Le concept de la prévention dans toutes les professions médicales s’élargit au niveau planétaire. En fait, la prévention des maladies chroniques non transmissibles, le fardeau majeur de morbidité et de handicap dans presque tous les pays du monde, s’est alourdi au cours des dernières années.1 La motivation est d’assurer une meilleure qualité de vie aux gens et de réduire les dépenses publiques des soins de santé.
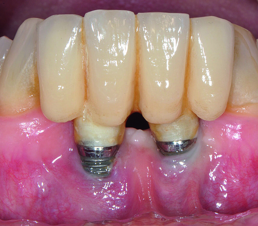
Dans le domaine dentaire, la parodontite est l’une des principales maladies chroniques non transmissibles. Les spécialistes de la parodontologie et les scientifiques internationaux ont élaboré divers principes de prévention des maladies parodontales.2 La péri-implantite est une version du XXIe siècle de la parodontite et sa fréquence s’accroît avec l’augmentation du nombre d’implants posés (Figs. 1–3). Tout comme la parodontite, cet état pathologique est associé au biofilm, mais au lieu de toucher les desmodontes et les tissus osseux, elle se caractérise par une inflammation de la muqueuse péri-implantaire et la perte progressive de l’os de soutien.3 Les préoccupations majeures dans ce problème sont liées au rôle déterminant que peuvent jouer de multiples facteurs de risque incriminés dans l’étiologie4 et l’absence d’un traitement de référence. Les mesures de prévention primaires et secondaires sont réellement importantes pour éviter la survenue d’une mucite et d’une péri-implantite ainsi que les récidives, mais de nombreux détails doivent être pris en considération avant une pose d’implants de façon à minimiser les problèmes iatrogènes. Outre les implants, les solutions prothétiques que peuvent proposer les professionnels de la santé buccodentaire aux patients sont nombreuses et diverses s’il est tenu compte de la situation globale du début jusqu’à la fin. Les implants peuvent ne pas toujours être dans le meilleur intérêt d’un patient. Par conséquent, avant la pose d’un implant, chaque clinicien devrait évaluer non seulement les aspects spécifiques du patient et du site implantaire, mais également les compétences du chirurgien, du chirurgien-dentiste, de l’hygiéniste buccodentaire et du prothésiste dentaire afin de minimiser le risque de péri-implantite dans le futur. Il est nécessaire de procéder à l’examen des points suivants avant la prévention primaire et secondaire, une approche que nous appelons dans notre article, la « Prévention 0 ».
Aspects particuliers liés au patient
Lors de la décision d’une restauration par des implants dentaires, nous devons, avant toute planification chirurgicale, informer scrupuleusement le patient sur les aspects de cette intervention. Il est important de souligner que les soins d’entretien personnels, pratiqués quotidiennement au domicile, et que le strict respect des contrôles de suivi et des traitements d’hygiène buccodentaire sont des mesures préventives efficaces.5 La sensibilisation aux procédures et l’observance sont les piliers de la réussite, mais le clinicien doit également informer le patient sur l’incidence des troubles systémiques (ostéogenèse imparfaite, dysplasie ectodermique, diabète), des médicaments (bisphosphonates), des traitements (radiothérapie au niveau des maxillaires), des habitudes (tabagisme, contrôle insuffisant du biofilm) et des antécédents de parodontite agressive,6 qui sont des facteurs de risque importants de péri-implantite.7
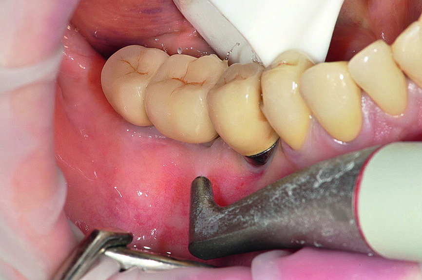
Figs. 1a : Implant en position 14 affecté par une péri-implantite : sondage péri-implantaire avec la couronne prothétique in situ
Fig b : Implant en position 14 affecté par une péri-implantite : sondage péri-implantaire après retrait de la couronne prothétique.
