En raison de leur taux de survie élevé, les implants dentaires sont un choix valable pour remplacer les dents perdues. Cependant, les complications biologiques ne sont pas rares, la principale étant la péri-implantite, une pathologie liée à la plaque, qui affecte les tissus entourant les implants et se caractérise par une inflammation de la muqueuse péri-implantaire et une perte de l’os de soutien.1 En cas de perte osseuse importante, le retrait de l’implant peut même être requis.
Selon plusieurs méta-analyses, la prévalence de la péri-implantite est élevée : Rakic et al. ont rapporté un taux de 18,5 % en termes de patients et de 12,8 % en termes d’implants; 2 Muhoz et al. ont fait état de résultats similaires, à savoir 17 % en termes de patients et 11 % en termes d’implants ; 3 dans le même temps, Hashim et al. 62,1 % en termes d’implants et de 9,1 à 69 % en termes de patients.4
Comparativement à la parodontite, la péri-implantite correspond à une destruction plus importante des tissus et de l’os.5, 6 Elle requiert par conséquent un traitement et un suivi plus intensifs, dont les principaux objectifs sont la disparition de l’inflammation et la prévention d’une perte osseuse additionnelle grâce à une décontamination de la surface des implants. Un traitement réussi se définit par l’absence de suppuration ou de saignement au sondage (BOP), d’érythème et de gonflement, de perte osseuse supplémentaire, et par des profondeurs de poche < 5 mm.1 Le traitement peut être de nature chirurgicale ou non chirurgicale.
Les procédures chirurgicales vont d’une intervention par lambeau, avec ou sans résection osseuse, aux approches régénératives faisant appel à des xénogreffes, des allogreffes, ou matières alloplastiques.7, 8 Ces traitements sont associés à des risques, des effets indésirables et des complications post-chirurgicales et les résultats sont controverses dans la littérature actuelle.7–9
Les traitements non chirurgicaux impliquent un débridement par divers dispositifs (p. ex., instruments manuels, instruments soniques/ultrasoniques, inserts en plastique ou en carbone, aéro-polissage, thérapie photodynamique), avec des agents antimicrobiens, incluant un traitement antimicrobien systémique ou local.10–13 Actuellement, les résultats des traitements non chirurgicaux montrent une réussite limitée et une faible predictibilite.14
La surface des implants débridée mécaniquement au moyen d’instruments en acier inoxydable, présente des modifications15, 16 associées à une libération de particules de titane (Ti) dans les tissus environnants,17 susceptibles d’entrainer d’autres complications. 18, 19 Il est donc nécessaire d’utiliser des instruments permettant de réduire les dommages implantaires tout en maximisant l’effet de nettoyage.20–22 Dans une étude in vitro, Keim et al. ont évalué le débridement effectué par une seule personne au moyen de trois dispositifs différents et ont conclu que la technique d’air abrasion par jet de poudre était plus efficace qu’un détartreur sonique, ce dernier étant lui-même plus efficace qu’une curette. Néanmoins, dans tous les cas, ils observaient des régions non traitées. Dans la même étude, la technique d’air abrasion n’a produit aucun dommage aux surfaces des implants, contrairement à un détartreur sonique et une curette.15
Dans la présente étude rétrospective, l’objectif était la comparaison après 6 et 12 mois du résultat clinique d’un traitement non-chirurgical uniquement mécanique de la péri-implantite avec le résultat d’un traitement faisant appel à une instrumentation mécanique associée à l’administration locale d’un antiseptique et d’un anti-inflammatoire.
Matériel et méthodes
Position éthique
L’évaluation a été réalisée par le biais d’une étude clinique monocentrique rétrospective avec suivi de 12 mois. L’étude a été approuvée par le comité d’éthique local (0213-19-rmb) et menée selon les principes de la déclaration d’Helsinki et les principes éthiques de la recherche impliquant des êtres humains. Le consentement éclairé a été obtenu chez tous les sujets ayant participé à cette étude. Le déroulement de l’étude clinique a été rapporté conformément aux recommandations du groupe CONSORT (Consolidated Standards of Reporting Trials).
Population de l’étude
Les sujets recrutés dans notre clinique avaient reçu un diagnostic de parodontite et de péri-implantite et fait l’objet d’un traitement parodontal.
Critères d’inclusion
Patients porteurs d’au moins un implant en titane présentant une perte osseuse > 3 mm sur la radiographie, une profondeur de poche au sondage (PD) > 6 m, et un saignement au sondage (BOP).1 Traitement parodontal, comprenant des instructions d’hygiène bucco-dentaire suivies par une instrumentation mécanique supra et sous-gingivale.
Critères d’exclusion
Aucune documentation clinique a 6 et/ou 12 mois après le traitement ; chirurgie pratiquée dans le sextant concerne.
