Search Dental Tribune

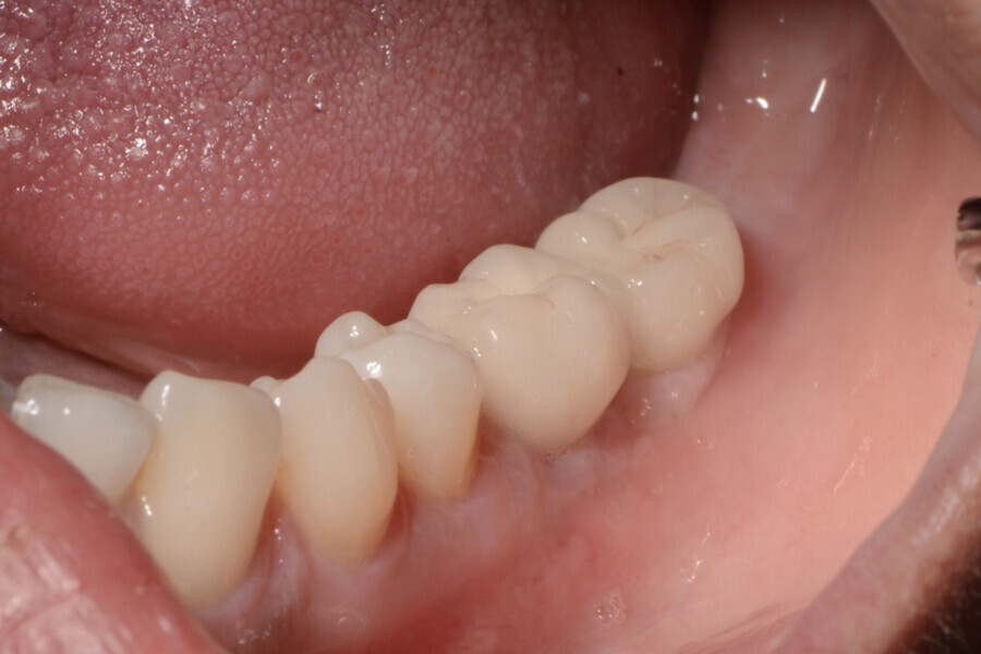
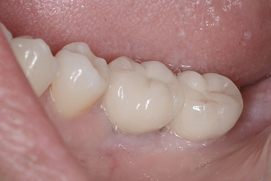
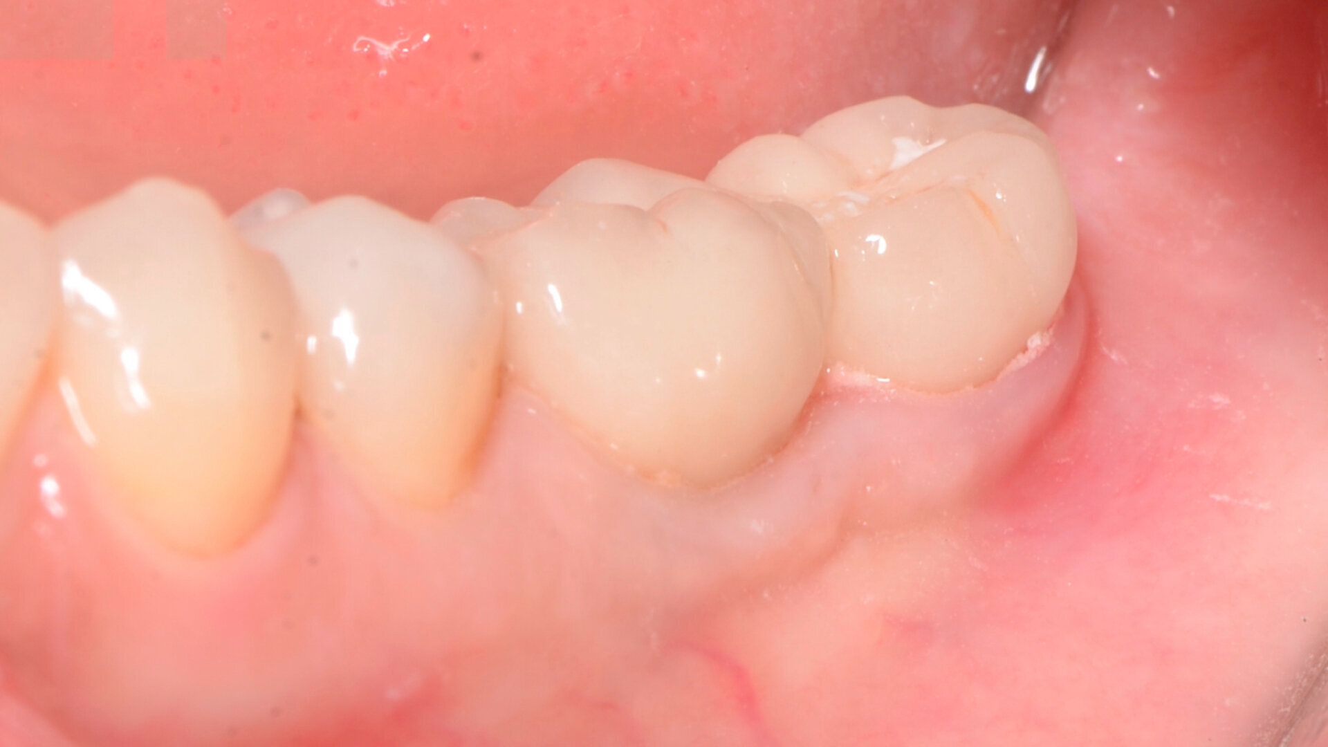
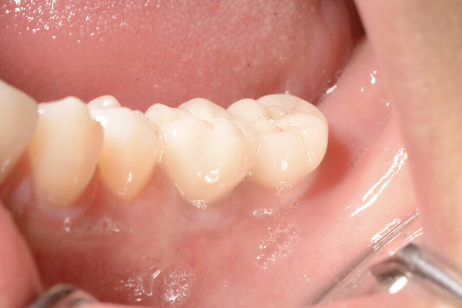
Aspect clinique de la zone des tissus mous péri-implantaires lors du suivi à cinq ans. (Photo : Dr Cosimir Dima)