Fig. 2 : Radiographie de
l‘implant
Fig. 3 : Excès de ciment autour de l‘implant
| Figs. 4a : Soins péri-implantaires à domicile avec AirFloss (Philips),
Fig. 4b : Soins péri-implantaires à domicile avec X-Floss (ROEN)
Fig. 4 c : Soins péri-implantaires à domicile avec brossette interdentaire (TePe).
Fig. 5a : Élimination professionnelle du biofilm péri-implantaire par a) poudre AIRFLOW à base d‘érythritol (poudre PLUS, EMS),
Figs. 5b : Élimination professionnelle du biofilm péri-implantaire par PERIOFLOW avec poudre PLUS
Fig. 5c : Élimination professionnelle du biofilm péri-implantaire par instrument en PEEK (PI, EMS)
Fig. 6 : Une planification inappropriée a mené à un mauvais résultat.
Fig. 7 : Après le scellement de la prothèse, élimination minutieuse de l‘excès de ciment au moyen d‘un instrument en PEEK (PI).
Fig. 8 : Après le scellement
de la prothèse, élimination minutieuse de l‘excès de ciment au moyen d‘un fil dentaire.
Aspects particuliers liés au site implantaire
Le processus de cicatrisation après une perte dentaire entraîne une réduction variable du processus alvéolaire et, de ce fait, des lésions des tissus durs et mous. Le clinicien doit évaluer soigneusement tous les sites exposés aux situations suivantes car elles présentent un risque de troubles majeurs de cicatrisation : perte du soutien parodontal, infections endodontiques, fractures radiculaires longitudinales, faible épaisseur des plaques osseuses vestibulaires, positionnement vestibulaire/lingual des dents par rapport à l’arcade, extraction avec traumatisme accru des tissus, lésions, pneumatisation du sinus maxillaire, médicaments et maladies systémiques réduisant la quantité de tissu osseux formé naturellement, agénésie dentaire et points de pression dus aux prothèses amovibles à appui muqueux. D’autres aspects liés au site concernent la connaissance anatomique et particulièrement la structure anatomique adéquate du site considéré (sinus maxillaire, nerf alvéolaire inférieur), la santé endodontique et parodontale des dents adjacentes, et le phénotype du patient. Selon Linkevicius et al., il existe des éléments probants montrant qu’un tissu mou de faible épaisseur entraîne une perte accrue d’os marginal par rapport à un tissu mou épais autour d’un implant.3, 8 Le manque de tissu osseux a conduit au développement d’autres techniques chirurgicales permettant d’éviter des procédures majeures de régénération osseuse ou de greffe, notamment l’utilisation d’implants courts, d’implants inclinés, d’implants ptérygoïdiens et d’implants palatins, dont les résultats étaient discutables mais réduisaient manifestement les possibilités de nettoyage et d’entretien des implants et des prothèses.