Traitement
Le traitement parodontal a consisté en une instrumentation mécanique supra et sous-gingivale de la surface radiculaire au moyen d’inserts ultrasoniques, après un rinçage à la chlorhexidine (CHX) a 0,12 % durant 1 min, sous une anesthésie locale adéquate. Les patients ont été répartis en deux groupes selon le traitement des implants associés à la péri-implantite. Groupe M : débridement ultrasonique avec inserts fins (EMS, Nyon, Suisse) suivi d’un curetage des tissus mous à l’aide de curettes revêtues de teflon. Groupe P : application d’un produit à base de deux composants : hypochlorite à 0,95 % et acides aminés (Perisolv, RLS global AB, Molndal, Suède).
Les deux composants ont été mélangés avant l’utilisation. L’hypochlorite de sodium et les acides aminés ont formé des chloramines (N-carboxyanhydride, NCA) à courte durée d’action ayant une consistance de gel.
Le gel a été injecté à l’aide d’une seringue dans la poche parodontale jusqu’à observer un débordement. Après avoir laissé agir le produit pendant 30 secondes, le traitement a été poursuivi par le curetage des tissus mous au moyen d’une brosse en chitosane (Labrida, Oslo, Norvege) fixée sur une pièce à main rotative. La brosse a d’abord été trempée dans une solution saline stérile pendant un minimum de 2 min avant son utilisation. La solution permet aux fibres de chitosane de gonfler, de s’assouplir et d’atteindre une résistance optimale. L’application d’hypochlorite et le curetage ont été répétés trois fois pendant la séance. Le traitement s’est terminé par l’application de 1 mg de chlorhydrate de minocycline (Arestin, OraPharma, NJ) (Figs. 1a-e). Avant la procédure, tous les patients avaient été informés sur les deux modalités de traitement et ils avaient eu le droit de choisir le type de traitement.
Tous les patients ont été examinés à 3 mois d’intervalle durant une année, dans le cadre d’un schéma de maintenance parodontal effectué en routine. Les résultats du traitement ont été évalués à 6 et 12 mois.
Fig. 1 (a) : Activation de la solution par mélange d’hypochlorite de sodium à 0,95 % avec des acides aminés, du chlorure de sodium, de l’oxyde de titane et de la carboxyméthylcellulose.
Fig 1 (b) : Injection d’hypochlorite de sodium à 0,95 % dans le sillon gingivo-dentaire, attente de 30 secondes pour un ramollissement du tissu de granulation et sa préparation pour une dégranulation par une curette.
Fig1 (c) : Dégranulation du tissu sans toucher à la surface des implants.
Fig 1 (d) : Nettoyage mécanique de la surface des implants avec une brosse en fibres de chitosane rapidement biodégradables, fixée à une pièce à main rotative.
Fig 1 (e) Injection de 1 mg de microsphères de chlorhydrate de minocycline dans le sillon gingivo-dentaire.
Résultats cliniques
Au début de l’étude, à 6 mois (T1) et 12 mois (T2), le même examinateur (Y.M.) a utilisé une sonde parodontale manuelle (PCP-UNC 15 ; Hu-Friedy, Chicago, Etats-Unis) pour enregistrer les variables cliniques suivantes :
- Indice de plaque (PI) (Silness & Loe, 1964).23
- Profondeur de poche au sondage péri-implantaire (PPD), mesurée entre le bord de la muqueuse et le fond de la poche présumée, évaluée au niveau de six sites pour chaque implant.
- Perte d’attache clinique (CAL), mesurée entre le col de l’implant et le fond de la poche présumée, évaluée au niveau de six sites pour chaque implant.
- Saignement au sondage (BOP) évalué au niveau de six sites pour chaque implant.
Examen radiographique
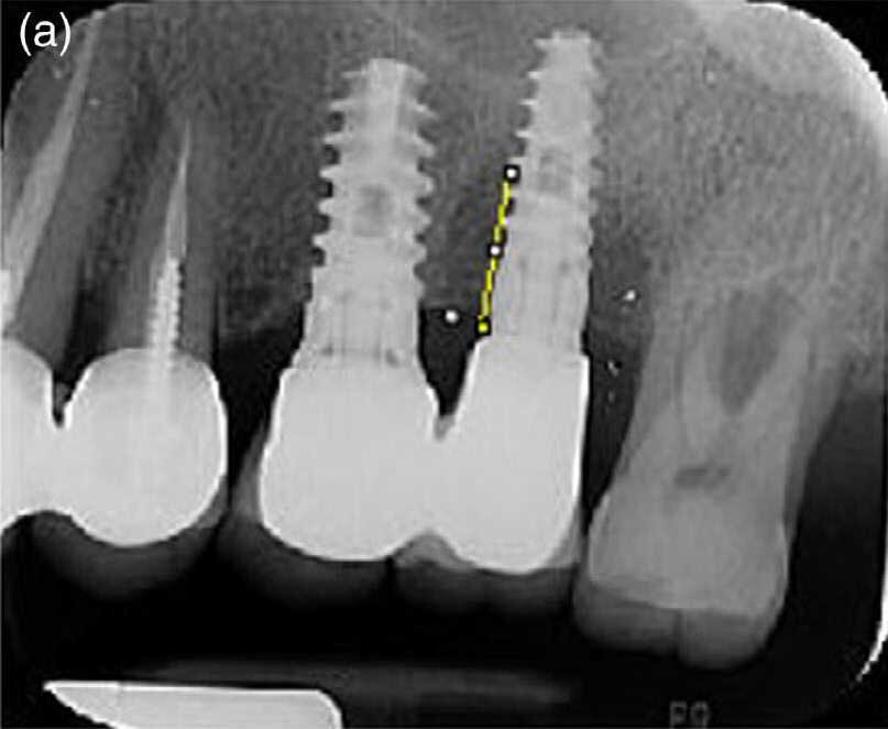
- La hauteur d’os (BL) a été mesurée entre la connexion implant-pilier et le fond du défaut osseux par un examinateur (O.G.), au début de l’étude et à T2, à l’aide d’un logiciel de traitement et d’analyse d’images (logiciel ImageJ, programme de traitement d’image écrit en Java, développé par les NIH [National Institutes of Health], Bethesda, Etats-Unis) (Fig. 2). Dans chaque radiographie, la longueur de l’implant fournie par le fabricant a été utilisée pour étalonner les mesures ≪ apico-coronaires ≫. La distance jusqu’au tissu osseux coronaire a été mesurée au niveau de la face mésiale et de la face distale de l’implant.
