À propos d’un cas clinique
Incontestablement, la chirurgie implantaire guidée séduit de plus en plus de praticiens en raison de sa fiabilité, sécurité et facilité de mise en place. La planification permet en amont du traitement implantaire de positionner idéalement les implants sur lesquels la prothèse sera réalisée. Toutes les difficultés potentielles (chirurgicales et/ou prothétiques) pourront être évaluées, analysées, discutées et résolues avec le prothésiste et le patient, qui de ce fait, sont eux aussi, complètement investis avec le praticien dans le traitement. Lorsque la planification est actée par toutes les personnes impliquées dans le traitement, le guide chirurgical peut alors être réalisé (Fig. 1).
Le guide chirurgical apporte au praticien tranquillité, confort, rapidité et précision lors de la chirurgie. Les implants sont ainsi posés dans un minimum de temps, en respectant les critères d’épaisseur d’os dans toutes les dimensions de l’espace et la prothèse sera posée de façon prédictible.
Cas clinique
Présentation du cas clinique
Me M. Ler, âgée de 71 ans lors de la chirurgie, ne présente pas d’antécédents médicaux particuliers, à l’exception d’un cholestérol stabilisé avec des statines (Tahor 10). Elle est traitée depuis 2007 pour une parodontite sévère qui est aussi globalement stabilisée cliniquement, radiologiquement et bactériologiquement. Nous avions déjà réalisé un traitement implantaire en 21 (2008) et 23 (2013) (Fig. 2). La patiente souhaite maintenant mettre des implants en 11 et 12 car les mobilités modérées de ces dents commencent à la gêner dans sa vie quotidienne.
Le volume osseux dans ce secteur est bon et ne présente pas d’infection (Fig. 3). Le choix s’oriente vers une implantation par chirurgie guidée avec mise en charge immédiate.
Chronologie clinique du traitement implantaire
Préparation pré implantaire
Des empreintes optiques (maxillaire, mandibulaire et occlusion) (3Shape) et un cône beat (Gendex) sont réalisés. La planification est alors réalisée à l’aide du logiciel Implant Studio. De son cote, le laboratoire de prothèse (Crown Ceram) prend en charge toute la préparation pré-chirurgicale, à savoir la réalisation du guide chirurgical (Fig. 4) mais aussi les piliers et les couronnes provisoires (Figs. 5a et 5b, 6a et b).
Fig. 1 : Guide chirurgical.
Fig. 2 : Bilan radiologique « long-cône ». Notez la sévérité des pertes d’attache, mais qui sont bien stabilisées depuis 12 ans.
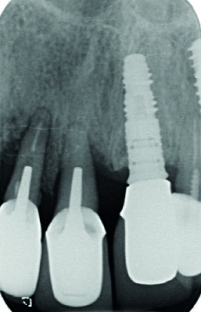
Fig. 3 : Radiographie long cône du secteur à implanter. Notez l’absence d’infection et la bonne intégration de l’implant en 21, posé en 2008.
Fig. 4 : Guide chirurgical avant impression.
Figs. 5a et b : Design des couronnes provisoires virtuelles et leur piliers provisoires en transparence.
Figs. 5a et b : Design des couronnes provisoires virtuelles et leur piliers provisoires en transparence.
Figs. 6a et b : Réalisation d’un trou en face palatine des couronnes provisoires, permettant le rebasage au fauteuil. Notez la facilité d’insertion des couronnes à travers les piliers provisoires.
Figs. 6a et b : Réalisation d’un trou en face palatine des couronnes provisoires, permettant le rebasage au fauteuil. Notez la facilité d’insertion des couronnes à travers les piliers provisoires.
Fig. 7 : Radiographie « long-cône » postopératoire. Notez l’image résiduelle de l’alvéole au niveau de l’implant en 12.
Fig. 8 : Radiographie « long-cône » de contrôle à deux mois.
Fig. 9 : Radiographie « long-cône » de contrôle à trois mois. Notez la progression de la cicatrisation osseuse au niveau de l’implant en 12.
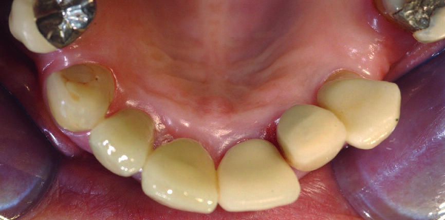
Fig. 10 : Vue clinique à quatre mois post-opératoires après retrait des prothèses provisoires. Notez la qualité et le volume des tissus mous péri implantaires.