Les défauts des tissus mous péri-implantaires (perte papillaire, diminution du volume de la muqueuse, récession gingivale, déhiscence, modification de la couleur de la crête) sont des complications courantes des traitements implantaires, et nuisent au résultat esthétique final, et à la stabilité des implants sur le long terme.1,2

De nombreux facteurs peuvent influer sur la survenue de défauts des tissus mous péri-implantaires. Une perte osseuse faciale et un biotype fin en favorisent la récession,3 et une épaisseur de tissu mou inférieure à 2 mm, contribue à une perte de l’os marginal péri-implantaire, 4,5 avec pour conséquences l’exposition de l’implant, et la modification du rapport entre le pilier et la couronne. La combinaison d’une récession gingivale et d’une muqueuse très peu kératinisée, entraîne des difficultés à éliminer la plaque, une inflammation, et l’insatisfaction des patients quant à l’esthétique.6

Une greffe des tissus mous au niveau des sites d’implantation immédiate est réalisée dans le cadre d’une chirurgie en deux temps à des fins esthétiques, de reconstruction papillaire, de gain de largeur de la muqueuse kératinisée, d’augmentation du volume de la muqueuse, et de préservation du contour de la crête alvéolaire.7

La nécessité de la prise en charge des défauts des tissus mous entourant les implants est un facteur de plus en plus important, car l’implantation immédiate est associée à une récession gingivale péri-implantaire, qui survient à la suite des processus de remodelage tissulaire.

