Les progrès réalisés dans le domaine de l’implantologie et particulièrement dans l’implantologie basale, ont contribué à l’essor de la mise en charge immédiate. Par ailleurs, la collaboration étroite entre le prothésiste et le dentiste permet de réaliser le souhait du patient, qui retrouvera ainsi le plus vite possible des dents fixes. Après la pose des implants basaux, le bridge de transition est l’élément le plus important de cette mise en charge immédiate. Nous nous proposons dans cet article, de décrire les protocoles liés à cette technique.
Dès la publication des travaux sur l’ostéointégration par le professeur Brånemark1 l’implantologie s’est traduite par la pose d’un implant axial adapté à une approche crestale. Cependant, depuis 1984, grâce aux travaux du Dr Scortecci,2 il existe une autre approche dite basale. Cette approche s’adapte à toutes les formes de crêtes osseuses et prend tout son sens dans des maxillaires très atrophiés. En implantologie basale, les critères de succès sont identiques à ceux de l’implantologie axiale ; ces deux techniques ne s’opposent pas mais se complètent efficacement pour le bonheur de nos patients.
Les implants basaux :
Le premier implant à notre disposition, le Diskimplant est un implant en forme de disque dont la mise en place nécessite la réalisation d’une ostéotomie dans les 3 sens de l’espace, pour permettre son impactage par voie latérale (Fig. 1). Cet implant en titane est usiné dans la masse sans rajout ni soudure ; il peut comporter 1, 2 ou 3 disques de différents diamètres. Il existe des disques cylindriques de même que des disques asymétriques.
L’ostéointégration est identique à celle de l’implantologie axiale, ces implants doivent être validés cliniquement et radiologiquement. Les critères techniques de cette technique ont été largement documentés.3
La maîtrise du geste opératoire représente la difficulté majeure de la méthode et un apprentissage s’appuyant sur un enseignement encadré est donc nécessaire. Comme pour les implants axiaux, c’est le projet prothétique qui sert de référence au positionnement des implants basaux. Enfin, des implants à plaque, des implants ptérigoïdiens, des implants angulés et des implants cylindroconiquesc Fractal et Fratex complètent notre gamme d’implants , nous permettant ainsi de gérer toutes les situations cliniques (Figs. 2, 3a–b). Tous ces implants ont en commun un pilier intégré présentant un hexagone externe, protégé par un carénage cylindrique conique (émergence monobloc). Ainsi, la connexion implanto-prothétique est réalisée par un vissage à plat, optimisé par un serrage conique.
La mise en charge immédiate :
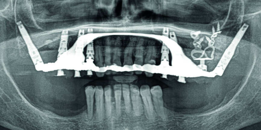
Cette technique est parfaitement codifiée et de nombreuses publications citent des taux de succès équivalents aux mises en charge différées.4–6 Cette mise en charge immédiate est finalisée par la pose, dans un délai de 2 à 5 jours après la mise en place des implants, d’un bridge transitoire vissé métal/résine. Ce bridge transitoire est l’élément fondamental du traitement. C’est un dispositif monobloc de forte rigidité, véritable fixateur externe qui réunit les implants.
En cas d’atrophie osseuse importante au maxillaire supérieur, l’armature comportera une entretoise palatine qui sera coupée à un an postop (Fig. 6a). Le vissage se fait toujours passivement et en cas de difficulté, des bagues usinées en titane sont collées secondairement dans l’intrados de l’armature. Le décollement des bagues de collage reste exceptionnel8 et facilement réparable : il suffit de nettoyer la bague et la logette puis de recoller.
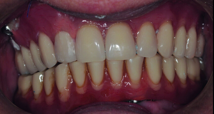
Cette technique permet ainsi de se dédouaner des variations dimensionnelles liées à la coulée métallique (Figs. 4 et 5).7 Le plus souvent, le prothésiste dentaire utilise au sein du laboratoire et en fonction du montage esthétique préalable, des préformes calcinables « direct implant », sans bague de collage. La fausse gencive maquillée et les dents en résine seront montées classiquement. La mise en place finale est facilitée par le vissage à plat. Ce bridge de transition est de conception définitive, il peut donc être laissé en place. Dans certains cas où l’exigence esthétique prime, il peut être remplacé au bout de douze à dix-huit mois par un bridge d’usage définitif. Le protocole est identique à la mandibule comme au maxillaire.
Dans le cas d’édentement unilatéral, la mise en place d’un nombre suffisant d’implants (au moins quatre) chacun à fort ancrage primaire, permet la réhabilitation prothétique précoce du sujet.