Figs. 11a & b : Vues cliniques et occlusales des scan bodies en place. Notez les positions et les axes obtenus, qui faciliteront les réalisations prothétiques définitives.
Figs. 11a & b : Vues cliniques et occlusales des scan bodies en place. Notez les positions et les axes obtenus, qui faciliteront les réalisations prothétiques définitives.
Fig. 12 : Radiographie de contrôle objectivant le bon enfoncement des scan bodies.
Fig. 13 : Réalisation des couronnes définitives grâce au logiciel de design.
Fig. 14 : Design des piliers implantaires anatomiques aux couronnes.
Fig. 15 : Contrôle de la hauteur transgingivale des piliers anatomiques pendant le design.
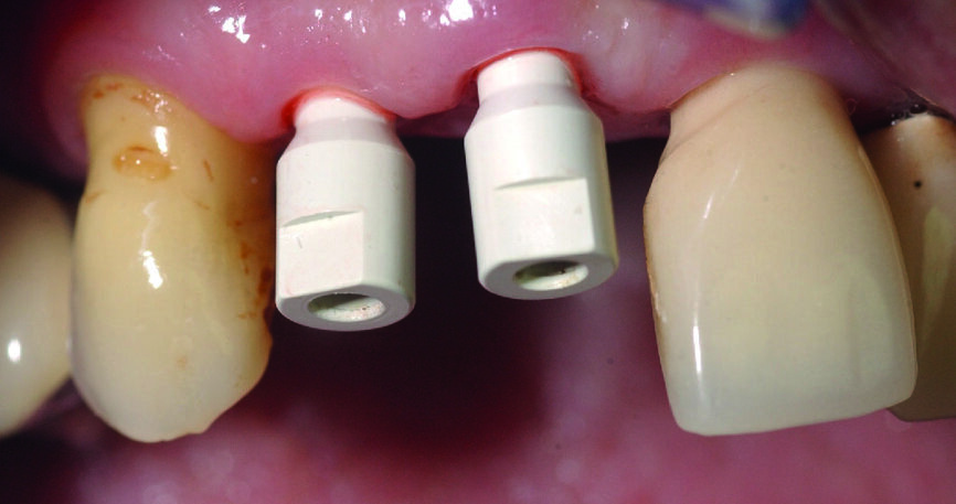
Fig. 16 : Mise en place des piliers à l’aide d’une clé de repositionnement.
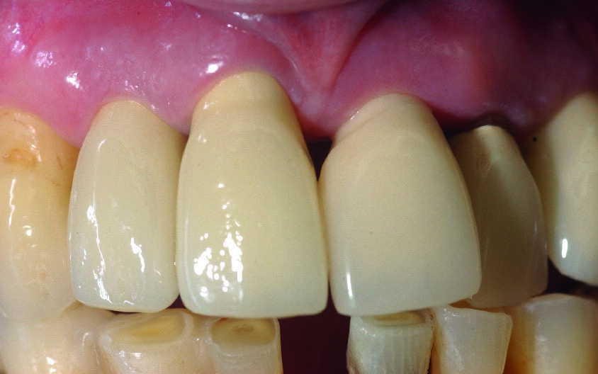
Figs. 17a et b : Vues cliniques de face et palatine. Notez la bonne adaptation des tissus mous.
Figs. 17a et b : Vues cliniques de face et palatine. Notez la bonne adaptation des tissus mous.
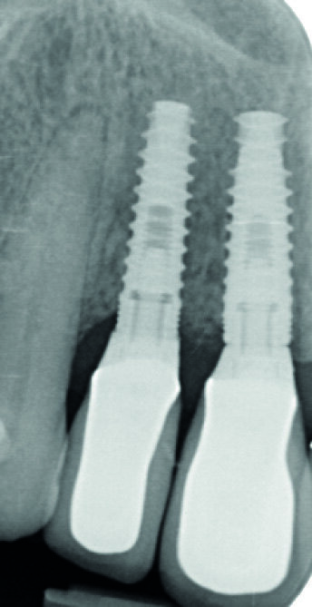
Fig. 18 : Radiographie de contrôle. Notez la parfaite adaptation des différents éléments prothétiques.
Notez aussi la très bonne cicatrisation osseuse péri-implantaire surtout en 12 (comparaison possible avec la figure 7).
