La présente étude de cas décrit la procédure de remplacement immédiat d’une incisive centrale supérieure par un implant monobloc en zircone après l’échec d’un traitement endodontique précédent. L’extraction atraumatique de l’incisive a été suivie par une procédure de curetage pour éliminer tout résidu de granulome périapical.
L’implant (implant ZiBone monobloc en zircone, COHO) a été posé immédiatement, sa stabilité primaire était satisfaisante, et il a été restauré au moyen d’une couronne en zircone quatre mois plus tard. L’examen de suivi à un an a montré une excellente ostéo-intégration, assortie d’une fonction et d’une forme optimales.
Présentation du cas
La patiente, âgée de 36 ans, nous a consulté pour un contrôle dentaire en raison d’une douleur dans la région des dents antérieures supérieures gauches. À ses dires, la douleur commençait subitement et s’aggravait lors de la mastication. L’examen clinique de l’incisive centrale supérieure gauche (dent 21) a révélé une inflammation, une douleur à la percussion et une fracture de la dent au niveau de la limite cervicale. La dent avait fait l’objet d’un traitement endodontique trois ans plus tôt et n’avait jamais été restaurée auparavant. Une radiographie a montré une couronne fracturée touchée par une résorption radiculaire mineure ainsi qu’une infection périapicale (Figs. 1a–c). L’examen radiographique comme l’examen clinique ont également confirmé la présence d’une largeur et d’une hauteur d’os suffisantes. Le pronostic très défavorable d’un retraitement endodontique a été expliqué à la patiente et elle a opté pour un traitement plus radical. La décision d’extraire la dent et de la remplacer immédiatement par un implant monobloc en zircone a donc été prise.
Fig. 1a : Photographie clinique préopératoire de la dent 21.
Fig. 1c : Radiographie de la dent 21.
Fig. 2 : Dent 21 après extraction.
Figs. 3a–c : Implant ZiBone monobloc en zircone (Ø 4,0 mm, longueur 12,0 mm).
Figs. 3a–c : Implant ZiBone monobloc en zircone (Ø 4,0 mm, longueur 12,0 mm).
Figs. 3a–c : Implant ZiBone monobloc en zircone (Ø 4,0 mm, longueur 12,0 mm).
Fig. 4 : Stade de la cicatrisation après quatre mois
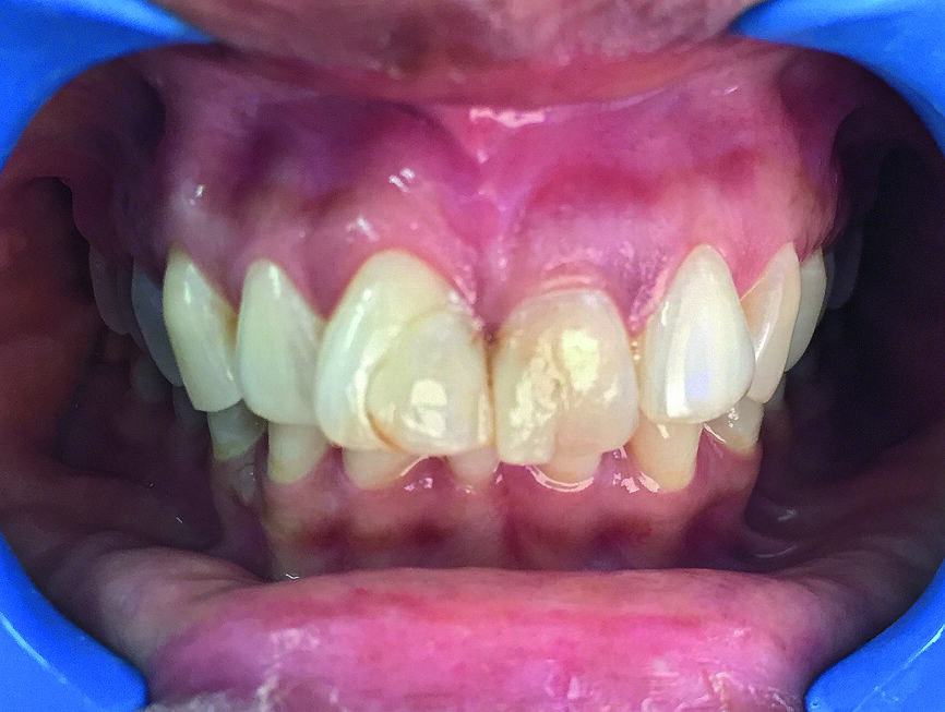
Fig. 5 : Restauration de la dent 21 avec une couronne en zircone.
Fig. 6a :
Situation postopératoire et radiographie après un an.
Fig. 6b :
Situation postopératoire et radiographie après un an.
Traitement chirurgical
Un détartrage ultrasonique et un entretien minutieux ont été effectués avant l’extraction de la dent et la pose de l’implant.