Analyse statistique
La taille de l’échantillon a été déterminée par le calcul initial de la puissance sur la base des paramètres suivants : le traitement non chirurgical de la péri-implantite peut réduire la profondeur de poche de 1 mm (moyenne) ; une réduction supplémentaire de 0,7 mm est obtenue après l’utilisation de traitements antibactériens ; utilisation des valeurs typiques de seuil de signification alpha = 0,05 et de puissance = 80 %. Le calcul de la puissance effectué selon ces paramètres a produit une taille de l’échantillon correspondant à un minimum de 32 patients dans chaque groupe.
Toutes les analyses ont été réalisées à l’aide du logiciel SPSS, version 19.00 (SPSS Inc., Chicago, Etats-Unis). Le résultat principal était la modification de la PPD au niveau du site le plus profond entre le début de l’étude et le mois 6, et entre le début de l’étude et le mois 12. La variable principale (modifications de la PPD) et les variables secondaires (PI et CAL) ont été exprimées en termes de moyenne } écart type.
Le test U de Mann-Whitney a été utilisé pour comparer les groupes dans le cadre des évaluations ponctuelles (les évaluations ponctuelles ne sont pas distribuées selon une loi normale). Le seuil de signification a été fixé à p = 0,05. Des tests t pour échantillons indépendants ont été utilisés pour vérifier les différences dans l’analyse radiographique.
Résultats
Soixante-neuf patients traités entre le 1er janvier 2016 et le 31 décembre 2017 pour une parodontite (grade 1–3, et stade A–B), porteurs d’un nombre total de 106 implants avec péri-implantite, ont été inclus dans l’étude. Les données démographiques au début de l’étude ne montraient aucune différence significative entre les deux groupes (Tableau 1).
Tableau 1 : Données démographique au début de l’étude. (Remarque : Les données sont présentées sous forme de moyenne (écart type) ou de pourcentage.)
Tableau 2 : Paramètres cliniques moyens mesurés au début de l’étude, à 6 mois et à 12 mois (moyenne ± écart type). (Remarque : Tous les résultats significatifs sont présentés en caractères gras. Abréviations : BOP, saignement au sondage ; CAL, perte d’attache clinique ; PI, indice de plaque ; PPD, profondeur de poche au sondage.
Tableau 3 : La signification statistique des paramètres parodontaux change entre les différentes évaluations ponctuelles dans les mêmes groupes. (Remarque : Tous les résultats significatifs sont présentés en caractères gras. Abréviations : BOP, saignement au sondage ; CAL, perte d’attache clinique ; PI, indice de plaque ; PPD, profondeur de poche au sondage.)
Tableau 4 : Différences entre le groupe P et le groupe M lors des deux évaluations ponctuelles (Test U de Mann Whitney). (Remarque : Tous les résultats significatifs sont présentés en caractères gras. Abréviations : BOP, saignement au sondage ; CAL, perte d’attache clinique ; PI, indice de plaque ; PPD, profondeur de poche au sondage.)
Les valeurs PI, PPD et CAL au début de l’étude, et après 6 et 12 mois, sont résumées dans le Tableau 2 (moyenne } écart type).
Les valeurs PI, PPD et CAL ont diminué fortement après 6 et 12 mois par rapport aux valeurs mesurées au début de l’étude (p < 0,001) (Tableau 3). Dans les deux groupes, aucune différence significative n’a été observée au mois 12 par rapport au mois 6.