Lorsque des implants sont posés sans augmentation des tissus mous, la muqueuse péri-implantaire peut s’amincir et présenter une teinte grisâtre, ou sa texture peut se modifier en raison de cicatrices dues à une mauvaise gestion du lambeau.8,9 Une muqueuse péri-implantaire très mince (moins de 2 mm) peut paraître transparente, et par conséquent laisser transparaître l’implant ou le pilier.10 Diverses techniques chirurgicales, ainsi que des procédures chirurgicales et prothétiques combinées, ont été décrites dans la prise en charge thérapeutique des défauts des tissus mous péri-implantaires. Il existe dans la littérature des arguments en faveur d’interventions chirurgicales en deux temps, pratiquées au niveau des tissus mous péri-implantaires. Selon une analyse de la documentation, les traitements associés à des exigences esthétiques élevées ou à l’impossibilité d’effectuer un contrôle adéquat de la plaque dentaire, requièrent la régénération de la muqueuse kératinisée, pour maintenir la stabilité des tissus mous péri-implantaires.11 Le type de lambeau dépend de l’étendue de la récession de la gencive péri-implantaire, de la profondeur vestibulaire, de la largeur de la gencive attachée, et du volume du tissu interproximal.1 Une approche chirurgicale classique fait appel à des lambeaux positionnés apicalement ou latéralement, dès le moment où l’implant est exposé. Ces techniques sont combinées avec une greffe de gencive libre, si la largeur de la muqueuse kératinisée qui recouvre la crête alvéolaire est minimale. Le recours à un lambeau positionné apicalement ou à une vestibu-loplastie, en combinaison avec une greffe de gencive libre ou une greffe de tissu conjonctif sous-épithélial, est la technique la mieux étudiée en matière de greffe de tissus mous péri-implantaires. Il s’est avéré que cette technique permet une augmentation de la largeur de la muqueuse kératinisée, comprise entre 1,15 mm ± 0,81 mm et 2,57 mm ± 0,50 mm, et un recouvrement partiel de la surface de l’implant après une récession de gencive péri-implantaire.12 L’utilisation simultanée d’un lambeau positionné apicalement et d’une matrice de collagène pour augmenter la largeur de la muqueuse kératinisée, entraîne moins de morbidité et réduit la durée de l’intervention, tout étant aussi efficace que la même technique associée à une greffe de gencive libre.13 Le conditionnement des tissus mous péri-implantaires à l’aide d’une greffe épithéliale libre provenant de tissu autologue, a également été proposé pour la prise en charge de la morphologie des défauts supra-crestaux et/ou de type déhiscence.14 Les techniques ayant recours à des greffes autologues sont beaucoup plus efficaces pour améliorer l’esthétique et augmenter l’épaisseur des tissus mous péri-implantaires, que les techniques sans greffe.15,16 Selon une analyse systématique de la littérature, l’utilisation de greffes autologues pour augmenter l’épaisseur de la muqueuse, est associée à une perte nettement moindre de l’os marginal sur le long terme. De plus, l’utilisation combinée d’un lambeau positionné apicalement et d’une greffe autologue pour augmenter la largeur du tissu kératinisé, améliore fortement les indices de saignement au sondage, et les niveaux d’os marginaux.17

Malgré les résultats favorables des techniques de conditionnement des tissus mous péri-implantaires susmentionnées, il faut tenir compte de la morbidité (due à la plaie résultant de l’incision au niveau du site donneur palatin), des modifications dynamiques des tissus mous, et de la durée plus longue de la cicatrisation. Bien que ces techniques permettent d’éviter les problèmes de perte de volume et de récession péri-implantaire superficielle, elles sont moins prédictibles dans le cadre de la prise en charge des récessions péri-implantaires profondes ou étendues, et de la perte papillaire.1 Ces inconvénients peuvent être surmontés par des techniques de lambeaux pédiculés de tissu épithélial ou conjonctif, utilisés avec ou sans matrices de collagène.18,19

