Le sinus maxillaire est le plus grand sinus paranasal et sa partie inferieure est délimitée par le processus alvéolaire.1 La relation topographique anatomique entre les dents postérieures supérieures et le sinus maxillaire requiert un soin particulier lors d’un traitement endodontique.
Il a été avancé que les dents peuvent être à l’origine de l’incidence croissante de la sinusite. Une explication de cette hausse apparente est peut-être la disponibilité de meilleures techniques d’imagerie dans les cabinets dentaires, notamment la tomodensitométrie à faisceau conique (CBCT).2
En fait, un traitement endodontique peut être marqué par de nombreux accidents susceptibles d’affecter les sinus, et ce, dès le début de la phase de nettoyage et de mise en forme. Une simple lime K no 10 (Kerr Dental) peut traverser l’apex et perforer la membrane sinusienne et une solution d’irrigation sous pression peut facilement irriter la cavité sinusienne après une lésion du desmodonte qui perd sa résistance. L’éjection accidentelle d’hypochlorite de sodium dans le sinus maxillaire peut causer une sensation de brulure, accompagnée d’un saignement de nez, d’une déglutition de sang et d’un arrêt respiratoire.3 L’utilisation du système EndoVac (irrigation par pression négative, Kerr Dental) entraîne sans risque les solutions d’irrigation vers l’extrémité apicale des canaux radiculaires.4
Pendant la phase d’obturation, les ciments de scellement endodontique à base d’oxyde de zinc sont considérés comme un facteur favorisant la croissance d’aspergillus (champignon). Selon la littérature, l’introduction de spores dans le sinus par le biais d’un matériau d’obturation contamine est une possibilité qui doit être envisagée.5
Cas clinique 1
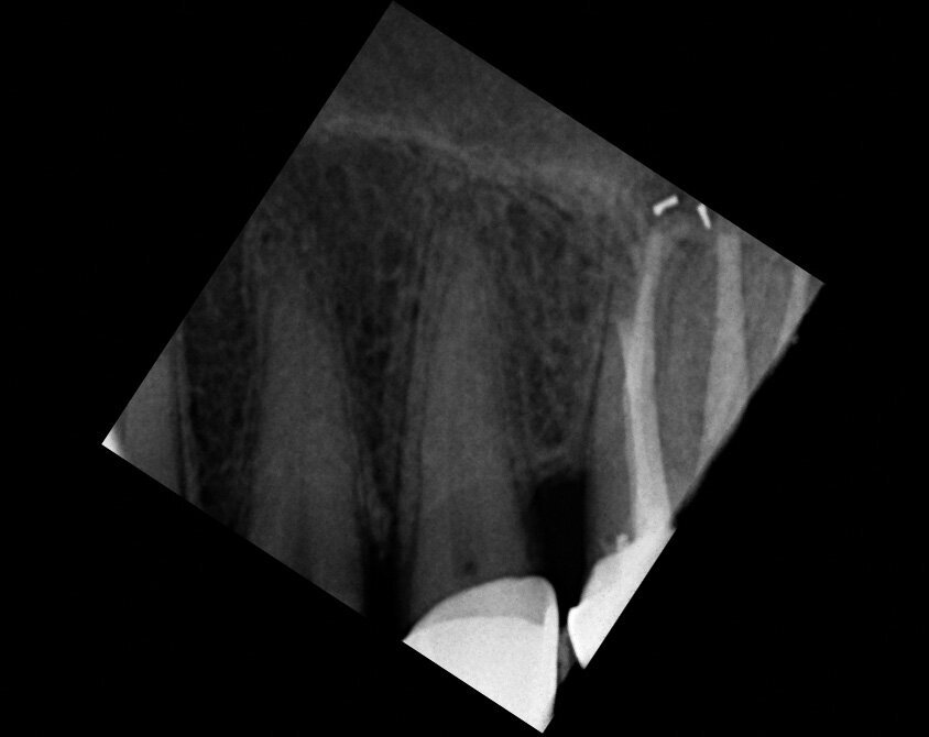
Un patient avait été adressé au cabinet en raison de problèmes associés à la fracture d’une lime. Il était pilote de ligne et se plaignait d’écoulements nasaux purulents lorsqu’il était en vol. La radiographie pré-opératoire (Fig. 1) a distinctement montré la présence de deux fragments d’une lime fracturée dans les canaux mésiaux et d’un cône traversant l’apex de la racine palatine. Après l’imagerie CBCT avec iCAT, il est apparu clairement que le sinus gauche était presque totalement rempli de liquide inflammatoire (Fig. 2) et que le cône présent dans le canal palatin pénétrait dans le sinus. Sur l’image de reconstruction multi planaire (MPR), nous pouvions également distinguer les deux fragments de lime fracturée dans les deux canaux mésiaux (Figs. 3 et 4) et aussi un autre fragment dans le sinus sans aucun contact avec le canal (Fig. 5). L’utilisation de différents filtres nous a permis de visualiser les fragments de lime (Figs. 6–9), ainsi que l’inflammation et le fragment de lime fracturée à l’intérieur du sinus. Nous avons également mieux perçu la position du cône qui émergeait du canal palatin et pénétrait dans le sinus.