La comparaison entre les deux modalités de traitement a indiqué une différence significative de PPD après 6 et 12 mois (Tableau 4). En ce qui concerne PD, le groupe P présentait des résultats sensiblement meilleurs comparativement au groupe M après 6 et 12 mois (différence de 0,65 mm entre le début de l’étude et 6 mois, et de 0,64 mm entre le début de l’étude et 12 mois). Aucune différence significative n’a été observée dans la réduction de CAL entre les deux groupes lors des deux évaluations ponctuelles. Le saignement était sensiblement réduit dans les deux groupes après 6 et 12 mois, et le groupe P a présenté beaucoup moins de sites de saignement durant toute la période de suivi.
Des radiographies per apicales prises avant le traitement et 12 mois après le traitement n’étaient disponibles que pour un nombre limite d’implants (12 dans le groupe P et 15 dans le groupe M). L’analyse radiographique des mesures de hauteur osseuse n’a pas montré de différences statistiquement significatives entre les deux modalités de traitement (données non présentées/données sur fichier).
Discussion
Cette étude visait à comparer les résultats cliniques à 6 et 12 mois après l’utilisation de deux traitements non chirurgicaux de la péri-implantite. Nous avons eu recours à une modalité de traitement non chirurgical de la péri-implantite qui est simple et facilement accessible à la plupart des chirurgiens-dentistes.
Les résultats ont révélé un effet positif du protocole combiné, qui consistait en un débridement mécanique non chirurgical au moyen d’une brosse en chitosane associé à l’administration locale de microsphères de minocycline et d’hypochlorite à 0,95 % tamponne avec des acides aminés ; l’effet positif a été maintenu durant les 12 mois de suivi. Il existait un effet synergique résultant de la combinaison du traitement uniquement par débridement mécanique (meilleurs paramètres cliniques) avec l’administration d’un antiseptique et d’un anti-inflammatoire qui avait permis une amélioration encore plus importante du résultat clinique.
Sur le plan biologique, la raison de combiner ces deux produits avec un débridement mécanique repose sur leurs mécanismes de cicatrisation différents. L’hypochlorite, tamponne par des acides aminés et associé à un débridement mécanique, déstabilise le biofilm et élimine le tissu de granulation.24 Le chlorhydrate de minocycline à une action antimicrobienne qui améliore les scores de profondeur de poche au sondage et de saignement des tissus péri-implantaires pathologique.25 Son effet est continu et persiste durant plusieurs jours.26 L’élimination initiale du tissu de granulation et la déstabilisation du biofilm augmente donc l’efficacité de l’agent antimicrobien. Il a en outre été prouvé que le chlorhydrate de minocycline réduit l’activiste de la collagénase, inhibe l’activité des métalloprotéases matricielles ainsi que la fonction des ostéoclastes, et il prévient ainsi une destruction parodontale supplémentaire.27–28 Kivela-Rajamaki et al.ont démontré que l’antibiotique tétracycline réduit la MMP-8 (collagenase-2) dans le fluide sulculaire péri-implantaire.29 Nos résultats sont en accord avec les études précédentes, bien qu’une réduction plus importante de PD et CAL ait été obtenue si l’on fait la comparaison avec le groupe M (débridement mécanique seulement).25, 30
Cette différence pourrait être due aux valeurs de PD plus profondes et de CAL mesurées au début de l’étude, comparativement aux études précédentes.25, 30 Le traitement combiné proposé a permis une réduction plus importante des profondeurs de poche dans chacun des traitements (2,5 mm après 6 mois, 2,37 mm après 12 mois). Salvi et al. ont montré une amélioration de PD après 6 et 12 mois (1,7 et 1,7 mm, respectivement) lors de la seule utilisation de microsphères de minocycline.31 Roos-Jansaker et al. Ont rapporté une réduction de PD de 1,75 mm après 3 mois lors de l’utilisation d’hypochlorite tamponne par des acides aminés.24
Renvert et al. ont utilisé des microsphères de minocycline en plus du débridement mécanique, plutôt qu’un débridement mécanique seul, et ont rapporté une réduction relative de PD de 0,6 mm après 12 mois, ce résultat étant à l’appui de l’utilisation de minocycline. Notre étude a obtenu des résultats comparables, montrant des différences statistiquement significatives de PD après 6 et 12 mois.30
Les antibiotiques systémiques, associés au débridement mécanique, sont considérés comme une approche valable pour le traitement de la péri-implantite.14 Mombelli et Lang ont fait état de résultats cliniques et microbiologiques positifs après l’administration systémique d’ornidazole pendant 10 jours, avec une réduction moyenne de PD de 2,55 mm après 12 mois de traitement.32 Nart et al. ont indiqué des résultats similaires après l’utilisation de 500 mg de métronidazole, administré toutes les 8 heures pendant 7 jours,33 et, selon Linares et al. l’administration systémique de métronidazole s’est révélée potentiellement efficace pour réduire PD et les défauts observés sur les radiographies.34 Quoiqu’il puisse être utile, un antibiotique systémique s’accompagne de certains risques, notamment la survenue d’une surinfection35 et le développement d’une résistance aux antibiotiques.36 Le protocole proposé comprend l’administration locale d’un antibiotique qui réduit le risque des complications susmentionnées et permet d’obtenir des résultats cliniques similaires, par rapport à l’administration d’antibiotiques systémiques (réduction moyenne de la profondeur de poche de 2,37 mm dans notre étude).
