L'étiologie et le mécanisme physique du phénomène de fracture d'implants dentaires ont été examinés et étudiés en détail, ces dernières années. Pour la plupart, les études ont conclu que les lignes directrices du rapport racine-couronne associées à des dents naturelles ne devraient pas être appliquées au rapport implant-couronne.
Selon ces études, le rapport implant-couronne des implants qui avaient été considéré comme un facteur de succès, à une époque, des examens ultérieurs les a montré similaires à ceux des implants qui ont échoué.
embedImagecenter("Imagecenter_1_147",147, "large");
Apparemment, selon certaines de ces études, les lignes directrices utilisées par certains cliniciens pour établir le pronostic de l'avenir des restaurations sur implants sont généralement empiriques et manquent de validations scientifiques comme causes possibles de fractures d'implants.
Néanmoins, comme l'implantologie orale a été le segment le plus dynamique de la dentisterie, la recherche pour mieux comprendre ces processus de défaillance, y compris la compréhension exacte de l'information anatomique, réparatrice et mécanique critiques, pourraient stimuler les cliniciens à mettre en œuvre une action préventive qui puisse éviter à l'avenir des fractures d'implants dentaires.
Étude de cas
Un homme de 72 ans s'est récemment présenté à notre clinique. Conformément à la plainte majeure du patient, un examen bucco-dentaire et maxillo-facial complet, y compris RX de toute la bouche, a révélé, entre autres, deux implants endo-osseux fracturés, 13 et 12 (Fig. 1).
Ces implants (3,3 mm x 15 mm) ont été placés et mis en charge en 2003. Les implants ont été placés selon le protocole, en utilisant un gabarit chirurgical consistant en deux cylindres de guidage.
Les implants ont été laissés s'intégrer pendant six mois. Aucune complication chirurgicale n'a été notée pendant cette période. À la fin de la période d'attente de six mois, les implants ont été désenfouis dans les conditions normales et les piliers de cicatrisation placés.
Les implants ont été dotés par la suite de couronnes qui ont été fonctionnelles pendant environ six ans jusqu'à ce que les implants se fracturent.
Bien que ce traitement ait été développé avec considération de l'occlusion du patient, des circonstances mécaniques et des habitudes, à la suite de la fracture des implants, une analyse rétrospective de l'emplacement prévu pour les implants a révélé un deep-bite sur les modèles en articulateur et une usure occlusale généralisée de la denture opposée (Fig. 2).
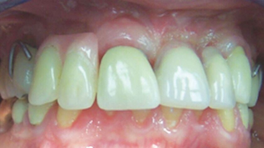
Lorsque le patient s'est présenté à notre clinique, la seule partie de la restauration qui était encore présente dans sa bouche était le pilier de la 13, qui était encore relié à l'un des implants fracturés, et a été enlevé avec un tournevis hexagonal (Fig. 3).
En procédant à une évaluation minutieuse de toutes les informations de diagnostic rétrospectives disponibles et suite à d'autres discussions avec le patient, plusieurs hypothèses de diagnostic et options de traitement se sont suivies jusqu'à ce qu'il soit établi que les couronnes sur implant soient remplacées par une prothèse partielle amovible.
Considérant que la nécessité de retrait des implants fracturés doit être équilibrée avec le risque d'augmentation des dommages, il a été décidé de retirer les piliers restants et le morceau fracturé de l'implant 13, permettant une fermeture primaire des tissus mous sur le corps restant des implants 13 et 12, à savoir, "les mettre en nourrice" (Fig. 4). Cela a été suivi par l'insertion d'une prothèse partielle amovible immédiate en acrylique, et par la suite, une prothèse partielle coulée a été fabriquée.
Ce rapport tente de fournir un argument en faveur de l'examen des mécanismes physiques comme contributeurs potentiels aux fractures implantaires.
Même si la controverse continue d'exister quant à savoir si le rapport couronne-racine peut servir d'aide indépendante pour prédire le pronostic des dents, la même chose s'applique certainement au rapport implant-couronne, à moins que de multiples autres indices cliniques comme l'occlusion, la présence d'habitudes parafonctionnelles et de problèmes électrochimiques, pour n'en citer que quelques-uns, soient considérés.
Les fractures d'implants sont considérées comme un problème potentiel avec les implants dentaires, notamment la rupture retardée des implants dentaires en titane, due à la corrosion chimique et à la fatigue du métal.