Les techniques de lambeaux pédiculés représentent une nouvelle approche chirurgicale minimalement invasive, qui peut être réalisée en un ou deux temps dans les zones antérieures et postérieures, ainsi qu’au niveau d’implants unitaires ou pluraux adjacents.18 Les techniques de lambeaux pédiculés sont particulièrement recommandées chez les patients nécessitant un retraitement après un échec implantaire, et chez les patients édentés porteurs de nombreux implants, et qui nécessitent un conditionnement des tissus mous au moyen de plusieurs greffes de tissu conjonctif.18 Pandolfi décrit un type de lambeau modifié (lambeau en oméga, inspiré de la technique du lambeau rouleau) qui combine un lambeau roulé avec une technique de poche modifiée, pour corriger les défauts horizontaux localisés de la crête alvéolaire, et pour augmenter l’épaisseur des tissus mous péri-implantaires. 20 Cette technique, qui utilise le tissu conjonctif supracrestal du site chirurgical de l’implant, permet d’éviter le prélèvement de tissu conjonctif autologue sur un autre site donneur. Tabanella décrit une technique de lambeau pédiculé vestibulaire réalisée dans les régions antérieures et postérieures, en présence d’au moins deux implants adjacents.18 La technique commence par une longue incision horizontale en lingual, qui se prolonge légèrement en vestibulaire, suivie d’incisions parasulculaires en mésial et en distal. La jonction muco-gingivale est incisée au moyen d’une lame n° 15C, afin d’éviter toute perforation du lambeau. Le lambeau est positionné en vestibulaire et un léger chevauchement des tissus dans cette zone crée des plis, qui permettent d’augmenter le volume de la muqueuse. Moreno Rodriguez et Caffesse ont proposé une technique de lambeau pédiculé (lambeau de rotation latérale) pour le traitement des défauts péri-implantaires. 21 La technique consiste à créer un site récepteur au niveau de la région mésio-vestibulaire et apicale entourant chaque implant. Un lambeau pédiculé de tissu kératinisé est élevé dans la zone disto-palatine adjacente à l’implant, puis tourné de 90°, pour être positionné et suturé sur la zone vestibulaire péri- implantaire. 21,22

Le but de cet article est de présenter une nouvelle approche chirurgicale dénommée technique Snake, qui fait appel à un lambeau pédiculé modifié, pour le conditionnement des tissus mous entourant les implants dentaires ostéointégrés, mis en charge dans la région postérieure de la mandibule.

Présentation du cas

Fig. 1 : Situation préopératoire, montrant la zone concave entre les implants, favorisant la rétention de résidus alimentaires et la péri-implantite.

Le patient, 47 ans, présentait une résorption importante de la crête alvéolaire postérieure mandibulaire résultant de l’extraction des molaires (Fig. 1). Une récession gingivale péri-implantaire avec présence d’un tissu kératinisé minimal (moins de 1 mm) a été diagnostiquée au niveau de deux sites postérieurs. Le conditionnement des tissus mous péri-implantaires a été effectué quatre mois après la chirurgie implantaire.

Technique chirurgicale

La zone opératoire a été anesthésiée avec de l’articaïne et de l’épinéphrine à 1:100 000. Le site receveur a été incisé au moyen d’un scalpel tranchant, afin de créer un lit périosté libre de toute attache musculaire. Deux incisions crestales parallèles ont été effectuées au niveau de la région distale des implants avec une lame n° 15C, et reliées par une incision horizontale (Figs. 2 à 5).

Le prolongement des incisions vers la région crestale et la distance qui les sépare, dépendent du volume de la greffe de tissu kératinisé nécessaire pour chaque cas. La désépithélialisation du lambeau a été effectuée à l’aide d’une lame n° 15C (Fig. 6), et un lambeau d’épaisseur partielle a été élevé (Fig. 7). Le lambeau a été décollé par une incision superficielle interne de la partie apicale, afin d’en permettre le déplacement passif et la suture sans tension. Le lambeau a alors été déplacé en direction mésiale avec une rotation de 180° (Figs. 8 et 9).

Figs. 6-9 : Lambeau d’épaisseur partielle.

Figs. 6-9 : Lambeau d’épaisseur partielle.