Fig. 1 : Diskimplant de 9 mm de diamètre.
Fig. 2 : Diskimplant à plaque de 33 mm/9 mm.
Fig. 3a: Fractal de 11 mm/3,75 mm.
Fig. 3b : Fratex de 12 ÷ mm/3,3 mm, Fractal angulé de 18 mm/ 3,3 mm, Fractal ptérigoidien de 16 + 4 mm/3,3 mm.
Fig. 4 : Composants pour technique de collage (de gauche à droite) : Préforme calcinable, bague de centrage (laiton), bague de collage (titane), vis de fixation or M 1.4, vis de laboratoire.
Fig. 5 : Cire d’armature : mise en évidence de 8 logettes receveurs pour le collage des bagues titane et de 2 coulées pour vissage direct implant.
Fig. 6a : Bridge maxillaire vissé avec une entretoise palatine.
Fig. 6b : Bagues collées dans l’intrados de l’armature.
Fig. 7 : Bridges terminés.
Figs. 8a et b : Contrôles radiologiques du bon ajustement des armatures après vissage.
Figs. 8a et b : Contrôles radiologiques du bon ajustement des armatures après vissage.
Fig. 9 : Empreintes optiques matchées avec le CBCT et la planification implantaire.
Conception :
Le prothésiste dentaire doit être rompu aux techniques de coulée de grandes armatures monolithiques, en précieux comme en non précieux. Celles-ci seront en forme de « L » (rigides et légères). Le métal est surtout disposé en vestibulaire, facilitant ainsi les retouches sur la résine. Dans la mesure du possible, les arcades en « V » seront arrondies en « U », afin de mieux répartir les forces. Dès la pose des implants, mise en place des piliers trans-gingivaux s’il y a lieu.
L’émergence des implants doit impérativement se situer à une hauteur supérieure ou égale au niveau de la surface de la gencive suturée. Ces piliers pourront être déposés lors de la phase finale, afin d’améliorer l’esthétique de la prothèse d’usage. Une grande rigueur dans la technique d’empreinte est requise : réalisée à ciel ouvert ou sans porte empreinte dans le cas d’édentement total, elle impose préalablement de réunir solidement tous les transferts d’empreinte à l’aide d’une résine dure du type « Luxabite ».
Prise de la DVO : Cire sur maquette résine stabilisée par deux à trois implants ou guide chirurgical ou ancienne PPA rebasée. Avant la phase laboratoire, la mise en articulation se fait au cabinet dentaire.
Phases de laboratoire :
– Placer si nécessaire une bague de centrage (laiton) à usages multiples sur chaque analogue, à l’aide d’une vis de laboratoire.
– Couper les calcinables à bonne hauteur et les poser sur les bagues.
– Modeler l’armature avec de la cire et ou de la résine calcinable, utiliser des billes de rétention et placer les tiges de coulée.
– Dévisser et sortir la maquette, retirer les bagues de centrage par en dessous, mettre en revêtement, puis couler l’armature.
– Dégrossir et finir l’armature (les logettes de collage doivent être nettes), puis cuire la partie cosmétique.
– Dans chaque logette de l’armature, placer et visser, pour vérifier qu’elles s’engagent à fond et sans tension, les bagues de collage en titane.
– Dévisser et replacer dans les logettes les bagues enrobées de colle résine pour attachement, puis revisser le bridge sur le maître modèle en occlusion et contrôler le dépassement de colle avant durcissement, ainsi que les cheminées d’accès aux vis (Figs. 6b, 7). Nous obtenons alors une passivité totale du bridge.
Pose du bridge :
Après l’essayage en bouche, facilité par la passivité, régler l’occlusion, vérifier l’esthétique et la phonation, puis répartir le vissage manuel (vis or M1.4). Enfin, contrôler radiologiquement le bon ajustage de l’armature (Figs. 8a–b). À 24 h, resserrer manuellement les vis à 10 N/cm, fouler une boulette de téflon dans le puit de chaque vis et le recouvrir à l’aide d’un composite.
Conclusion :
Le bridge transitoire de forte rigidité vissé passivement, nous semble être une bonne réponse au cahier des charges de ce type de traitement, pour le chirurgien-dentiste comme pour le prothésiste dentaire. Utilisée pour une mise en charge immédiate, cette technique évite le port d’une prothèse amovible transitoire ainsi que la chirurgie de réouverture.
