Depuis la publication en 1985 des travaux du Professeur Brånemark sur l’ostéointégration, 1 le monde de l’implantologie a connu bien des évolutions et bien des révolutions. Il a su, à l’instar de Steve Jobs, s’affranchir des dogmes. C’est ainsi que l’utilisation du titane commercialement pur et brut d’usinage a laissé place, peu à peu, aux alliages de titane avec des états de surface plus rugueux. Les chirurgies systématiques en deux temps avec de larges lambeaux mucco-périostés, se sont transformées dans la plupart des cas en chirurgie en un temps, avec des minis lambeaux voir sans lambeau du tout. Pour notre part, notre exercice a été bouleversé par l’implantologie basale puis, par l’arrivée de la préparation ostéogénique.
Ces techniques ont permis d’offrir aux patients qui ne voulaient ou ne pouvaient pas bénéficier de greffes osseuses, une solution sure. Ces impasses thérapeutiques ont ainsi pu être résolues avec succès, car ces approches s’adaptent à toutes les formes de crêtes osseuses et prennent tout leur sens dans les maxillaires très atrophiés.2, 4
La pose d’un diskimplant® nécessite la réalisation d’une ostéotomie dans les trois sens de l’espace pour permettre son impaction par voie latérale (Fig. 1). Il peut comporter un, deux ou trois disques en titane de différents diamètres qui peuvent être asymétriques.
Au début des années 2000, le Dr Scortecci a eu l’idée d’associer le concept de plaque en titane de grande étendue fixée par des vis d’ostéosynthèses, à celui du diskimplant.3 Ces nouveaux implants à plaque associés aux diskimplants et aux implants axiaux, repoussent à nouveau les limites de nos plans de traitement, tout en garantissant une réelle fiabilité (Cas 1 et 2). Complétés par un protocole de mise en charge immédiate à 72h, ces concepts permettent à nos patients de retrouver une alimentation normale et un statut social perdu.
La préparation ostéogénique repose sur le principe qui veut que tout traumatisme engendre une réparation. Nous allons déclencher par des moyens mécaniques à l’aide d’un ostéotenseur® rotatif ou manuel une ostéogénèse, de façon peu invasive (sans lambeau). En suivant les mécanismes de l’action ostéogénique, nous aurons une action catabolique favorable à une chirurgie de greffe à 21 jours, puis une action anabolique favorable à une chirurgie pour durcir ou pour épaissir à 45 jours.
Cas 1 a : Implantation totale maxillaire 45 jours après avoir réalisé une ostéoactivation.
Cas 1b : Détail de l’ajustage d’un implant à plaque en vestibulaire sur le zygoma et verrouillage à l’aide de vis d’ostéosynthèses et dépôt de copeaux d’os sur la partie juxta osseuse. Nous déposerons ensuite un matériau non résorbable imbibé d’I PRF afin « d’agglomérer » les grains, puis le tout sera recouvert de membrane d’A PRF
Cas 1c : Les sutures sont réalisées à deux niveaux : des points en matelassier apicaux afin de « fixer » les lambeaux, puis des points séparés et (ou) un surjet afin de stabiliser ces lambeaux
Cas 1d : Contrôle postopératoire des implants, à noter la présence de piliers transgingivaux qui faciliteront la gestion de l’esthetique lors de la confection du bridge d’usage (avec plusieurs hauteurs disponibles, nous les garderons ou les remplacerons).
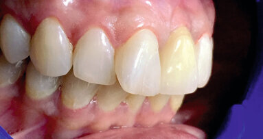
Cas 1e : Le bridge fixe de transition sera vissé 72 h après l’implantation, armature titane/chrome-cobalt, cosmétique : dents du commerce, à noter la présence de l’entretoise palatine.