Fig. 7

Fig. 7

Fig. 8

Fig. 8

Fig. 9

Fig. 9

La papille mésiale a été préparée pour une greffe par une technique de tunnelisation (Fig. 10). Le lambeau obtenu a été suturé à la base du vestibule fraîchement créé du site receveur, au moyen d’un fil en PTFE non résorbable no 5/0 (Coreflon, IMPLACORE). Le greffon a été roulé à l’intérieur du rebord gingival et fixé en mésial, par des fils de sutures en PTFE (Figs. 11 à 14).

Le patient a reçu l’instruction de se rincer la bouche deux fois par jour avec un bain de bouche à la chlorhexidine à 0,12 % pendant deux semaines. Un traitement anti-inflammatoire (400 mg d’ibuprofène à prendre toutes les 8 heures) a été prescrit pendant trois jours. Le patient n’a signalé ni gène ni douleur postopératoire. Il a également été recommandé au patient de continuer à se rincer la bouche avec un bain de bouche à la chlorhexidine à 0,2 %, deux fois par jour pendant quatre semaines, et d’éviter tout acte mécanique au niveau de la région opérée lors de ses soins d’hygiène bucco-dentaire. Les sutures ont été retirées au bout d’une semaine.

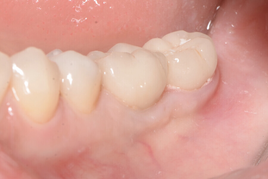
Dix jours après l’intervention, les sites donneur et receveur étaient parfaitement cicatrisés (Figs. 15 et 16). Des visites de contrôle ont été prévues deux et quatre semaines plus tard, suivies de visites à trois, six et douze mois, puis tous les six mois pendant cinq ans (Figs. 17 à 20).

Chaque visite de contrôle s’est terminée par des mesures de maintenance professionnelles du site opéré.

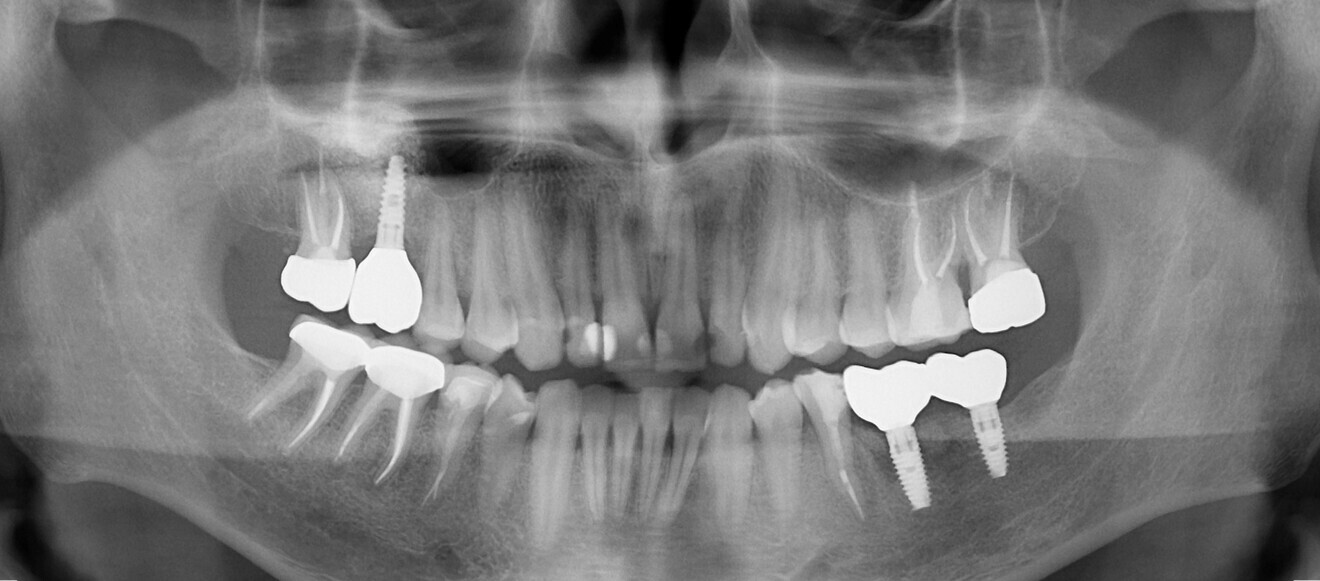
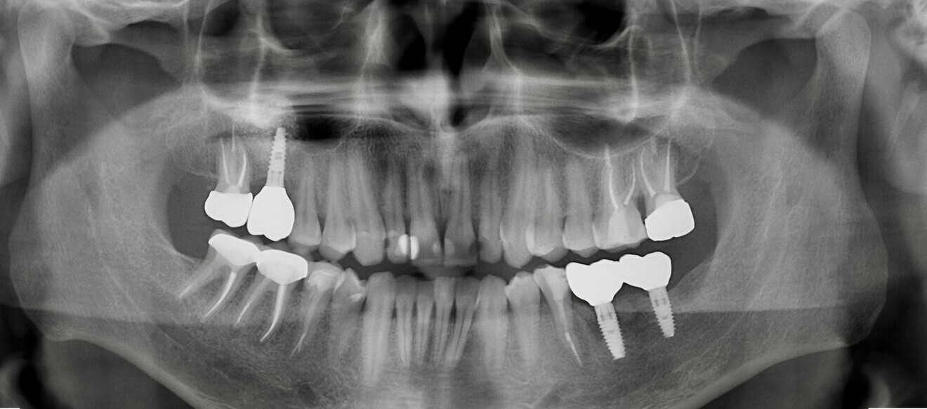
Fig. 20 : Radiographies prises en 2017.