L’extraction atraumatique de la dent 21 a été réalisée au moyen d’un périotome, sous anesthésie locale (lidocaïne – Lignox, Indoco –, avec adrénaline 1:200 000) (Fig. 2). Des curettes à os ont été utilisées pour débrider complètement l’alvéole d’extraction, afin d’éliminer le tissu de granulation. L’étape suivante a consisté à préparer les sites de l’ostéotomie au moyen d’un foret guide et le tout a été vérifié avec des indicateurs de direction. Le forage a ensuite été accompli jusqu’à une longueur correspondant précisément à celle de l’implant et un implant ZiBone en zircone (Ø 4,0 mm, longueur 12,0 mm) a été inséré en position 21.
Un couple d’insertion d’environ Ncm a été utilisé pour obtenir la stabilité primaire (Figs. 3a–c).
Ensuite, une greffe osseuse a été réalisée avec un matériau particulaire, dans le but de combler l’espace existant entre l’alvéole dentaire et l’implant. Une membrane de collagène Geistlich Bio-Gide (Geistlich Biomaterials) a servi à fixer l’implant et la zone a été suturée avec un fil en soie noire 3/0. La mise en place de la couronne a été planifiée à un stade ultérieur. La radiographie prise immédiatement après l’intervention a montré un implant inséré selon une direction appropriée et bien parallèle.
Les instructions concernant les soins à domicile postopératoires comprenaient le brossage des dents, un bain de bouche à base de chlorhexidine à 0,12 % et la prise de 400 mg de métronidazole et 500 mg d’amoxicilline trois fois par jour pendant cinq jours, ainsi que la prise de paracétamol durant trois jours. Après le retrait des sutures au bout de sept jours, la lésion s’est avérée bien cicatrisée.
Des empreintes ont été prises quatre mois plus tard et l’implant qui remplaçait la dent 21 a été restauré avec une couronne en zircone (Fig. 4). Les contacts occlusaux de la couronne ont été vérifiés à l’aide de papier à articuler d’une épaisseur de 12 microns (Fig. 5).
L’examen postopératoire un an plus tard n’a montré aucun signe de mobilité, de perte osseuse, de lacération des tissus péri-implantaires ou de paresthésie, pas plus qu’il n’y avait de signe d’inflammation du tissu mou (péri-implantaire) autour du site (Fig. 6).
Discussion
L’intérêt des implants en zircone tient aux avantages esthétiques du matériau : aucune réaction résultant de la génération de courants galvaniques et moindre risque d’inflammation par comparaison avec l’introduction accidentelle de particules de titane dans le site de l’ostéotomie.1–3
Au terme de 20 années, on dispose de données qui semblent indiquer une excellente biocompatibilité des implants en zircone, en plus de leurs propriétés physiques avantageuses. D’autres données confirment la capacité de la zircone à résister à des charges continues. Par conséquent, les implants en zircone sont aussi parfaitement adaptés au remplacement des dents postérieures.4
Dans notre cas, la patiente ne souhaitait pas un implant métallique et c’est pourquoi le choix s’est porté sur l’implant monobloc en zircone.5, 6 Par rapport aux implants constitués de deux parties, l’absence d’une micro-anfractuosité dans un implant monobloc garantit un risque minimal de micro-percolation et de colonisation bactérienne qui sont susceptibles d’entraîner une perte osseuse.7
Le protocole classique de la pose d’implants ainsi que leur mise en charge dans des régions touchées par une infection périapicale se traduit par un report de plusieurs mois de l’implantation après l’extraction, de façon à éviter une contamination des surfaces implantaires.8 Néanmoins, la survenue d’une perte osseuse accidentelle est possible pendant l’attente de la cicatrisation des lésions, avec les conséquences négatives possibles sur la fonction et l’esthétique. La quantité de résorption de l’os crestal après l’extraction dentaire peut atteindre 23 % en l’espace de six mois et compromettre la structure des tissus mous et durs.
Selon les résultats d’études systématiques, il semble possible de poser des implants dans des sites touchés par des infections périapicales et parodontales.9, 10 Le cas de cette patiente a requis un débridement chirurgical complet avant la pose de l’implant dentaire. Une procédure de régénération osseuse guidée (ROG) a également été réalisée afin de combler l’espace présent entre la paroi alvéolaire et l’implant. Ces phases du traitement ont été accomplies à la lumière des données fournies dans l’étude systématique de Waasdorp et al.11
La conclusion d’un essai multicentrique randomisé et contrôlé n’a indiqué aucune variance clinique au niveau des complications, des taux de survie des implants et des modifications des bords osseux lors de la pose d’implants unitaires, que celle-ci ait été effectuée précocement, immédiatement ou selon la méthode classique.12 Une méta-analyse et une étude systématique portant sur les techniques de pose et de mise en charge/restauration immédiates d’implants unitaires dans les régions maxillaires antérieures ont produit des résultats impressionnants qui montraient des taux de survie des implants supérieurs à 97,9 % et 99,0 % respectivement.13
Une étude prospective ainsi qu’une étude rétrospective ont été menées et corroboraient la pose immédiate des implants, même dans les régions présentant une pathologie périapicale. Une analyse réflective (67,3 mois de suivi) réalisée sur 418 implants posés immédiatement dans des conditions de pathologie périapicale a montré une augmentation de 97,8 % du taux de survie.