Chirurgie implantaire et mise en charge immédiate
L’intervention est programmée en février 2019. Des implants de type Avinent Ocean hexagone interne sont poses. Afin de sécuriser la pose des implants et assurer l’assainissement du site, un lambeau est réalisé après l’extraction des deux dents. Toute la séquence de forage ainsi que la pose des implants sont passés à travers les douilles du guide chirurgical. L’indexation doit être bien respectée en alignant les repères présents sur le guide avec ceux du porte implant.
Les implants sont vissés à la main à l’aide d’une clé dynamométrique. Nous vissons ensuite les piliers temporaires (Avinent), et les couronnes provisoires en résine PMMA sont rebasées et scellées (laboratoire Crown Ceram) avant de suturer le lambeau. À ce stade, notons que le second avantage du lambeau est de pouvoir aussi contrôler parfaitement l’adaptation prothétique, et d’éviter toute fusée de ciment de scellement. Une radio de contrôle postopératoire est réalisée (Fig. 7).
Une médication postopératoire est prescrite à la patiente (antibiotiques, anti-inflammatoire, antalgique et antiseptiques locaux).
Suites postopératoires et suivi
La patiente est revue à huit jours. Les suites opératoires se sont bien passées et la prise d’antalgique très limitée. Les sutures sont retirées. Puis la patiente est revue en contrôle à deux mois (Fig. 8), trois mois (Fig. 9) et quatre mois. Les radiographies de contrôles montrent un gain osseux au niveau de l’implant en 12 et une parfaite intégration des deux implants. Les cicatrisations clinique et osseuse sont très bonnes et il est décidé de passer à la prothèse définitive. Les couronnes et piliers provisoires sont retirés et les tissus mous vérifiés (Fig. 10).
Prothèses définitives
Des scan bodies (Core 3D), correspondant aux implants, sont positionnés et les empreintes optiques réalisées avec la camera 3Shape (Figs. 11a et b). A ce stade, il est fortement recommandé de faire une radiographie de contrôle, afin de vérifier le bon enfoncement des scan bodies et pour éviter toute erreur, qui se répercuterait au niveau de la prothèse (Fig. 12).
Les empreintes sont expédiées via internet, les prothèses définitives sont réalisées dans la foulée au laboratoire (Crown Ceram) grâce au Dental System (logiciel de design) de 3Shape. La première étape est de réaliser l’anatomie des futures couronnes en rapport avec les provisoires réalisées en amont, puis de réaliser les armatures et piliers implantaires (titane ou zircone) dans cet ordre, afin de rester le plus anatomique possible (Figs. 13–15).
Au bout de huit jours, les prothèses conçues en CFAO (Conception et fabrication assistée par ordinateur) par le laboratoire Crown Ceram sont livrées et placées. Elles ont pu être mise en place de façon passive sans aucune difficulté particulière, ni retouches nécessaires.
Les piliers implantaires en titane sont transvissés à l’aide d’une clé de repositionnement et d’une clé de serrage (Fig. 16). Les couronnes sont scellées en s’assurant qu’il n’y ait pas de débordement de ciment de scellement (Figs. 17a et b). Leur design ≪ parodontal ≫ permettra un bon contrôle de plaque, garant de leur pérennité à moyen et long terme. Une radio de contrôle permet de confirmer le bon positionnement de toutes les pièces prothétiques, ainsi que leur ajustement (Fig. 18).
Discussion et conclusion
L’avènement du numérique dans nos cabinets dentaires a été une révolution non seulement technique mais aussi idéologique. En implantologie plus particulièrement, la CFAO via les empreintes optiques, a radicalement changé nos rapports avec les chirurgies et les prothèses implantaires. Elle a permis aussi de révolutionner nos relations avec les patients. En effet, les explications techniques vis à vis des patients se sont simplifiées car la CFAO nous a donné la possibilité de visionner avec eux, et de leur expliquer l’intégralité de leur plan de traitement. Il nous a ainsi été rendu possible de regarder posément et objectivement, les possibilités mais aussi les difficultés et/ou les contre-indications aux objectifs qu’ils souhaitaient atteindre. La discussion ne peut qu’être plus bénéfique.
Dans notre cas présenté et une fois le plan de traitement bien établi avec notre patiente, la CFAO nous permet de préparer tranquillement et sereinement, toute la phase chirurgicale et prothétique provisoire simultanément, mais à la seule et unique condition que toute l’équipe impliquée soit parfaitement formée, rodée et équipée pour ce type de traitement (praticiens, assistantes et laboratoire de prothèse).