Fig. 20 : Radiographies prises en 2017.

Fig. 21 : Radiographie prise  en 2019.

Fig. 21 : Radiographie prise en 2019.

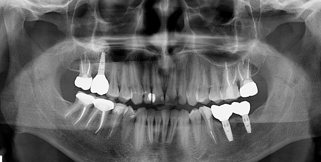
Fig. 22 : Radiographie  prise  en 2022.

Fig. 22 : Radiographie prise en 2022.

Mesures cliniques

La profondeur de sondage du site péri-implantaire a été mesurée au niveau du point médian inter-proximal, et la valeur la plus élevée entre le bord des tissus mous et le fond du sulcus péri-implantaire a été retenue. Une lime endodontique ISO n° 15 a été utilisée pour évaluer l’épaisseur de la muqueuse péri-implantaire vestibulaire à 2 mm des bords des tissus mous en mésial, distal et médial de la plate-forme de l’implant (point de référence). La muqueuse kératinisée a été évaluée au début du traitement, puis lors des suivis au moyen d’une sonde parodontale. Les mesures ont été prises verticalement au niveau du point médio-vestibulaire, depuis la plate-forme de l’implant jusqu’au bord libre de la gencive. Elles ont été effectuées en préopératoire, immédiatement après l’intervention, puis à quatre semaines, un an et deux ans par la suite. Les paramètres cliniques (largeur de la muqueuse kératinisée, volume de la muqueuse, et recouvrement de la récession gingivale) ont été enregistrés au début du traitement, et lors de chaque visite de suivi. La largeur initiale de la muqueuse kératinisée était minimale (1 mm). À quatre semaines, le gain de largeur de la muqueuse kératinisée était de 2 mm, puis de 3 mm après un an, et de 4 mm après cinq ans.

À quatre semaines, le gain de volume de la muqueuse était de 3 mm, puis de 4 mm après un an, et de 5 mm après cinq ans. Le recouvrement de la récession était déjà complet après quatre semaines, et l’était toujours après un an et après cinq ans.

Discussion

La recherche s’est concentrée sur la santé des tissus mous péri-implantaires en raison de l’importance de la largeur de la muqueuse kératinisée, et de l’épaisseur de la muqueuse, qui doivent être adéquates pour la prévention des complications biologiques et de la perte osseuse crestale. 4,5 De plus, un tissu attaché immobile est essentiel pour préserver les composants transmuqueux du tissu péri-implantaire, et de ce fait, éviter l’inflammation péri- implantaire ainsi que les complications biologiques, et préserver l’os marginal péri-implantaire. 24,25

Les techniques de conditionnement des tissus mous péri-implantaires sont recommandées dans les cas cliniques où certains facteurs, peuvent avoir un effet négatif sur le pronostic de la stabilité des tissus mous et du recouvrement de l’implant (prothèse convexe – contour du pilier, muqueuse fine, distance entre la plate-forme de l’implant et la crête osseuse supérieure à 3 mm, perte de tissus interproximaux, implant positionné en dehors de l’enveloppe osseuse).