Une autre étude réflective a comparé le taux de survie d’implants posés immédiatement dans des sites avec et sans pathologie périapicale. Parmi les 922 implants, 285 ont été implantés dans des alvéoles présentant des radioclartés périapicales (19,75 mois de suivi).15 Les taux de survie relevés dans le groupe témoin et le groupe traité s’élevaient à 97,5 % et 98,7 % respectivement. Ces valeurs ont été considérées comme n’ayant aucune signification statistique.
Par contre, un taux statistiquement important d’échec a été observé dans les implants posés à côté de dents naturelles touchées par des lésions périapicales. Dans un essai clinique prospectif contrôlé mené par Siegenthaler et al., portant sur la pose immédiate de treize implants dans des régions présentant une pathologie périapicale et de seize implants dans des régions saines, les résultats radiographiques et cliniques n’ont montré aucune différence entre ces paramètres.16 La stabilité primaire avait été obtenue dans les deux groupes. Jung et al. ont procédé à la pose immédiate d’implants dans des régions avec et sans pathologie périapicale, et ont rapporté un taux de survie de 100 % cinq ans après l’implantation.17 Il est essentiel de garder à l’esprit que des études telles que les exemples précités se concentrent sur l’élimination tant chimiothérapeutique que mécanique des pathologies, tout en préconisant la régénération osseuse guidée (ROG) si elle est nécessaire.
Les surfaces des implants ont tendance à accumuler moins de bactéries par rapport aux surfaces en titane. Cette propriété pourrait permettre d’éviter une réaction inflammatoire de la gencive susceptible d’aggraver une lésion périapicale existante. La réduction de la charge bactérienne favorise la formation de l’espace biologique et la fermeture des muqueuses, ce qui pourrait entraver la colonisation de la région apicale par des bactéries.18–21
Conclusion
La pose immédiate d’un implant en zircone pourrait être avantageuse dans des régions touchées par une infection périapicale, à condition que le site infecté fasse l’objet de procédures de débridement chirurgical complet et de régénération osseuse guidée (ROG) si celle-ci est nécessaire, complétées par un traitement antibiotique adéquat et des soins d’entretien postopératoires suffisants.
Note de la rédaction : Les auteurs ont déclaré n’avoir aucun intérêt financier ou autres conflits d’intérêts.
Texte initialement paru dans la revue ceramic implants, international magazine of ceramic implant technology, volume 2, numéro 1/2018, puis dans le journal Dental Tribune France, volume 12, numéro 4/2020.
Mots-clés:
Bien que des progrès scientifiques et techniques aient été réalisés dans le domaine de la dentisterie, de nombreux patients sont encore partiellement ...
L'orthodontiste germano-suédois, le dr David Weichbrodt, vit à Asker, ville proche de la capitale d’Oslo. Dans son cabinet de quatre personnes, il ...
Les progrès réalisés dans le domaine de l’implantologie et particulièrement dans l’implantologie basale, ont contribué à l’essor de la mise en ...
Comme prévu, la croissance des implantations dentaires a considérablement augmenté, ces dernières années. En ...
Les thérapies innovatrices de restauration immédiate de bredent medical ont fortement prouvé leur efficacité aux odontologistes ...
Les outils numériques occupent aujourd'hui une place importante en implantologie. Dans les mises en charge immédiates, le positionnement correct des ...
Le site DTStudyClub organise un nouveau webinaire qui aura lieu le vendredi 16 avril 2021 à 17 heures qui portera sur « Le numérique au service de la ...
Nous allons aborder la place de la phytothérapie dans le traitement des lésions buccales, dont notamment les aphtes, les mycoses buccales, l’herpès. Le...
À propos d’un cas clinique
Incontestablement, la chirurgie implantaire guidée séduit de plus en plus de praticiens en raison de sa fiabilité, ...
La mise en charge immédiate de bridges complets sur implants au maxillaire est pour le praticien un défi posé par certains patients ...
Webinaire en direct
jeu. le 14 mai 2026
à 18h00 (CET) Paris
Webinaire en direct
jeu. le 14 mai 2026
à 20h00 (CET) Paris
Prof. Hani Ounsi DDS PhD FICD
Webinaire en direct
mar. le 19 mai 2026
à 17h00 (CET) Paris
Webinaire en direct
mar. le 19 mai 2026
à 19h00 (CET) Paris
Prof. Dr. med. dent. Ivo Krejci
Webinaire en direct
mer. le 20 mai 2026
à 13h00 (CET) Paris
Dr. Graham Carmichael BDSc (Hons), DClinDent (Pros), FRACDS, Dr. Robert Gottlander DDS
Webinaire en direct
mer. le 20 mai 2026
à 15h00 (CET) Paris
Webinaire en direct
mer. le 20 mai 2026
à 19h00 (CET) Paris
Prof. Dr. med. dent. Tim Joda PhD, MSc, eMBA
To post a reply please login or register