Il a été démontré que la brosse en chitosane est un instrument sûr et efficace pour le débridement des implants dentaires.27–39
Les études précédentes sur la valeur ajoutée de la brosse en chitosane montrent en outre des signes réduits d’inflammation (indice de saignement modifié [mBoP] de 1,2) et une diminution de la profondeur de poche au sondage (1,15 mm).27–39 Le chitosane est un antimicrobien qui dépend de nombreux facteurs intrinsèques et extrinsèques, tels que le pH, la présence ou l’absence de cations métalliques, la pKa, le poids moléculaire, et le degré de desacetylation.40 Larsen et al. ont notamment indiqué que la brosse en chitosane réduit sensiblement la quantité de bactéries périopathogènes, à savoir Porphyromonas gingivalis.41 Un autre avantage offert par la brosse en chitosane est sa capacité à atteindre des zones difficilement négociables grâce à sa flexibilité et sa grande surface active. Ces caractéristiques évitent l’inconvénient de modifications prothétiques (p. ex., le retrait d’un élément prothétique) car dans les deux groupes (P, M), les éléments prothétiques étaient scellés et non vissés (61 et 66 %, respectivement).
L’une des causes de la péri-implantite est la présence de résidu de ciment, particulièrement chez les patients ayant des antécédents de parodontite.42, 43 Une raison possible des meilleurs résultats du groupe P est l’élimination du ciment, effectuée, comme prévu dans ce protocole, au cours de la phase de curetage des tissus mous au moyen d’une brosse en chitosane fixée sur une pièce à main rotative. Cette possibilité devrait être examinée davantage dans les futures études.
Les groupes ne présentaient aucune différence significative en termes de CAL. Ce résultat semble indiquer que l’amélioration était due en partie à une récession du tissu mou et en partie à un rattachement du tissu conjonctif. Apres extrapolation des résultats, il semble que 1/3 de la réduction des poches parodontales résultait du rattachement du tissu conjonctif et 2/3 d’une récession.
Cette amélioration est en accord avec une étude précédente.24 La présente étude comporte des limitations en raison de la période relativement courte du suivi de 12 mois ; un suivi plus long est requis pour confirmer des résultats du protocole de traitement sur le long terme. Un autre inconvénient est la nature rétrospective de cette étude — c’est-à-dire la disponibilité limitée de radiographies prises avant le traitement et 12 mois après celui-ci. Ce fait associé au manque de recul pourrait influencer notre capacité á déceler tous les détails des changements radiographiques survenus après le traitement que nous avons proposé. Par conséquent, les prochaines études intègreront un suivi radiologique.
Conclusions
Compte tenu des limitations de la présente étude, outre l’administration combinée d’hypochlorite a 0,95 % et de 1 mg de chlorhydrate de minocycline, le recours à la brosse en chitosane pour décontaminer la surface des implants dans le cadre du traitement non chirurgical de la péri-implantite a permis une amélioration clinique statistiquement significative en termes de réduction de la profondeur de poche après 6 et 12 mois.
Pertinence clinique
Justification scientifique de l’étude
Le but de l’étude était d’évaluer le résultat clinique d’un traitement non chirurgical de la péri-implantite par une approche mécanique, antiseptique et anti-inflammatoire, et de le comparer avec celui d’un traitement mécanique seul.
Conclusions principales
Les deux modalités de traitement ont mené à une amélioration des paramètres cliniques après 6 et 12 mois. Une réduction plus importante de la profondeur de poche et du saignement a été observée dans le groupe P.
Implications pratiques
L’utilisation d’un antiseptique et d’un anti-inflammatoire durant le traitement étiologique des sites atteints de péri-implantite peut représenter une alternative à la chirurgie dans les cas légers à modérés.
Conflit d’intérêts
Les auteurs déclarent n’avoir aucun conflit d’intérêts lies à la rédaction de cet article.
ORCID Yaniv Mayer iD https://orcid.org/0000- 0001-5500-7961
Note de la rédaction :
Une liste complète des références est disponible auprès de l’éditeur. Cet article en libre accès est mis à disposition selon les termes de la licence Creative Commons Attribution, qui en autorise l’utilisation, la distribution et la reproduction sur tout support, à condition que l’oeuvre originale soit dûment citée.
© 2020 The Authors. Clinical and Experimental Dental Research publié par John Wiley & Sons Ltd. Clin Exp Dent Res. 2020 ; 1–8. wileyonlinelibrary.com/journal/cre2 I Mayer Y, Ginesin O, Horwitz J. A nonsurgical treatment of peri-implantitis using mechanic, antiseptic and anti-inflammatory treatment: 1 year follow-up. Clin Exp Dent Res. 2020;1-8. https://doi.org/10.1002/cre2.286
Reçu : 3 février 2020 | Révisé : 1er mars 2020 | Accepté : 3 mars 2020
Références :
1 Berglundh T, Armitage G, Araujo MG, Avila- Ortiz G, Blanco J, Camargo PM, Zitzmann, N. (2018). Péri-implantites et conditions: Journal of Periodontology, 89 (Suppl 1), S313-S318. https:// doi.org/10.1002/JPER.17-0739.