Le plan de traitement a consisté à tenter de résoudre le problème par une approche classique et, au besoin, par une microchirurgie, en vue de conserver la dent. J’ai pu retirer le cône de la racine palatine a l’aide de limes H (Hedstrom) mais il était impossible de contourner les fragments de lime présents dans la racine mésiale, ou même de les atteindre avec des inserts ultrasoniques. Je me suis résolu à ne pas en faire trop afin de ne pas créer un nouveau problème, tel qu’une perforation de la paroi canalaire, et j’ai décidé de sceller les canaux (Fig. 10). La décision de traiter les canaux mésiaux par une approche chirurgicale a été prise immédiatement. J’ai sectionné 3 mm de la racine mésiale à l’aide d’une pièce à main Impact Air (SybronEndo), ce qui m’a donné une vue directe sur la membrane de Schneider, de laquelle le troisième fragment dépassait à peine (Figs. 11 et12). Je suis parvenu a le saisir délicatement et à l’extraire (Fig. 13). La figure 14 montre la situation post-opératoire, après la fin de la préparation à retro des canaux mésiaux.
Cas clinique 2
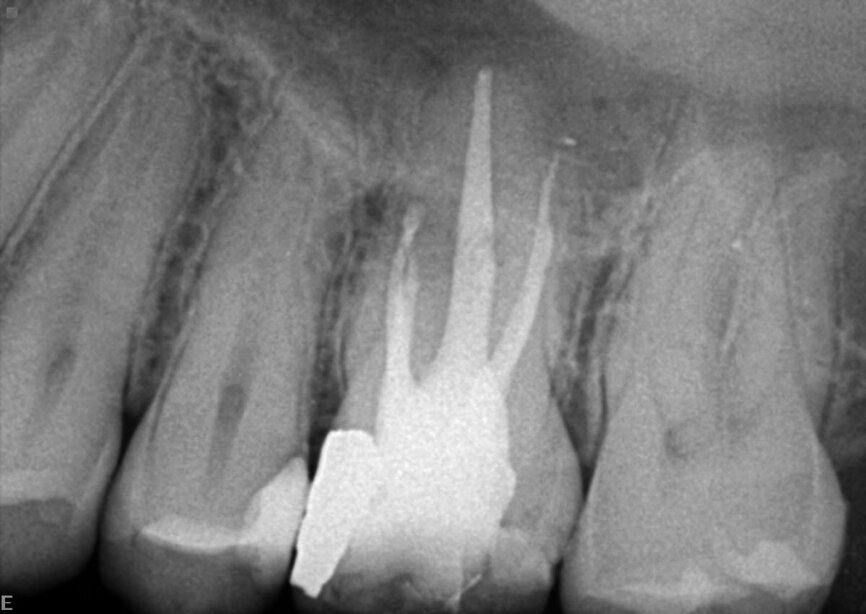
Le patient avait été adressé au cabinetpour une douleur sourde qui affectait une molaire supérieure. Sur la radiographie préopératoire, nous pouvions observer toute une série de matériaux d’obturation, notamment des mono-cônes, des colles composites et des cônes d’argent, dont certains étaient déjà fragmentés. L’un des fragments dépassait de la racine. Après un examen minutieux du sinus et de la membrane, nous avons pu constater que celle-ci avait été perforée en raison du processus inflammatoire et de l’infection qui avait provoqué une sinusite (Fig. 15).
