Un homme, de 37 ans, médicalement et parodontalement stable, présente une fracture coronale, de la dent 21, ayant eu un passé endodontique. La dent a été considérée comme irrécupérable.
Le plan de traitement a été le suivant :
- extraction de la 21 et préservation de l'alvéole
- période de cicatrisation de 3 mois
- pose d'un implant en place de la 21 et greffe de tissu conjonctif
- période de cicatrisation de 3 mois
- désoperculation de l'implant, placement de la vis de cicatrisation et greffe de tissu conjonctif
- période de cicatrisation de 3 mois
- restauration coronale finale
Extraction de la 21 et préservation de l'alvéole
Après sédation orale avec 0.25 mg de triazolam (NdT : Halcion), pendant une heure avant la chirurgie et l'injection d'anesthésique local, utilisant de la lidocaïne à 2 pour cent avec adrénaline à 1:100.000 et de la bupivacaïne à 0.5 pour cent, avec épinéphrine à 1:200.000, une incision sulculaire a été pratiquée, circonférentiellement, autour de la dent 21. La racine restante a été extraite, atraumatiquement, à l'aide d'un dispositif piézoélectrique de périotomie (fig. 2).
La dégranulation complète du site d'extraction a été réalisée avec une fraise en forme de poire, à polir, en carbure, et une curette de Prichard. Aucune déhiscence ou fenestration n'a été détectée. L'allogreffe lyophilisée d'os (FDBA) a été employée pour combler l'alvéole d'extraction.
Un pansement, bioabsorbable, de collagène (CollaPlug, Zimmer Dental, Carlsbad, CA, Etats-Unis) a été utilisé, pour recouvrir la greffe. Le secteur a été suturé en employant la suture en polytétrafluoroéthylène augmentée 4-0 (ePTFE) (fig. 3). Le dentiste généraliste a temporisé l'espace de la 21 avec un appareil partiel amovible, provisoire.
Après trois mois de guérison sans problème (fig. 4), la phase 1 de l'implantation a été lancée.
Pose d'un implant en place de la 21 et greffe de tissu conjonctif
Après sédation orale avec 0.25 mg de triazolam (NdT : Halcion), pendant une heure avant la chirurgie et injection d'anesthésique local, utilisant de la lidocaïne à 2 pour cent avec adrénaline à 1:100.000 et de la bupivacaïne à 0.5 pour cent, avec épinéphrine à 1:200.000, un lambeau a été soulevé, en utilisant une conception d'incision trapézoïdale respectant les papilles, ce qui a impliqué une incision crestale, orientée en palatin, au-dessus de l'emplacement de la 21, et deux incisions de décharge, verticales, faites en vestibulaire, tous les deux, évitant les papilles mésiales et distales.
Un lambeau de pleine-épaisseur a été soulevé, après la jonction muco-gingivale. La dégranulation du site, avec une fraise-poire à polir, en carbure et la fraise de Neumeyer a indiqué que les dimensions apico-coronale, vestibulo-linguale et mésio-distales étaient proportionnées pour la pose d'implant.
Après la préparation d'ostéotomie, un implant à surface rugueuse, hexagone interne de 4 millimètres (diamètre) de 13 millimètres (longueur) a été placé dans le site (fig. 5). (NanoTite Parallel Walled Certain Implant, BIOMET 3i, Palm Beach Gardens, FL, USA) (Fig. 5).
La stabilité primaire a été obtenue, et une vis de couverture a été placée. Afin de former un profil esthétique des tissus mous, en augmentant des dimensions muqueuses, une greffe de tissu conjonctif a été prélevée au palais et placée sur la face vestibulaire de la crête, recouvrant l'implant. La greffe a été stabilisée en employant des sutures catgut chromiques 5-0 (fig. 6).
Après libération du périoste, par des incisions latérales au scalpel, le lambeau a été, principalement, refermé avec des sutures en ePTFE 4-0 en surjet continu (fig. 7). Le secteur a été re-temporisé avec un dentier partiel fixe, collé à la résine.