2 Rakic M, Galindo-Moreno P, Monje A, Radovanovic S, Wang HL, Cochran D, Canullo L. (2018). How frequent does peri-implantitis occur? A systematic review and metaanalysis. Clinical Oral Investigations, 22(4), 1805-1816. https://doi.org/10.1007/s00784- 017-2276-y.
3 Munoz V, Duque A, Giraldo A, Manrique R. (2018). Prevalence of peri-implant disease according to periodontal probing depth and bleeding on probing: A systematic review and meta-analysis. International Journal of Oral Maxillofacial Implants, 33(4), e89-e105. https:// doi.org/10.11607/jomi.5940.
4 Hashim D, Cionca N, Combescure C, Mombelli A. (2018). The diagnosis of peri-implantitis: A systematic review on the predictive value of bleeding on probing. Clinical Oral Implants Research, 29(Suppl 16), 276-293. https://doi. org/10.1111/clr.13127.
5 Carcuac O, Berglundh T. (2014). Composition of human peri-implantitis and periodon - titis lesions. Journal of Dental Research, 93(11), 1083-1088. https//doi. org/10.1177/ 0022034514551754.
6 Hiyari S, Wong RL, Yaghsezian A, Naghibi A, Tetradis S, Camargo PM, Pirih FQ. (2018). Ligature- induced peri-implantitis and periodontitis in mice. Journal of Clinical Periodontology, 45(1), 89-99. https://doi. org/10.1111/ jcpe.12817. 7 Keeve PL, Koo KT, Ramanauskaite A, Romanos G, Schwarz F, Sculean A, Khoury F. (2019). Surgical treatment of peri-implantitis with
non-augmentative techniques. Implant Dentistry, 28(2), 177-186. https://doi. org/10.1097/ ID.0000000000000838.
8 Ramanauskaite A, Becker K, Juodzbalys G, Schwarz F. (2018). Clinical outcomes following surgical treatment of peri implantitis at grafted and non-grafted implant sites: A retrospective analysis. International Journal of Implant Dentistry, 4(1), 27. https://doi. org/10.1186/s40729-018-0135-5.
9 Chan HL, Lin GH, Suarez F, MacEachern M, Wang HL. (2014). Surgical management of peri-implantitis: A systematic review and meta-analysis of treatment outcomes. Journal of Periodontology, 85(8), 1027-1041. https//doi.org/10.1902/jop.2013.130563.
10 Estefania-Fresco R, Garcia-de-la-Fuente AM, Egana-Fernandez-Valderrama A, Bravo M, Aguirre-Zorzano LA. (2019). One-year results of a nonsurgical treatment protocol for peri-implantitis. A retrospective case series. Clinical Oral Implants Research, 30(7), 702- 712. https://doi.org/10.1111/clr.13456.
11 Heitz-Mayfi eld LJ, Mombelli A. (2014). The therapy of peri-implantitis: A systematic review. International Journal of Oral Maxillofacial Implants, 29(Suppl), 325-345. https:// doi.org/10.11607/jomi. 2014suppl. g 5.3.
12 Machtei EE. (2014). Treatment alternatives to negotiate peri-implantitis. Advances in Medicine, 2014, 487903-487913. https://doi. org/10.1155/2014/487903.
13 Suarez-Lopez Del Amo F, Yu SH, Wang HL. (2016). Non-surgical therapy for peri-implant diseases: A systematic review. Journal of Oral and Maxillofacial Research, 7(3), e13. https:// doi.org/10.5037/jomr. 2016.7313.
14 Lang NP, Salvi GE, Sculean A. (2019). Nonsurgical therapy for teeth and implants — When and why? Periodontology 2000, 79(1), 15-21. https://doi.org/10.1111/prd.12240.
15 Keim D, Nickles K, Dannewitz B, Ratka C, Eickholz P, Petsos H. (2019). In vitro effi cacy of three different implant surface decontamination methods in three different defect configurations. Clinical Oral Implants Research, 30(6), 550-558. https://doi. org/10.1111/ clr.13441.
16 Louropoulou A, Slot, DE, Van der Weijden FA. (2012). Titanium surface alterations following the use of different mechanical instruments: A systematic review. Clinical Oral Implants Research, 23(6), 643-658. https://doi. org/10.1111/j.1600-0501.2011.02208.x
17 Suarez-Lopez Del Amo F, Garaicoa-Pazmino C, Fretwurst T, Castilho RM, Squarize CH. (2018). Dental implants-associated release of titanium particles: A systematic review. Clinical Oral Implants Research, 29, 1085- 1100. https://doi.org/10.1111/clr.13372.
18 Eger M, Sterer N, Liron T, Kohavi D, Gabet, Y. (2017). Scaling of titanium implants entrains inflammation-induced osteolysis. Scientifi c Reports, 7, 39612. https://doi. org/10.1038/ srep39612.