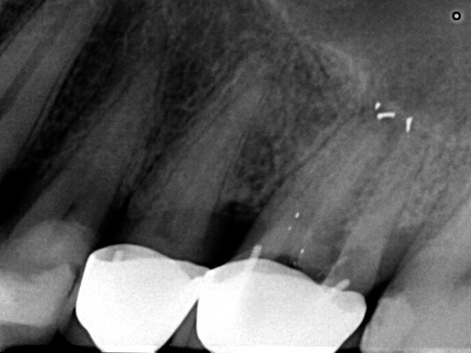
J’ai pratiqué l’intervention sous un microscope opératoire et ai utilisé des inserts ultrasoniques et des limes rotatives K3 XF (Kerr Dental), pour extraire tous les anciens matériaux d’obturation du système canalaire. J’y ai alors inséré un tampon de ouate sec et place un ciment provisoire, car le patient se sentait fatigué après cette longue séance de traitement (Fig. 16). La figure 17 montre quelques débris mineurs des cônes d’argent qui avaient migré au-delà de l’apex radiculaire mésiale. J’ai pu extraire un petit morceau du cône d’argent au moyen de la macro canule du système Endovac et effectuer un nettoyage chimique du système canalaire.
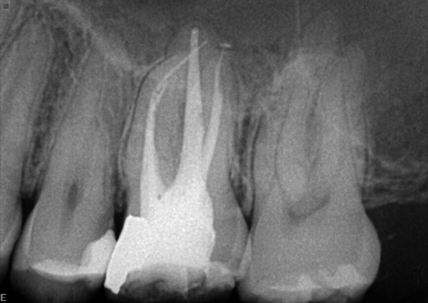
La figure 18 montre la situation immédiatement après l’intervention, en particulier l’obturation des canaux mésiaux. Il est possible d’observer une légère amélioration de la membrane de Schneider et du sinus. La figure 19 a été prise au cours de la visite de suivi a trois mois et montre une fermeture presque complète de la membrane et de l’os du plancher sinusien.
Discussion
Le sinus maxillaire est situé au-dessous du plancher de la fosse nasale, et il est en rapport étroit avec les racines dentaires maxillaires.6 Quelques études ont mis en évidence que la racine palatine de la première molaire supérieure est très souvent située à l’intérieur du sinus maxillaire.7 D’autres études ont montré que les racines mesio-vestibulaires des deuxièmes molaires sont celles qui pénètrent le plus profondément dans le sinus.8
Le diagnostic d’une sinusite maxillaire d’origine dentaire requiert des examens cliniques et radiographiques attentifs. Il a été avancé que l’incidence de la sinusite d’origine dentaire est en augmentation,9 ou tout au moins elle est davantage constatée. Ce fait pourrait s’expliquer par la disponibilité de meilleures techniques d’imagerie dans les cabinets dentaires, notamment la CBCT.10 La CBCT permet d’évaluer précisément la qualité de l’os maxillaire et la quantité de tissu osseux autour des apex radiculaires postérieures, sans distorsion ni superposition des dents et des structures adjacentes. Cet examen peut nous donner des informations très claires sur la position des racines et des apex, par rapport à la cavité sinusienne et à sa membrane. Si l’épaisseur de la membrane de Schneider mesure 0,5 mm ou plus, avec ou sans radioclarté apicale, on peut considérer que les canaux radiculaires sont le siège d’une infection. Les perforations de la membrane sinusienne peuvent avoir diverses séquelles, notamment une émoindre aux infections, et les complications les plus fréquentes sont des saignements de nez, une obstruction du sinus, et une sinusite aigue ou chronique.13
En présence d’une lésion péri-apicale, les études montrent une production de puissants facteurs de virulence causée par une nécrose pulpaire, notamment une production d’enzymes lysosomales et collagénases, qui favorisent la destruction du tissu peri-apical et sont susceptibles d’atteindre le sinus maxillaire.11 Les bactéries et les toxines présentes dans les lésions apicales peuvent infiltrer les sinus maxillaires en se propageant directement au travers l’os maxillaire poreux ou des vaisseaux sanguins et lymphatiques, et entrainer ainsi un épaississement de la muqueuse sinusienne.12
Au cours d’une obturation, l’extrusion des matériaux dépend de la technique de scellement endo-canalaire utilisée et du savoir-faire du praticien : la racine peut avoir fait l’objet d’une instrumentation excessive et mène à l’absence d’un joint apical. Dans ce cas, l’extrusion du matériau d’obturation hors du canal et sa pénétration dans le sinus ne peuvent être exclues. Des bactéries sont également susceptibles de coloniser la surface du matériau extrude et d’entretenir l’inflammation ou l’infection apicale.14 De plus, l’extrusion de ciments de scellement endodontiques à base d’oxyde de zinc est considérée comme un facteur favorisant la croissance d’Aspergillus. La littérature évoque la possibilité d’une introduction de spores dans le sinus par le biais de matériaux d’obturation canalaire contaminés.7
Pour éviter les erreurs iatrogènes, les auteurs recommandent les mesures suivantes :
- Respecter la longueur de travail durant la mise en forme canalaire initiale et mesurer la longueur de travail lors de la première exploration des racines.