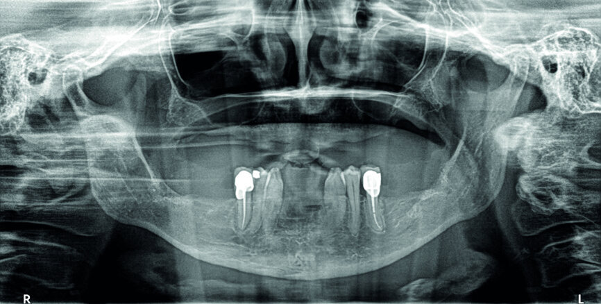
Cas 1f : Contrôle radiologique
Cas 2 Indication pour une implantation bi-maxillaire. À la mandibule, préparation du lit receveur d’un implant à plaque, avec sa logette latérale vestibulaire
Cas 2b :Verrouillage de l’implant par insertion dans sa logette, et fixation à l’aide de 2 vis d’ostéosynthèse
Cas 2c : prothèses en bouche
Cas 2d : contrôle radiologique
Après une séance d’ostéoactivation, pose à 45 jours d’un implant Fractal, le gain osseux obtenu à
l’apex de l’implant est bien visible à la radiographie de contrôle.
Après une séance d’ostéoactivation, pose à 45 jours d’un implant Fractal®, le gain osseux obtenu à
l’apex de l’implant est bien visible à la radiographie de contrôle.
Figure1 : Diskimplants asymétriques
Figure 2 : Ostéotenseurs manuel et rotatif, il est à noter que nous
n’utilisons l’osteotenseur rotatif qu’à la mandibule, lorsque nous désirons « assouplir » l’os pour une chirurgie de greffe par exemple.
Figure 3 : Détail de la précision obtenue au niveau du joint de l’armature chrome-cobalt, et de l’émergence implantaire fait par CFAO.
Figure 4 : Détail d’une armature en zircone qui sera complétée par de la céramique classique, à noter qu’il faudra disposer d’une DVO suffisante afin de garder une section de zircone compatible avec la solidité du bridge
Figure 5 : Bridge en « full zircone maquillée », à noter le collage intraarmature de bague en titane, afin d’assurer une interface titane/titane entre les implants et le bridge.
Les ostéotenseurs ont été spécifiquement paramétrés pour ne pas entraîner d’effets collatéraux indésirables (débris osseux, blessure, infection, fracture, pollution ;Fig. 2). Cette ostéoactivation, combinée à l’utilisation d’un implant spécifique, le Fractal, dont les spires inversées, véritables ascenseurs à cellules osseuses nous permettent d’équiper des secteurs sinusiens sans avoir recours aux greffes (Cas 3).
En effet, le gain de quelques millimètres ou le durcissement de l’os, nous permet des procédures chirurgicales plus faciles et plus sécurisantes.
Dans les cas de réhabilitation d’un maxillaire complet, la mise en charge immédiate est finalisée après la pose des implants par la mise en place d‘un bridge transitoire métal coulé-résine. De forte rigidité, ce véritable fixateur externe est vissé passivement grâce à l’utilisation de bagues de collage, qui absorbent toutes les contraintes liées à la coulée.5 Au maxillaire une entretoise palatine vient depuis peu compléter notre dispositif, afin de renforcer ce fixateur externe en s’opposant aux forces latérales. Il est à noter que nos patients ne ressentent aucune gêne, due à la présence de cette entretoise.
Après un an, nous sectionnerons cette entretoise et nous pourrons alors envisager la réalisation de la prothèse d’usage, à l’aide des nouveaux protocoles de CFAO : Bridge vissé en chrome – cobalt-céramique (Fig. 3) ou armature zircone et céramique classique (Fig. 4) ou full zircone maquillée (Fig. 5). Ces nouvelles techniques très précises ont permis l’essor de nouveaux matériaux comme la zircone, tout en garantissant une passivité totale des armatures. L’émancipation face aux dogmes nous a fait repousser toujours plus loin les limites de nos plans de traitement. Il n’en demeure pas moins fondamental que pour obtenir une bonne ostéointégration, il faut respecter l’os, la gencive et éviter l’infection. Il nous est donc indispensable de respecter les bases de l’implantologie tout en incorporant les protocoles liés au progrès. Ces nouvelles techniques, ne sont pas toujours du domaine du long fleuve tranquille, elles nécessitent une courbe d’apprentissage au cours de laquelle le doute peut parfois s’installer. Pour notre part, les sourires toujours plus nombreux de nos patients nous ont depuis longtemps convaincus que nous avions raison de vouloir incorporer ces progrès à notre pratique.