Un grand changement dans nos protocoles se met en place avec l’arrivée des empreintes réalisées à l’aide d’une caméra optique. En effet celles-ci nous permettent de « matcher » les informations cliniques précises en complément de l’imagerie osseuse avec une transmission immédiate, sans déformation d’informations vers le prothésiste (Fig. 9). Nous pouvons ainsi programmer une mise en charge immédiate ultra précise, à l’aide d’un bridge fabriqué en amont de la chirurgie et vissé le jour de celle-ci !
Ce flux numérique bien maîtrisé, nous ouvre la porte à une vraie révolution dans la manière de conduire nos traitements, cette révolution va impérativement rentrer dans nos cabinets dentaires.
Bibliographie :
1 Branemark PI, Zarb GA, Albrektsson T, Tissueintegrated prostheses. Osseointegration in clinical dentistry. Chicago: Quintessence books, 1985.
2 Scortecci GM. The Diskimplant°: a self-positioning pure titanium implant. Proceedings of Oral Implantology, Munich, 1984.
3 Scortecci GM, Misch CE, Benner KU. Implants and Restorative Dentistry. Londres: Martin Dunitz, 2001.
4 Scortecci G, Modschiedler T. Ostéointégration et mise en charge immédiate : 15 ans de recherche et d’application clinique dans le traitement du maxillaire totalement édenté. Implantodontie 1997; 27:1-27.
5 Tarnow DP, Emtiaz S, Classi A. Immediate loading of threaded implants at stage 1 surgery in edentulous arches: ten consecutive case reports with 1-to-5 year data. Int J Oral Maxillofac implants 1997; 12: 319-24.
6 Petitbois R, Scortecci G. Le bridge transitoire lors de la mise en charge précoce : Historique, conception, mise en place, évolution. Rev Stomatol Chir Maxillofac 2006;107:455-459.
7 Jemt T. Three-dimensional distortion of gold alloy casting and welded titanium frameworks. Measurements of the precision of fit between completed implant protheses and the master cast in routine edentulous situations. J Oral Rehabil 1995;22:557-64.
8 Petitbois R, Ansel A, Menetray D. Prothèses vissées sur implants : intérêt des bagues collées, taux de succès à 5 ans. CDF n°1303- 1304;10-17;Mai 2007:37-40.
Mots-clés:
Depuis la publication en 1985 des travaux du Professeur Brånemark sur l’ostéointégration, 1 le monde de l’implantologie a connu bien des évolutions ...
Les outils numériques occupent aujourd'hui une place importante en implantologie. Dans les mises en charge immédiates, le positionnement correct des ...
À propos d’un cas clinique
Incontestablement, la chirurgie implantaire guidée séduit de plus en plus de praticiens en raison de sa fiabilité, ...
Le site DTStudyClub organise un nouveau webinaire qui aura lieu le vendredi 16 avril 2021 à 17 heures qui portera sur « Le numérique au service de la ...
Bien que des progrès scientifiques et techniques aient été réalisés dans le domaine de la dentisterie, de nombreux patients sont encore partiellement ...
La mise en charge immédiate de bridges complets sur implants au maxillaire est pour le praticien un défi posé par certains patients ...
Le remplacement de dents perdues par des implants peut être un long processus pour les patients. Pendant la phase de temporisation, il leur faut ...
La présente étude de cas décrit la procédure de remplacement immédiat d’une incisive centrale supérieure par un implant monobloc en zircone après ...
La chirurgie implantaire guidée simplifie l’acte chirurgicale en facilitant le geste opératoire du praticien lors du forage, grâce au guide ...
_L’objectif de cet article est de présenter à partir d’un cas clinique significatif les principes généraux, la ...
Webinaire en direct
jeu. le 14 mai 2026
à 18h00 (CET) Paris
Webinaire en direct
jeu. le 14 mai 2026
à 20h00 (CET) Paris
Prof. Hani Ounsi DDS PhD FICD
Webinaire en direct
mar. le 19 mai 2026
à 17h00 (CET) Paris
Webinaire en direct
mar. le 19 mai 2026
à 19h00 (CET) Paris
Prof. Dr. med. dent. Ivo Krejci
Webinaire en direct
mer. le 20 mai 2026
à 13h00 (CET) Paris
Dr. Graham Carmichael BDSc (Hons), DClinDent (Pros), FRACDS, Dr. Robert Gottlander DDS
Webinaire en direct
mer. le 20 mai 2026
à 15h00 (CET) Paris
Webinaire en direct
mer. le 20 mai 2026
à 19h00 (CET) Paris
Prof. Dr. med. dent. Tim Joda PhD, MSc, eMBA
To post a reply please login or register