Désoperculation de l'implant avec greffe de tissu conjonctif
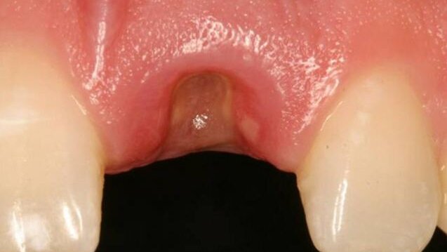
L'emplacement de la 21 a bien guéri, sans incident, après trois mois (fig. 8). Après utilisation d'une technique de tréphine de tissu, pour enlever la muqueuse, immédiatement sur l'infrastructure (fig. 9), un pilier de cicatrisation, monobloc, de 4.1 millimètres par 5 millimètres (profil d'émergence) a été placé, sur l'implant 21. (Certain EP Healing Abutment, BIOMET 3i, Palm Beach Gardens, FL, USA)
Pour augmenter encore la dimension vestibulaire de la crête, une autre greffe de tissu conjonctif a été prélevée, au palais. Un lambeau, comme pour une poche, a été soulevé au-dessus de la face labiale de l'arête dans lequel le tissu conjonctif a été transplanté et fixé en employant une suture catgut chromique 5-0 (fig. 10). Le pilier de cicatrisation est resté exposé. Une radiographie périapicale a indiqué une épaisseur suffisante d'os autour de l'implant (fig. 11). Le dentier partiel fixe collé à la résine, a été remplacé.
Prothèse terminale
La restauration finale de l'implant 21 a été exécutée trois mois post-désoperculation (fig. 12). La taille et la découpe marginales de la couronne de l'implant 21 ont imité celles de la dent adjacente, 11, et une radiographie périapicale a montré une hauteur d'os appropriée autour de l'implant l (fig. 13). Le patient a été satisfait du résultat fonctionnel et esthétique (fig. 14)
embedImagecenter("Imagecenter61",61);
La restauration esthétique de dents antérieures par traitement implantaire est une technique délicate, surtout en présence de défauts des tissus osseux...
Avec plus de 40 ans d'évidence clinique, les implants endo-osseux, en titane, sont devenus une forme (basée sur l'évidence) acceptable ...
Afin de discuter de l'avenir de la dentisterie, nous devons d'abord regarder l'histoire de l'utilisation du mercure en dentisterie. Le mercure porte le ...
La restauration d’une dent unitaire est devenue l’une des interventions les plus couramment pratiquées en implantologie.1 Dans la ...
Les anomalies dento-faciales sont des modifications des proportions faciales et des rapports dentaires, et ces anomalies de l’aspect du visage et des ...
Dentiste omnipraticien expérimenté et pédagogue passionné, le Dr Charles Toledano dirige l’ADF 2025 en tant que directeur scientifique. Fort de trois ...
Selon la définition de l’IASP (International Association for the Study of Pain – Association internationale pour l’étude de la douleur), la douleur ...
L’esthétique faciale est omniprésente avec les réseaux sociaux et les selfies (Fig. 1). Le public cherche à affiner sa silhouette faciale, pour ...
La présente étude de cas décrit la procédure de remplacement immédiat d’une incisive centrale supérieure par un implant monobloc en zircone après ...
PHILADELPHIE, États-Unis : La maladie parodontale touche près de 60 % des adultes de plus de 65 ans et représente un fardeau considérable — sur les ...
Webinaire en direct
jeu. le 14 mai 2026
à 18h00 (CET) Paris
Webinaire en direct
jeu. le 14 mai 2026
à 20h00 (CET) Paris
Prof. Hani Ounsi DDS PhD FICD
Webinaire en direct
mar. le 19 mai 2026
à 17h00 (CET) Paris
Webinaire en direct
mar. le 19 mai 2026
à 19h00 (CET) Paris
Prof. Dr. med. dent. Ivo Krejci
Webinaire en direct
mer. le 20 mai 2026
à 13h00 (CET) Paris
Dr. Graham Carmichael BDSc (Hons), DClinDent (Pros), FRACDS, Dr. Robert Gottlander DDS
Webinaire en direct
mer. le 20 mai 2026
à 15h00 (CET) Paris
Webinaire en direct
mer. le 20 mai 2026
à 19h00 (CET) Paris
Prof. Dr. med. dent. Tim Joda PhD, MSc, eMBA
To post a reply please login or register