Bibliographie
1 Brånemark PI, Zarb GA, Albrektsson T, Tissue-integrated prosthese . Osseointegration in clinical dentistry. Chicago : Quintessence books, 1985.
2 Bessade J, Scortecci G. L’implantologie basale: la troisième voie.Les 10 points-clés en implantologie, 2005 :83–90.
3 Scortecci G, Odin G. Mise en charge immédiate maxillo-mandibulaire : interêt des Diskimplants à large base ostéosynthésée.La Lettre de la Stomatologie, juin 2006 : 26 : 5–8.
4 Scortecci G, Misch C, Binderman I, Philip P.Intérêt des Ostéotenseur® matriciels en implantologie. De l’observation clinique à l’innovation thérapeutique. Implantologie, Février 2009, 5–17
5 Petitbois R, Scortecci G. Le bridge transitoire lors de la mise en charge précoce : historique, conception, mise en place, évolution. Rev Stomatol Chir Maxillofac 2006 ; 107 : 455–459.
Mots-clés:
Les progrès réalisés dans le domaine de l’implantologie et particulièrement dans l’implantologie basale, ont contribué à l’essor de la mise en ...
À propos d’un cas clinique
Incontestablement, la chirurgie implantaire guidée séduit de plus en plus de praticiens en raison de sa fiabilité, ...
Les outils numériques occupent aujourd'hui une place importante en implantologie. Dans les mises en charge immédiates, le positionnement correct des ...
Bien que des progrès scientifiques et techniques aient été réalisés dans le domaine de la dentisterie, de nombreux patients sont encore partiellement ...
La chirurgie implantaire guidée simplifie l’acte chirurgicale en facilitant le geste opératoire du praticien lors du forage, grâce au guide ...
Le remplacement de dents perdues par des implants peut être un long processus pour les patients. Pendant la phase de temporisation, il leur faut ...
Le site DTStudyClub organise un nouveau webinaire qui aura lieu le vendredi 16 avril 2021 à 17 heures qui portera sur « Le numérique au service de la ...
La mise en charge immédiate de bridges complets sur implants au maxillaire est pour le praticien un défi posé par certains patients ...
La présente étude de cas décrit la procédure de remplacement immédiat d’une incisive centrale supérieure par un implant monobloc en zircone après ...
_L’objectif de cet article est de présenter à partir d’un cas clinique significatif les principes généraux, la ...
Webinaire en direct
jeu. le 14 mai 2026
à 18h00 (CET) Paris
Webinaire en direct
jeu. le 14 mai 2026
à 20h00 (CET) Paris
Prof. Hani Ounsi DDS PhD FICD
Webinaire en direct
mar. le 19 mai 2026
à 17h00 (CET) Paris
Webinaire en direct
mar. le 19 mai 2026
à 19h00 (CET) Paris
Prof. Dr. med. dent. Ivo Krejci
Webinaire en direct
mer. le 20 mai 2026
à 13h00 (CET) Paris
Dr. Graham Carmichael BDSc (Hons), DClinDent (Pros), FRACDS, Dr. Robert Gottlander DDS
Webinaire en direct
mer. le 20 mai 2026
à 15h00 (CET) Paris
Webinaire en direct
mer. le 20 mai 2026
à 19h00 (CET) Paris
Prof. Dr. med. dent. Tim Joda PhD, MSc, eMBA
To post a reply please login or register