Il existe peu de données scientifiques probantes concernant le traitement des défauts des tissus mous péri -implantaires.1 Des gains de largeur de la muqueuse kératinisée ont été signalés dans le cadre d’une étude systématique, qui a analysé les résultats d’un traitement combinant un lambeau d’épaisseur partielle positionné apicalement, et une greffe de gencive libre, une greffe de tissu conjonctif sous-épithélial, ou un matériau de greffe xénogénique.12 La même étude systématique a rapporté des taux moyens de recouvrement de la récession des tissus mous, compris entre 28,0 % et 96,3 %, lorsqu’un lambeau positionné coronairement était associé à une greffe de tissu conjonctif sous-épithélial, ou à des matériaux de greffes allogéniques, ou lorsqu’un lambeau d’épaisseur partielle était associé à une greffe de tissu conjonctif sous-épithélial.12 Malgré la prédictibilité de la technique classique faisant appel à des lambeaux positionnés apicalement ou latéralement (en combinaison avec des tissus mous épithélialisés), des cas de récession résultant de la contraction de la greffe, d’un manque de stabilité de la plaie résultant de l’incision, ou  d’une nécrose du greffon, ont été signalés.17

De plus, les techniques qui utilisent également une greffe de tissu conjonctif ou une matrice de collagène, peuvent mener à une mobilité de la muqueuse péri-implantaire, qui compromettra la stabilité des tissus mous péri-implantaires, et favorisera les complications biologiques.

Étant donné la nature invasive et morbide des techniques classiques de conditionnement des tissus mous, des variantes de la technique du lambeau pédiculé ont été proposées dans diverses situations cliniques, le plus souvent avec l’appui d’illustrations schématiques et d’études de cas cliniques.18,20 Moreno Rodriguez et al. ont combiné leur étude de cas clinique avec une étude pilote. 22 Le groupe étudié était composé de sujets présentant une restauration implantaire partielle ou complète du maxillaire, des défauts des tissus mous vestibulaires (absence de tissus kératinisés, largeur ou épaisseur des tissus mous inférieure à 2 mm) autour d’un implant ostéointégré, une déhiscence des tissus durs en vestibulaire, une visibilité de la surface de l’implant sous-jacent en vestibulaire, et des indices de plaque et de saignement inférieurs à 30 %. Les chercheurs ont relevé un gain moyen de 1,37 mm, au niveau de l’attache clinique péri-implantaire en vestibulaire, un gain d’épaisseur des tissus mous de 3,06 mm, et un gain de largeur de la muqueuse kératinisée de 4,69 mm. Ils ont également signalé le maintien de la stabilité des tissus mous péri-implantaires pendant une période moyenne de 13,50 mois ± 1,87 mois (intervalle de 12,00 à 18,00 mois). D’autres chercheurs ont également eu recours à des techniques de lambeau pédiculé chez des patients dont l’épaisseur et la largeur des tissus mous kératinisés vestibulaires étaient inférieures à 2 mm du côté. Ils ont observé une augmentation des tissus mous attachés et des gains d’épaisseur de la muqueuse vestibulaire, et de la largeur des tissus kératinisés, qui étaient supérieurs à 2 mm.18,20 En ce qui concerne les résultats à court et moyen terme, une étude a rapporté l’amélioration de la largeur de la muqueuse kératinisée et du volume de la muqueuse, au cours des trois premiers mois, mais une rétraction des tissus de 42,4 % à 12 mois.