19 Fretwurst T, Nelson K, Tarnow DP, Wang HL, Giannobile WV. (2018). Is metal particle release associated with peri-implant bone destruction? An emerging concept. Journal of Dental Research, 97(3), 259-265. https://doi. org/10.1177/0022034517740560.
20 de Tapia B, Valles C, Amaral T, Mor C, Herrera D, Sanz M, Nart J. (2019). The adjunctive effect of a titanium brush in implant surface decontamination at peri-implantits surgical regenerative interventions A randomized controlled clinical trial. Journal of Clinical Periodontology, 46, 586-596. https://doi. org/10.1111/jcpe.13095.
21 Mann M, Parmar D, Walmsley AD, Lea SC. (2012). Effect of plastic-covered ultrasonic scalers on titanium implant surfaces. Clinical Oral Implants Research, 23(1), 76-82. https:// doi.org/10.1111/j.1600-0501.2011.02186.x
22 Vigano P, Apaza Alccayhuaman KA, Sakuma S, Amari Y, Bengazi F, Botticelli D. (2019). Use of TiBrush for surface decontamination at peri-implantitis sites in dogs: Radiographic and histological outcomes. Journal of Investigative and Clinical Dentistry, 10(1), e12378. https:// doi.org/10.1111/ jicd.12378.
23 Silness J, Loe H. (1964). Peridontal disease in pregnancy. II. Correlation between oral hygiene
and periodontal condtion. Acta Odontologica Scandinavica, 22, 121-135.
24 Roos-Jansaker AM, Almhojd US, Jansson H. (2017). Treatment of peri-implantitis: Clinical outcome of chloramine as an adjunctive to non-surgical therapy, a randomized clinical trial. Clinical Oral Implants Research, 28(1), 43-48. https://doi.org/10.1111/clr.12612.
25 Renvert S, Lessem J, Dahlen G, Lindahl C, Svensson M. (2006). Topical minocycline microspheres versus topical chlorhexidine gel as an adjunct to mechanical debridement of incipient peri-implant infections: A randomized clinical trial. Journal of Clinical Periodontology, 33 (5), 362-369. https://doi. org/10.1111/j.1600-051X.2006.00919.x
26 Lee JB, Kweon HH, Cho HJ, Kim CS, Kim YT. (2018). Characteristics of local delivery agents for treating peri-implantitis on dental implant surfaces: A preclinical study. The Journal of Oral Implantology, 45, 116-126. https:// doi.org/10.1563/aaid-joi-D-17-00261.
27 Ingman T, Sorsa T, Suomalainen K, Halinen S, Lindy O, Lauhio A, Golub LM. (1993). Tetracycline inhibition and the cellular source of collagenase in gingival crevicular fl uid in different periodontal diseases. A review article. Journal of Periodontology, 64(2), 82-88. https://doi. org/10.1902/jop. 1993.64.2.82.
28 Vernillo AT, Ramamurthy NS, Golub LM, Rifkin BR. (1994). The nonantimicrobial properties of tetracycline for the treatment of periodontal disease. Current Opinion in Periodontology, 111-118.
29 Kivela-Rajamaki M, Maisi P, Srinivas R, Tervahartiala T, Teronen O, Husa V, Sorsa T. (2003). Levels and molecular forms of MMP-7 (matrilysin- 1) and MMP-8 (collagenase-2) in diseased human peri-implant sulcular fl uid. Journal of Periodontal Research, 38(6), 583- 590.
30 Renvert S, Lessem J, Dahlen G, Renvert H, Lindahl C. (2008). Mechanical and repeated antimicrobial therapy using a local drug delivery system in the treatment of peri-implantitis: A randomized clinical trial. Journal of Periodontology, 79(5), 836-844. https:// doi.org/10. 1902/jop.2008.070347.
31 Salvi GE, Persson GR, Heitz-Mayfi eld LJ, Frei M, Lang NP. (2007). Adjunctive local antibiotic therapy in the treatment of peri-implantitis II: Clinical and radiographic outcomes. Clinical Oral Implants Research, 18(3), 281-285. https://doi.org/10.1111/j.1600-0501.2007. 01377.x
32 Mombelli A, Lang NP. (1992). Antimicrobial treatment of peri-implant infections. Clinical Oral Implants Research, 3(4), 162 168.
33 Nart J, Pons R, Valles C, Esmatges A, Sanz-Martin I, Monje A. (2019). Non-surgical therapeutic outcomes of peri-implantitis: 12-month results. Clinical Oral Investigations, 24, 675- 682. https://doi. org/10.1007/ s00784-019- 02943-8.
34 Linares A, Pico A, Blanco C, Blanco J. (2019). Adjunctive systemic metronidazole to nonsurgical therapy of peri-implantitis with intrabony defects: A retrospective case series study. International Journal of Oral Maxillofacial Implants, 34(5), 1237-1245. https://doi. org/ 10.11607/jomi.7343.