Compétences de l’hygiéniste dentaire et dispositifs
Ce professionnel de la santé joue un rôle central dans la prévention des maladies et la promotion de la santé bucco-dentaire.9 L’hygiéniste dentaire ne devrait pas limiter son activité au simple nettoyage buccodentaire, mais se comporter comme le conseiller ou l’instructeur personnel du patient, le motiver non seulement dans ses gestes d’hygiène bucco-dentaire mais aussi dans son mode de vie, par exemple, au regard de l’arrêt du tabac et des habitudes alimentaires. Il fait figure de spécialiste amical qui renforce la fidélité du patient vis-à-vis du cabinet dentaire, même chez les patients craintifs, et il entretient le travail de restauration entrepris par le chirurgien-dentiste.10
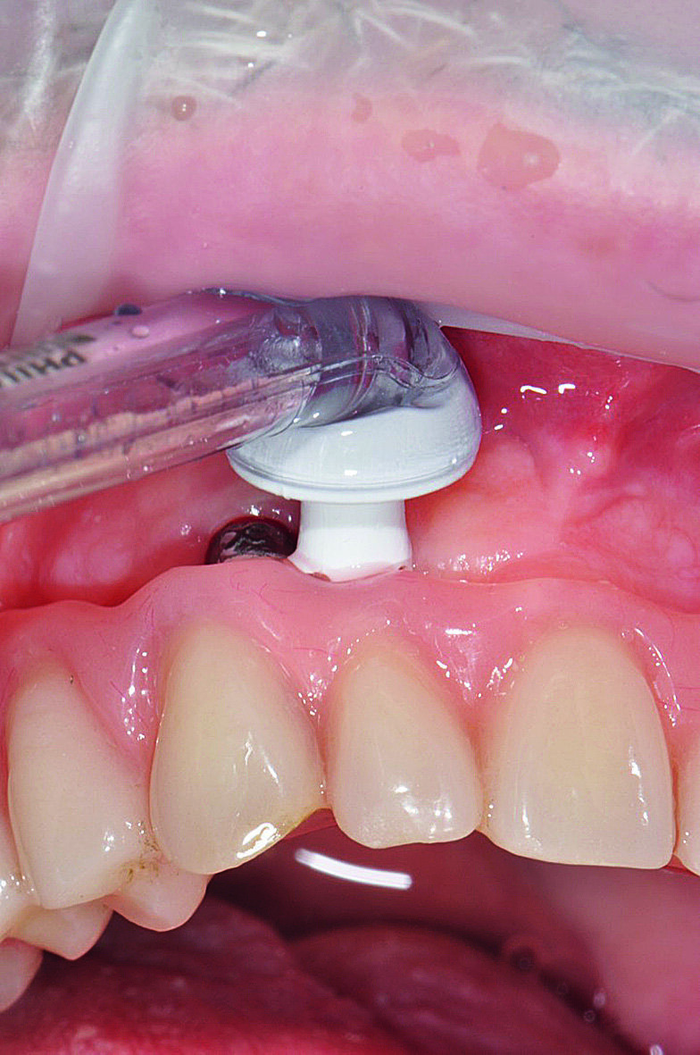
Pour assurer des soins professionnels minimalement invasifs, le port de loupes binoculaires ainsi que l’utilisation d’agents révélateurs de plaque et de dispositifs adaptés sont requis, particulièrement si l’entretien de la restauration prothétique est une tâche ardue pour le patient. L’élimination adéquate et périodique du biofilm doit être considérée comme la norme de traitement en termes de prévention et de prise en charge de la péri-implantite.11 Pour cette raison, les patients doivent être motivés et informés sur la manière d’entretenir quotidiennement les implants. Cette approche devrait commencer avant la procédure implantaire et se poursuivre après le traitement, dans le cadre de visites de rappel régulières et personnalisées (Figs. 4 et 5).
Compétences du chirurgien
Aujourd’hui, particulièrement en Italie, on assiste à l’émergence d’un nouveau profil professionnel : l’implantologue, qui est un chirurgien-dentiste agréé, généralement un confrère, et se rend dans différents cabinets ou cliniques dentaires pour principalement y poser des implants, souvent sans une connaissance suffisante des aspects parodontaux et prothétiques. Il en résulte, dans certains cas, un mauvais positionnement des implants et par conséquent des problèmes de reconstruction et d’entretien. Pour éviter la fabrication d’éléments prothétiques spécifiques, la présence d’implants non restaurés et les interventions chirurgicales nécessaires à leur retrait ou leur repositionnement plus approprié, la chirurgie implantaire ne doit être entreprise que par un clinicien qualifié.7 Celui-ci doit être un chirurgien-dentiste spécialisé, qui possède les compétences chirurgicales nécessaires pour traiter parfaitement les tissus durs comme les tissus mous (avant et après la pose des implants), et possède également le savoir-faire attendu dans le domaine prothétique pour pratiquer une chirurgie implantaire guidée par la prothèse, suivie d’une restauration fonctionnelle, sans surcharge, facile à nettoyer, esthétiquement plaisante et adaptée au patient.