- Garantir la stabilité de la longueur de travail sur les limes rotatives par la fixation de deux butées en caoutchouc, et mesurer à nouveau la longueur de travail après l’évasement coronaire.
- Utiliser la technique par pression négative afin d’éviter toute extrusion de produits chimiques hors de l’apex durant la phase d’irrigation.
- Vérifier l’ajustage précis du maitre-cône par le test de résistance au retrait et respecter le protocole d’obturation, afin d’éviter toute extrusion du matériau hors de l’apex (due à un remplissage excessif) et sa pénétration dans le sinus au cours de la phase d’obturation.
- Respecter le mélange et le dosage corrects du ciment de scellement, de façon à obtenir un mélange crémeux et pas liquide – ne pas utiliser un bourre-pâte pour pousser le ciment de scellement dans le canal.
Note de la rédaction : une liste des références est disponible auprès de l’éditeur. Cet article a été publié dans le magazine roots, international magazine of endodontics, volume 14, numéro 3/2018 et dans le journal Dental Tribune France, volume 12, numéro 5/2020.
Dr Philippe Sleiman est professeur adjoint à la faculté de chirurgie dentaire de l’université libanaise de Beyrouth, Liban
Mots-clés:
J'ai récemment reçu un e-mail, d'un dentiste généraliste, avec l'image de la dent 27 (image 1). Le mail : "j'ai une ...
Dans ce webinaire qui aura lieu le mercredi 7 octobre à 19h, le Pr Christian Makary présentera les techniques de soulèvement du sinus maxillaire par voie...
Au cours de la dernière décennie, l’univers endodontique s’est nanti d’un nouvel arsenal de technologies, instruments et ...
En dentisterie esthétique, la réussite repose en grande partie sur la capacité de bien comprendre les raisons qui poussent le patient ...
Il arrive qu’un plan de traitement fasse intervenir différents types de prothèses dentaires nécessitant des étapes de ...
L'hypersensibilité dentinaire est définie comme une douleur qui survient quand la dentine est exposée à des produits chimiques, ...
Comme prévu, la croissance des implantations dentaires a considérablement augmenté, ces dernières années. En ...
SUCY EN BRIE, France : Un sourire confiant peut transformer les interactions personnelles et professionnelles. Pour de nombreux patients, des traitements ...
L’halitose, qui se traduit par la présence de composés organiques volatils malodorants dans l’haleine, est une affection ...
MEXICO CITY, Mexique : La Fédération Dentaire Internationale (FDI) est l'Organisation des Nations Unies de la médecine dentaire, a dit ...
Webinaire en direct
mer. le 11 février 2026
à 1h00 (CET) Paris
Prof. Dr. Wael Att, Dr. Robert A. Levine DDS, FCPP, FISPPS, AOD, Dr. Larissa Bemquerer ITI Scholar at Harvard
Webinaire en direct
mer. le 11 février 2026
à 17h00 (CET) Paris
Dr. med. dent. Sven Mühlemann
Webinaire en direct
mer. le 11 février 2026
à 18h00 (CET) Paris
Prof. Dr. Samir Abou Ayash
Webinaire en direct
ven. le 13 février 2026
à 18h00 (CET) Paris
Webinaire en direct
lun. le 16 février 2026
à 18h00 (CET) Paris
Webinaire en direct
mar. le 17 février 2026
à 18h00 (CET) Paris
Webinaire en direct
mer. le 18 février 2026
à 15h00 (CET) Paris
Dr. Anna Lella, Ms. Francesca Nava
To post a reply please login or register