35 Verdugo F. (2017). Risk of superinfection in peri-implantitis after systemic broad Spectrum antibiotics. International Journal of Periodontics and Restorative Dentistry. https:// doi.org/10.11607/prd.2546.
36 Rams TE, Degener JE, van Winkelhoff AJ. (2014). Antibiotic resistance in human peri-implantitis microbiota. Clinical Oral Implants Research, 25(1), 82-90. https://doi. org/ 10.1111/clr.12160.
37 Wohlfahrt JC, Aass AM, Koldsland OC. (2019). Treatment of peri-implant mucositis with a chitosan brush — A pilot randomized clinical trial. International Journal of Dental Hygiene, 17(2), 170-176. https://doi. org/10.1111/idh. 12381.
38 Wohlfahrt JC, Evensen BJ, Zeza B, Jansson H, Pilloni A, Roos-Jansaker AM, Koldsland, OC. (2017). A novel non-surgical method for mild peri-implantitis — A multicenter consecutive case series. International Journal of Implant Dentistry, 3(1), 38. https://doi. org/
10.1186/s40729-017-0098-y. 39 Zeza B, Wohlfahrt C, Pilloni A. (2017). Chitosan brush for professional removal of plaque in mild peri-implantitis. Minerva Stomatol, 66(4), 163-168. https://doi. org/10.23736/ S0026-4970.17.04040-7. 40 Kong M, Chen XG, Xing K, Park HJ. (2010).
Antimicrobial properties of chitosan and mode of action: A state of the art review. International Journal of Food Microbiology, 144(1), 51-63. https://doi.org/10. 1016/j.ijfoodmicro. 2010.09.012.
41 Larsen OI, Enersen M, Kristoffersen AK, Wennerberg A, Bunas DF, Lie SA, Leknes KN. (2017). Antimicrobial effects of three different treatment modalities on dental implant surfaces. The Journal of Oral Implantology, 43(6), 429- 436. https://doi. org/10.1563/aaid-joi-D-16-00147
42 Linkevicius T, Puisys A, Vindasiute E, Linkeviciene L, Apse P. (2013). Does residual cement around implant-supported restorations cause peri-implant disease? A retrospective case analysis. Clinical Oral Implants Research, 24(11), 1179-1184. https://doi.or- g/10.1111/j. 1600-0501.2012.02570.x
43 Quaranta A, Lim ZW, Tang J, Perrotti V, Leichter J. (2017). The impact of residual sub-gingival cement on biological complications around dental implants: A systematic review. Implant Dentistry, 26(3), 465-474. https://doi. org/10.1097/ID.0000000
Mots-clés:
SEOUL, Corée du Sud: La cause la plus fréquente de péri-implantite est la formation d'un biofilm sur la surface de l'implant. Par ...
_La thérapeutique implantaire est devenue une alternative largement répandue pour remplacer les dents manquantes. Bien que des ...
GOTHENBURG, Suède : Suite à la poste d’implants dentaires, des complications biologiques ou techniques peuvent survenir. Elles peuvent affecter ...
BRESCIA, Italie : La péri-implantite est l‘une des pathologies multifactorielles fréquemment rencontrée à laquelle les chirurgiens-dentistes et ...
Le projet Caries Risk Management (CARMEN) est une étude épidémiologique observationnelle longitudinale, menée auprès de dentistes cliniciens de quatre ...
Alors que nous sommes en pleine réflexion sur l’accès au cabinet dentaire pour les personnes handicapées, il ne se pose pas la ...
Le concept de la prévention dans toutes les professions médicales s’élargit au niveau planétaire. En fait, la prévention des maladies chroniques non ...
Les fentes labiales et palatines constituent les différences congénitales les plus répandues du visage et de la bouche. Même après une opération, les ...
PARIS, France : À l’occasion du congrès de l’ADF à Paris, qui s’est tenu la semaine dernière, quelques intervenants ont abordé cette année la ...
PARIS, France : Afin d’accompagner les praticiens dans leurs démarches en cas de sollicitation de patients victimes de centre dentaires ...
Webinaire en direct
jeu. le 14 mai 2026
à 18h00 (CET) Paris
Webinaire en direct
jeu. le 14 mai 2026
à 20h00 (CET) Paris
Prof. Hani Ounsi DDS PhD FICD
Webinaire en direct
mar. le 19 mai 2026
à 17h00 (CET) Paris
Webinaire en direct
mar. le 19 mai 2026
à 19h00 (CET) Paris
Prof. Dr. med. dent. Ivo Krejci
Webinaire en direct
mer. le 20 mai 2026
à 13h00 (CET) Paris
Dr. Graham Carmichael BDSc (Hons), DClinDent (Pros), FRACDS, Dr. Robert Gottlander DDS
Webinaire en direct
mer. le 20 mai 2026
à 15h00 (CET) Paris
Webinaire en direct
mer. le 20 mai 2026
à 19h00 (CET) Paris
Prof. Dr. med. dent. Tim Joda PhD, MSc, eMBA
To post a reply please login or register