dans les années à venir avec l’essor croissant des lasers dans les cabinets dentaires. En outre, la procédure devrait encore se simplifier. La société Fotona a développé une pièce à main (X-Runner®) permettant de réaliser des incisions intra-osseuses extrêmement précises et rapides, avec des profondeurs prédéfinies, à l’aide d’un scanner incorporé dans la pièce à main.
L’orthodontie de l’adulte, avec le développement des techniques esthétiques et des corticotomies minimalement invasives, doit aujourd’hui faire partie intégrante du plan de traitement de l’omnipraticien. L’orthodontie peut faciliter les réhabilitations prothétiques (obtention d'une meilleure stabilité occlusale, ingression molaire en cas d'édentement antagoniste, réouverture d'espace lors de versions, redressement d'axes pour des restaurations à minima...) et favoriser la pérennité d'un traitement parodontal (meilleure hygiène, stabilité occlusale...). Enfin, l'obtention d'une occlusion harmonieuse et stable aura des répercussions positives sur les pathologies de l'ATM et les pathologies de l'appareil locomoteur en général.
Bien que la durée globale du traitement sera plus longue, le résultat, tant fonctionnel qu’esthétique, n’en sera que meilleur pour nos patients.
Note de la rédaction : une liste des références est disponible auprès de l’éditeur.
Cet article est paru dans le magazine DT Study Club, Vol.2, numéro 2, juin 2014.
C’est en 1990 que Hibst et Keller ont pour la première fois suggéré l’utilisation du laser Er:YAG pour l’ablation des...
Traditionnellement, l’exercice de la médecine dentaire a toujours été un modèle restaurateur. Nous attendions ...
LIVERPOOL, Royaume-Uni : Des chercheurs de l'Université de Liverpool sont en train de tester une nouvelle procédure pour traiter la pulpe ...
Le Dr Tommaso Castroflorio est le président et le directeur de la formation de l’European Aligner Society (EAS). Enseignant, chercheur et orthodontiste ...
MONTRÉAL, Canada / SAO PAULO, Brésil : Des chercheurs ont identifié une nouvelle protéine qui joue un rôle clé dans...
Nous allons aborder la place de la phytothérapie dans le traitement des lésions buccales, dont notamment les aphtes, les mycoses buccales, l’herpès. Le...
La médecine anti-âge est une discipline médicale qui vise à prévenir, ralentir ou inverser les effets du vieillissement et par conséquent à aider les...
PORTLAND, États-Unis : Des chercheurs américains ont montré que certaines souches de bactéries associées aux caries ...
SÃO PAULO, Brésil : La respiration buccale affecte environ la moitié de la population et peut entraîner une halitose, une condition associée à des ...
Les chercheurs ont identifié le gène qui contrôle la production finale de l'émail dentaire, une avancée significative qui ...
Webinaire en direct
jeu. le 14 mai 2026
à 18h00 (CET) Paris
Webinaire en direct
jeu. le 14 mai 2026
à 20h00 (CET) Paris
Prof. Hani Ounsi DDS PhD FICD
Webinaire en direct
mar. le 19 mai 2026
à 17h00 (CET) Paris
Webinaire en direct
mar. le 19 mai 2026
à 19h00 (CET) Paris
Prof. Dr. med. dent. Ivo Krejci
Webinaire en direct
mer. le 20 mai 2026
à 13h00 (CET) Paris
Dr. Graham Carmichael BDSc (Hons), DClinDent (Pros), FRACDS, Dr. Robert Gottlander DDS
Webinaire en direct
mer. le 20 mai 2026
à 15h00 (CET) Paris
Webinaire en direct
mer. le 20 mai 2026
à 19h00 (CET) Paris
Prof. Dr. med. dent. Tim Joda PhD, MSc, eMBA
To post a reply please login or register