Les données issues des examens systématiques de la littérature sont insuffisantes pour formuler des recommandations sur la technique idéale, la conception du lambeau ou la greffe la mieux adaptée, pour le conditionnement des tissus mous péri-implantaires en fonction du type de défaut péri-implantaire, et des objectifs thérapeutiques visés (gain de largeur de la muqueuse kératinisée ou attachée et gain d’épaisseur de la muqueuse).15,20

La technique Snake est née de l’intention d’offrir aux patients la technique la moins invasive, dans le traitement des tissus mous péri-implantaires fins et vulnérables. J’ai toujours envisagé le plan de traitement et le traitement comme si j’étais moi-même le patient, car si j’étais le patient, j’aimerais bénéficier d’un traitement complexe en une seule séance opératoire, indolore, et avec une cicatrisation postopératoire très rapide. La technique Snake offre précisément tous ces avantages, en plus de ne pratiquer qu’une seule incision, au lieu de deux. En voyant la quantité de tissu kératinisé de qualité à proximité de la zone à augmenter, je me suis demandé pourquoi j’irais prélever un greffon palatin, alors que je pouvais utiliser le tissu dans la zone immédiate nécessitant une augmentation. De plus, alors qu’un greffon gingival prélevé au niveau du palais interrompt complètement la vascularisation, la greffe utilisée dans la technique Snake est vascularisée en permanence, ce qui réduit considérablement le risque de nécrose.

Le site donneur distal au niveau duquel le lambeau est élevé garantit à la fois la disponibilité de tissu kératinisé et la qualité du greffon de tissu conjonctif, en fonction des besoins du site receveur. 28 La rotation de 180° du lambeau permet la mobilité du lambeau sans réduire la liberté musculaire et la profondeur vestibulaire, et ce, tout en maintenant l’apport sanguin dans la zone mésiale péri-implantaire. 22 Un lambeau d’épaisseur partielle offre la flexibilité qui favorise le gain de volume de la muqueuse. Il permet également d’éviter la formation de pseudo-poches péri-implantaires, susceptibles de faciliter la croissance de bactéries pathogènes.18

Le patient présentait une mobilité des tissus mous péri-implantaires, une largeur de tissu kératinisé inférieure à 1 mm, et une épaisseur de la muqueuse inférieure à 2 mm. Le bord des tissus mous se situait au niveau de la plate-forme de l’implant. L’utilisation de cette technique a permis une amélioration significative de la qualité des tissus mous péri-implantaires, et l’obtention d’un gain de tissu kératinisé attaché de 4 mm. Le lambeau de rotation utilisé dans la technique Snake offre les avantages d’une greffe de muqueuse kératinisée libre, et permet ainsi d’augmenter la largeur de la muqueuse vestibulaire péri- implantaire. Il assure également un apport sanguin très satisfaisant et la stabilité du lambeau pédiculé, ce qui se traduit par une rétraction moindre au fil du temps, par rapport à une greffe de tissu mou libre.

Conclusion

Il est possible de régénérer complètement les défauts des tissus mous péri-implantaires à l’aide de procédures de greffe, dans le cadre d’une chirurgie en deux temps. Au vu des gains de largeur et d’épaisseur à un, deux et cinq ans après l’intervention, la technique Snake par lambeau pédiculé modifiée a amélioré l’état des tissus mous autour des implants dentaires. Les avantages sont notamment l’élimination du besoin de pratiquer une seconde incision, la stabilité de la greffe, la meilleure vascularisation, le risque inexistant de nécrose, la cicatrisation plus rapide des sites donneur et receveur, et l’absence de douleur ou de gêne supplémentaire pour le patient. Des études randomisées et contrôlées avec des suivis prolongés, sont nécessaires pour valider la prédictibilité à long terme de cette technique chirurgicale.

Note éditoriale:

Note de la rédaction : Cet article a été initialement publié dans le magazine implants – international magazine of oral implantology, Vol. 23, numéro 4/2022 et dans le journal Dental Tribune France du mois d’avril 2023 Vol. 15, No. 4. Une liste des références est disponible auprès de l’éditeur.

To post a reply please login or register
advertisement
advertisement