De plus, avec ce concept et compte tenu de l’excellente précision de la caméra optique et des machines d’usinage du laboratoire, le risque est quasi nul d’avoir de mauvaises surprises, ou des soucis lors de la chirurgie guidée et de la mise en place des prothèses. A l’issue d’une séance relativement courte, la patiente était ravie car elle est repartie avec ≪ de nouvelles dents ≫ (comme il en est souvent le cas). Elle nous en a exprimé toute sa satisfaction et sa reconnaissance. Il en a été de même avec la réalisation des prothèses définitives.
En conclusion, même si l’investissement pour travailler en CFAO peut paraitre onéreux et la courbe d’apprentissage plus ou moins longue, il nous parait acquis que cet investissement est très rapidement rentabilisé. Il est vite rentabilisé grâce au bonheur de travailler avec de nouvelles technologies, de faire de nombreuses découvertes qu’ elle procurent, d’apprécier les infinies évolutions qu’’elles nous offrent, la rapidité et la précision dans le travail qu’ elles apportent, de renvoyer la modernité qu’’elles apportent à notre cabinet, mais aussi et surtout, de profiter du sourire de nos patients… et cela n’a pas de prix !
La CFAO n’est pas pour demain, c’est déjà pour aujourd’hui ! Alors allez-y, foncez, ne ratez pas l’occasion de vous faire plaisir !
Auteurs :
Frédéric Joachim, parodontiste et implantologiste, Lille,
Issam Joachim,chirurgien-dentiste, Villeneuve d’Ascq,
Antonella Tuosto-Andrioli, responsable planification implantaire Crown Ceram, Aspach-Michelbach.
Les auteurs tiennent à remercier Nathalie Dubrunfaut et Alina Tedjoian pour leur aide précieuse dans la gestion de ce dossier. Frédéric Joachim remercie aussi le laboratoire Crown Ceram pour sa disponibilité et son professionnalisme.
Note de la réaction : Cet article a été publié dans le journal Dental Tribune France, volume 12, numéro 11/2020.
Mots-clés:
La chirurgie implantaire guidée simplifie l’acte chirurgicale en facilitant le geste opératoire du praticien lors du forage, grâce au guide ...
Depuis la publication en 1985 des travaux du Professeur Brånemark sur l’ostéointégration, 1 le monde de l’implantologie a connu bien des évolutions ...
Les progrès réalisés dans le domaine de l’implantologie et particulièrement dans l’implantologie basale, ont contribué à l’essor de la mise en ...
Afin de réaliser une prothèse idéale, l’utilisation d’un guide implantaire est fortement indiquée, en particulier lorsque l’édentement atteint ...
La restauration d’un édentement plural postérieur a toujours été limitée par le volume et la mauvaise ...
Les outils numériques occupent aujourd'hui une place importante en implantologie. Dans les mises en charge immédiates, le positionnement correct des ...
Bien que des progrès scientifiques et techniques aient été réalisés dans le domaine de la dentisterie, de nombreux patients sont encore partiellement ...
Le remplacement de dents perdues par des implants peut être un long processus pour les patients. Pendant la phase de temporisation, il leur faut ...
Le site DTStudyClub organise un nouveau webinaire qui aura lieu le vendredi 16 avril 2021 à 17 heures qui portera sur « Le numérique au service de la ...
PARIS, France : L’Académie de Chirurgie Guidée est un organisme de formation continue créé pour promouvoir l’implantologie assistée par ordinateur ...
Webinaire en direct
jeu. le 14 mai 2026
à 18h00 (CET) Paris
Webinaire en direct
jeu. le 14 mai 2026
à 20h00 (CET) Paris
Prof. Hani Ounsi DDS PhD FICD
Webinaire en direct
mar. le 19 mai 2026
à 17h00 (CET) Paris
Webinaire en direct
mar. le 19 mai 2026
à 19h00 (CET) Paris
Prof. Dr. med. dent. Ivo Krejci
Webinaire en direct
mer. le 20 mai 2026
à 13h00 (CET) Paris
Dr. Graham Carmichael BDSc (Hons), DClinDent (Pros), FRACDS, Dr. Robert Gottlander DDS
Webinaire en direct
mer. le 20 mai 2026
à 15h00 (CET) Paris
Webinaire en direct
mer. le 20 mai 2026
à 19h00 (CET) Paris
Prof. Dr. med. dent. Tim Joda PhD, MSc, eMBA
To post a reply please login or register