Après avoir examiné attentivement les articles référencés, qui sont très instructifs, nous avons réalisé que, dans une grande mesure, ils soutiennent notre théorie selon laquelle il y a de multiples facteurs impliqués dans les fractures d'implants.
Ces facteurs comprennent l'ampleur, l'emplacement, la fréquence, la direction et la durée de la compression, de la traction et du cisaillement, le sexe, l'emplacement implant dans la mâchoire, le type de l'os entourant l'implant; le point d'appui par rapport au pilier de connexion; la conception de l'implant; sa structure interne; la durée dans l'environnement buccal en ce qui concerne les changements induits dans la métallurgie du titane au fil du temps, la santé gingivale et le rapport couronne-implant.
Considérant les multiples facteurs impliqués dans les fractures de l'implant, à la fois physiques et biologiques, nous pouvons seulement supposer que cela peut arriver, surtout si des forces occlusales contraires et / ou des habitudes parafonctionnelles sont supérieures à la résistance de l'implant, en particulier au cours du temps.
Par conséquent, il est impératif que le clinicien connaisse bien la diversité de ces facteurs avant de recommander des implants dentaires. Les erreurs dans le diagnostic sont des contributeurs potentiels aux fractures implantaires et sont les raisons les plus communes de l'échec implantaire.
embedImagecenter("Imagecenter_1_147",147, "large");
Conclusion
Bien que, selon la littérature, l'utilisation d'un rapport implant-couronne en plus d'autres indices cliniques n'offre pas de meilleurs prédicteurs cliniques, et même si aucune recommandation définitive ne puisse être établie, étant donné que les implants dentaires sont de plus en plus populaires, on peut s'attendre à une augmentation du nombre de défaillances, notamment en raison de fractures tardives.
Ce rapport a tenté de fournir un argument en faveur de l'examen des mécanismes physiques comme facteurs prédictifs potentiels de fractures implantaires.
Par conséquent, il est essentiel pour nous de nous familiariser avec la compréhension et la compétence du diagnostic des multiples facteurs impliqués dans la fracture implantaire. Une fois observé, ce prédicteur conduirait certainement à améliorer le diagnostic et la planification du traitement.
AARHUS, Danemark: Alors que l’intégration de l’intelligence artificielle (IA) dans le secteur dentaire continue de s’accélérer, un consensus semble...
Toute reconstitution dentaire vise à rétablir le rôle et le caractère naturel du système stomatognathique et en ...
La loi « Hôpital, patients, santé et territoires » (HPST) imposerait aux chirurgiens-dentistes d’informer les patients sur le...
GIESSEN, Allemagne : Des chercheurs de l'Institut de chimie organique à l'Université Justus Liebig de Giessen ont mis au point un ...
TORONTO, Canada/LONDRES, Royaume-Uni : Alors que la quête de dents plus blanches se poursuit, il est crucial de bien comprendre l'étendue des dommages que...
PARIS, France : Une récente étude du laboratoire de Bio ingénierie et Biomécanique Ostéoarticulaires du CNRS à ...
GOTHENBURG, Suède : La formation de biofilms sur les implants dentaires est un défi majeur pour les professionnels du secteur. Elle cause de grands ...
BRUXELLES, Belgique : Le Conseil des dentistes européens (C.D.E.) mène actuellement une enquête d'un an (jusqu'au 31octobre 2013), sur ...
LOMA LINDA, Californie, USA : Les indications et la polyvalence des implants dentaires ont augmenté et avec eux, le nombre de complications. Des ...
LONDRES, Royaume-Uni : À ce jour, la recherche en bio ingénierie sur l´ontogénèse dentaire est essentiellement axée...
Webinaire en direct
jeu. le 7 mai 2026
à 2h00 (CET) Paris
Ms. Ellen Karlin, Dr. Sara Karlin
Webinaire en direct
jeu. le 7 mai 2026
à 17h00 (CET) Paris
Webinaire en direct
jeu. le 7 mai 2026
à 18h00 (CET) Paris
Webinaire en direct
jeu. le 7 mai 2026
à 18h00 (CET) Paris
Dra. Maria Carolina Erhardt, Dra. Thais Tomé Feldens
Webinaire en direct
jeu. le 7 mai 2026
à 20h30 (CET) Paris
Webinaire en direct
lun. le 11 mai 2026
à 18h00 (CET) Paris
Webinaire en direct
lun. le 11 mai 2026
à 19h00 (CET) Paris
To post a reply please login or register