Compétences du chirurgien-dentiste
Le clinicien expérimenté sait que la prothèse « universelle » n’existe pas, mais que chaque patient a besoin d’une restauration sur mesure, qui tient compte de ses moyens et de ses exigences, et qui doit être planifiée avant l’intervention chirurgicale. Après le recueil des données et la décision du plan de traitement, conjointement avec un patient motivé et informé, en termes de nombre d’implants requis, type de prothèse (prothèse fixe sur implants de type Toronto ou prothèse amovible sur implants), de fixation (prothèse scellée ou vissée), la phase chirurgicale et prothétique impliquant la gestion prudente de la mise en charge peut commencer.12 Seul une planification minutieuse peut prévenir des résultats insatisfaisants (Fig. 6).
Fabrication et assemblage de la prothèse
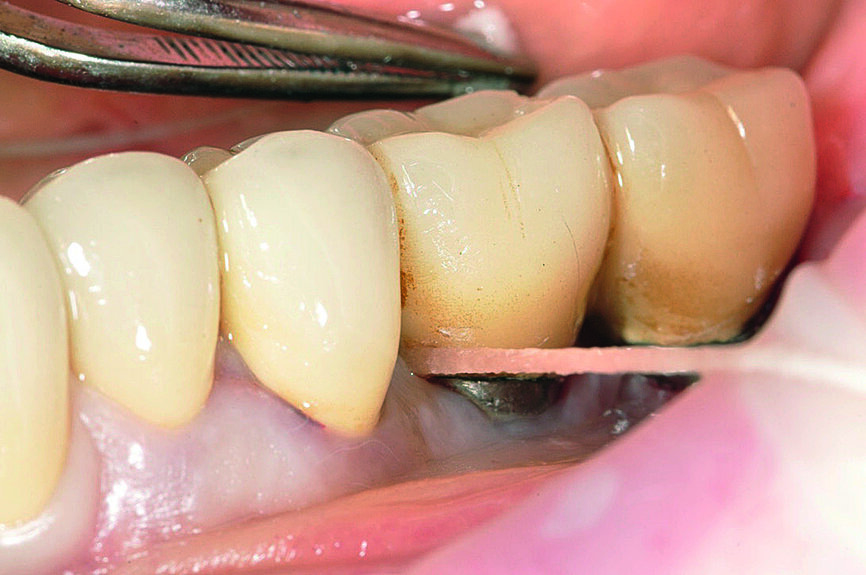
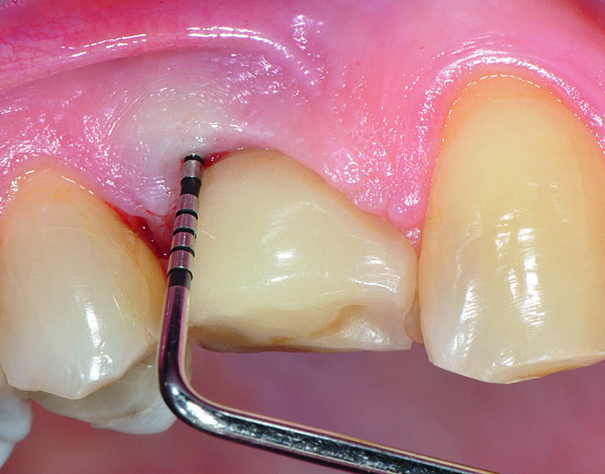
Le prothésiste dentaire doit travailler en contact direct avec le chirurgien-dentiste afin de créer des espaces permettant un nettoyage confortable et esthétiquement plaisants, adaptés au patient. Après avoir reçu les instructions et les informations de l’hygiéniste bucco-dentaire, les patients doivent être en mesure de nettoyer leurs prothèses quotidiennement et presque sans effort afin de maintenir leur santé orale.13 Un autre facteur important associé aux signes cliniques de péri-implantite est l’excès de ciment.14–17 Pour éviter cet excès, les limites marginales de la restauration doivent être situées au niveau ou au-dessus du bord péri-implantaire de la muqueuse ; sinon l’excès de ciment doit être éliminé.18 En dépit de la littérature internationale démontrant l’intérêt accru que suscite l’excès de ciment considéré comme l’un des facteurs clés dans l’étiopathogénie de la péri-implantite, un protocole standard guidant le clinicien dans cette délicate procédure d’élimination doit encore être mis en place. Selon l’auteur, la technique de scellement demande du temps, de l’attention, le port de loupes binoculaires et de la minutie. C’est pourquoi un protocole précis, dépendant de la composition du ciment, doit être publié (Figs. 7 et 8).
Conclusion
Une restauration implantaire offre une possibilité de restauration plus comparable aux dents naturelles que les autres traitements. Néanmoins, alors qu’une prothèse sur implants peut être une parfaite solution permanente, sa durabilité dépend totalement du plan de traitement minutieusement élaboré avec le patient, de l’intervention chirurgicale correctement réalisée, de la mise en charge appropriée, et des soins d’entretien constants par le patient et le professionnel de la santé bucco-dentaire. De très bons résultats ne peuvent être obtenus que par un spécialiste et une équipe dentaire centrée sur le patient.
Note de la rédaction : cet article est paru dans le magazine implants, international magazine of implantology, volume 19, numéro 4/2018 et dans le journal DT France, volume 12, numéro 3/2020
Pr Magda Mensis, department of medical and surgical specialties, radiological sciences, and public health – Université de Brescia, Italie magdamensi@gmail.com
Mots-clés:
Lors du congrès national de la SFPIO (Société française de parodontologie et d’implantologie) de cette année, les intervenants ont reconnu ...
La parodontite et la péri-implantite sont toutes deux des pathologies inflammatoires qui touchent le tissu gingival. En raison des dissemblances ...
BRUXELLES, Belgique : La Fédération européenne de parodontologie (EFP) a annoncé une nouvelle directive visant à aider les professionnels de la santé ...
BRESCIA, Italie : La péri-implantite est l‘une des pathologies multifactorielles fréquemment rencontrée à laquelle les chirurgiens-dentistes et ...
PARIS, France : La société Colgate, présente un nouveau webinaire qui se tiendra le Mercredi 23 Octobre 2019 à 20h et aura pour thème : La maintenance...
GOTHENBURG, Suède : Suite à la poste d’implants dentaires, des complications biologiques ou techniques peuvent survenir. Elles peuvent affecter ...
SAINT-BONNET-LES-OULES, France : Un saignement au brossage, un léger gonflement ou une sensibilité gingivale peuvent sembler anodins. Pourtant, selon le ...
SEOUL, Corée du Sud: La cause la plus fréquente de péri-implantite est la formation d'un biofilm sur la surface de l'implant. Par ...
Le syndrome du canal carpien est une des pathologies les plus répandues en tant que trouble musculo-squelettique du membre supérieur chez le ...
VIENNE, Autriche: Le 16 mai, lors du congrès EuroPerio11, la Société espagnole de parodontologie et d’ostéointégration a présenté un nouveau ...
Webinaire en direct
jeu. le 14 mai 2026
à 18h00 (CET) Paris
Webinaire en direct
jeu. le 14 mai 2026
à 20h00 (CET) Paris
Prof. Hani Ounsi DDS PhD FICD
Webinaire en direct
mar. le 19 mai 2026
à 17h00 (CET) Paris
Webinaire en direct
mar. le 19 mai 2026
à 19h00 (CET) Paris
Prof. Dr. med. dent. Ivo Krejci
Webinaire en direct
mer. le 20 mai 2026
à 13h00 (CET) Paris
Dr. Graham Carmichael BDSc (Hons), DClinDent (Pros), FRACDS, Dr. Robert Gottlander DDS
Webinaire en direct
mer. le 20 mai 2026
à 15h00 (CET) Paris
Webinaire en direct
mer. le 20 mai 2026
à 19h00 (CET) Paris
Prof. Dr. med. dent. Tim Joda PhD, MSc, eMBA
To post a reply please login or register